医影在线
标题: CT16386:M,65Y。广泛淋巴肿大 [打印本页]
作者: lyb999 时间: 2008-10-29 18:05
标题: CT16386:M,65Y。广泛淋巴肿大
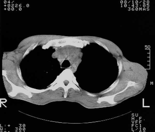
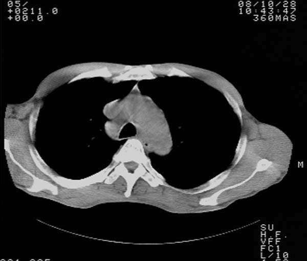
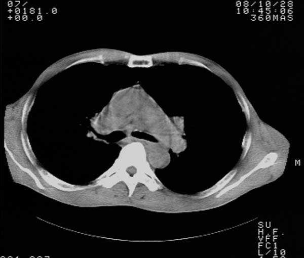
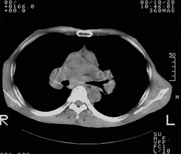
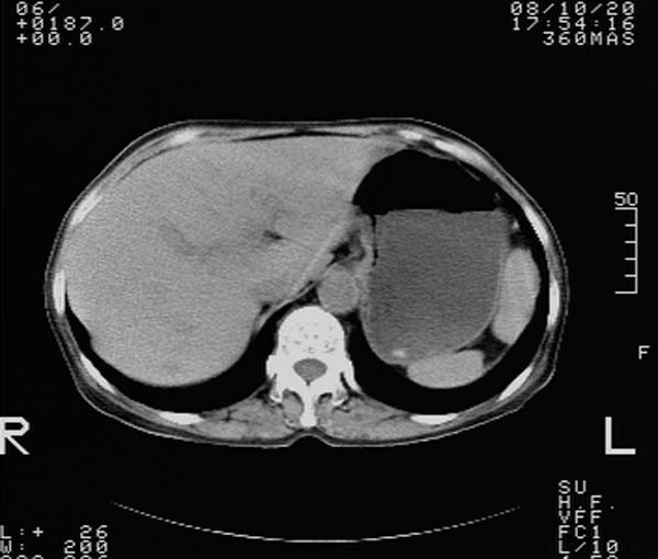
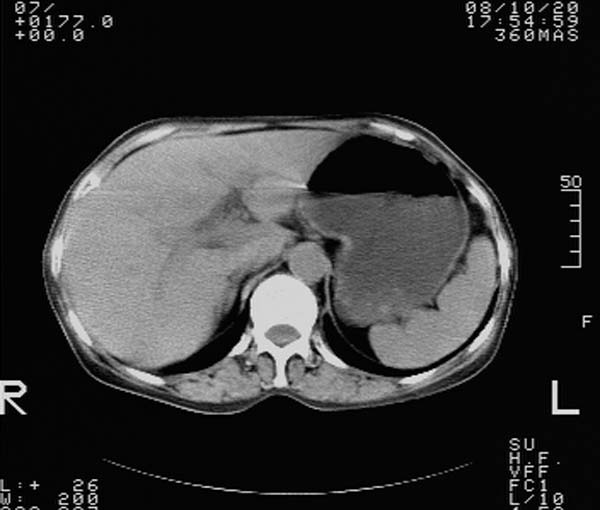
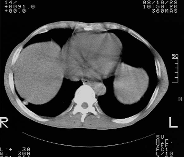
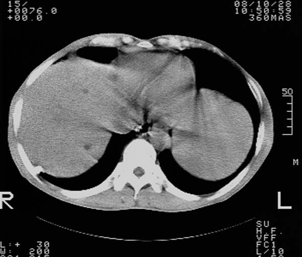
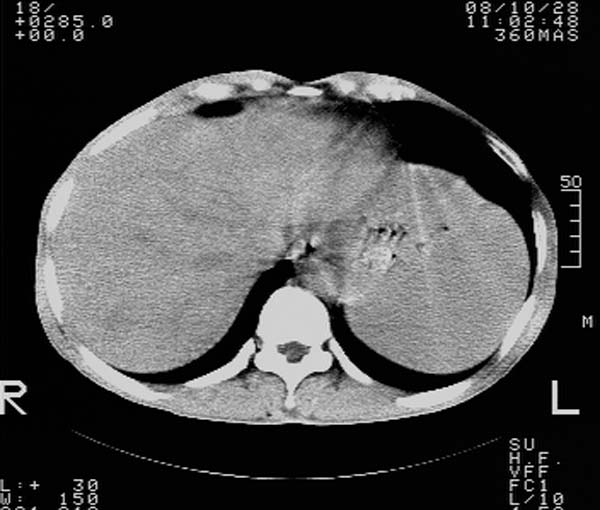
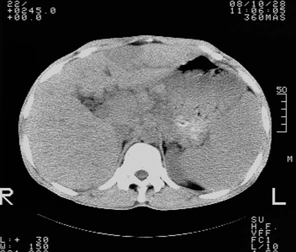
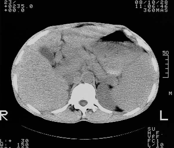
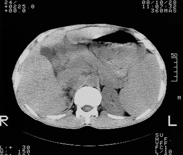
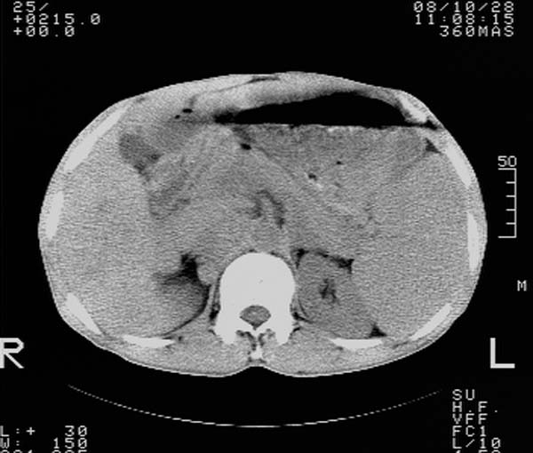
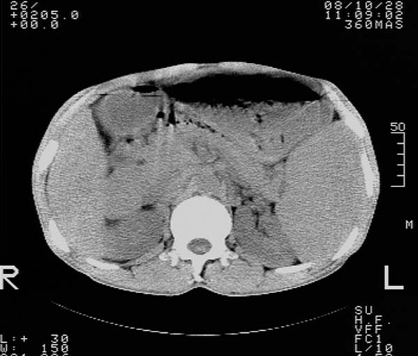
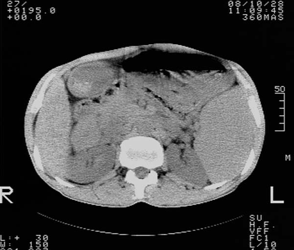
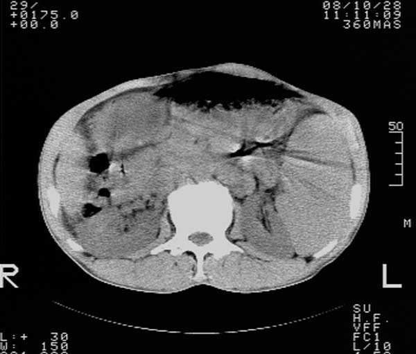
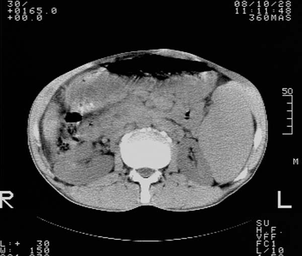
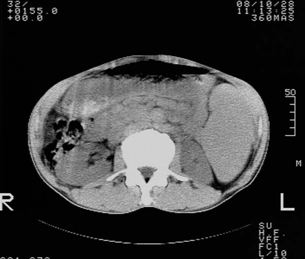
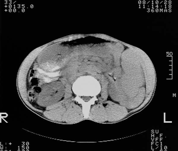
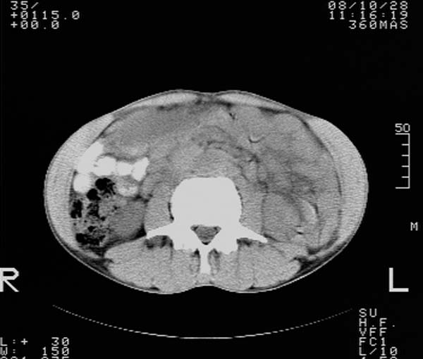
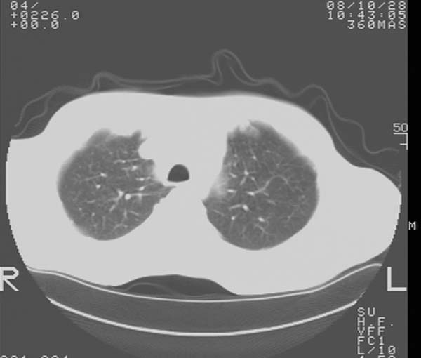
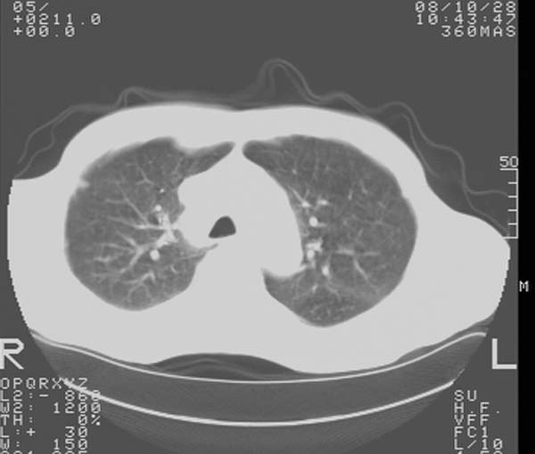
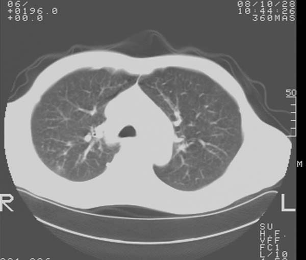
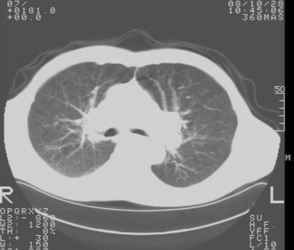
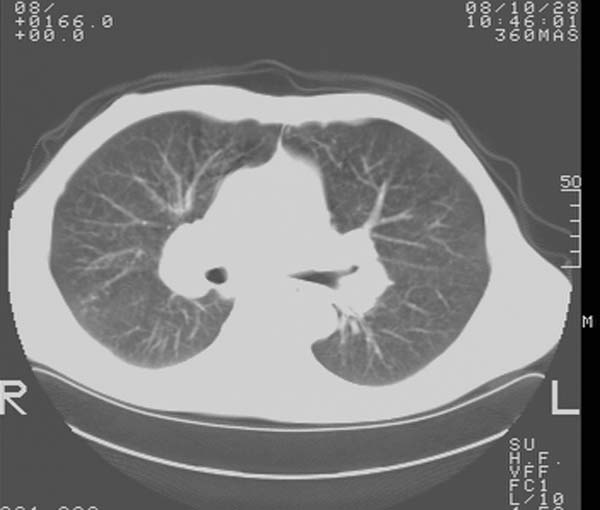
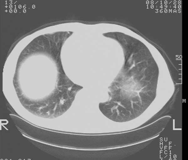
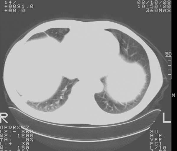
m,65y。半年前发现颈小结节,逐渐增多增大,现双侧耳后、颌下及颈部表浅淋巴肿大。胸片示双肺门增大。外院曾穿刺诊断为淋巴结核。在我科作胸腹部ct,我们觉得外院病检有误。现将图像上传请战友讨论。





































[本贴已被 jiajie 于 2008-10-29 11:30:01 修改过]
作者: 影像孺子牛 时间: 2008-10-29 18:15
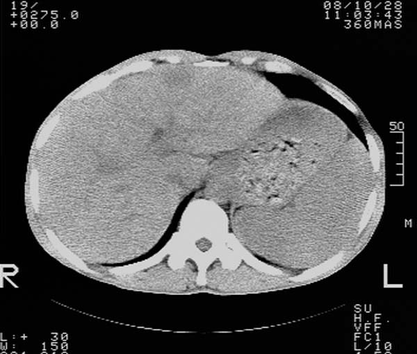
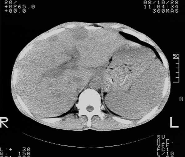
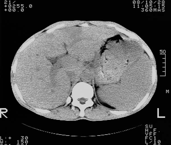
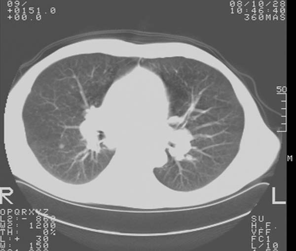
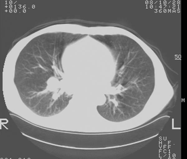
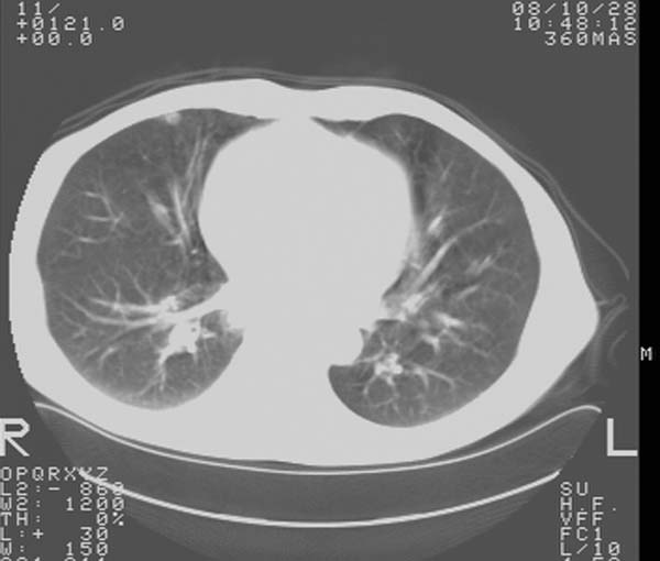
纵隔内及腹膜后广泛淋巴结肿大,脾大,肝内似可见低密度影,结合病史半年前发现颈小结节,逐渐增多增大,现双侧耳后、颌下及颈部表浅淋巴肿大。考虑淋巴瘤。
作者: lyb999 时间: 2008-10-29 18:22
我们也是首先考虑淋巴瘤。只是外院病检报告是结核。让人迷惑。肝左叶多发低密度占位,没增强不好定论。
作者: bmw011 时间: 2008-10-29 18:56
标题: 回复:广泛淋巴肿大
以下是引用影像孺子牛在2008-10-29 10:15:00的发言:[br]纵隔内及腹膜后广泛淋巴结肿大,脾大,肝内似可见低密度影,结合病史半年前发现颈小结节,逐渐增多增大,现双侧耳后、颌下及颈部表浅淋巴肿大。考虑淋巴瘤。
作者: 深泽交通 时间: 2008-10-29 19:03
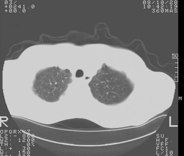
纵隔,双肺门腹膜后多发淋巴结重大,非融合,肝脾轻度肿大,双肺野弥漫性小结节;考虑淋巴瘤,结节病可能性
作者: guanaishengming 时间: 2008-10-29 19:06
考虑淋巴瘤
作者: 358450m 时间: 2008-10-29 19:57
标题: 回复:ct16386:m,65y。广泛淋巴肿大
以下是引用guanaishengming在2008-10-29 11:06:00的发言:[br]考虑淋巴瘤
作者: zsl6918 时间: 2008-10-29 20:40
现有资料不能明确!建议行强化及高分辨扫描。胸膜下可见小结节灶。分析思路:按可能性排序:结节病,淋巴瘤,结核。
作者: 雨泽小草 时间: 2008-10-29 20:42
考虑淋巴瘤可能性大.
作者: zjzjr 时间: 2008-10-29 20:45
纵隔内,双肺门、腋窝及腹膜后多发肿大淋巴结影,肺内小结节影,肝脾体积增大,支持淋巴瘤。肝内多发低密度影,考虑小囊肿。
作者: dr.yang 时间: 2008-10-29 21:12
支持淋巴瘤
作者: scdlc2008 时间: 2008-10-29 23:10
支持淋巴瘤
作者: dongqing0606 时间: 2008-10-29 23:29
标题: 回复:ct16386:m,65y。广泛淋巴肿大
以下是引用zjzjr在2008-10-29 12:45:00的发言:[br]纵隔内,双肺门、腋窝及腹膜后多发肿大淋巴结影,肺内小结节影,肝脾体积增大,支持淋巴瘤。肝内多发低密度影,考虑小囊肿。
支持
作者: 随光逐影 时间: 2008-10-29 23:39
考虑淋巴瘤可能性大。
作者: dongqing0606 时间: 2008-10-30 00:08
最好做浅表淋巴结穿刺活检确定,结合实验室检查。
作者: ydx_74 时间: 2008-10-30 00:24
考虑淋巴瘤肺、肝内转移,脾脏肿大。
作者: fshk1 时间: 2008-10-30 00:33
纵隔内,双肺门、腹膜后多发肿大淋巴结影及颈部淋巴结肿大,肝脾体积大.结合临床,淋巴瘤可能性大。
作者: 影象小泰斗 时间: 2008-10-30 01:24
考虑淋巴瘤!!!
作者: 黑白光影 时间: 2008-10-30 02:54
考虑淋巴瘤可能性大.
| 欢迎光临 医影在线 (http://bbs.radida.com/bbs/) |
Powered by Discuz! X3.2 |