医影在线

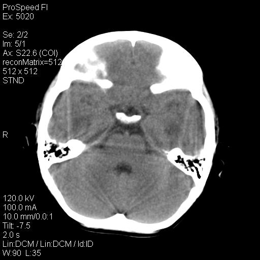
标题: PED1637:M 6Y 顶部无痛性包块两月。 [打印本页]

作者: 平安是福    时间: 2008-11-9 22:45
标题: PED1637:M 6Y 顶部无痛性包块两月。




























[本贴已被 翁志蓬 于 2008-11-9 16:59:00 修改过]

作者: qbq123    时间: 2008-11-9 22:53
考虑:嗜酸性肉芽肿?
作者: 深泽交通    时间: 2008-11-9 22:57
考虑嗜酸性肉芽肿;非骨化纤维瘤;骨囊肿
作者: 蓝星    时间: 2008-11-9 23:13
考虑嗜酸性肉芽肿;骨囊肿
作者: syfszcw    时间: 2008-11-9 23:27
嗜酸性肉芽肿
作者: zhongguolong518    时间: 2008-11-9 23:41
考虑嗜酸性肉芽肿;骨囊肿.
作者: 358450m    时间: 2008-11-9 23:55
标题: 回复:m 6y 顶部无痛性包块两月。
以下是引用蓝星在2008-11-9 15:13:00的发言:[br]考虑嗜酸性肉芽肿;骨囊肿

作者: hhcckk    时间: 2008-11-10 00:54
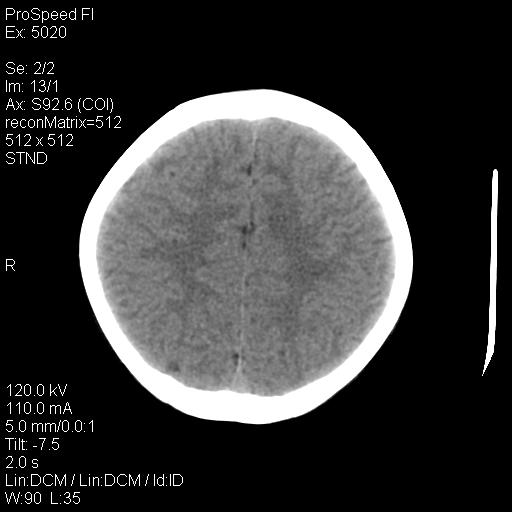
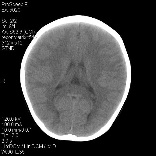
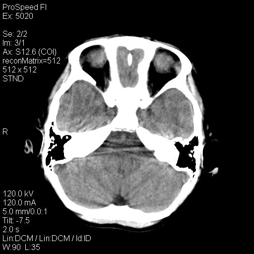
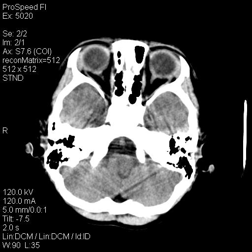
考虑嗜酸性肉芽肿
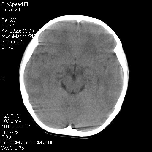
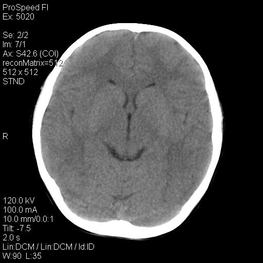
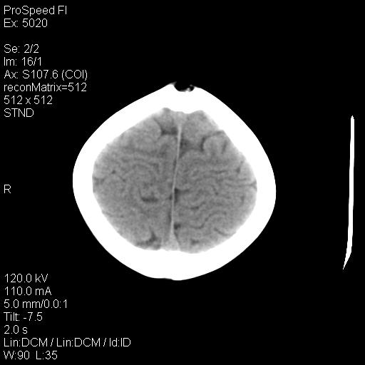
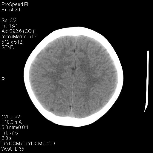
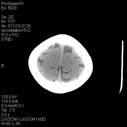
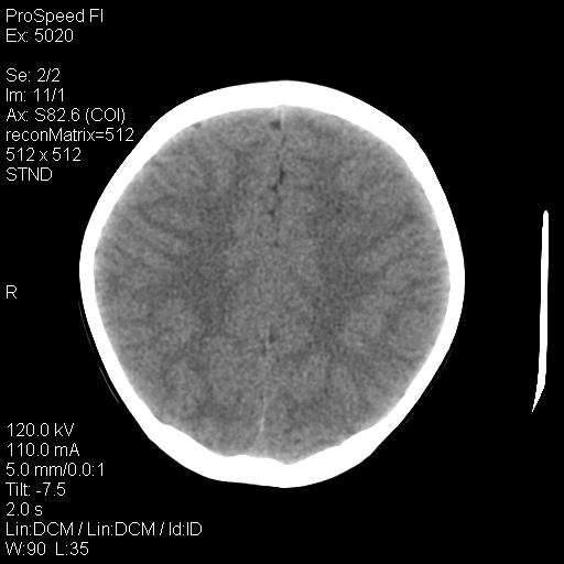
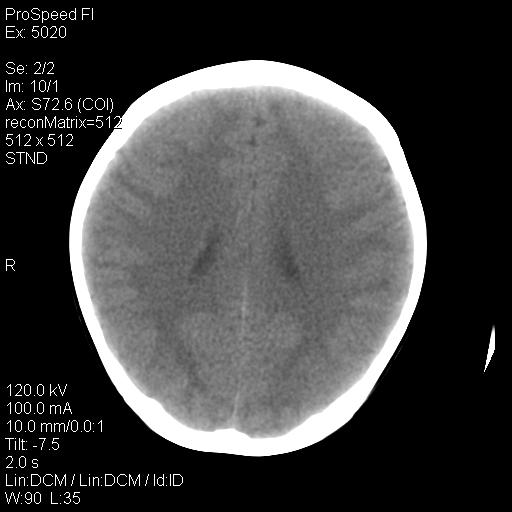
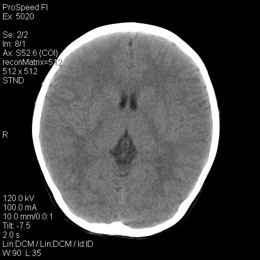
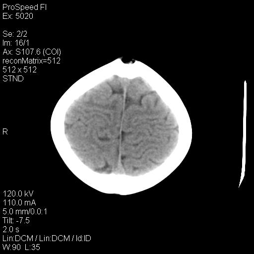
支持点:
1、年龄--6岁
2、颅骨局部缺失,边缘光滑、整齐
鉴别:
1、颅骨骨囊肿,以中青年多见,起源于骨内或骨膜下,常与外伤刺激有关。
2、颅骨皮样囊肿,皮样囊肿内为脂肪密度ct值多为负值,常在-15~10hu之间。
3、颅骨表皮样囊肿 病灶常有完整的包膜,ct值高低不等,可为脂肪密度至软组织密度,ct值常在-70—120hu之间。
4、其它:转移瘤、骨髓瘤,各具有临床及影像典型表现。
嗜酸性肉芽肿是郎罕氏细胞增多症的一种表现,以前称为组织细胞增多症x。嗜酸性肉芽肿多发生于5-10岁的儿童,侵犯部位为骨骼和肺。
嗜酸性肉芽肿的临床表现为:局部疼痛、肿胀,血沉升高。
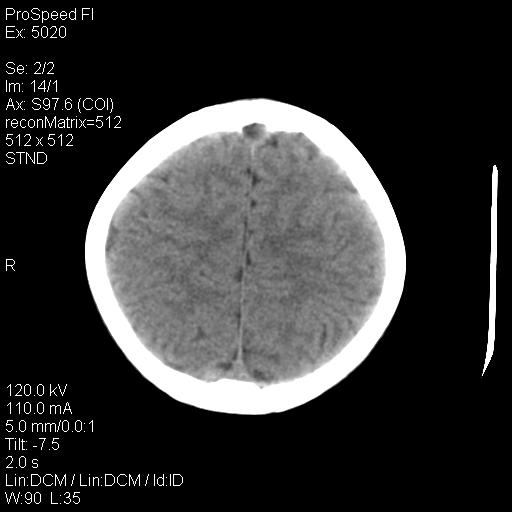
颅骨的病损表现为内外颅骨板层不规则的锋利的破坏,形成“斜边缘”,有一定的特点
颅骨为好发部位,生长缓慢,常位于顶骨、枕骨及颞骨,表现为颅骨缺损,呈圆形或椭圆形,边界清,无硬化
作者: 余辉    时间: 2008-11-10 03:12
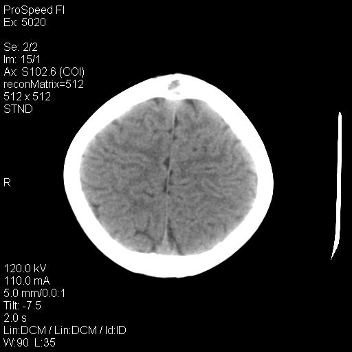
事发冠状缝与矢状缝交界区,密度较低,考虑表皮样囊肿可能性大,其次不除外嗜酸性肉芽肿
作者: 吃草吐奶    时间: 2008-11-10 03:50
考虑嗜酸性肉芽肿。
作者: guanaishengming    时间: 2008-11-10 05:37
嗜酸性肉芽肿
作者: 随光逐影    时间: 2008-11-10 16:13
考虑表皮样囊肿可能。
作者: jiangjing    时间: 2008-11-10 19:05
考虑 嗜酸性肉芽肿 或皮样囊肿
作者: ZHANGZHONGSHOU    时间: 2008-11-13 20:56
考虑正常变异。或嗜酸性肉芽肿。
作者: wangjj555    时间: 2008-11-16 23:38
考虑嗜酸性肉芽肿;骨囊肿.
作者: scdlc2008    时间: 2008-11-17 00:12
考虑嗜酸性肉芽肿
作者: 陈正林    时间: 2008-11-17 23:28
考虑嗜酸性肉芽肿。
作者: 杀毒软件    时间: 2008-11-18 02:10
考虑----嗜酸性肉芽肿可能性大
作者: hansufang    时间: 2008-11-21 00:55
考虑胆脂瘤可能性大。




欢迎光临 医影在线 (http://bbs.radida.com/bbs/) Powered by Discuz! X3.2