医影在线
标题: CT16469:女,50岁,胶质瘤术后6年,今平扫加增强,请大家帮 [打印本页]
作者: joesea 时间: 2008-11-4 05:00
标题: CT16469:女,50岁,胶质瘤术后6年,今平扫加增强,请大家帮


























[本贴已被 jiajie 于 2008-11-3 21:14:40 修改过]
作者: bmw011 时间: 2008-11-4 05:11
有
作者: zsl6918 时间: 2008-11-4 05:33
标题: 1
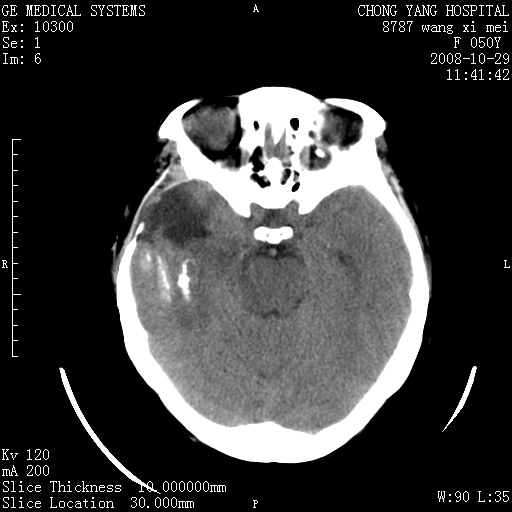
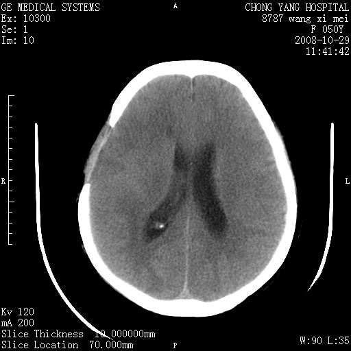
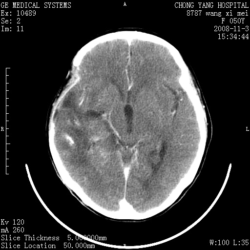
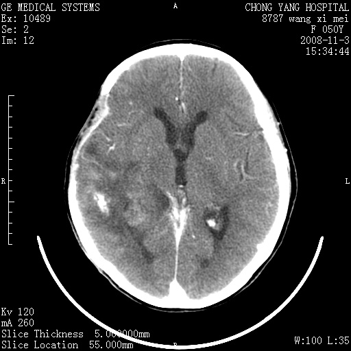
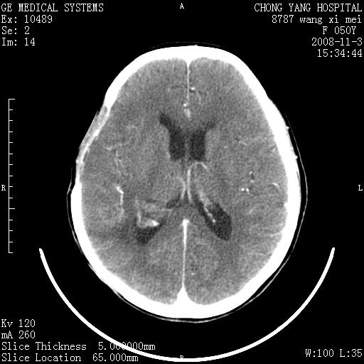
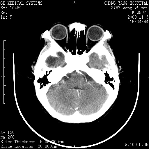
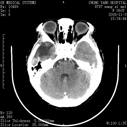
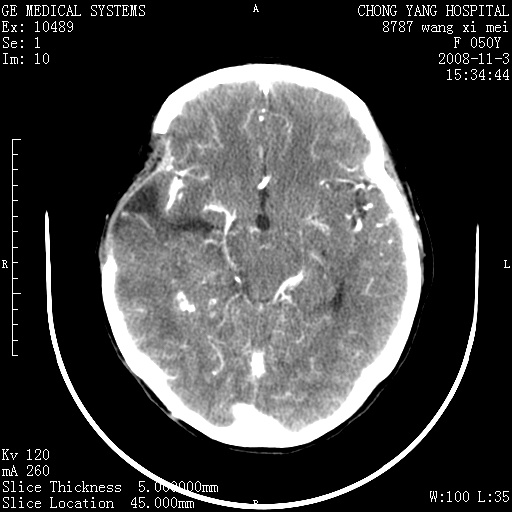
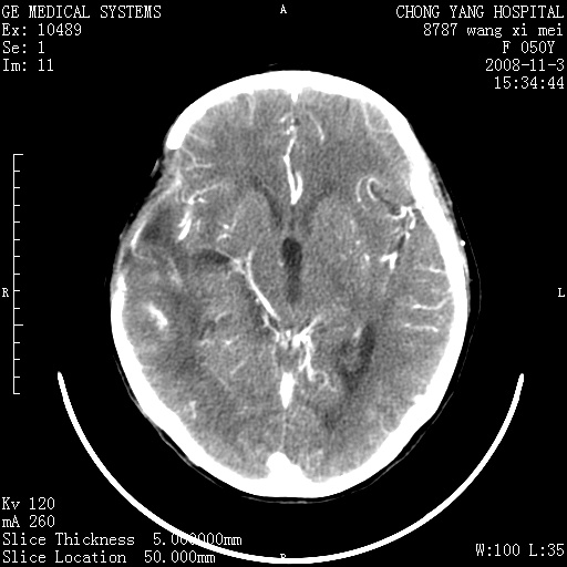
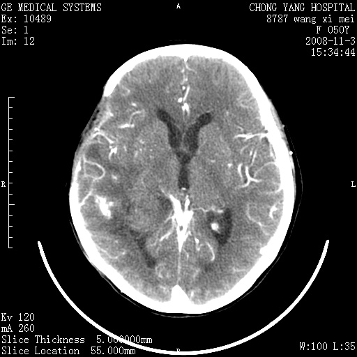
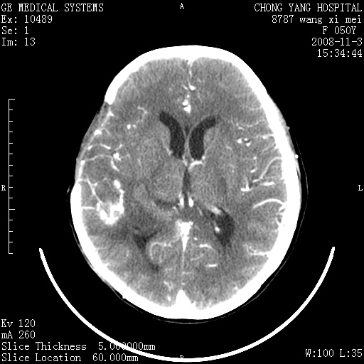
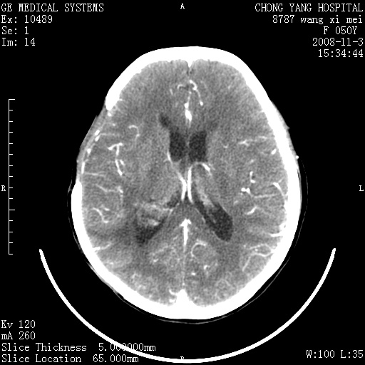
右侧颞顶部可见低密度实变影,内见不规则钙化灶,边界不清,占位效应明显,侧脑室后角受压移位,符合胶质瘤术后复发改变。
[本贴已被 jiajie 于 2008-11-6 7:28:14 修改过]
作者: xulianj 时间: 2008-11-4 06:19
未见明确复发。如果与术后首次片相比较一下就好了。
作者: 杀毒软件 时间: 2008-11-4 06:29
符合胶质瘤术后复发改变-------请与术后片比较
作者: liuyue 时间: 2008-11-4 07:17
标题: 1
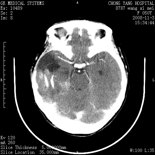
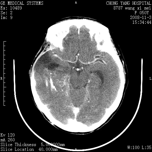
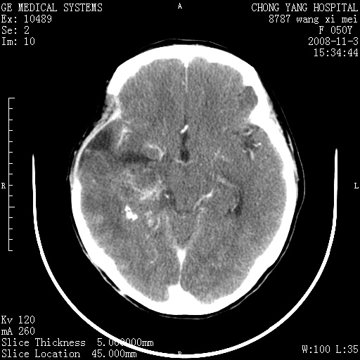
右颞骨局限性缺如,局部脑组织无外隆。右颞叶可见片状脑脊液样低密度影,边缘较清,右侧侧脑室三角区可见一块状等密度影,且伴有强化,余未见明显异常改变。
考虑:右大脑术后改变伴肿瘤复发。
[本贴已被 jiajie 于 2008-11-6 7:28:25 修改过]
作者: panyishengct 时间: 2008-11-4 07:42
右侧颞顶部可见低密度实变影,内见不规则钙化灶,边界不清,占位效应明显,侧脑室后角受压移位,符合胶质瘤术后复发改变。
作者: 卜一 时间: 2008-11-4 13:33
标题: 1
手术后局部片状低密度改变(软化灶),其后方颞叶似等密度病灶,界限不清,内见钙化,有轻度占位效应,但增强后强化之血管走行如常。应不考虑:复发!
[本贴已被 jiajie 于 2008-11-6 7:28:33 修改过]
作者: 吴承学 时间: 2008-11-4 14:20
标题: 回复:ct16469:女,50岁,胶质瘤术后6年,今平扫加增强,请
手术后局部片状低密度改变(软化灶),其后方颞叶似等密度病灶,界限不清,内见钙化,有轻度占位效应,但增强后强化之血管走行如常。应不考虑:复发!
作者: SOS.LA 时间: 2008-11-4 15:23
少突胶质细胞瘤.手术是不可能做净的.其发展较慢.复发是必然的。
作者: 随光逐影 时间: 2008-11-4 16:14
考虑右侧颞顶叶胶质瘤术后复发。
作者: WYD2008 时间: 2008-11-4 16:40
应考虑肿瘤复发,右颞顶叶已出现轻度强化肿块.必要时可与原片比较以下.
作者: lyb999 时间: 2008-11-4 16:57
右侧颞顶部混杂密度影,内有钙化,有占位效应。应该是复发灶。结合术后片更好。
作者: zjzjr 时间: 2008-11-4 17:11
符合胶质瘤术后复发改变-------请与术后片比较
作者: 深泽交通 时间: 2008-11-4 17:38
局部软化灶并钙化;无花边样强化,不象复发
作者: jinguoji 时间: 2008-11-5 01:54
标题: 回复:ct16469:女,50岁,胶质瘤术后6年,今平扫加增强,请
以下是引用卜一在2008-11-4 5:33:00的发言:[br]手术后局部片状低密度改变(软化灶),其后方颞叶似等密度病灶,界限不清,内见钙化,有轻度占位效应,但增强后强化之血管走行如常。应不考虑:复发!
作者: 黑白光影 时间: 2008-11-5 04:15
考虑右侧颞顶叶胶质瘤术后复发。
作者: qbq123 时间: 2008-11-10 00:36
胶质瘤是易复发的,这个病人有复发灶
| 欢迎光临 医影在线 (http://bbs.radida.com/bbs/) |
Powered by Discuz! X3.2 |