医影在线

标题: CT16532:M78Y,肝脏病变,请会诊 [打印本页]

作者: xysheng    时间: 2008-11-7 18:01
标题: CT16532:M78Y,肝脏病变,请会诊
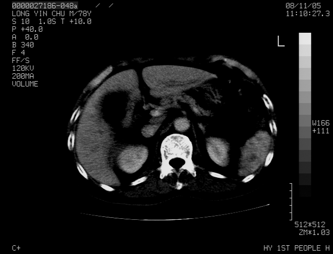
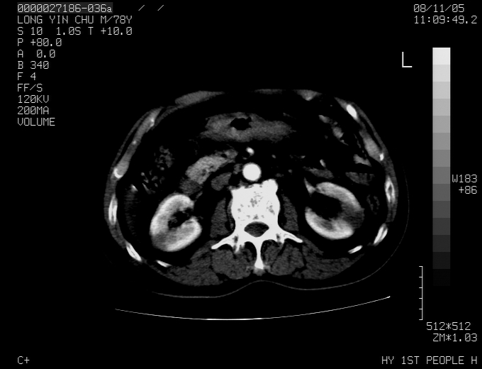
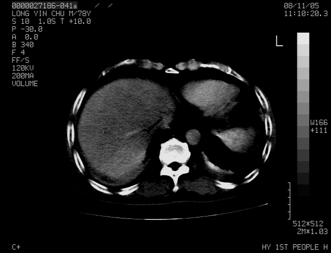
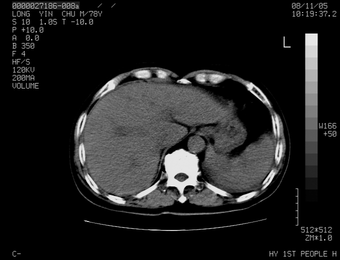
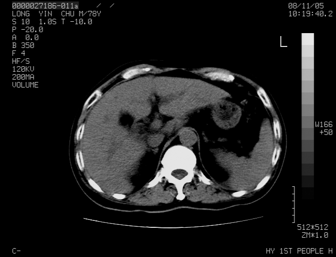
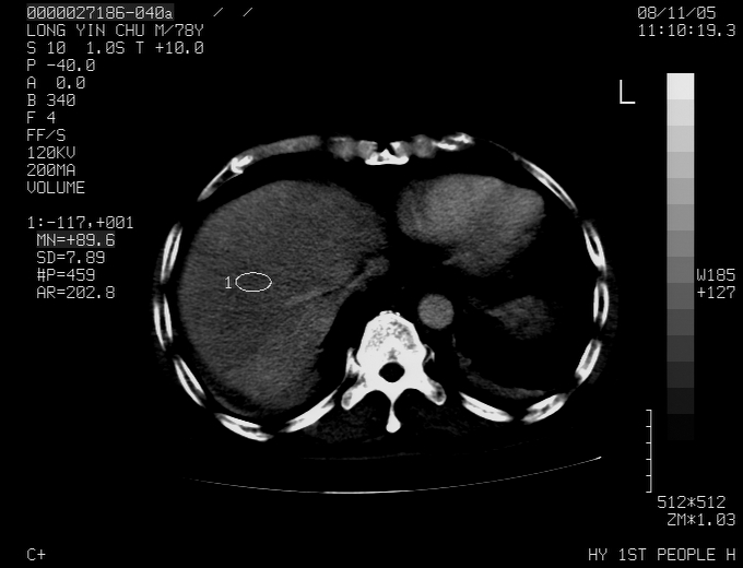
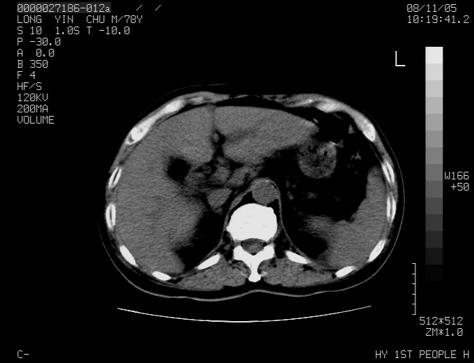
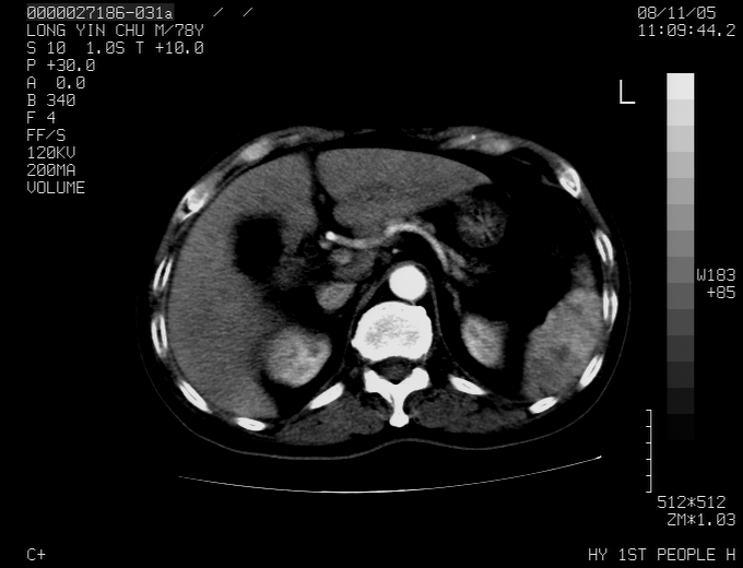
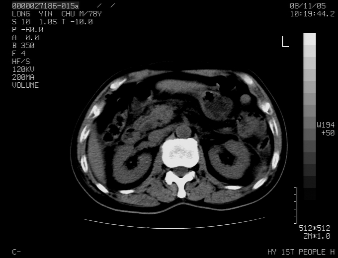
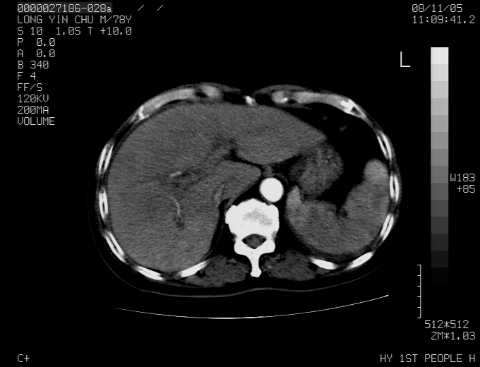
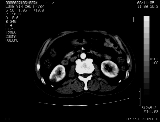
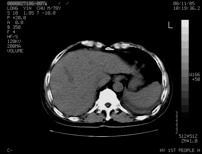
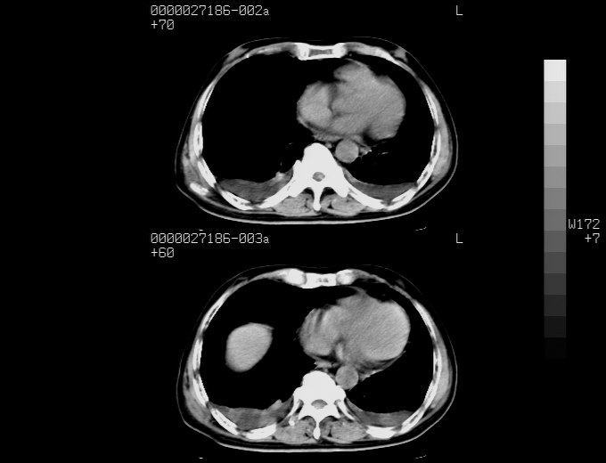
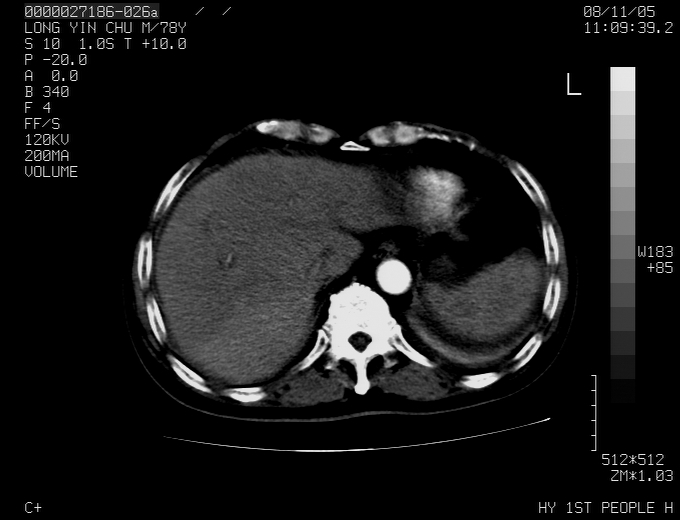
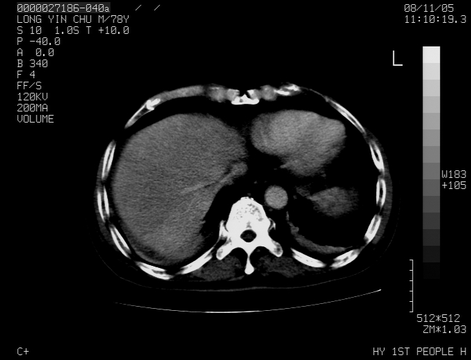
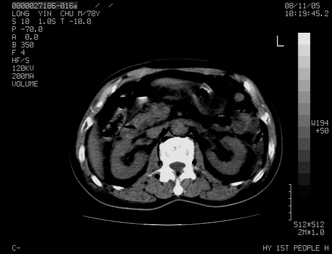
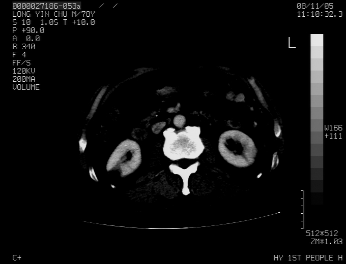
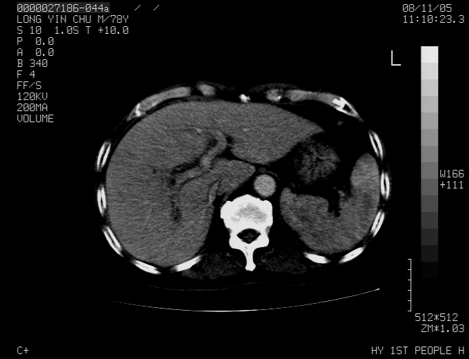
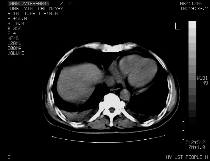
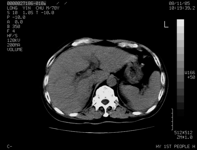
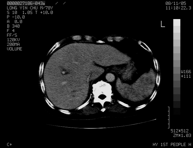
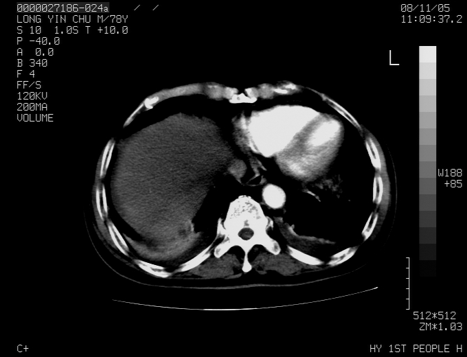
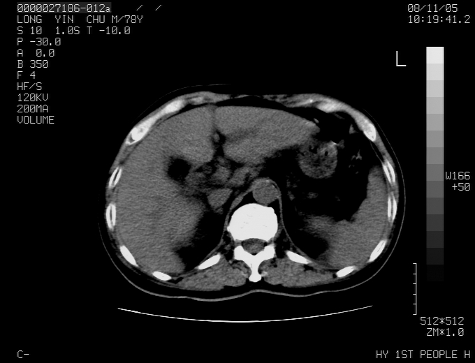
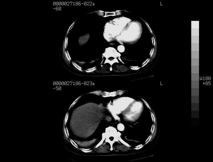
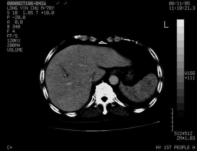
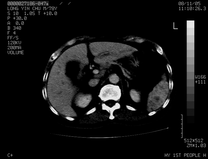
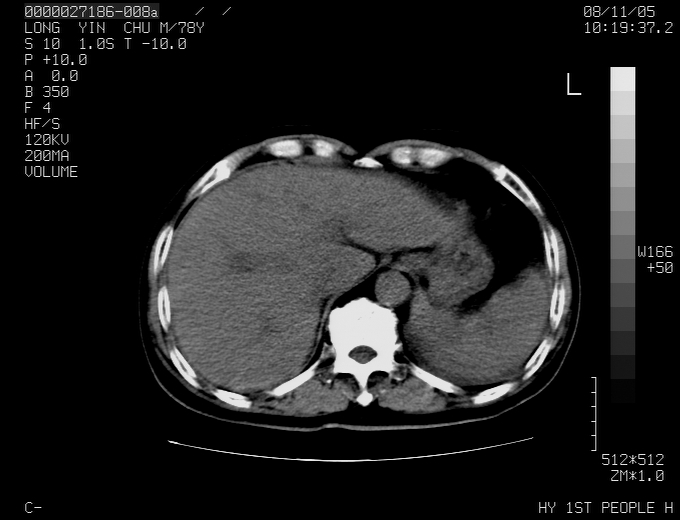
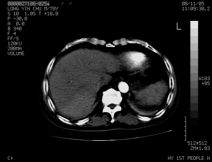
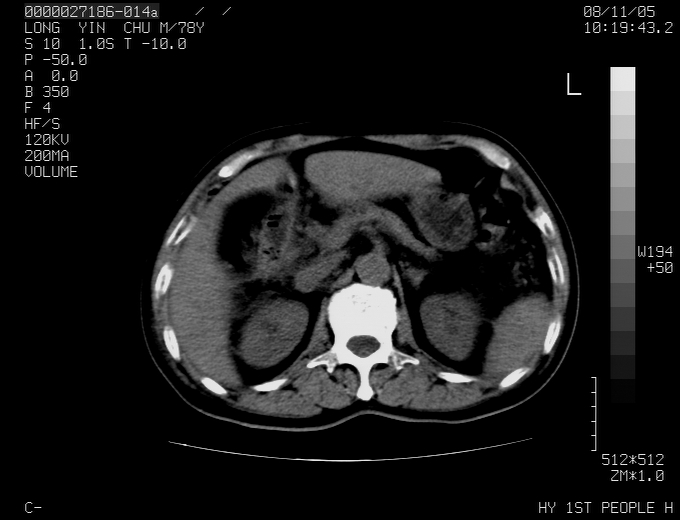
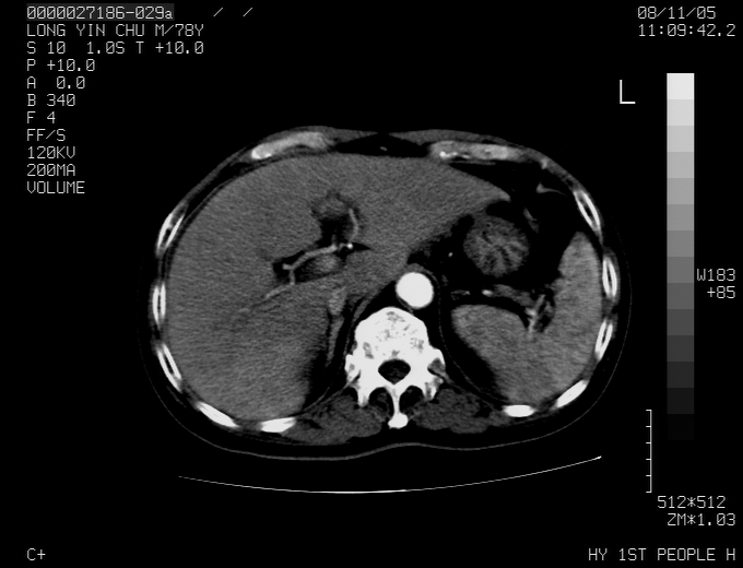
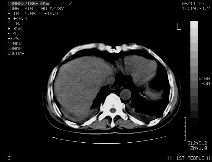
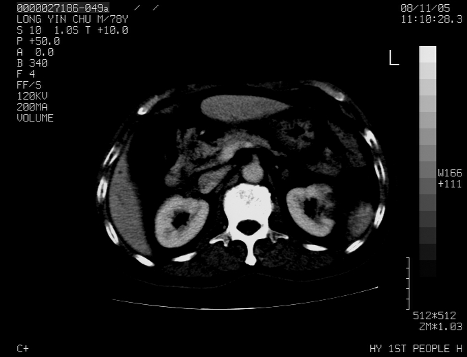
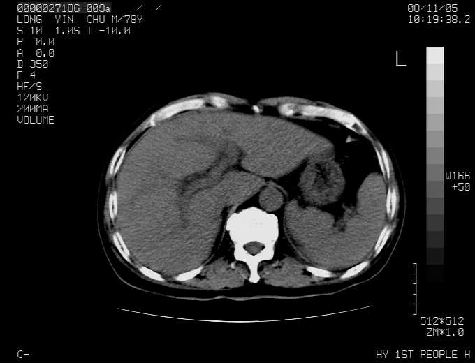
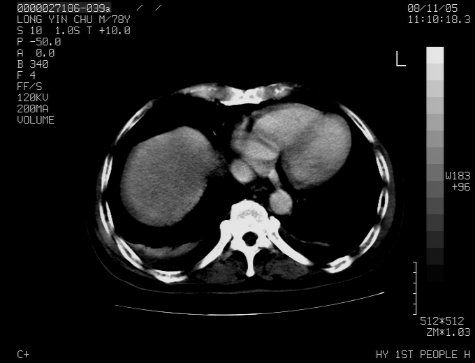
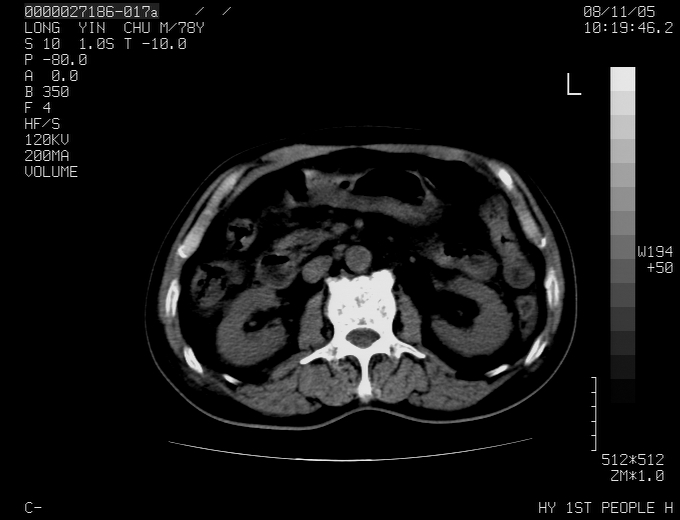
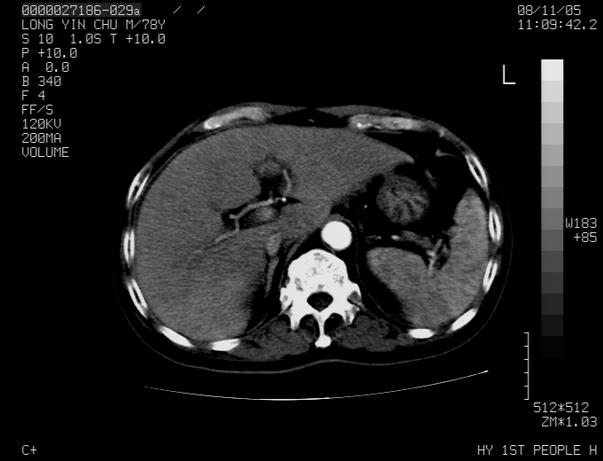
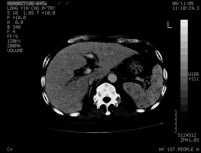
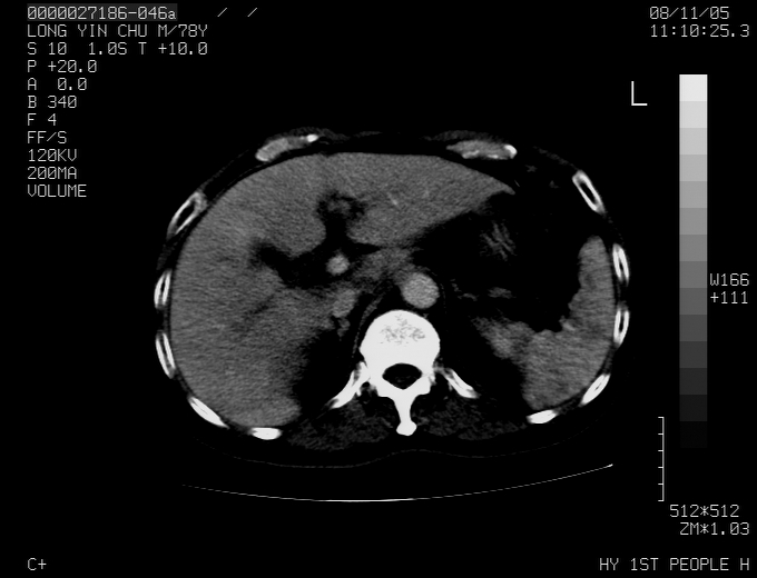
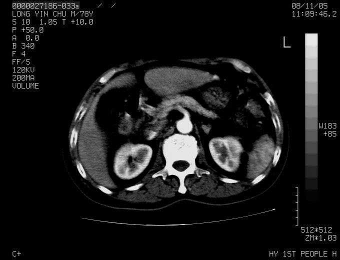
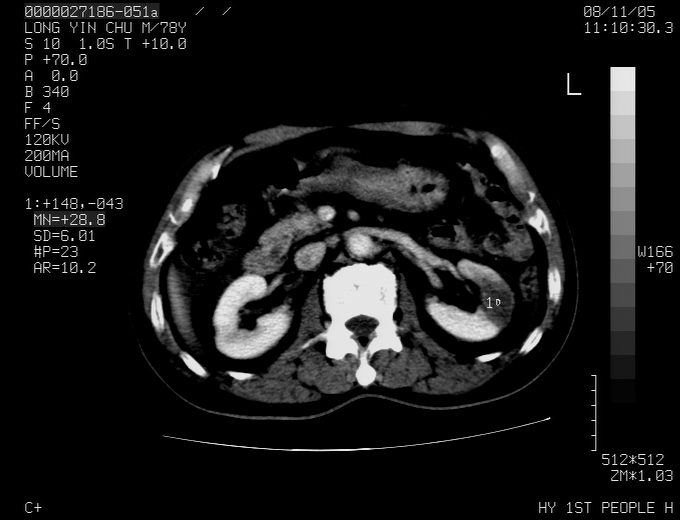
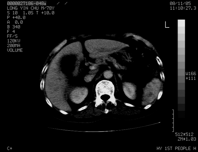
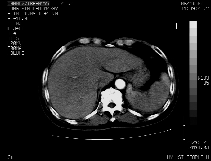
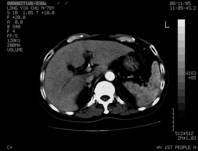
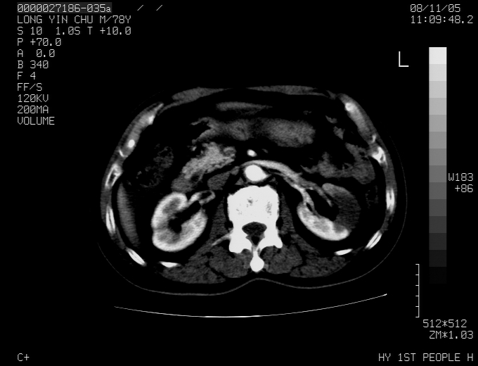
腹胀,腹痛就诊,男性,78岁,外院b超未见异常。























































[本贴已被 jiajie 于 2008-11-7 12:48:57 修改过]

作者: lirenxiong    时间: 2008-11-7 18:28
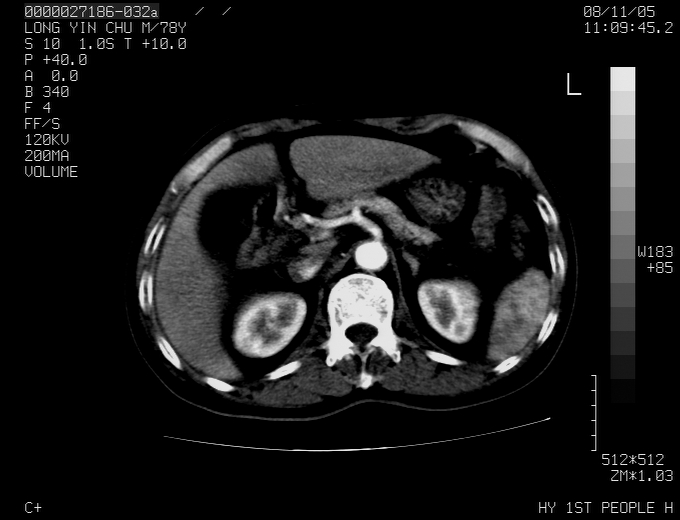
肝ca,脾肾转移
作者: bmw011    时间: 2008-11-7 19:21
标题: 回复
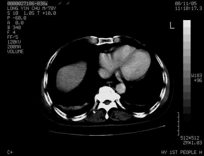
支持脾肾转移瘤,双侧胸腔积液。

[本贴已被 bmw011 于 2008-11-7 12:23:33 修改过]

作者: zsl6918    时间: 2008-11-7 19:52
考虑弥漫性肝癌并脾及双肾转移.双侧胸水.
作者: 358450m    时间: 2008-11-7 20:52
标题: 回复:ct16532:m78y,肝脏病变,请会诊
以下是引用bmw011在2008-11-7 11:21:00的发言:[br]支持脾肾转移瘤,双侧胸腔积液。[br][br]
[本贴已被 bmw011 于 2008-11-7 12:23:33 修改过]

作者: 卜一    时间: 2008-11-7 21:24
图片质量欠佳:多考虑:左侧肾癌。脾脏转移!胸膜转移!
作者: 晓杰    时间: 2008-11-7 21:32
考虑弥漫性肝癌并脾及双肾转移.双侧胸水.  支持
作者: liping57    时间: 2008-11-7 21:53
考虑弥漫性肝癌并脾及双肾转移.双侧胸水.
作者: zjzjr    时间: 2008-11-7 23:14
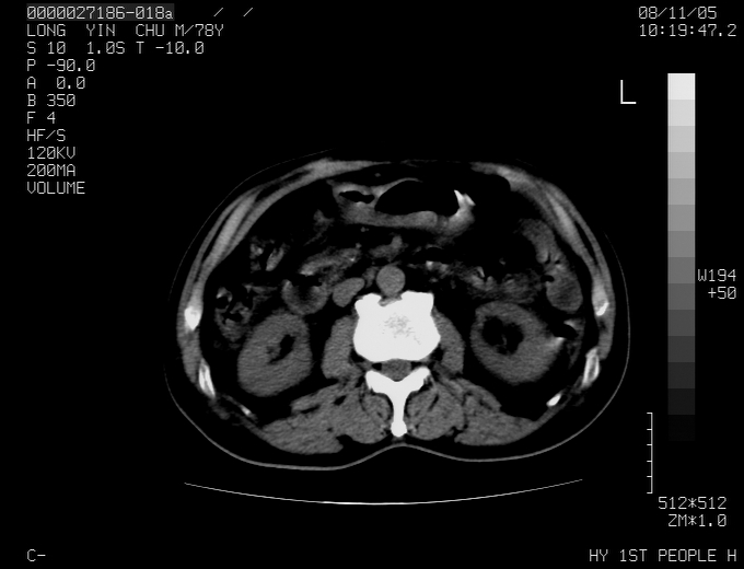
肝脾肾转移瘤可能性大,左肾不除外梗塞,双侧胸水
作者: 随光逐影    时间: 2008-11-8 00:43
考虑弥漫性肝癌并脾及双肾转移,双侧胸水。
作者: 黑白光影    时间: 2008-11-8 03:10
考虑弥漫性肝癌并脾及双肾转移.双侧胸水.
作者: 朱亮    时间: 2008-11-8 04:26
图片质量欠佳:多考虑:左侧肾癌。脾脏转移!胸膜转移!
作者: 泰医女孩    时间: 2008-11-14 03:55
考虑肝癌并双肾及脾脏转移;双侧胸腔积液。




欢迎光临 医影在线 (http://bbs.radida.com/bbs/) Powered by Discuz! X3.2