

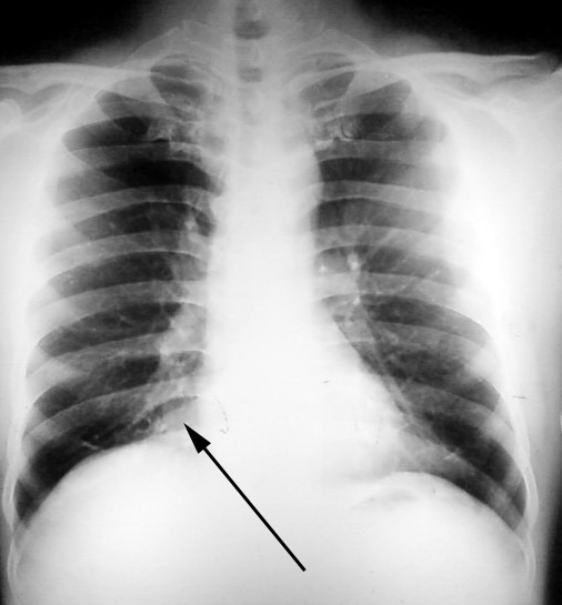
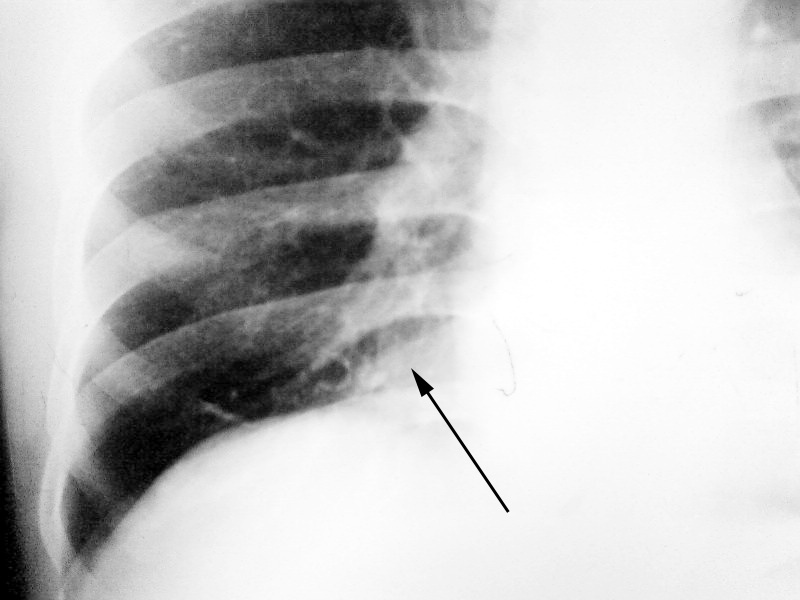
以下是引用yangzhenghai在2008-11-1 8:31:00的发言:[br]对,应该是脂肪垫。
以下是引用zhangzhongshou在2008-11-1 12:00:00的发言:[br]多可能为下腔静脉[br]
以下是引用yangzhenghai在2008-11-1 8:31:00的发言:[br]对,应该是脂肪垫。
以下是引用dr.yang在2008-11-1 11:55:00的发言:[br]是!
| 欢迎光临 医影在线 (http://bbs.radida.com/bbs/) | Powered by Discuz! X3.2 |