医影在线
标题: CT16529:看胸廓入口是什么,即将手术 [打印本页]
作者: chry3 时间: 2008-11-7 06:27
标题: CT16529:看胸廓入口是什么,即将手术
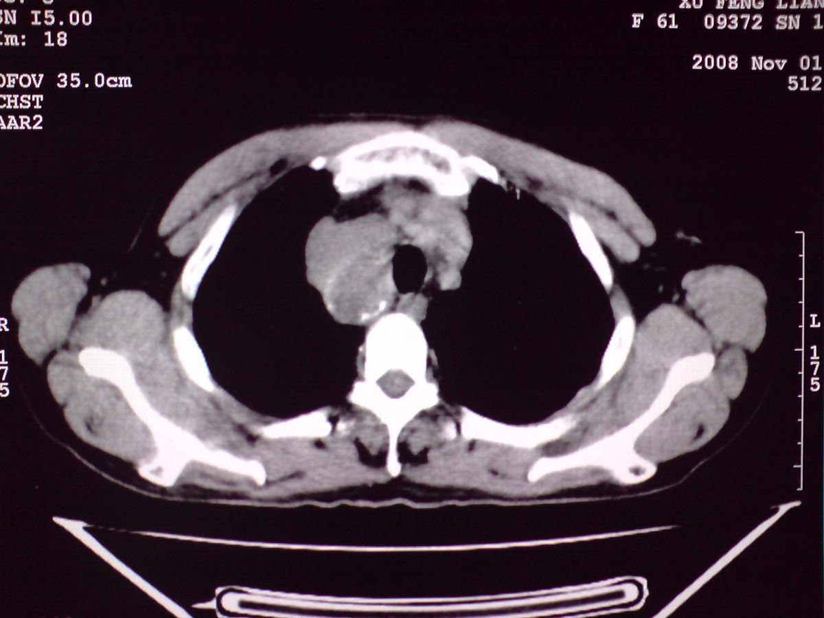
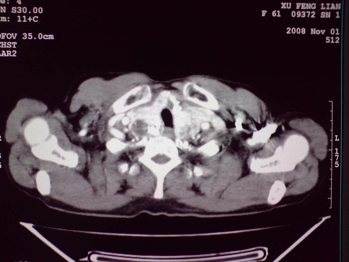
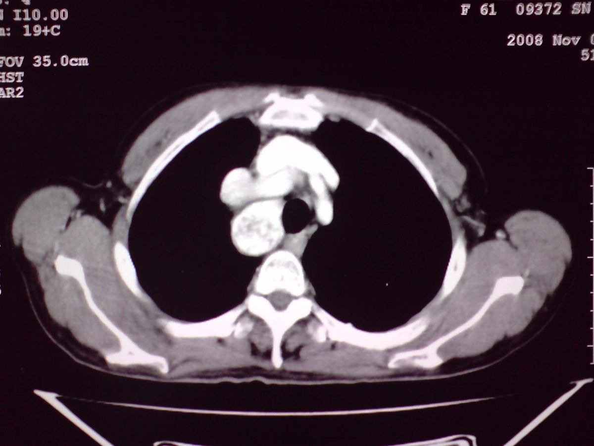
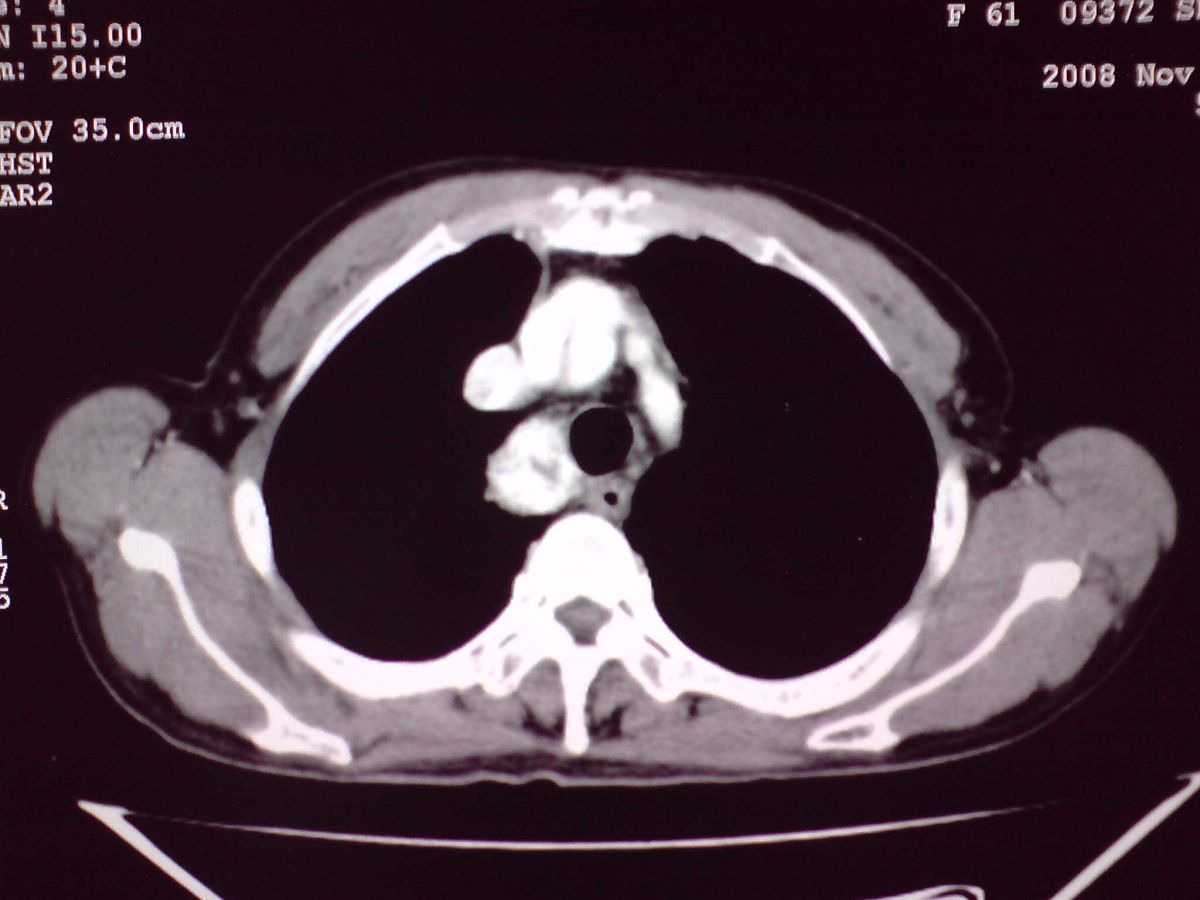
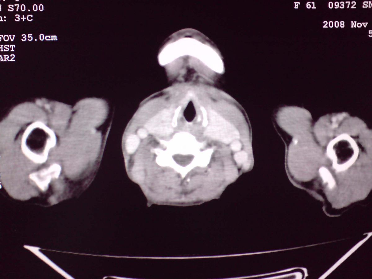
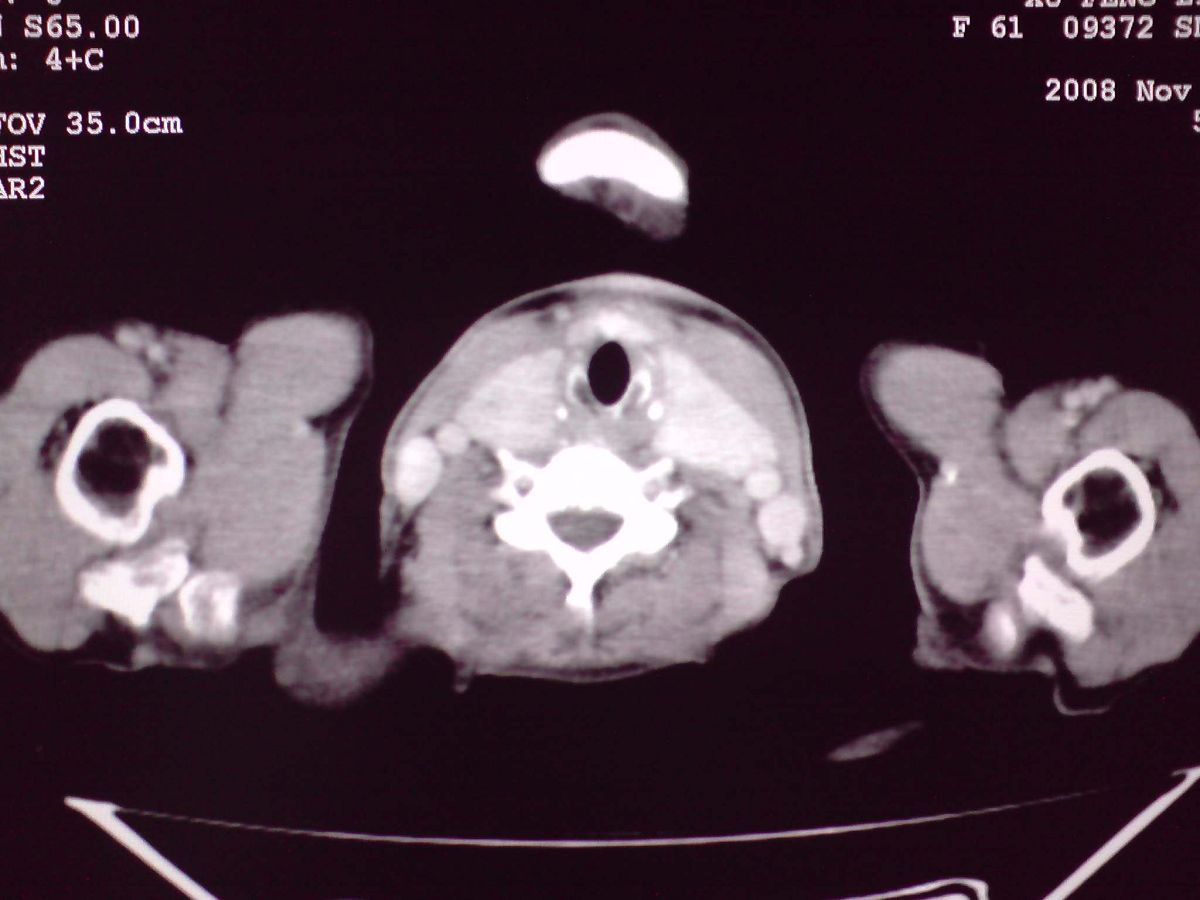
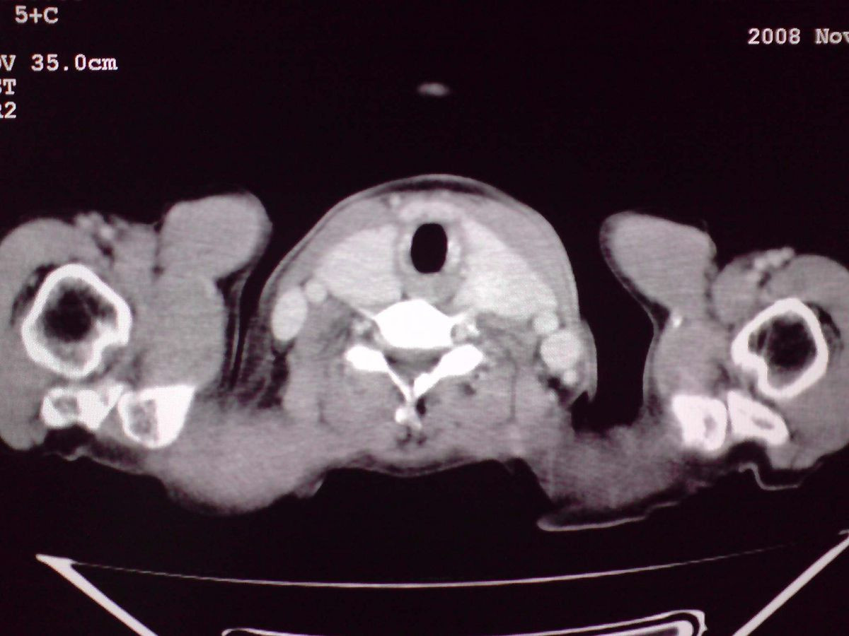
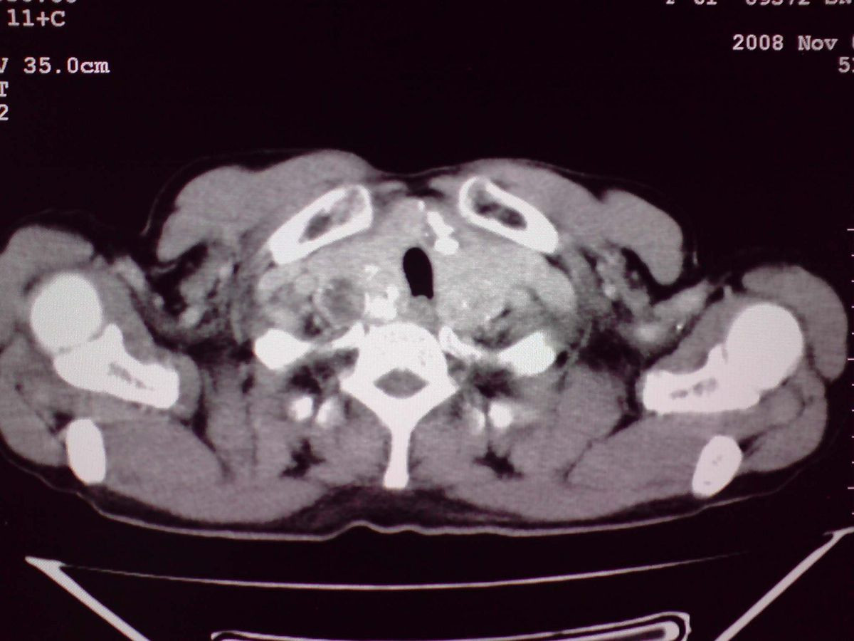
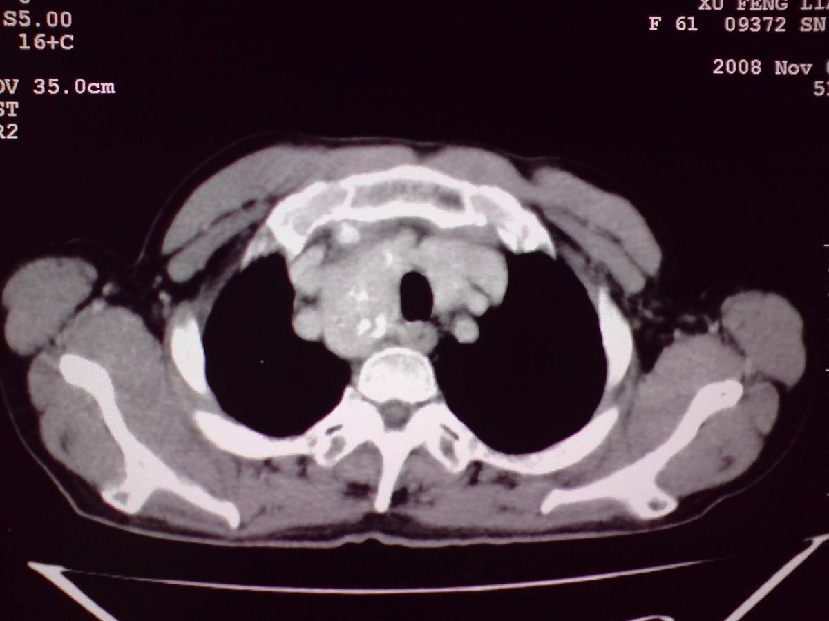
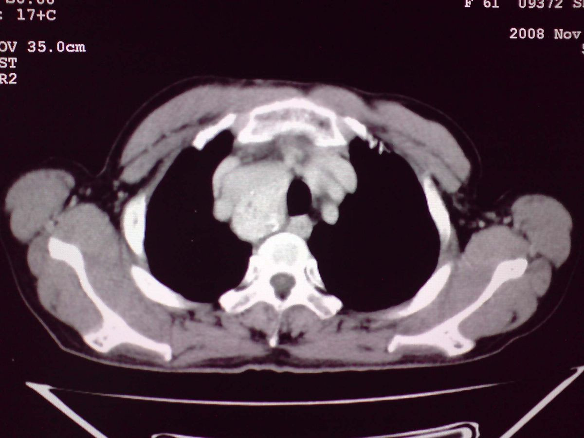
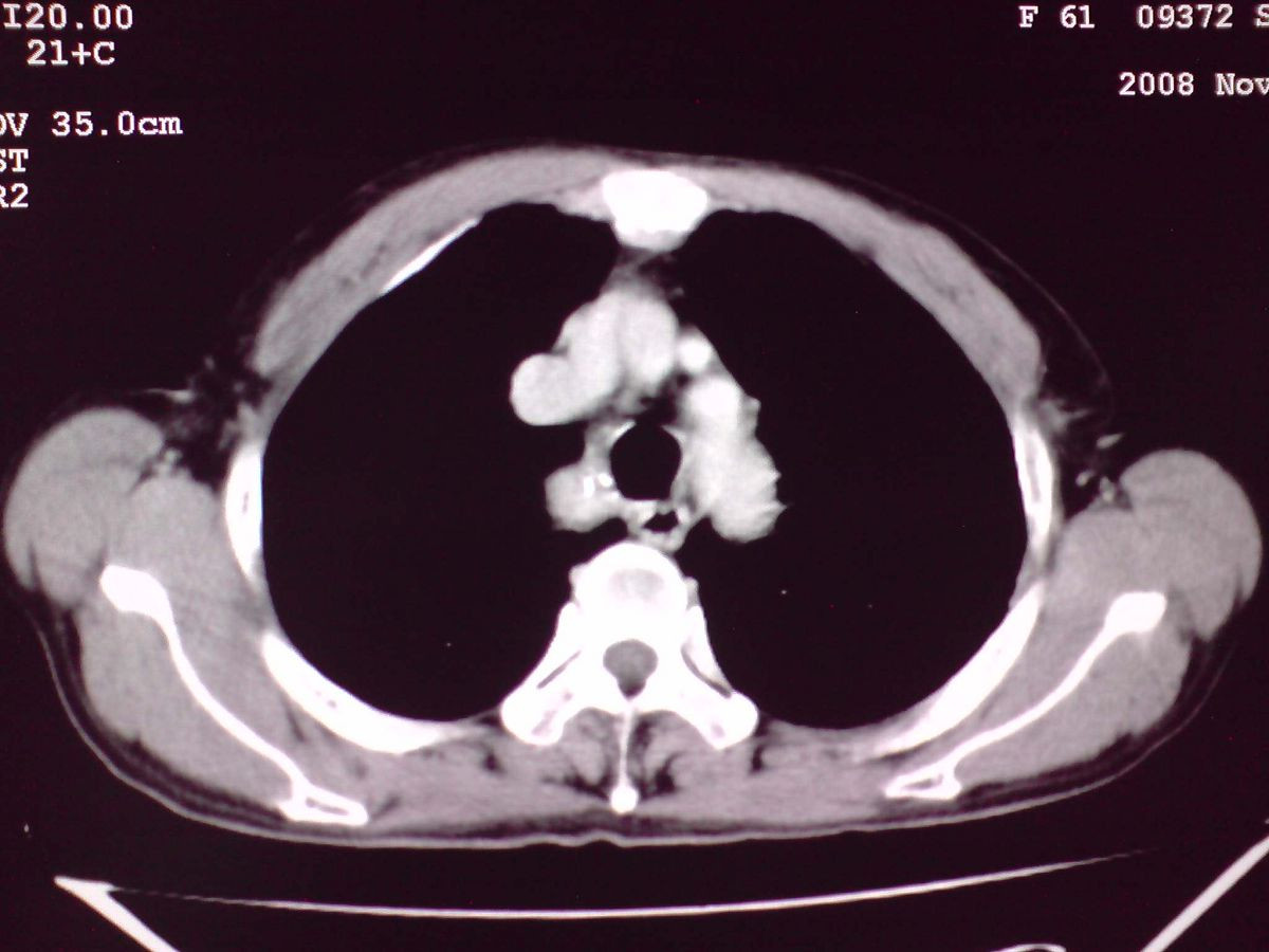
患者女性,65岁,无明显不适,甲状腺功能无异常






























































[本贴已被 翁志蓬 于 2008-11-6 23:25:49 修改过]
作者: zsl6918 时间: 2008-11-7 06:38
结节状甲状腺肿,部分突入胸腔,形成胸内甲状腺
作者: liuyue 时间: 2008-11-7 07:03
支持二楼。
作者: 卜一 时间: 2008-11-7 13:40
胸内甲状腺伴结节性甲状腺肿!因病灶明显钙化很难排除:甲状腺癌可能性!建议穿刺活检!
作者: 吴承学 时间: 2008-11-7 14:56
标题: 回复:ct16529:看胸廓入口是什么,即将手术
胸内甲状腺伴结节性甲状腺肿!因病灶明显钙化很难排除:甲状腺癌可能性!建议穿刺活检!
作者: cfililiu 时间: 2008-11-7 16:25
结甲先考虑
作者: 权世辉 时间: 2008-11-7 16:40
结节状甲状腺肿,形成胸内甲状腺,甲状腺癌可能性!
作者: 随光逐影 时间: 2008-11-7 16:56
支持 结节状甲状腺肿,部分突入胸腔形成胸内甲状腺肿。
作者: 深泽交通 时间: 2008-11-7 16:56
标题: 回复:ct16529:看胸廓入口是什么,即将手术
以下是引用权世辉在2008-11-7 8:40:00的发言:[br]结节状甲状腺肿,形成胸内甲状腺,甲状腺癌可能性!
作者: cefcmj 时间: 2008-11-7 17:15
标题: 回复
双侧甲状腺肿大,向下部分突入胸腔,双侧甲状腺内密度不均,可见结节状低密度影,并见散在斑点状钙化,增强后病灶实性部分强化明显,气管受压稍变窄左移。
考虑:双侧甲状腺腺瘤可能,不除外甲状腺癌。
附一例甲状腺腺瘤:

[本贴已被 cefcmj 于 2008-11-7 9:59:08 修改过]
作者: lqkys 时间: 2008-11-7 17:16
甲状腺的慢性炎性病变?
作者: gfw 时间: 2008-11-7 17:32
支持10楼
作者: LIAOQIANG 时间: 2008-11-7 17:43
胸内甲状腺,双侧结节状甲状腺肿伴右侧甲状腺腺瘤。
作者: 朱亮 时间: 2008-11-7 17:44
结节性甲状腺肿
作者: sdzyy 时间: 2008-11-7 17:51
甲状腺左右叶增大,并向下突入胸腔内,其内可见多发条片状钙化影及囊性低密度影,邻近组织及血管无浸润、包埋征像,双侧结节性甲状腺肿伴右侧甲状腺腺瘤形成可能性大,甲状腺癌待排;因病人就要手术,期待结果。
作者: zhh 时间: 2008-11-7 18:05
支持15楼。期等结果。
作者: 358450m 时间: 2008-11-7 20:46
标题: 回复:ct16529:看胸廓入口是什么,即将手术
以下是引用权世辉在2008-11-7 8:40:00的发言:[br]结节状甲状腺肿,形成胸内甲状腺,甲状腺癌可能性!
作者: 黑白光影 时间: 2008-11-7 21:45
支持结节状甲状腺肿,部分突入胸腔,形成胸内甲状腺
作者: zjzjr 时间: 2008-11-7 23:21
结节状甲状腺肿,部分突入胸腔,形成胸内甲状腺
作者: bmw011 时间: 2008-11-8 00:48
考虑:双侧甲状腺腺瘤可能,不除外甲状腺癌。
作者: chry3 时间: 2008-11-8 04:32
很抱歉,患者决定去外院手术,我会追踪结果,谢谢大家的讨论
我们的诊断和大家一致,但我们地区的上级医院考虑右纵隔是另外一种病变
有结果会及时发布
作者: 泰医女孩 时间: 2008-11-14 02:29
胸内甲状腺,结节性甲状腺肿;右侧甲状腺瘤。期待病理。
作者: 光影★小胖 时间: 2008-11-14 02:44
标题: 回复:ct16529:看胸廓入口是什么,即将手术
以下是引用zsl6918在2008-11-6 22:38:00的发言:[br]结节状甲状腺肿,部分突入胸腔,形成胸内甲状腺
| 欢迎光临 医影在线 (http://bbs.radida.com/bbs/) |
Powered by Discuz! X3.2 |