

























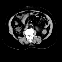
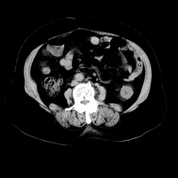
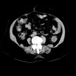
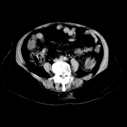
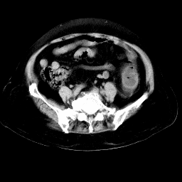
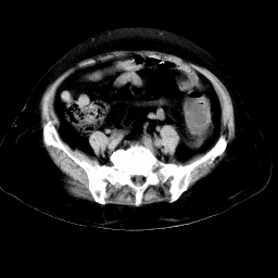
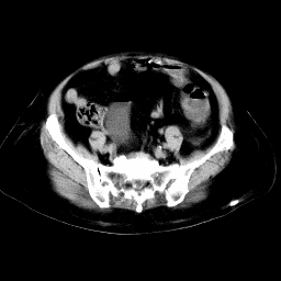
以下是引用arven在2008-11-9 10:13:00的发言:[br]肠壁增厚,形态较规则,支持降结肠炎症改变
以下是引用arven在2008-11-9 10:13:00的发言:[br]肠壁增厚,形态较规则,支持降结肠炎症改变
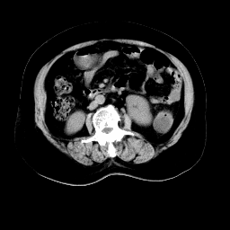
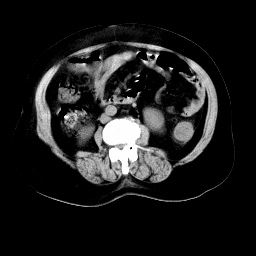
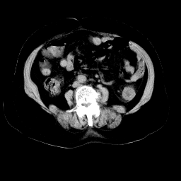
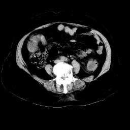
以下是引用余辉在2008-11-9 9:47:00的发言:[br]各层面均可见降结肠管壁增厚,管腔狭窄,中部层面可见管壁明显增厚区,结合病史多考虑降结肠癌,溃疡性结肠炎不除外,建议进一步检查
以下是引用余辉在2008-11-9 9:47:00的发言:[br]各层面均可见降结肠管壁增厚,管腔狭窄,中部层面可见管壁明显增厚区,结合病史多考虑降结肠癌,溃疡性结肠炎不除外,建议进一步检查
| 欢迎光临 医影在线 (http://bbs.radida.com/bbs/) | Powered by Discuz! X3.2 |