医影在线
标题: CT16523:M 老年 发烧、呼吸困难,慢支、肺气肿多年 [打印本页]
作者: 龚文峰 时间: 2008-11-7 02:39
标题: CT16523:M 老年 发烧、呼吸困难,慢支、肺气肿多年
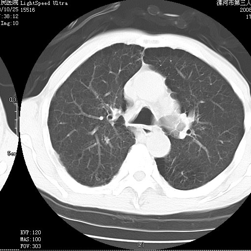
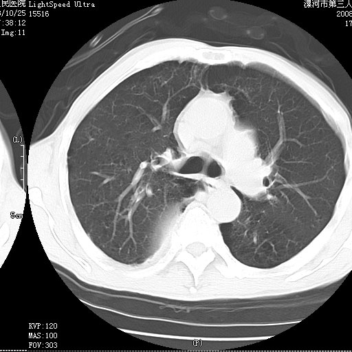
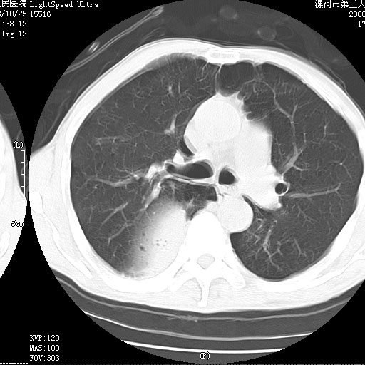
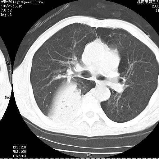
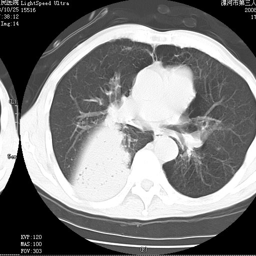
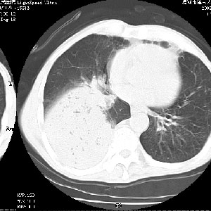
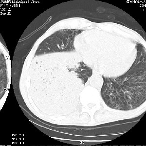
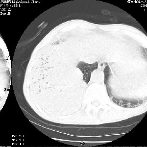
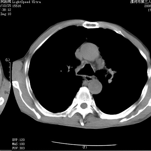
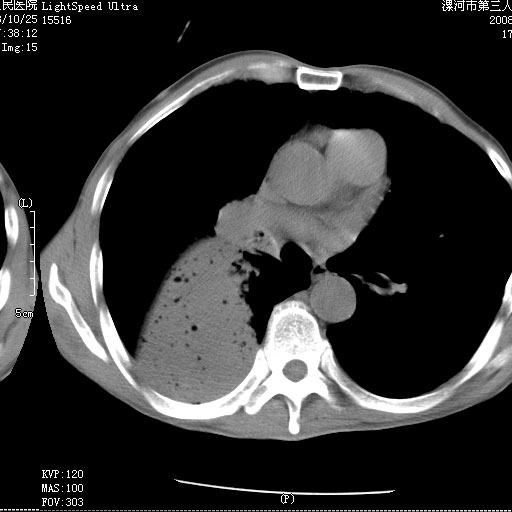
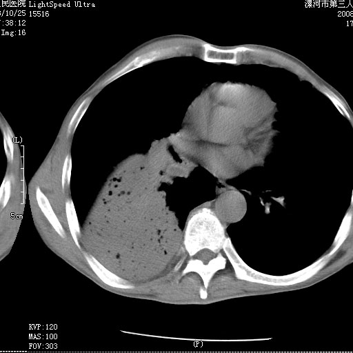
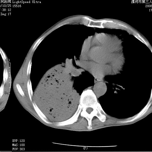
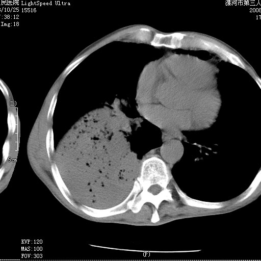
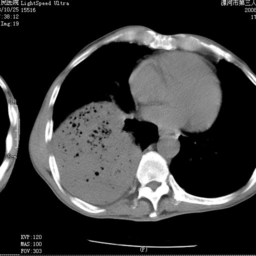
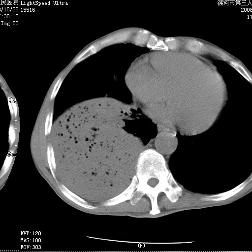
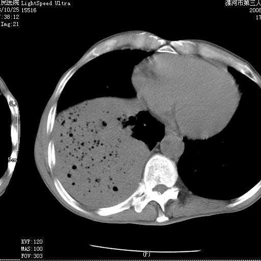
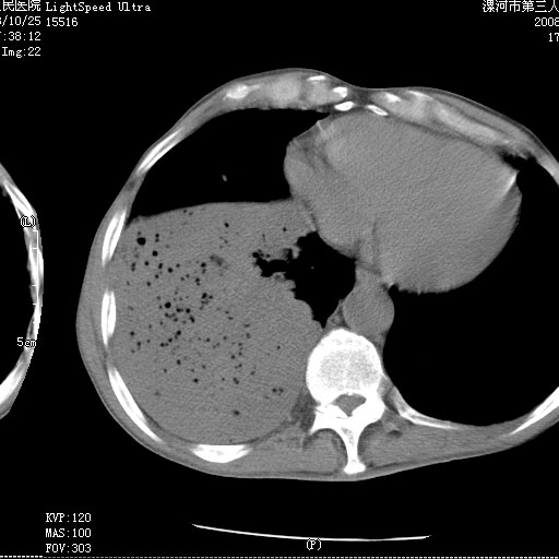
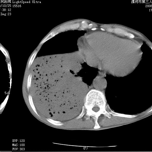
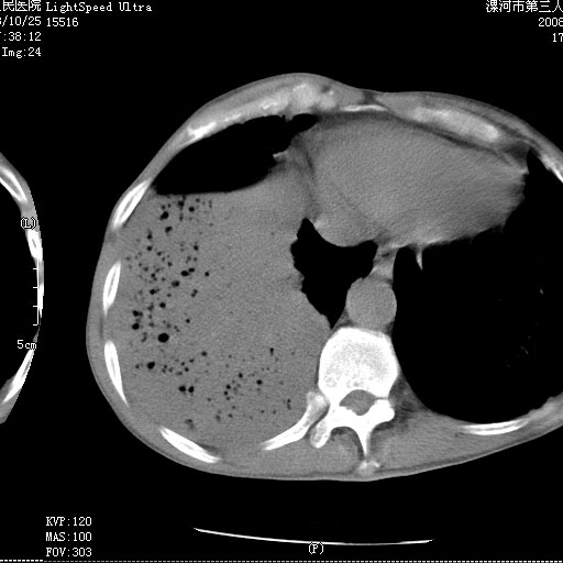
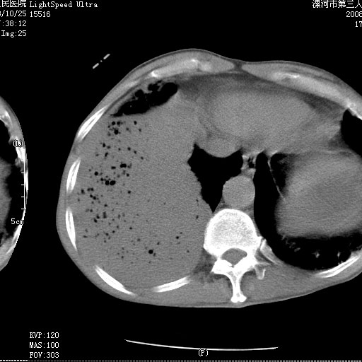
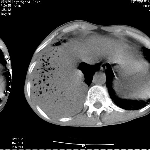
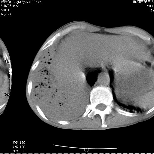
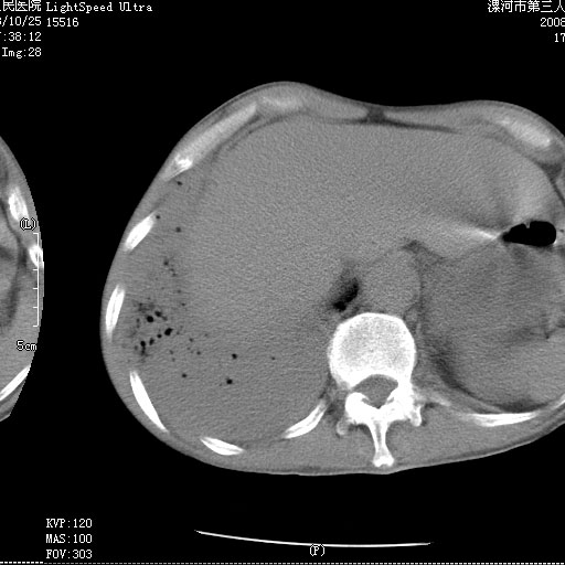
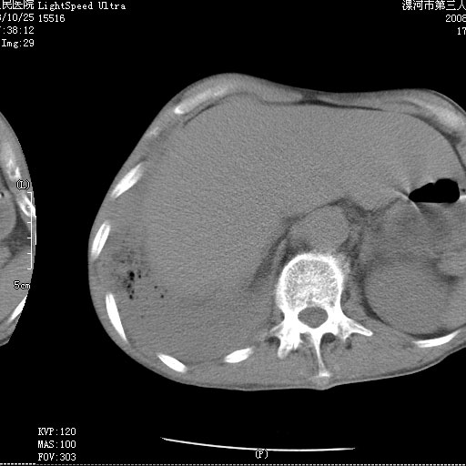
m 老年 发烧、呼吸困难,慢支、肺气肿多年;记的那次是下午大概17:38做的,晚上窒息死亡。
上面的层面就慢性支气管炎肺气肿、肺大泡,别的没有什么、也就不传了。
当时我怀疑:1、阻塞性肺不张早期 2、肺脓肿早期,望老师们发表意见








































[本贴已被 jiajie 于 2008-11-6 19:55:18 修改过]
作者: zsl6918 时间: 2008-11-7 02:44
标题: 回复
应该是脓胸的表现,右下肺气管阻塞考虑为痰栓.
[本贴已被 zsl6918 于 2008-11-6 18:51:23 修改过]
作者: QINGJING 时间: 2008-11-7 02:45
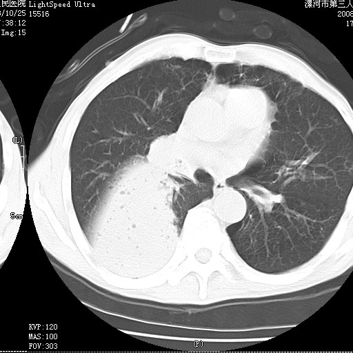
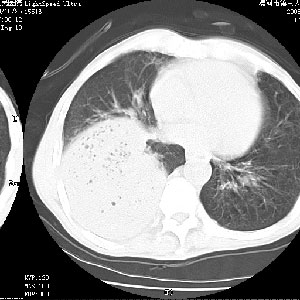
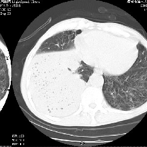
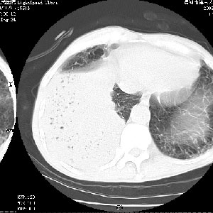
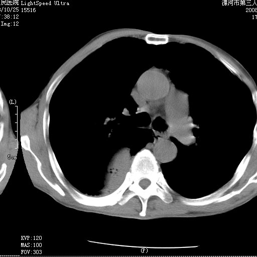
你怀疑的有道理,慢支、肺气肿、肺打泡是有了,右下肺的病变有待商议;
首先考虑右下肺炎症并不张,不除外早期肺泡癌改变
作者: 杀毒软件 时间: 2008-11-7 02:51
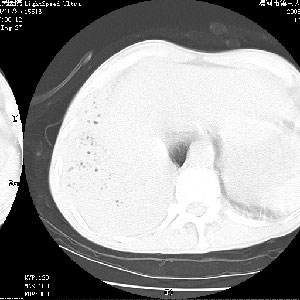
病灶边缘清---多个含气小腔---近端未见通畅气管影-----支持-----慢性肺脓肿继发阻塞性肺不张
阻塞性肺不张原因-----脓液未排出
作者: 光影相伴 时间: 2008-11-7 03:10
右下肺炎症并不张,不除外早期肺泡癌改变.
作者: xionwe 时间: 2008-11-7 03:29
为什么不可以考虑肺栓塞呢
作者: zjzjr 时间: 2008-11-7 03:42
考虑肺梗塞
作者: 影像之路 时间: 2008-11-7 04:05
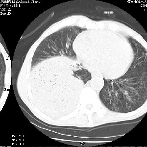
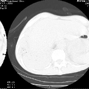
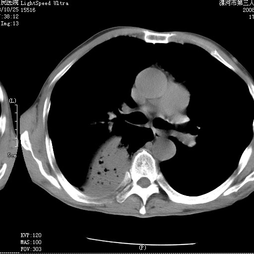
1、右侧脓胸;2、copd;
3、细支气管肺泡癌可以排除,病变以斜裂为界,呈大片状高密度影,内可见多发小气泡,表明有产气杆菌感染所致,内无明显的支气管“枯树枝征”表现,再结合其临床改变(细支气管肺泡癌临表表现重、影像表现轻)所以不符合细支气管肺泡癌(炎症型)的改变。
作者: 形影不离 时间: 2008-11-7 04:12
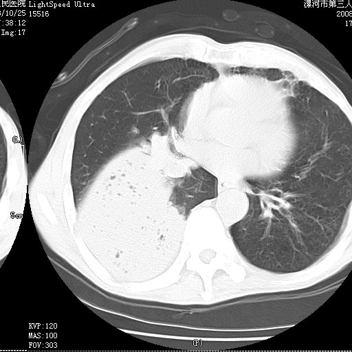
考虑为右肺下叶支气管痰栓形成并阻塞性肺不张及肺炎。
作者: 黑白光影 时间: 2008-11-7 04:32
标题: 回复:ct16523:m 老年 发烧、呼吸困难,慢支、肺气肿多年
以下是引用xionwe在2008-11-6 19:29:00的发言:[br]为什么不可以考虑肺栓塞呢
作者: xulianj 时间: 2008-11-7 04:33
肺脓肿。支持
作者: 朱亮 时间: 2008-11-7 04:56
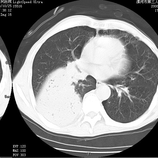
按肺叶分布,考虑肺不张
作者: liuyue 时间: 2008-11-7 05:58
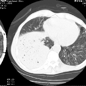
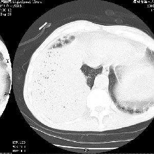
病变按肺叶分布,病变内可见多个小空腔影,未见充气支气管影,中间段支气管管腔肺窗示密度欠均匀,下肺支气管分叉处基底段支气管隐约可见,未见明显狭窄,中叶支气管通畅,
考虑:阻塞性肺炎伴小脓肿形成可能性大。(痰栓可能性大)
作者: chenjianhua-882 时间: 2008-11-7 10:01
叶间裂前移,能考虑肺不张和肺栓塞吗?为什么不增强?大叶肺炎不能考虑吗?
作者: 卜一 时间: 2008-11-7 13:52
右下肺炎症并不张!
作者: 吴承学 时间: 2008-11-7 14:35
标题: 回复:ct16523:m 老年 发烧、呼吸困难,慢支、肺气肿多年
病灶边缘清---多个含气小腔---近端未见通畅气管影-----支持-----慢性肺脓肿继发阻塞性肺不张[br][br]阻塞性肺不张原因-----脓液未排出
作者: 曼一拍 时间: 2008-11-7 15:06
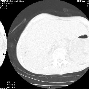
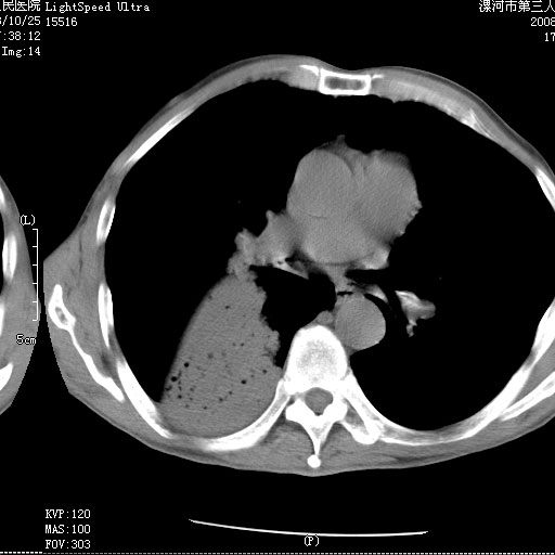
右下肺实变,内有弥漫分面小气泡而无支气管征,叶间裂前移,呈臌大之形,而无收缩之状,兼纵隔稍左行移,故。不支持不张,倒支持大叶肺叶,如楼上所说,小气泡不象残留之肺,不可以考虑产气菌感染吗。
作者: zhh 时间: 2008-11-7 16:46
阻塞性肺炎,肺脓肿形成。依据,右下支气管不通,大片实变形内可见小气泡。不支持肺不张。
作者: 随光逐影 时间: 2008-11-7 16:47
不排除肺栓塞可能。
作者: cfililiu 时间: 2008-11-7 16:52
坠积性肺炎合并右下肺膨胀不全
作者: 深泽交通 时间: 2008-11-7 17:13
右侧脓胸
作者: gfw 时间: 2008-11-7 17:59
考虑为右肺下叶支气管痰栓形成并阻塞性肺不张及肺炎。
作者: sdzyy 时间: 2008-11-7 18:56
右下肺阻塞性炎症,内见多发气体影,以肺叶分布.不支持不张.
作者: 晓杰 时间: 2008-11-7 21:54
考虑为右肺下叶支气管痰栓形成并阻塞性肺不张及肺炎。支持
作者: LIAOQIANG 时间: 2008-11-8 01:33
右肺下叶肺脓肿,右肺下叶支气管痰栓形成。
作者: 泰医女孩 时间: 2008-11-14 01:58
考虑右肺下叶脓肿,右肺下叶支气管痰栓。
作者: huqi8888 时间: 2008-11-14 03:25
考虑肺梗塞可能性大。
| 欢迎光临 医影在线 (http://bbs.radida.com/bbs/) |
Powered by Discuz! X3.2 |