医影在线

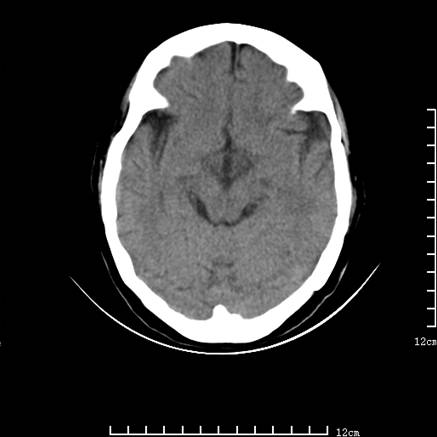
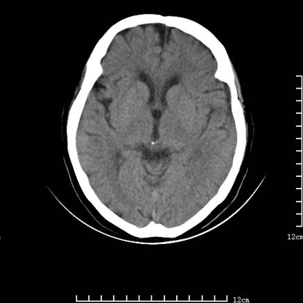
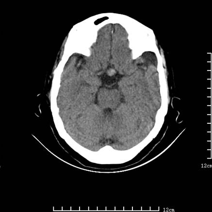
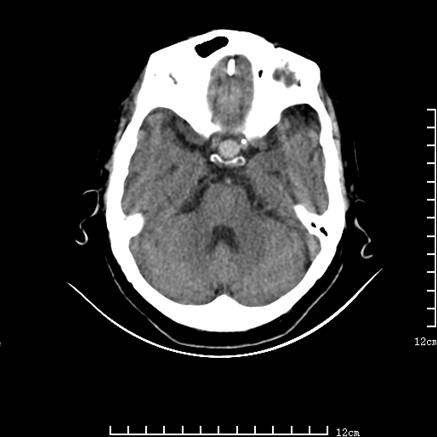
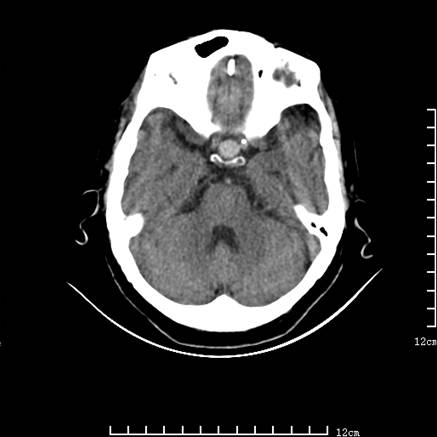
标题: V0514:女,72岁,偶有头晕,自诉记忆力减退,来诊。 [打印本页]

作者: liuyue    时间: 2008-11-7 07:13
标题: V0514:女,72岁,偶有头晕,自诉记忆力减退,来诊。














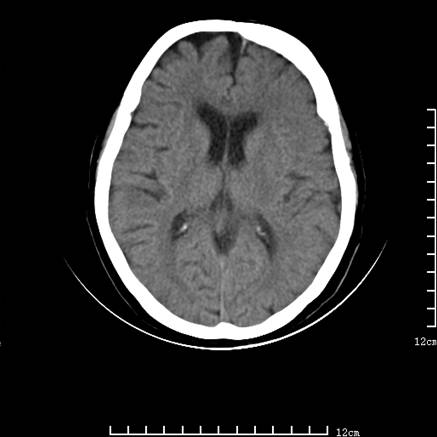
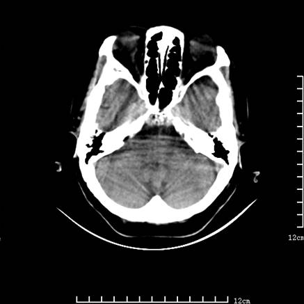
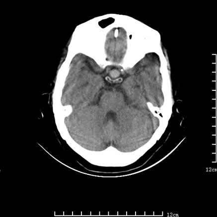
是拉特可囊肿(rathke cyst)吗?

[本贴已被 翁志蓬 于 2008-11-7 0:27:51 修改过]

作者: zsl6918    时间: 2008-11-7 07:15
考虑垂体瘤可能性大
作者: 光线    时间: 2008-11-7 08:02
1、考虑垂体腺瘤。
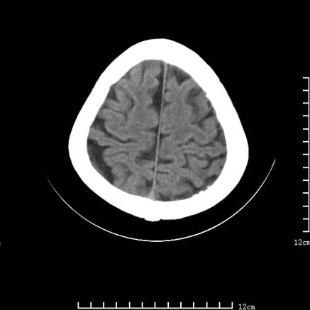
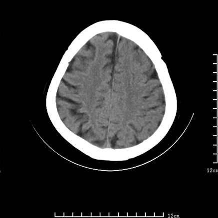
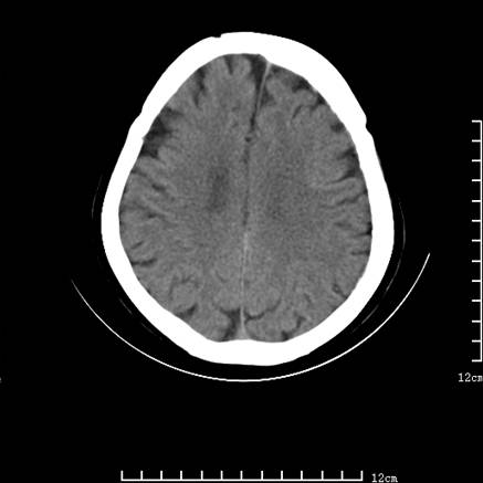
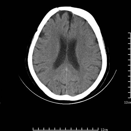
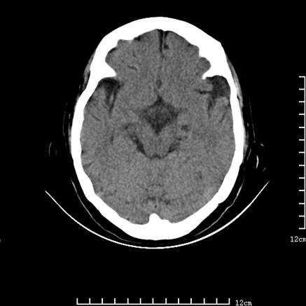
2、脑萎缩ct表现。
作者: 卜一    时间: 2008-11-7 13:21
垂体腺瘤可能性大!另:轻度脑萎缩!
作者: LIAOQIANG    时间: 2008-11-7 17:49
考虑垂体腺瘤可能性大。脑萎缩。
作者: 杀毒软件    时间: 2008-11-8 19:02
考虑------垂体腺瘤可能性大----脑萎缩
作者: haha215315    时间: 2008-11-8 20:21
考虑垂体腺瘤可能性大。脑萎缩。
作者: jiangjing    时间: 2008-11-10 17:45
考虑垂体腺瘤可能性大。脑萎缩。  建议mri 检查
作者: 乡医    时间: 2008-11-11 20:19
垂体瘤,建议mri
作者: shibing    时间: 2012-7-31 08:45
垂体腺瘤




欢迎光临 医影在线 (http://bbs.radida.com/bbs/) Powered by Discuz! X3.2