




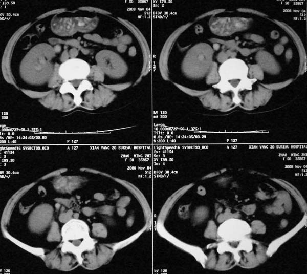
以下是引用dr.yang在2008-11-9 21:56:00的发言:[br]右肾上极占位?建议增强
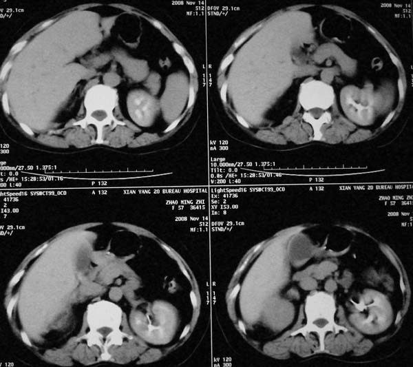
以下是引用x-man在2008-11-9 22:30:00的发言:[br]建议先增强,右肾影明显增大,上极见边不清低密度肿块影,肿瘤待定.
以下是引用卜一在2008-11-10 8:09:00的发言:[br]建议先增强,右肾影明显增大,上极见边不清低密度肿块影,肿瘤待定.支持!另:第一次碎石是否肾受到损伤?合并感染?不知第一次碎石前是否做过彩超?
以下是引用卜一在2008-11-10 8:09:00的发言:[br]建议先增强,右肾影明显增大,上极见边不清低密度肿块影,肿瘤待定.支持!另:第一次碎石是否肾受到损伤?合并感染?不知第一次碎石前是否做过彩超?
以下是引用dsl555在2008-11-9 23:57:00的发言:[br]建议先增强,右肾影明显增大,上极见边不清低密度肿块影,肿瘤待定. [br] [br]








| 欢迎光临 医影在线 (http://bbs.radida.com/bbs/) | Powered by Discuz! X3.2 |