医影在线

标题: PED1638:F,5Y。鼻塞、流涕2年余。 [打印本页]

作者: 随光逐影    时间: 2008-11-10 00:53
标题: PED1638:F,5Y。鼻塞、流涕2年余。
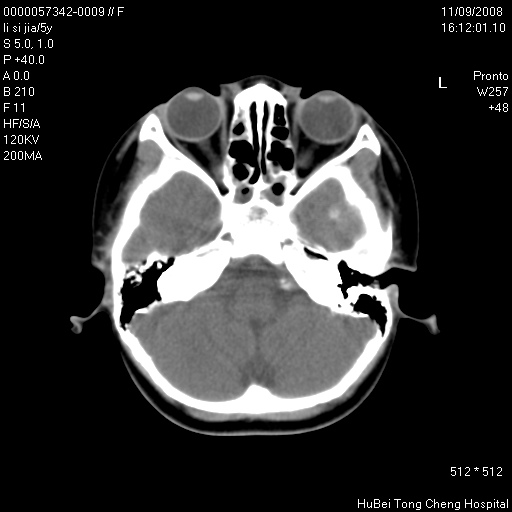
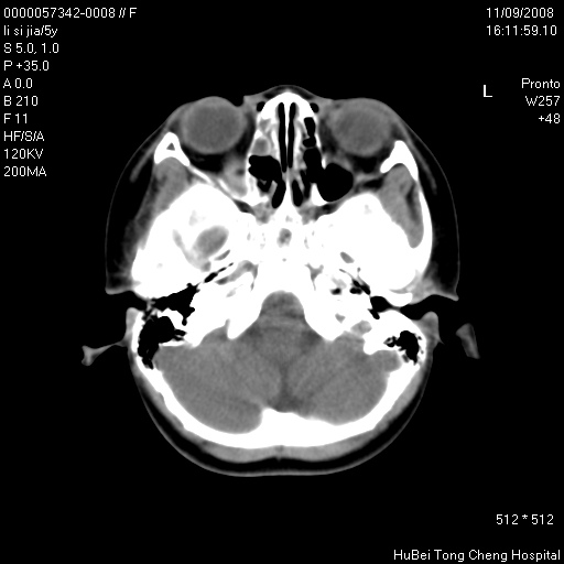
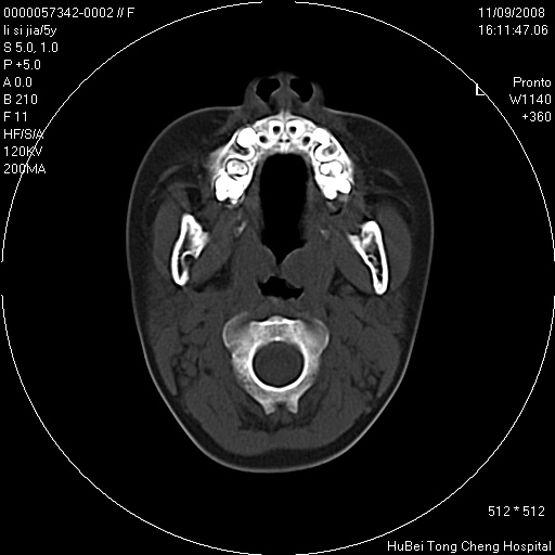
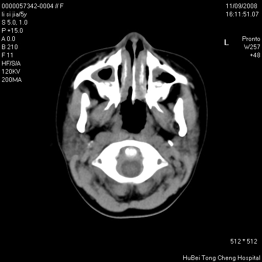
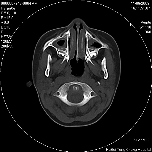
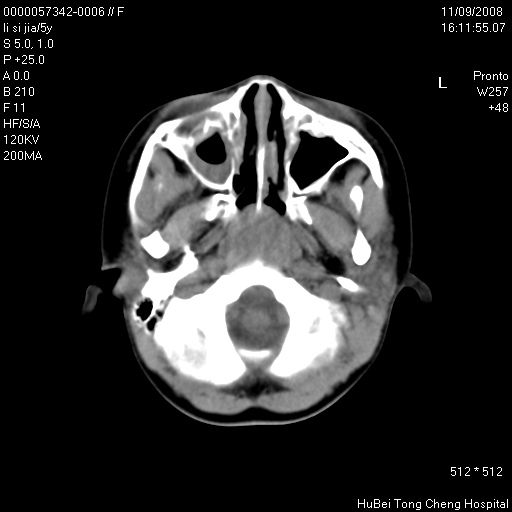
患儿 女,5岁。鼻塞、流涕2年余。

临床诊断:慢性副鼻窦炎?

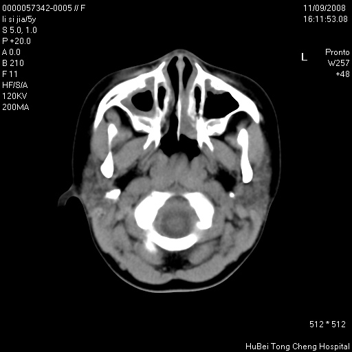
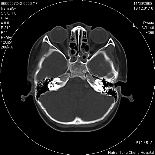
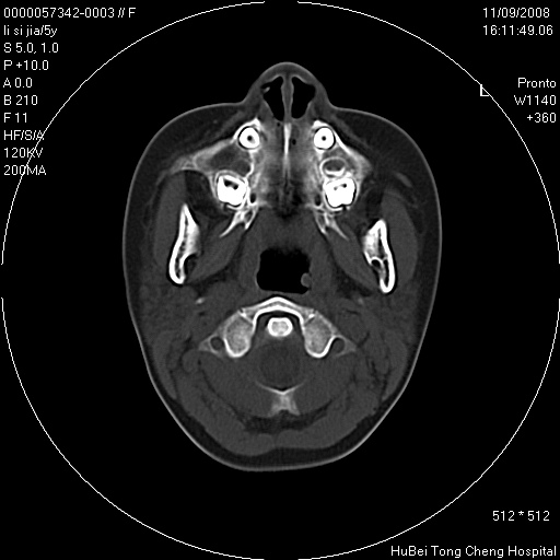
副鼻窦ct轴位平扫(层厚、层距均为5mm),图像如下:























[本贴已被 翁志蓬 于 2008-11-9 16:59:46 修改过]

作者: 余辉    时间: 2008-11-10 03:07
双侧上颌窦\\筛窦及蝶窦内均可见多量软组织密度影,结合病史支持考虑慢性全鼻窦炎
作者: 流浪星    时间: 2008-11-10 04:52
双侧上颌窦、筛窦及蝶窦内均可见粘膜增厚,结合病史支持考虑慢性全付鼻窦炎,腺样体肥大。
作者: guanaishengming    时间: 2008-11-10 09:15
双侧上颌窦、筛窦及蝶窦内均可见粘膜增厚,结合病史支持考虑慢性全付鼻窦炎,腺样体肥大。
作者: jiangjing    时间: 2008-11-10 19:02
双侧上颌窦、筛窦及蝶窦内均可见粘膜增厚,结合病史支持考虑慢性鼻窦炎,腺样体肥大。
作者: zgjldq    时间: 2008-11-10 22:19
双侧上颌窦、筛窦及蝶窦内均可见粘膜增厚,结合病史支持考虑慢性鼻窦炎,腺样体肥大
作者: DXM    时间: 2008-11-14 05:45
结合病史考虑慢性副鼻窦炎 , 腺样体肥大
作者: 黑白光影    时间: 2008-11-14 06:29
标题: 回复:ped1638:f,5y。鼻塞、流涕2年余。
以下是引用流浪星在2008-11-9 20:52:00的发言:[br]双侧上颌窦、筛窦及蝶窦内均可见粘膜增厚,结合病史支持考虑慢性全付鼻窦炎,腺样体肥大。

作者: 影像孺子牛    时间: 2008-11-16 07:03
双侧上颌窦、筛窦及蝶窦内均可见粘膜增厚,结合病史支持考虑慢性全组付鼻窦炎,腺样体肥大。
作者: wangjj555    时间: 2008-11-16 23:48
双侧上颌窦、筛窦及蝶窦内均可见粘膜增厚,结合病史支持考虑慢性鼻窦炎,腺样体肥大。
作者: scdlc2008    时间: 2008-11-17 00:00
慢性全付鼻窦炎
作者: 陈正林    时间: 2008-11-17 23:23
双侧上颌窦、筛窦及蝶窦内均可见粘膜增厚,结合病史考虑慢性全付鼻窦炎,腺样体肥大。
作者: 杀毒软件    时间: 2008-11-18 02:08
支持大家
作者: yxrcpa    时间: 2008-11-21 08:29
1、上颌窦、筛窦、蝶窦炎。2、腺样体肥大




欢迎光临 医影在线 (http://bbs.radida.com/bbs/) Powered by Discuz! X3.2