





























以下是引用随光逐影在2008-11-4 18:36:00的发言:[br]支持楼主考虑。
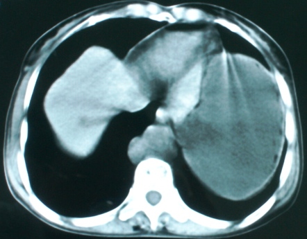
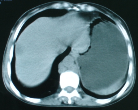
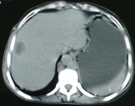
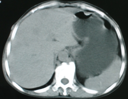
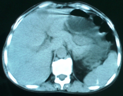
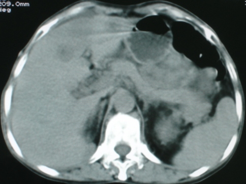
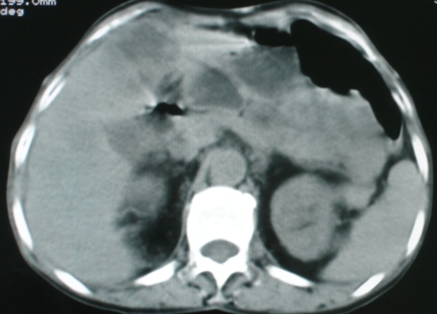
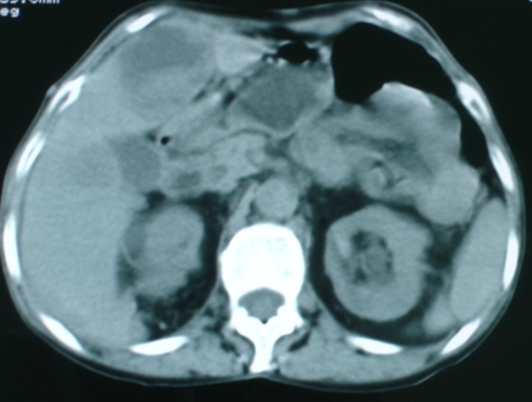
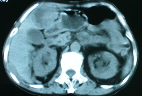
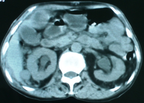
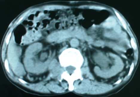
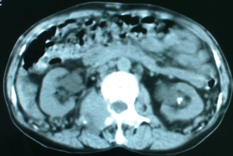
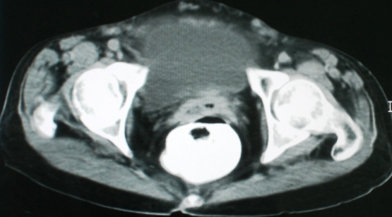
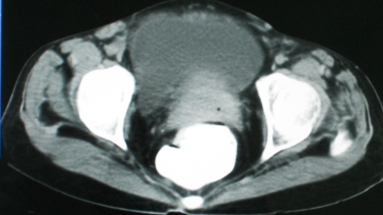
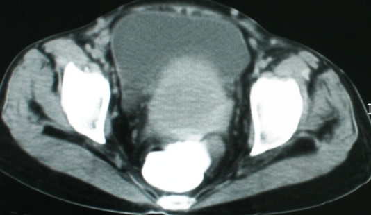
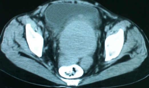
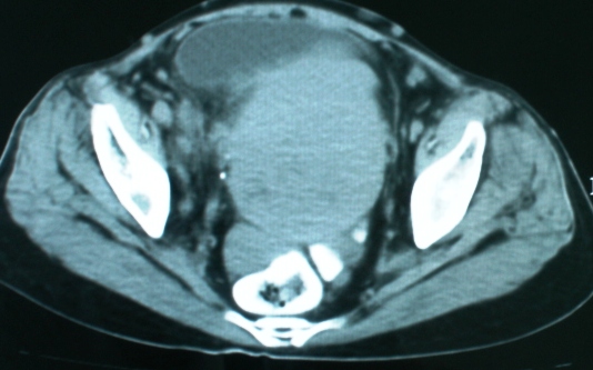
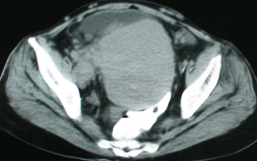
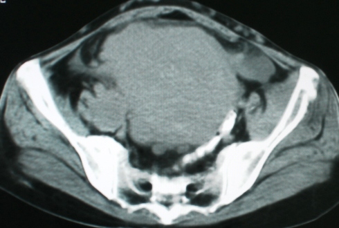
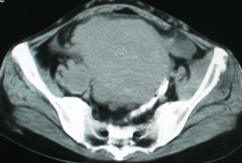
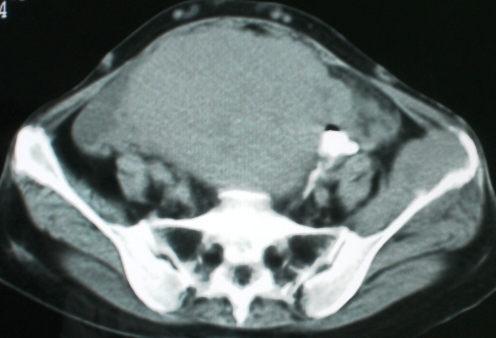
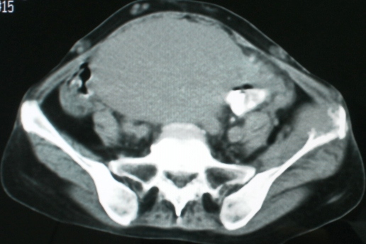
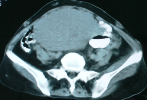
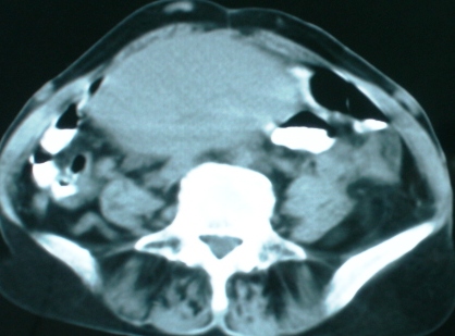
以下是引用zsl6918在2008-11-4 19:14:00的发言:[br]多发转移性改变,子宫改变不除外为原发灶
以下是引用zsl6918在2008-11-4 19:14:00的发言:[br]多发转移性改变,子宫改变不除外为原发灶
以下是引用杀毒软件在2008-11-4 17:34:00的发言:[br]支持楼主考虑
| 欢迎光临 医影在线 (http://bbs.radida.com/bbs/) | Powered by Discuz! X3.2 |