医影在线
标题: CT16474:急会诊!女36岁。突发头痛头晕呕吐半小时。 [打印本页]
作者: 654 时间: 2008-11-4 07:55
标题: CT16474:急会诊!女36岁。突发头痛头晕呕吐半小时。
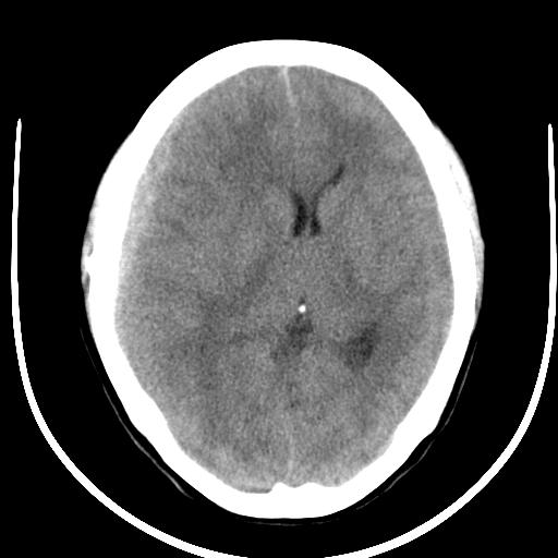
请问出血密度为何不高?








[本贴已被 jiajie 于 2008-11-4 7:27:35 修改过]
作者: bmw011 时间: 2008-11-4 08:04
慢性硬膜下血肿,右顶叶脑出血。
作者: shenhs 时间: 2008-11-4 08:10
病史不够全吧
作者: liuyue 时间: 2008-11-4 08:12
标题: 1
1.右侧硬膜下血肿。
2.右顶叶血肿。考虑:血管畸形伴出血。(此种脑出血密度一般比外伤性、高血压性脑出血密度低)
[本贴已被 jiajie 于 2008-11-6 7:18:18 修改过]
作者: wangyihuan33 时间: 2008-11-4 09:42
血液系统的检查有吗 ?
作者: 卜一 时间: 2008-11-4 13:49
1.右侧硬膜下血肿。
2.右顶叶血肿。
作者: SOS.LA 时间: 2008-11-4 14:41
标题: 回复:急会诊!女36岁。突发头痛头晕呕吐半小时。
以下是引用liuyue在2008-11-4 0:12:00的发言:[br]1.右侧硬膜下血肿。[br]2.右顶叶血肿。考虑:血管畸形伴出血。(此种脑出血密度一般比外伤性、高血压性脑出血密度低)
作者: 吴承学 时间: 2008-11-4 14:46
标题: 回复:急会诊!女36岁。突发头痛头晕呕吐半小时。
1.右侧硬膜下血肿。[br]2.右顶叶血肿。
作者: 随光逐影 时间: 2008-11-4 15:56
1)右侧额颞顶部硬膜下血肿。2)右侧顶枕叶脑内血肿。3)蛛网膜下腔出血。4)大脑镰下疝。
作者: 深泽交通 时间: 2008-11-4 16:54
右颞顶叶硬膜下血肿;右顶叶脑血肿;弥漫性脑肿胀
作者: zjzjr 时间: 2008-11-4 16:57
1.右侧硬膜下血肿。
2.右顶叶血肿。
作者: lyb999 时间: 2008-11-4 17:03
右侧硬膜下血肿。右顶叶血肿。同时好象有蛛网膜下腔出血。
作者: qwerty111 时间: 2008-11-4 17:22
.右侧硬膜下血肿。
2.右顶叶血肿。考虑:血管畸形伴出血
作者: cfililiu 时间: 2008-11-4 17:23
诊断很明确,建议你们院长换一台新设备
作者: 朱亮 时间: 2008-11-4 17:43
急性出血 病人可能贫血
作者: yangzhenghai 时间: 2008-11-4 18:04
标题: 回复:ct16474:急会诊!女36岁。突发头痛头晕呕吐半小时。
以下是引用liuyue在2008-11-4 0:12:00的发言:[br]1.右侧硬膜下血肿。[br]2.右顶叶血肿。考虑:血管畸形伴出血。(此种脑出血密度一般比外伤性、高血压性脑出血密度低)
作者: 影像之路 时间: 2008-11-4 19:56
图像伪影较大 考虑血肿密度较低的原因:1患者贫血?2、机器伪影所致?
作者: 光影相伴 时间: 2008-11-4 20:11
标题: 回复:ct16474:急会诊!女36岁。突发头痛头晕呕吐半小时。
以下是引用随光逐影在2008-11-4 7:56:00的发言:[br]1)右侧额颞顶部硬膜下血肿。2)右侧顶枕叶脑内血肿。3)蛛网膜下腔出血。4)大脑镰下疝。
作者: dongqing0606 时间: 2008-11-4 22:27
支持: 1.右侧硬膜下血肿。
2.右顶叶血肿。考虑:血管畸形伴出血。(此种脑出血密度一般比外伤性、高血压性脑出血密度低) 3.蛛网膜下腔出血不排除
作者: 幸福风 时间: 2008-11-4 23:18
出血的密度改变与出血的时间、部位、出血量及出血后血内成分的变化有关
作者: 医影常客 时间: 2008-11-4 23:21
急性发病,还不到高密度的时候----急性硬膜下血肿 脑内血肿
作者: QINGJING 时间: 2008-11-5 02:07
慢性硬膜下血肿,右枕、顶叶脑出血。
作者: jinguoji 时间: 2008-11-5 03:08
1.右侧硬膜下血肿。
2.右顶叶血肿。
作者: zsl6918 时间: 2008-11-5 03:32
标题: 回复:ct16474:急会诊!女36岁。突发头痛头晕呕吐半小时。
急性硬膜下血肿,右顶叶脑内血肿,脑肿胀
作者: xulianj 时间: 2008-11-5 03:51
1.右侧硬膜下血肿。
2.右顶叶血肿。
作者: 黑白光影 时间: 2008-11-5 03:54
右侧额颞顶部硬膜下血肿。右侧顶枕叶脑内血肿。
作者: dr.yang 时间: 2008-11-5 04:17
1.右侧硬膜下血肿。
2.右顶叶血肿。
作者: qbq123 时间: 2008-11-10 00:41
1、右侧硬膜下血肿。2、右侧枕顶叶脑内血肿。
| 欢迎光临 医影在线 (http://bbs.radida.com/bbs/) |
Powered by Discuz! X3.2 |