医影在线

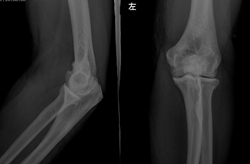
标题: X5007:女,40岁,时感局部隐痛。 [打印本页]

作者: czl    时间: 2008-11-4 19:02
标题: X5007:女,40岁,时感局部隐痛。



[本贴已被 翁志蓬 于 2008-11-4 12:23:40 修改过]

作者: zsl6918    时间: 2008-11-4 19:44
仅能提示退变
作者: czl    时间: 2008-11-4 20:13
标题: 回复:女,40岁,时感局部隐痛。

作者: 杀毒软件    时间: 2008-11-5 01:14
关节间隙旁似见----游离体-----退变
作者: 曲波    时间: 2008-11-5 01:22
骨内腱鞘囊肿
作者: QINGJING    时间: 2008-11-5 02:21
退变
作者: PANPAN    时间: 2008-11-5 02:34
考虑:1.退变。2.痛风性关节炎,建议进一步检查。
作者: 黑白光影    时间: 2008-11-5 03:19
考虑退变。
作者: 余辉    时间: 2008-11-5 03:20
退变,肱骨小头上方骨内腱鞘囊肿或滑囊疝
作者: 宋定川    时间: 2008-11-5 04:37
太小了·看不清楚·
未见异常·
作者: lqx1986423    时间: 2008-11-5 05:23
学习
作者: zhengfaming    时间: 2008-11-5 05:41
关节间隙变窄,并见增生,支持,退变
作者: zxczxc    时间: 2008-11-5 06:28
图象太小,图像处理过程进一步研究一下。
退行性改变吧。
作者: 随光逐影    时间: 2008-11-5 16:14
考虑肘关节退行性改变。
作者: 姜晓辉    时间: 2008-11-5 16:20
滑囊疝
作者: 358450m    时间: 2008-11-5 21:21
标题: 回复:x5007:女,40岁,时感局部隐痛。
以下是引用黑白光影在2008-11-4 19:19:00的发言:[br]考虑退变。

作者: qsbaomingcheng    时间: 2008-11-5 23:22
肘关节退行性改变。
作者: hexue    时间: 2008-11-6 02:19
考虑肘关节退行性改变。
作者: shibing    时间: 2014-4-8 08:00
退变




欢迎光临 医影在线 (http://bbs.radida.com/bbs/) Powered by Discuz! X3.2