医影在线

标题: CT16445:F80Y,肝右后叶占位性病变 [打印本页]

作者: xiaoqvnmin    时间: 2008-11-2 00:55
标题: CT16445:F80Y,肝右后叶占位性病变
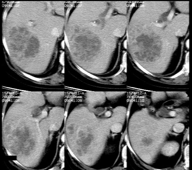
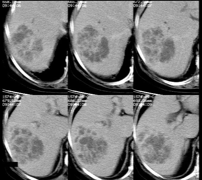
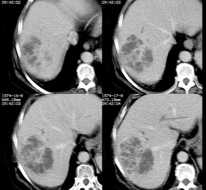
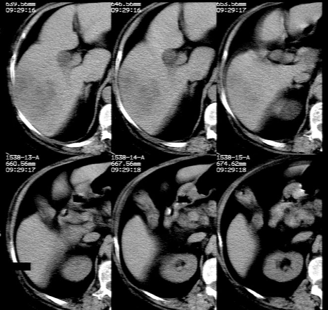
患者 女 80岁 二型糖尿病 低热/腰酸4天入院。b超:肝硬化/胆脾胰正常。白细胞12.87 中性74.6 淋巴20.6  单核3.6 。  ct特征较少,怎样理解此影像,请同仁讨论。下附ct报告。









  
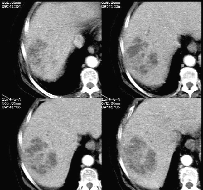
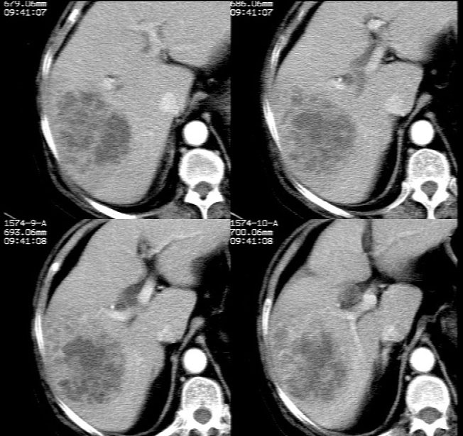
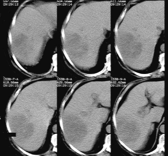
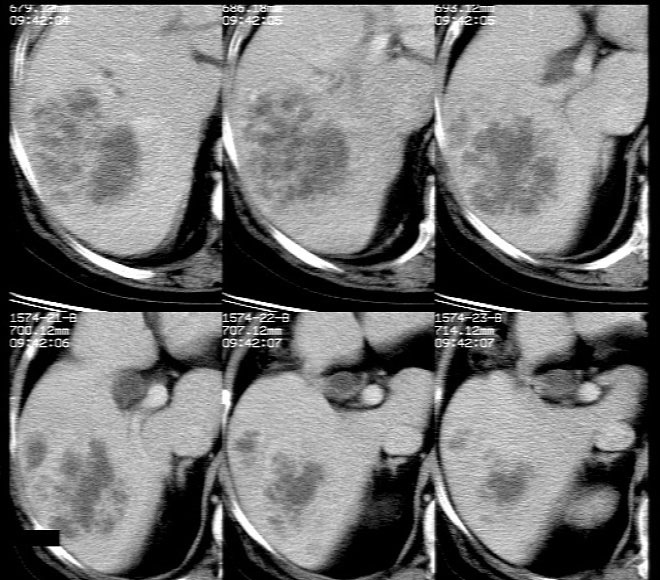
    平扫示: 肝右后叶见团状低密度灶,边界欠清,密度略不均匀,ct值28-32hu,肝内胆管无扩张。
   ct增强扫描示: 动脉期肝右后叶团状低密度边缘明显不均性强化,内呈不规则峰窝状低密度(无强化区),不规则分隔亦见明显强化;三期扫描像均见,病灶有明显占位征,周围血管、胆管推挤外移,病灶与正常肝组织分界不清,延迟期病灶周围见雾状略低密度(较肝左叶)。
  肝右后叶团状低密度占位性病变,结合临床提示: 1、肝脓肿? 2、不排除肝ca可能。建议afp检查。


[本贴已被 jiajie 于 2008-11-1 17:37:09 修改过]

作者: zsl6918    时间: 2008-11-2 01:01
报告写的不错,支持.
作者: zjzjr    时间: 2008-11-2 01:05
支持楼主意见。
作者: 余辉    时间: 2008-11-2 01:52
病灶三期明显强化,强化后边缘清楚,病灶内侧部分层面可见分层改变,支持考虑肝脓肿
作者: dsl555    时间: 2008-11-2 02:00
支持楼主意见。
作者: xuanf    时间: 2008-11-2 03:10
学习了
作者: hx3101    时间: 2008-11-2 03:36
x学习了
作者: 爱国    时间: 2008-11-2 03:39
支持楼主意见
作者: wangyong-1977    时间: 2008-11-2 03:51
肝脓肿可能
作者: jiajie    时间: 2008-11-2 04:49
平扫示肝右后叶见团状低密度灶,边界欠清,密度略不均匀,ct值28-32hu,肝内胆管无扩张。ct增强扫描动脉期肝右后叶团状低密度边缘明显不均性强化,内见多发斑片状无强化液化区,呈不规则峰窝状。

考虑肝脓肿早期(蜂窝组织炎阶段)。

鉴别:肝血管瘤,早期周边强化明显,逐渐向中心充填。原发性肝癌,强化一般呈快进快出,多有乙肝肝硬化病史。
作者: bmw011    时间: 2008-11-2 06:24
考虑肝脓肿
作者: xupengjie    时间: 2008-11-2 07:28
学习了
作者: yangjyan    时间: 2008-11-2 16:42
病灶边缘及其内部分隔呈持续强化,考虑肝脓肿
作者: 吴承学    时间: 2008-11-2 16:54
标题: 回复:ct16445:f80y,肝右后叶占位性病变
肝脓肿可能
作者: 深泽交通    时间: 2008-11-2 18:57
标题: 回复:ct16445:f80y,肝右后叶占位性病变
以下是引用wangyong-1977在2008-11-1 19:51:00的发言:[br]肝脓肿可能

作者: 黑白光影    时间: 2008-11-2 20:58
报告写的不错,支持.
作者: liuqiang    时间: 2008-11-3 00:31
平扫示肝右后叶见团状低密度灶,边界欠清,密度略不均匀,ct值28-32hu,肝内胆管无扩张。ct增强扫描动脉期肝右后叶团状低密度边缘明显不均性强化,内见多发斑片状无强化液化区,呈不规则峰窝状。

考虑肝脓肿早期(蜂窝组织炎阶段)。
作者: 同    时间: 2008-11-3 00:44
支持楼主意见 考虑肝脓肿.
作者: 随光逐影    时间: 2008-11-3 00:57
支持 肝右叶不典型肝脓肿。
作者: xulianj    时间: 2008-11-3 02:37
支持考虑肝脓肿
作者: tianyi_138    时间: 2008-11-19 06:02
支持肝脓肿,诊断报告写的不错。




欢迎光临 医影在线 (http://bbs.radida.com/bbs/) Powered by Discuz! X3.2