医影在线

标题: CT16524:前列腺癌术后10余年,复查有无复发,请指教 [打印本页]

作者: 王明发    时间: 2008-11-7 03:13
标题: CT16524:前列腺癌术后10余年,复查有无复发,请指教
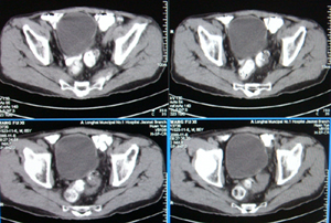
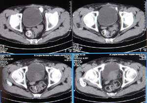
前列腺癌术后10余年,复查有无复发,请指教,图像做得不好,还望包涵










[本贴已被 jiajie 于 2008-11-6 19:57:31 修改过]

作者: zsl6918    时间: 2008-11-7 03:30
膀胱内可见占位,建议膀胱镜观察
作者: zjzjr    时间: 2008-11-7 03:38
连续看还是前列腺的病变,考虑复发.
作者: 影像之路    时间: 2008-11-7 03:49
应了解一下患者的具体手术方式,从所传图像上看未见明显异常(图像有点太小不便观看)。
作者: 同    时间: 2008-11-7 04:19
考虑前列腺癌复发.
作者: 黑白光影    时间: 2008-11-7 04:27
结合病史考虑前列腺癌复发。
作者: xulianj    时间: 2008-11-7 04:38
考虑前列腺癌复发。
作者: 朱亮    时间: 2008-11-7 04:51
像膀胱内占位
作者: liuyue    时间: 2008-11-7 05:21
结合病史考虑前列腺癌复发。
建议:强化扫描。
作者: 卜一    时间: 2008-11-7 13:51
结合病史考虑前列腺癌复发。
作者: 吴承学    时间: 2008-11-7 14:38
标题: 回复:ct16524:前列腺癌术后10余年,复查有无复发,请指教
前列腺的病变,考虑复发.
作者: 随光逐影    时间: 2008-11-7 16:39
结合病史,考虑前列腺癌术后复发。
作者: 深泽交通    时间: 2008-11-7 17:10
标题: 回复:ct16524:前列腺癌术后10余年,复查有无复发,请指教
以下是引用xulianj在2008-11-6 20:38:00的发言:[br]考虑前列腺癌复发。

作者: gfw    时间: 2008-11-7 17:52
结合病史考虑前列腺癌复发。
建议:强化扫描。
作者: sdzyy    时间: 2008-11-7 18:46
前列腺增大,向上突入膀胱内,结合病史考虑前列腺癌复发可能。
作者: 泰医女孩    时间: 2008-11-14 02:04
图像太小,左侧膀胱壁似见不规则突起,前列腺突入膀胱,建议膀胱镜检查及前列腺增强检查。




欢迎光临 医影在线 (http://bbs.radida.com/bbs/) Powered by Discuz! X3.2