医影在线
标题: CT16478:男 头晕 恶心 呕吐 [打印本页]
作者: 叶子123 时间: 2008-11-4 21:05
标题: CT16478:男 头晕 恶心 呕吐
(结果公布:http://www.radida.com/bbs/forum.php?mod=viewthread&tid=46404)










[本贴已被 jiajie 于 2008-11-13 11:56:57 修改过]
作者: 卜一 时间: 2008-11-4 22:50
蛛网膜下腔出血可能性大!
作者: 深泽交通 时间: 2008-11-4 23:03
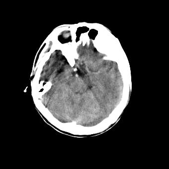
右额叶转移瘤?看不清
作者: jone-baby 时间: 2008-11-4 23:31
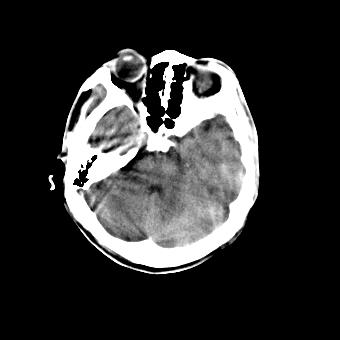
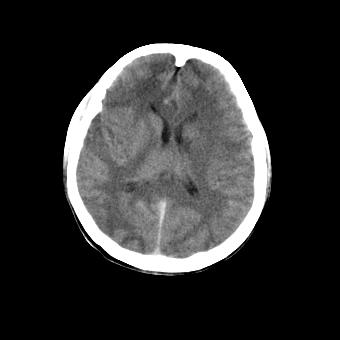
病人不合作,图像质量差,右额叶及后纵裂可见高密度影,建议复查。
作者: dongqing0606 时间: 2008-11-4 23:38
标题: 1
1.额叶显示密度不均匀,且右侧内见小片稍高密度影, 图像效果差些,不好定?
2.纵裂密度增高,部分脑回密度似乎也增高,蛛网膜下腔出血。
[本贴已被 jiajie 于 2008-11-6 7:10:06 修改过]
作者: 权世辉 时间: 2008-11-4 23:56
蛛网膜下腔出血可能?不知道他的肢体症伏如何!
作者: 随光逐影 时间: 2008-11-5 00:54
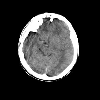
脑水肿?建议短期复查。
作者: QINGJING 时间: 2008-11-5 01:00
左颞叶占位,建议mr
作者: 杀毒软件 时间: 2008-11-5 01:42
脑水肿?蛛网膜下腔出血?------病史?
作者: bmw011 时间: 2008-11-5 01:52
标题: 1
右额叶小片状高密度灶,周围有水肿带,为脑出血;是否有外伤史?若没有,则考虑肿瘤——胶质瘤出血可能性大。
[本贴已被 jiajie 于 2008-11-6 7:09:59 修改过]
作者: Adams 时间: 2008-11-5 02:26
图像不好看,暂时考虑脑水肿,稳当起见建议复查
作者: zsl6918 时间: 2008-11-5 03:41
转移或结核,不除外寄生虫感染
作者: xulianj 时间: 2008-11-5 03:41
蛛血;脑肿瘤待排。
作者: 同 时间: 2008-11-5 03:43
蛛网膜下腔出血可能性大.
作者: 余辉 时间: 2008-11-5 03:59
弥漫性脑肿胀,建议增强检查
作者: zjzjr 时间: 2008-11-5 03:59
伪影太多,不好诊断
作者: 流浪星 时间: 2008-11-5 04:10
脑水肿?建议短期复查
作者: 宋定川 时间: 2008-11-5 05:32
脑水肿?蛛网膜下腔出血?
作者: qbq123 时间: 2008-11-9 23:51
病人不合作,图像模糊,大脑镰及纵裂池后部密度增高;考虑:蛛血?
作者: yidian 时间: 2008-11-13 06:39
右额叶片状低密度灶,其前内侧小片状略高密度,首先考虑胶质瘤
另外恶心呕吐多久,临床有无发热,年龄多大?不排除脑炎的可能
作者: 随光逐影 时间: 2008-11-13 21:39
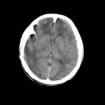
[quote]以下是引用叶子123在2008-11-13 9:55:00的发言:[br]患者因煤气中毒入院,临床及ct均诊断一氧化碳中毒性脑病[br][br]
感谢楼主反馈结果。
作者: lxprmyy 时间: 2008-11-15 18:35
支持楼上
作者: xingguangcan 时间: 2008-11-17 06:06
没有提供病史,图像质量又差,很难做诊断。
| 欢迎光临 医影在线 (http://bbs.radida.com/bbs/) |
Powered by Discuz! X3.2 |