医影在线

标题: CT16447B:(续)增强扫描图像。 [打印本页]

作者: wpf    时间: 2008-11-4 05:32
标题: CT16447B:(续)增强扫描图像。
ct16447:http://www.radida.com/bbs/forum.php?mod=viewthread&tid=46034
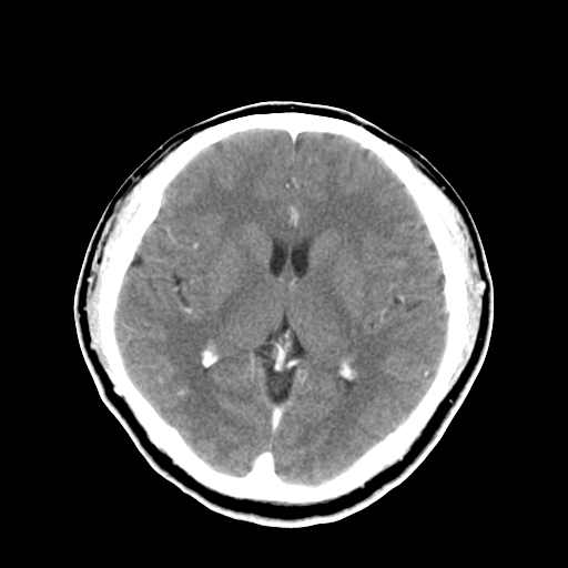
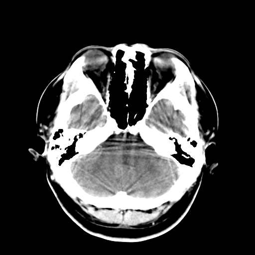
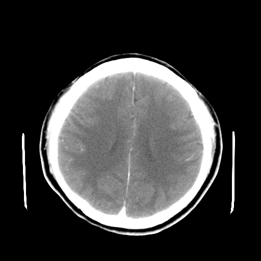
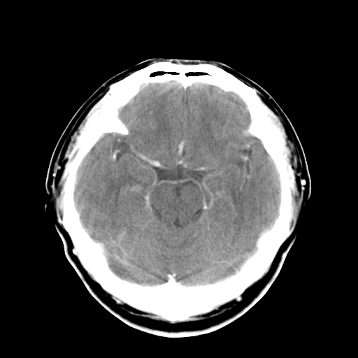
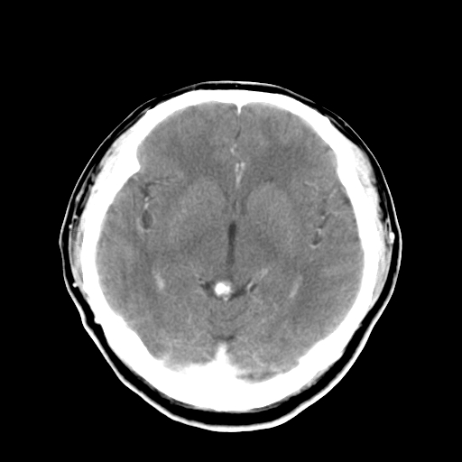
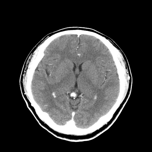
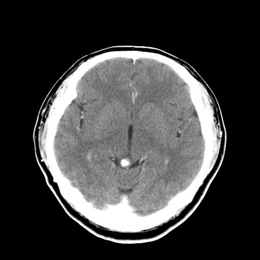
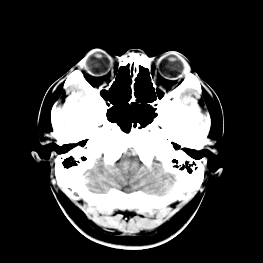
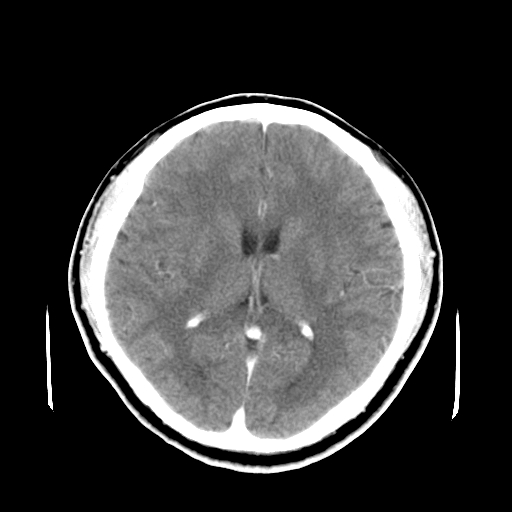
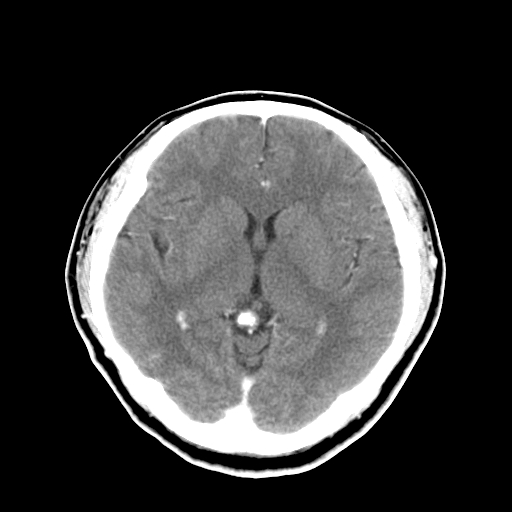
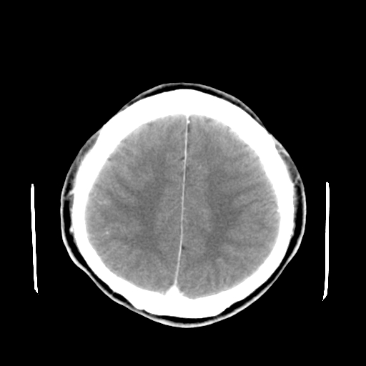
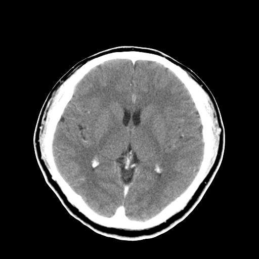
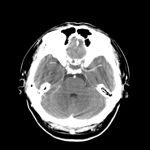
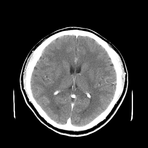
患者今日做ct增强检查,现补传增强扫描图像。
















[本贴已被 jiajie 于 2008-11-4 7:18:00 修改过]

作者: zsl6918    时间: 2008-11-4 05:36
强化并不能解决问题!记得当时我建议mr检查,不一定有事,不过做个放心。
作者: bmw011    时间: 2008-11-4 05:40
正常
作者: 杀毒软件    时间: 2008-11-4 06:26
没看出啥
作者: 卜一    时间: 2008-11-4 13:34
正常!
作者: 吴承学    时间: 2008-11-4 14:23
标题: 回复:补传ct16447增强扫描图像。
以下是引用卜一在2008-11-4 5:34:00的发言:[br]正常!

作者: zjzjr    时间: 2008-11-4 17:09
正常!
作者: 深泽交通    时间: 2008-11-4 17:34
松果体钙癍增大,无其他改变,定不了性
作者: 田甜    时间: 2008-11-4 18:53
正常
作者: jinguoji    时间: 2008-11-5 01:57
正常!
作者: xulianj    时间: 2008-11-5 03:33
一般认为大于1cm为异常。
作者: 黑白光影    时间: 2008-11-5 04:13
未见明确异常。
作者: qbq123    时间: 2008-11-10 00:28
正常




欢迎光临 医影在线 (http://bbs.radida.com/bbs/) Powered by Discuz! X3.2