医影在线

标题: CT16454:头部平扫 [打印本页]

作者: xg410    时间: 2008-11-3 02:25
标题: CT16454:头部平扫
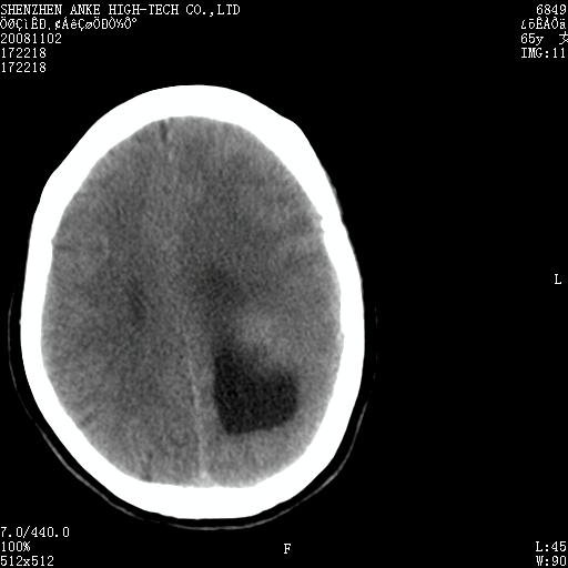
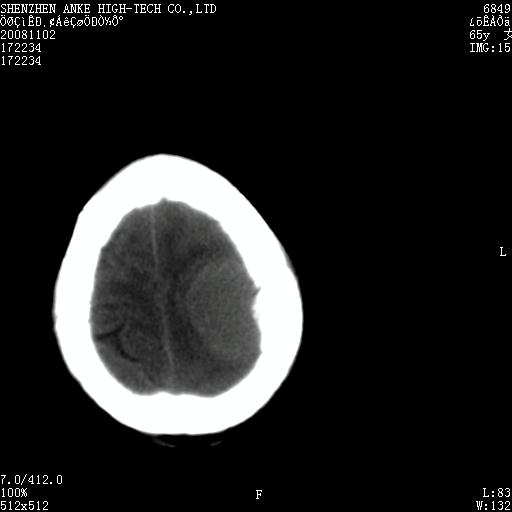
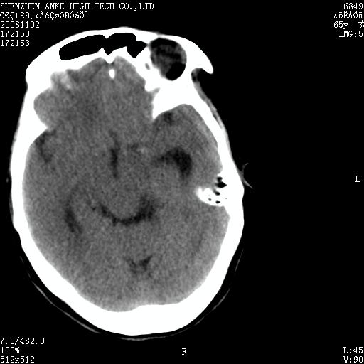
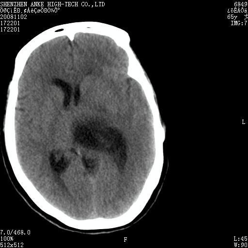
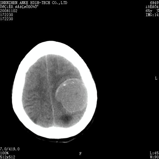
患者,女性,65岁,突发右侧肢体无力伴头痛,恶心、呕吐3小时.













[本贴已被 翁志蓬 于 2008-11-2 20:22:09 修改过]

作者: zsl6918    时间: 2008-11-3 02:33
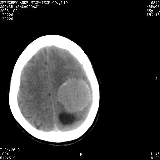
比较典型的脑膜瘤
作者: xinliheng001    时间: 2008-11-3 02:39
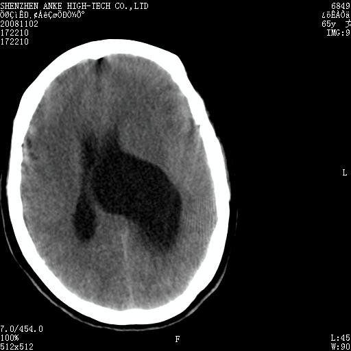
左侧脑外占位(脑膜瘤)压迫脑实质、脑室侧室孔所致。
作者: zhangyuanmr    时间: 2008-11-3 02:52
1 左侧顶区圆形病灶,内可见钙化,考虑脑膜瘤,建议增强。2 左侧侧脑室病变,考虑神经上皮囊肿。
作者: chenjianhua-882    时间: 2008-11-3 03:01
zhangyuanmr说的对
作者: 晓杰    时间: 2008-11-3 03:03
左侧脑外占位(脑膜瘤)压迫脑实质、脑室侧室孔所致。
作者: 卜一    时间: 2008-11-3 03:12
左侧脑外占位(脑膜瘤)压迫脑实质、脑室侧室孔所致。支持!
作者: xulianj    时间: 2008-11-3 03:27
左侧脑外占位(脑膜瘤)压迫脑实质、脑室侧室孔所致。支持!
作者: sunmumusun    时间: 2008-11-3 03:49
脑膜瘤。支持!!!
作者: 影像孺子牛    时间: 2008-11-3 03:54
左顶脑外占位(脑膜瘤)压迫脑实质、脑室侧室孔所致。
作者: 流浪星    时间: 2008-11-3 04:36
左顶脑外占位(脑膜瘤)压迫脑实质、脑室侧室孔所致。
作者: 杀毒软件    时间: 2008-11-3 06:12
支持大家
作者: dr.yang    时间: 2008-11-3 06:59
学习了
作者: shenhs    时间: 2008-11-3 08:17
左侧脑外占位(脑膜瘤)压迫脑实质、脑室侧室孔所致。支持!
作者: 随缘的人    时间: 2008-11-3 14:32
左侧脑外占位(脑膜瘤)压迫脑实质、脑室侧室孔所致。支持!
作者: 吴承学    时间: 2008-11-3 14:38
标题: 回复:ct16454:头部平扫
左顶脑外占位(脑膜瘤)压迫脑实质、脑室侧室孔所致。
作者: 随光逐影    时间: 2008-11-3 15:49
1)左侧顶区脑膜瘤可能性大;建议必要时行进一步检查。2)左侧脑室积水。
作者: 余辉    时间: 2008-11-3 15:58
支持考虑脑膜瘤,左侧室积水
作者: zjzjr    时间: 2008-11-3 18:48
左顶部脑膜瘤,左侧侧脑室蛛网膜囊肿,建议增强.
作者: 雨泽小草    时间: 2008-11-4 20:55
支持考虑脑膜瘤,左侧室积水.
作者: qbq123    时间: 2008-11-10 00:04
脑膜瘤无疑。
作者: dr.yang    时间: 2012-5-2 23:11
左侧脑外占位(脑膜瘤)压迫脑实质、脑室侧室孔所致积水。支持!




欢迎光临 医影在线 (http://bbs.radida.com/bbs/) Powered by Discuz! X3.2