医影在线

标题: CT16531:M50Y,病人否认外伤史,腹部病变!请大家会诊!! [打印本页]

作者: wnlyq8688    时间: 2008-11-7 17:52
标题: CT16531:M50Y,病人否认外伤史,腹部病变!请大家会诊!!
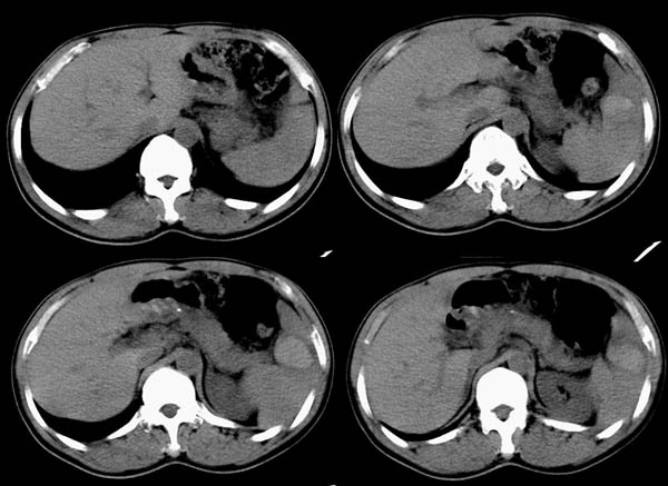
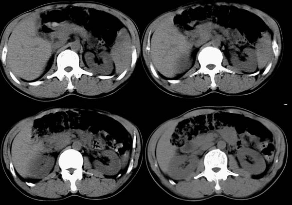
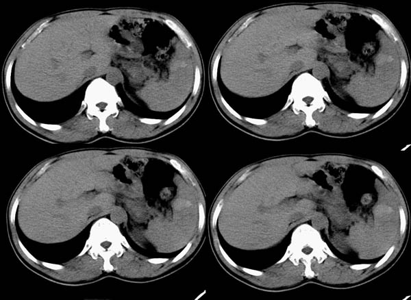
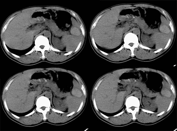
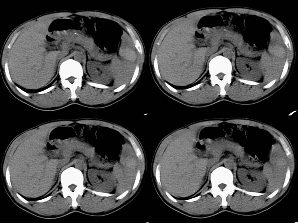
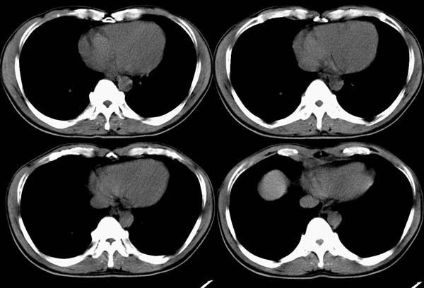
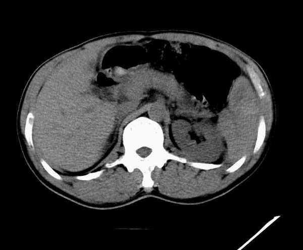
m50y以腹疼、腹胀2小时就诊。腹透肠胀气较明显,余无明显异常。做ct时腹疼已明显缓解;病人否认外伤史,否认血液病变、否认肝炎史。建议第二天做ct增强,病人第二天放弃了增强。脾脏区较高密度影ct值为60hu,正常脾脏ct值为45hu(窗宽:150,窗位:56)。




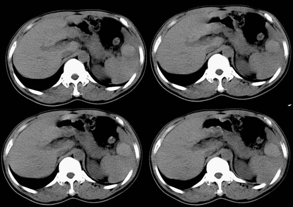
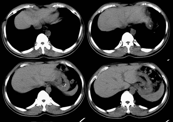
脾区病变局部2mm重建:








[本贴已被 jiajie 于 2008-11-7 12:42:57 修改过]

作者: lirenxiong    时间: 2008-11-7 18:00
血肿?
作者: 深泽交通    时间: 2008-11-7 18:00
边缘光滑囊壮;ct值65hu,考虑血肿
作者: 随光逐影    时间: 2008-11-7 18:02
脾脏血肿。
作者: bmw011    时间: 2008-11-7 18:42
支持脾脏血肿。
作者: sdzyy    时间: 2008-11-7 19:42
脾脏血肿,周围有低密度环,原因?
作者: zsl6918    时间: 2008-11-7 19:48
支持脾内血肿.
作者: 358450m    时间: 2008-11-7 20:49
标题: 回复:ct16531:m50y,病人否认外伤史,腹部病变!请大家会诊
以下是引用bmw011在2008-11-7 10:42:00的发言:[br]支持脾脏血肿。

作者: liping57    时间: 2008-11-7 21:13
影像表现象血肿,但临床无外伤史
作者: 卜一    时间: 2008-11-7 21:18
血管瘤破裂?
作者: zjzjr    时间: 2008-11-7 23:16
支持脾内血肿.
作者: 黑白光影    时间: 2008-11-8 03:06
脾内血肿。支持
作者: 张XYZ    时间: 2008-11-8 03:44
多为血肿
作者: realzyc    时间: 2008-11-8 03:54
病史:m50y以腹疼、腹胀2小时就诊。
ct表现:脾脏内见较高密度影ct值为60hu,正常脾脏ct值为45hu(窗宽:150,窗位:56)。 边界清晰,周围见略低密度影
分析:
脾脏实质内高密度病变,ct值为60hu,边界清晰,无明显外伤病史,腹痛、腹胀2小时就诊,首先考虑脾脏血管瘤破裂出血。
作者: 朱亮    时间: 2008-11-8 04:31
支持脾内血肿
作者: 泰医女孩    时间: 2008-11-14 03:47
考虑脾内血肿,血管瘤破裂?建议进一步检查




欢迎光临 医影在线 (http://bbs.radida.com/bbs/) Powered by Discuz! X3.2