

















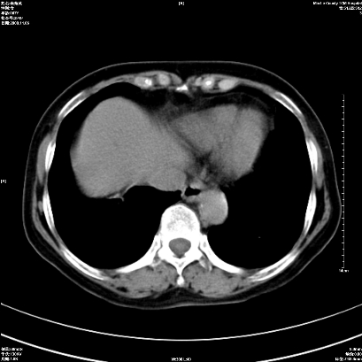
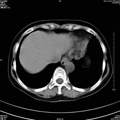
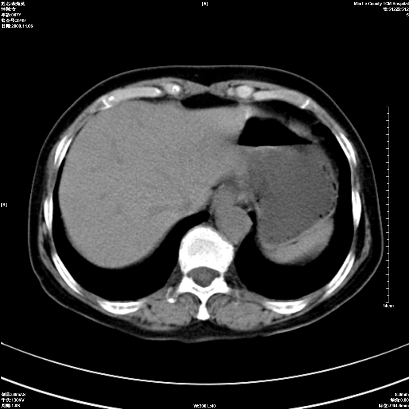
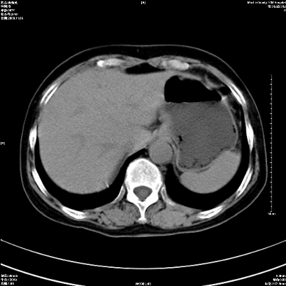
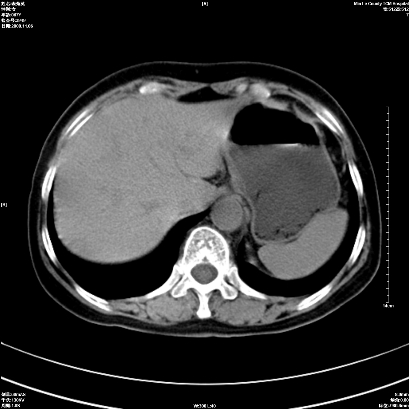
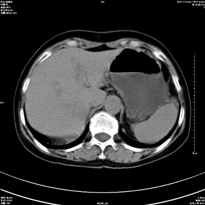
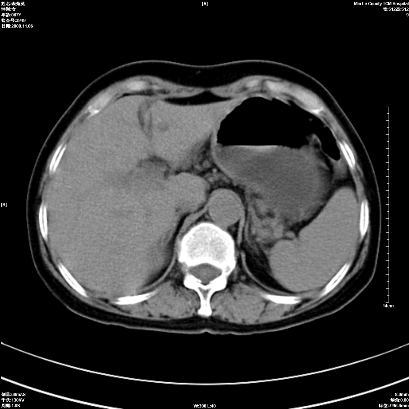
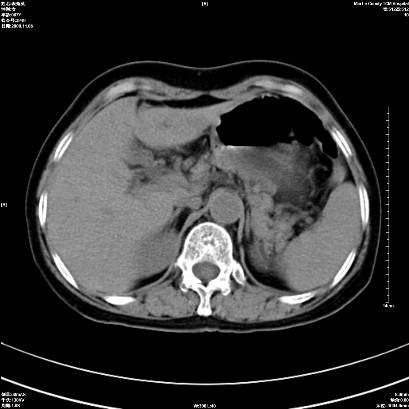
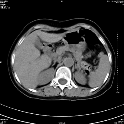
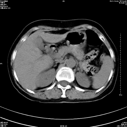
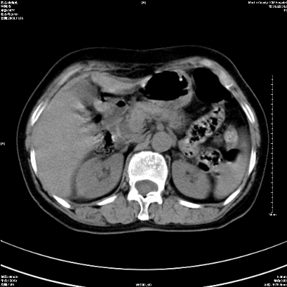
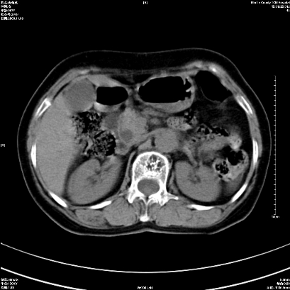
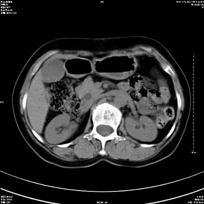
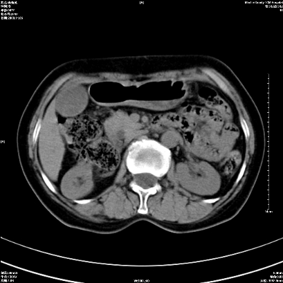
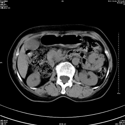
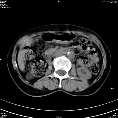
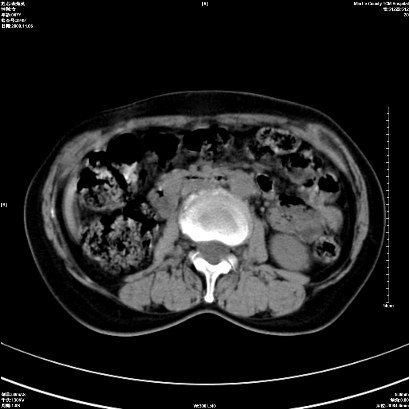
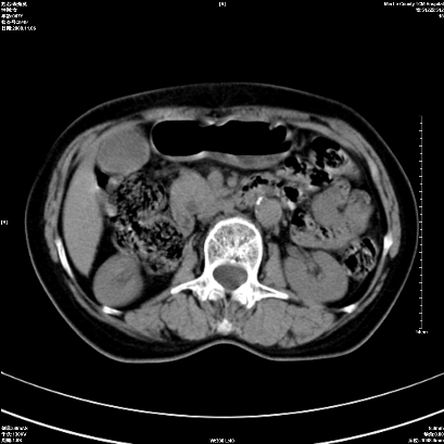
以下是引用卜一在2008-11-6 15:58:00的发言:[br]胰头略增大,胆总管扩张,末端渐行性狭窄。多考虑:胰头癌!建议增强!
以下是引用卜一在2008-11-6 15:58:00的发言:[br]胰头略增大,胆总管扩张,末端渐行性狭窄。多考虑:胰头癌!建议增强!
以下是引用huangyinshan在2008-11-6 16:32:00的发言:[br]胰头略增大,胆总管扩张,末端渐行性狭窄。多考虑:胰头癌!建议增强!
| 欢迎光临 医影在线 (http://bbs.radida.com/bbs/) | Powered by Discuz! X3.2 |