医影在线
标题: V0516:女,46岁胃癌术后5年。有癌性淋巴管炎吗? [打印本页]
作者: liuyue 时间: 2008-11-7 07:47
标题: V0516:女,46岁胃癌术后5年。有癌性淋巴管炎吗?
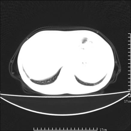
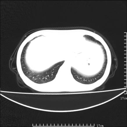
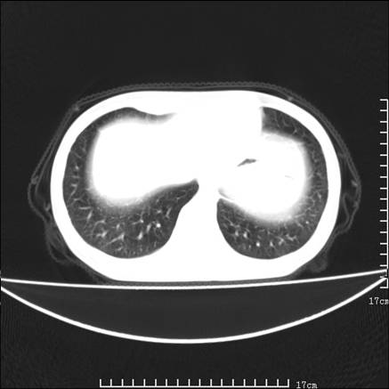
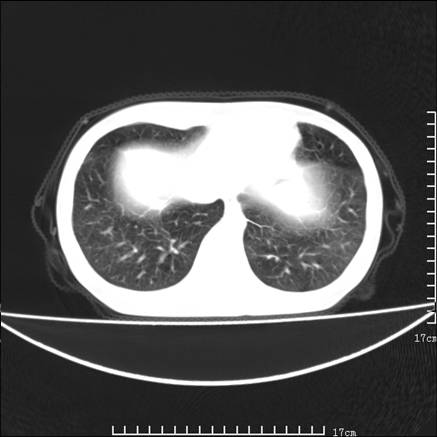
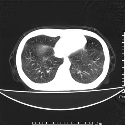
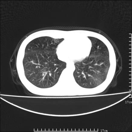
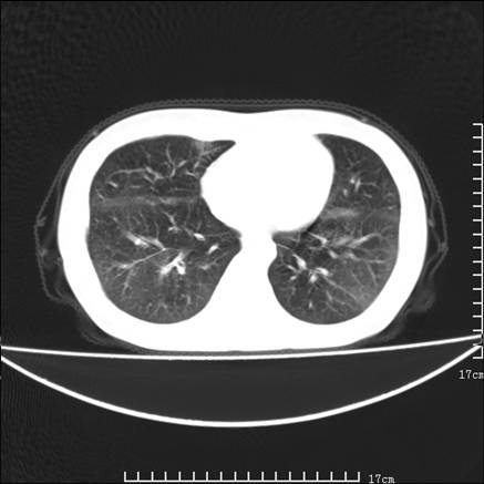
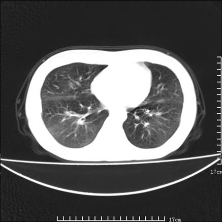
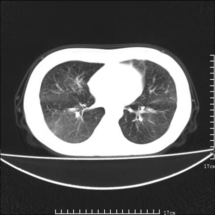
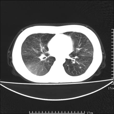
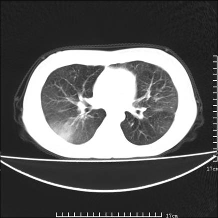
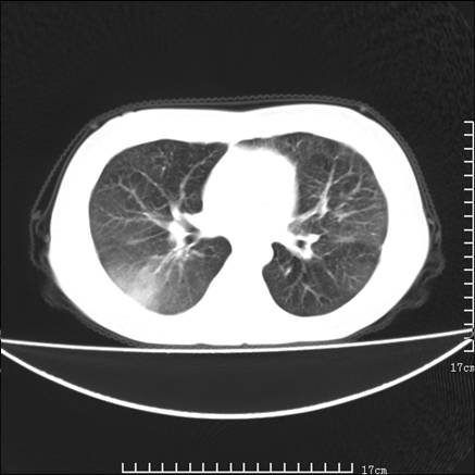
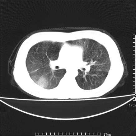
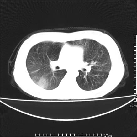
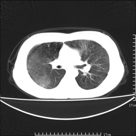
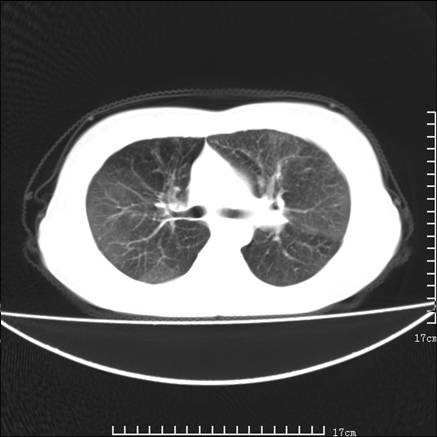
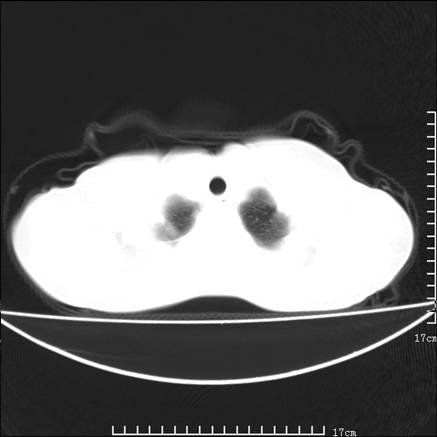
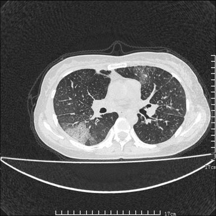
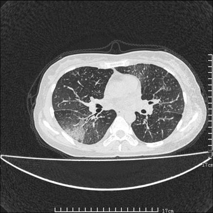
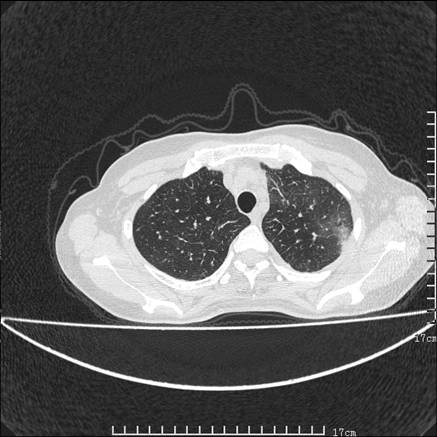
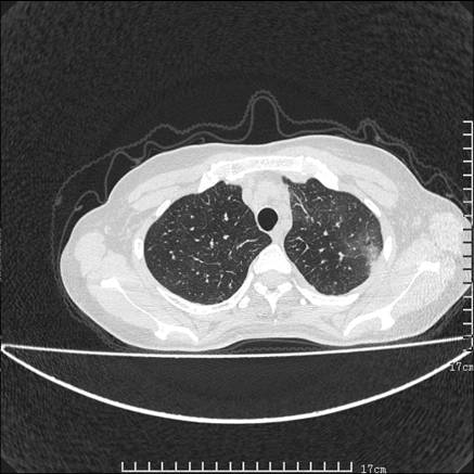
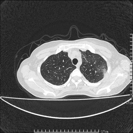
女,46岁,患胃溃疡多年,溃疡大小约1.0cm左右,后于5年前手术,病理为胃癌。主诉:半月前感冒后胸闷,气短,有咳嗽,无明显咳痰,无发热。偶有腰背部不适。

























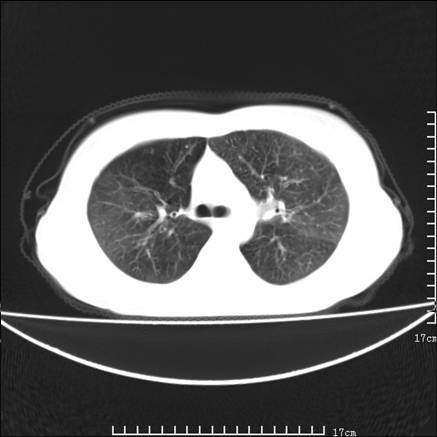
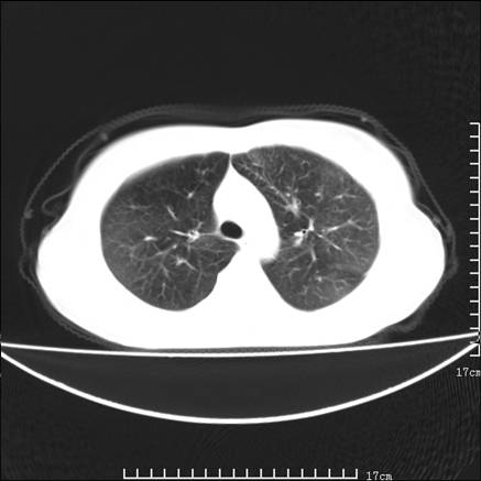
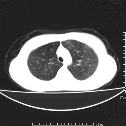
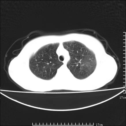
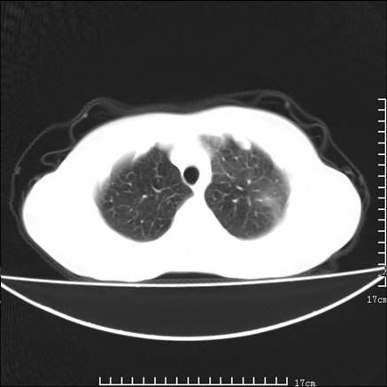
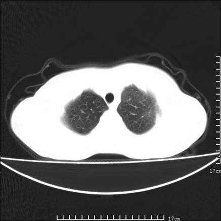
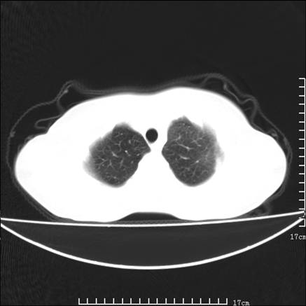
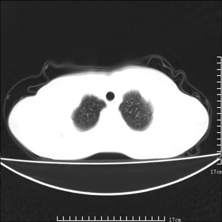
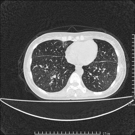
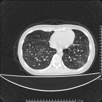
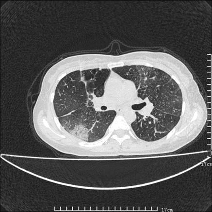
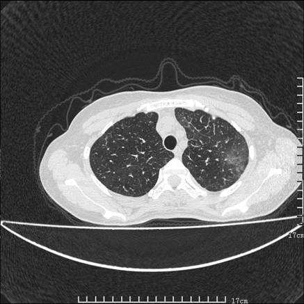
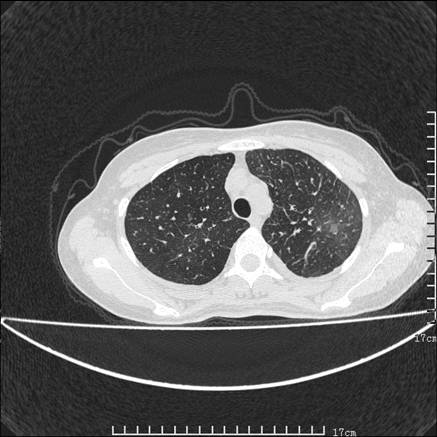
以下为高分辨扫描图像











胸椎9、12椎体可见斑片状破坏,余椎体及肋骨均未见明显异常改变,故不再上传。请原谅。
[本贴已被 翁志蓬 于 2008-11-7 0:42:15 修改过]
作者: 卜一 时间: 2008-11-7 13:29
双肺散在的 磨玻璃样及片状渗出性病灶,界限模糊。考虑:双肺感染!
作者: LIAOQIANG 时间: 2008-11-7 18:07
双肺小叶间增厚,双肺散布粟米影和磨玻璃状影,以双肺上叶为重。结合病史考虑转移(癌性淋巴细管炎)可能性大。
作者: zsl6918 时间: 2008-11-7 19:36
双肺魔玻璃样影,符合感染改变
作者: 岚儿 时间: 2008-11-7 20:41
双肺散在片状模糊阴影及毛玻璃样改变,界限不清,考虑双肺感染性病变。
作者: lushijun 时间: 2008-11-7 23:03
支持炎症,建议治疗后复查。
作者: caihe 时间: 2008-11-8 04:35
标题: 回复:v0516:女,46岁胃癌术后5年。有癌性淋巴管炎吗?
女,46岁,患胃溃疡多年,溃疡大小约1.0cm左右,后于5年前手术,病理为胃癌。主诉:半月前感冒后胸闷,气短,有咳嗽,无明显咳痰,无发热。偶有腰背部不适。
结合病史:认为是典型肺部癌性淋巴管炎、淋巴结转移。请看图解。


[本贴已被 caihe 于 2008-11-7 20:49:12 修改过]
作者: zsl6918 时间: 2008-11-8 04:58
究竟是不是癌性淋巴管炎,抗炎治疗后复查就会明了,抗炎治疗癌性淋巴管炎是不会改善的.个人感觉叶间裂虽然增厚,但比较光滑,符合炎性改变!
作者: 杀毒软件 时间: 2008-11-8 18:56
抗炎治疗后复查
作者: pp 时间: 2008-11-9 17:25
标题: 回复
正如caihe主任所言,影像表现结合临床病史应该支持肺癌性淋巴管炎;上肺大片边缘不清的渗出病变,多系感染所致,临床有感冒病史并咳嗽表现。肺癌性淋巴管炎临床一般无咳嗽、咳痰症状。
[本贴已被 pp 于 2008-11-9 10:37:28 修改过]
作者: hhcckk 时间: 2008-11-9 22:24
支持caihe主任,考虑癌性淋巴管炎
肺癌性淋巴管炎征象分为主要征象及合并征象,主要征象包括:
1、近肺门支气管血管周围间质结节状增厚;
2、小叶间隔结节状增厚;
3、小叶中央间质结节状增厚;
4、胸膜下间质结节状增厚。
合并征象为:纵隔淋巴结增大,胸腔积液,肺多发随机分布的小结节等。
鉴别:
1、结节病,多位于肺的上中部和后部,呈向心性分布,造成近肺门区的支气管血管束周围间质和胸膜下间质增厚,小叶间隔增厚不明显,即使增厚也较为局限
2、尘肺,可以通过病史,肺外周为主的多发结节,胸膜假斑,聚合成的团块,间质纤维化等鉴别
3、肺水肿,肺水肿可以造成肺间质的增厚,为光滑的增厚且常为双侧对称性分布。
作者: jiangjing 时间: 2008-11-10 16:22
支持 肺间质性肺炎,不除外癌性淋巴管炎,建议抗炎治疗复查---------小叶间隔增厚,磨玻璃影及片絮状影
作者: 同 时间: 2008-11-12 04:19
标题: 回复:v0516:女,46岁胃癌术后5年。有癌性淋巴管炎吗?
以下是引用liaoqiang在2008-11-7 10:07:00的发言:[br]双肺小叶间增厚,双肺散布粟米影和磨玻璃状影,以双肺上叶为重。结合病史考虑转移(癌性淋巴细管炎)可能性大。
作者: ZHANGZHONGSHOU 时间: 2008-11-13 20:37
多考虑双肺炎症,建议抗炎治疗后复查,以除外肺癌性淋巴管炎的可能。
作者: 501959462 时间: 2008-11-13 20:46
建议抗炎治疗后复查,癌性淋巴管炎待排。
作者: shibing 时间: 2012-7-31 08:44
究竟是不是癌性淋巴管炎,抗炎治疗后复查就会明了,抗炎治疗癌性淋巴管炎是不会改善的.个人感觉叶间裂虽然增厚,但比较光滑,符合炎性改变!
欢迎光临 医影在线 (http://bbs.radida.com/bbs/) |
Powered by Discuz! X3.2 |