医影在线

标题: CT16561:胸膜病变 [打印本页]

作者: huhong1111111    时间: 2008-11-9 23:18
标题: CT16561:胸膜病变
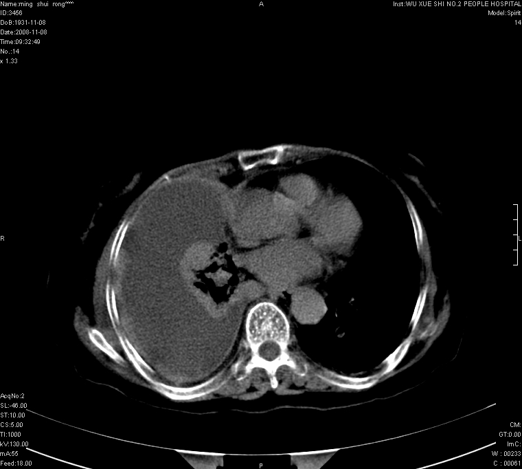
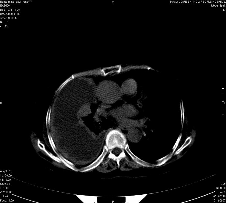
75.女.胸痛











[本贴已被 翁志蓬 于 2008-11-9 16:58:10 修改过]

作者: huhong1111111    时间: 2008-11-9 23:24
穿刺胸水为血性
作者: 影像孺子牛    时间: 2008-11-9 23:53
75.女.胸痛 。右侧胸廓稍塌陷,右侧胸膜广泛增厚,并见多发结节及肿块影,右侧大量胸腔积液,纵隔固定无移位;首先考虑恶性病变,胸膜间皮瘤可能性大。
作者: 358450m    时间: 2008-11-9 23:54
胸膜病变/包裹
作者: haha215315    时间: 2008-11-10 00:11
包裹性胸腔积液,转移瘤?胸膜间皮瘤?
作者: ITAT    时间: 2008-11-10 00:12
考虑 恶性 ,同意 胸膜间皮瘤 诊断
作者: 深泽交通    时间: 2008-11-10 00:18
恶性间皮瘤;转移瘤
作者: 平安是福    时间: 2008-11-10 00:35
支持转移瘤,胸膜间皮瘤。
作者: zhangsb    时间: 2008-11-10 00:43
转移瘤,或恶性胸膜间皮瘤。
作者: 随光逐影    时间: 2008-11-10 00:59
1)考虑右侧恶性胸膜间皮瘤可能。2)右侧包裹性胸腔积液。
作者: zsl6918    时间: 2008-11-10 01:10
建议结合肺窗观察,考虑右肺癌并胸膜转移。不除外原发的胸膜间皮瘤。
作者: zjzjr    时间: 2008-11-10 01:12
1)考虑右侧恶性胸膜间皮瘤可能。2)右侧包裹性胸腔积液。
作者: 王仕学    时间: 2008-11-10 01:33
1)考虑右侧恶性胸膜间皮瘤可能。2)右侧包裹性胸腔积液。支持!
作者: QINGJING    时间: 2008-11-10 03:30
典型的胸膜间皮瘤
作者: 流浪星    时间: 2008-11-10 04:06
75.女.胸痛 。右侧胸廓稍塌陷,右侧胸膜广泛不规整增厚,并见部分肺组织实变,右侧大量包裹性胸腔积液,纵隔固定无移位;1.考虑结核性。  2,考虑胸膜间皮瘤可能性大。(建议胸水检查)
作者: 黑白光影    时间: 2008-11-10 04:25
1)考虑右侧恶性胸膜间皮瘤可能。2)右侧包裹性胸腔积液。
作者: jw-830    时间: 2008-11-10 04:31
考虑右侧恶性胸膜间皮瘤并右侧包裹性积液
作者: hyhxn    时间: 2008-11-10 04:52
右侧胸膜见多发结节影,大量胸腔积液,局部包裹,考虑右侧恶性间皮瘤可能,胸膜转移瘤较少见.
作者: hg7503847    时间: 2008-11-10 05:03
年纪大。纵隔无牵拉。胸膜增厚呈结节状。胸膜间皮瘤并包裹性积液可能
作者: guanaishengming    时间: 2008-11-10 05:30
转移瘤,或恶性胸膜间皮瘤
作者: lanhai    时间: 2008-11-10 05:58
考虑胸膜恶性间皮瘤
作者: panyishengct    时间: 2008-11-10 06:04
支持转移瘤,胸膜间皮瘤。
作者: dr.yang    时间: 2008-11-10 06:18
标题: 回复:ct16561:胸膜病变
以下是引用平安是福在2008-11-9 16:35:00的发言:[br]支持转移瘤,胸膜间皮瘤。

作者: x-man    时间: 2008-11-10 06:39
支持恶性胸膜间皮瘤.
作者: 流星1234    时间: 2008-11-10 06:48
恶性胸膜间皮瘤或转移瘤
作者: dsl555    时间: 2008-11-10 07:53
1)考虑右侧恶性胸膜间皮瘤可能。2)右侧包裹性胸腔积液。建议穿刺病理!
作者: yangaidong    时间: 2008-11-10 14:35
右侧胸腔可见弧形低密影,右侧胸膜广泛不规则增厚,右肺不张,纵隔右移。考虑:右侧恶性胸膜间皮瘤可能大,请结合临床。
作者: SOS.LA    时间: 2008-11-10 15:01
右胸膜转移瘤.包裹性积液.
作者: 卜一    时间: 2008-11-10 16:17
1)考虑右侧恶性胸膜间皮瘤可能。2)右侧包裹性胸腔积液。
作者: jiangjing    时间: 2008-11-10 18:56
75.女.胸痛 。右侧胸廓稍塌陷,右侧胸膜广泛增厚,并见多发结节及肿块影,右侧大量胸腔积液,纵隔固定无移位;首先考虑恶性病变,胸膜间皮瘤可能性大或肺癌胸膜转移。
作者: LIAOQIANG    时间: 2008-11-10 19:17
右侧胸膜广泛增厚,并见多发结节及肿块影。右侧大量胸腔积液。考虑1.恶性胸膜间质瘤?2.胸膜转移瘤?建议胸水检查。
作者: 泰医女孩    时间: 2008-11-18 05:29
1恶性胸膜间皮瘤2转移瘤
作者: zhangnianqiu200    时间: 2008-11-18 07:49
1、典型的右侧恶性胸膜间皮瘤。2、右侧包裹性胸腔积液。




欢迎光临 医影在线 (http://bbs.radida.com/bbs/) Powered by Discuz! X3.2