医影在线

标题: MRI1883:女67岁,半年前曾患脑梗塞,治疗后好转,近3各月精 [打印本页]

作者: dsl555    时间: 2008-11-10 07:36
标题: MRI1883:女67岁,半年前曾患脑梗塞,治疗后好转,近3各月精
(该患者的ct图片:ct16564:http://www.radida.com/bbs/forum.php?mod=viewthread&tid=46299)
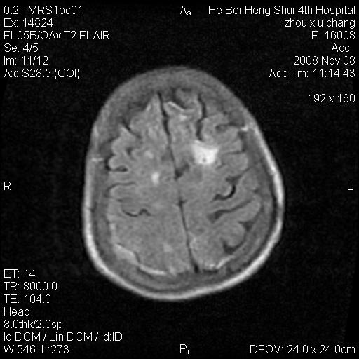
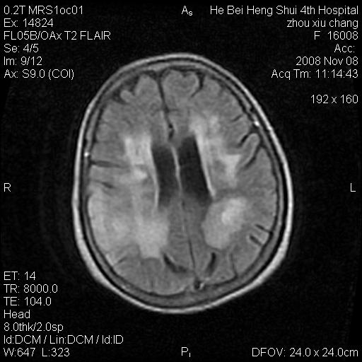
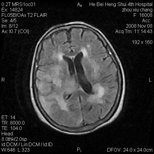
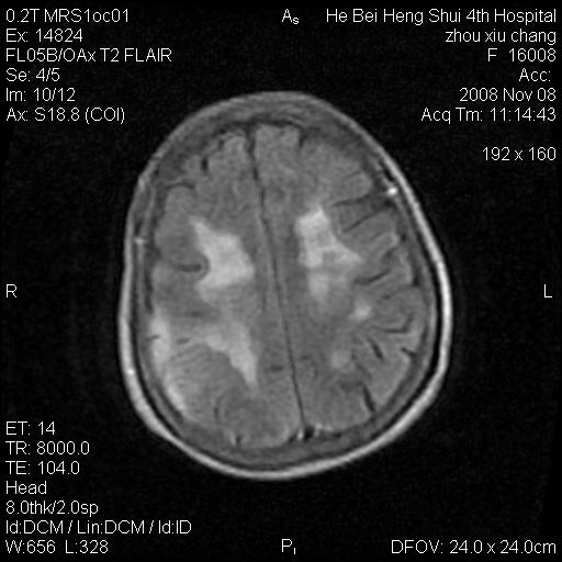
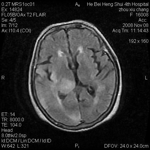
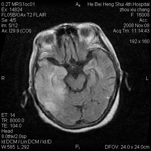
女67岁,半年前曾患脑梗塞,治疗后好转,近3各月精神恍惚。



































[本贴已被 jiajie 于 2008-11-10 6:26:46 修改过]

作者: guanaishengming    时间: 2008-11-10 08:51
两种可能:1,转移瘤,2,脑炎,建议增强扫描
作者: 联众之王    时间: 2008-11-10 14:34
多发硬化(年龄不太支持)待排转移瘤
作者: 心愿    时间: 2008-11-10 16:23
转移瘤?淋巴瘤?
作者: 余辉    时间: 2008-11-10 17:24
形态及整体病灶看起来首先考虑转移瘤或淋巴瘤,但奇怪的是多个病灶周围均未见显著的水肿区,这不符合这两个肿瘤的特点,结合ct表现及患者病史有个人考虑是否有皮层下动脉硬化性脑病伴多发胶质增生可能.
作者: jiangjing    时间: 2008-11-10 17:58
考虑  皮层下动脉硬化性脑病伴脑炎或
作者: 晓杰    时间: 2008-11-10 20:59
不像占位性病变,考虑脱髓鞘改变
作者: zxczxc    时间: 2008-11-10 22:27
脑转移瘤?
作者: liping57    时间: 2008-11-10 23:32
1皮层下动脉硬化性脑病,2胶质增生。
作者: 卜一    时间: 2008-11-11 00:19
皮层下动脉硬化性脑病伴脱髓鞘改变!
作者: cyr88888    时间: 2008-11-11 02:39
脑白质病
作者: 云翔    时间: 2008-11-12 03:04
不除外转移瘤,建议增强
作者: zyx168    时间: 2008-12-14 19:10
支持:皮层下动脉硬化性脑病伴脱髓鞘改变。




欢迎光临 医影在线 (http://bbs.radida.com/bbs/) Powered by Discuz! X3.2