医影在线
标题: CT16571:M,50Y。左侧腰背部疼痛3月余,伴消瘦。 [打印本页]
作者: 随光逐影 时间: 2008-11-10 21:22
标题: CT16571:M,50Y。左侧腰背部疼痛3月余,伴消瘦。
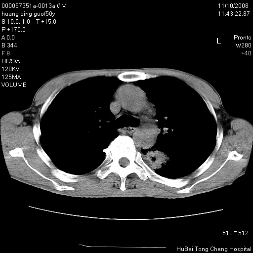
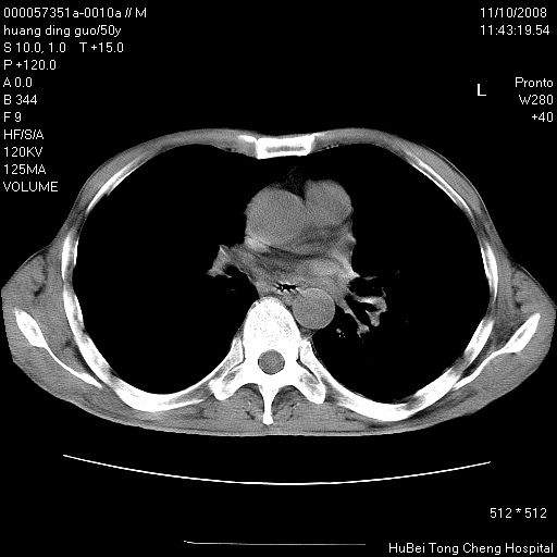
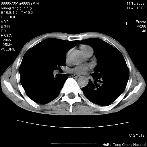
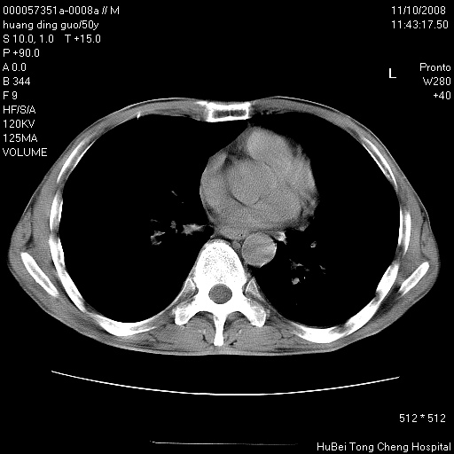
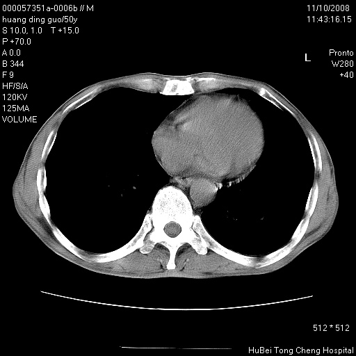
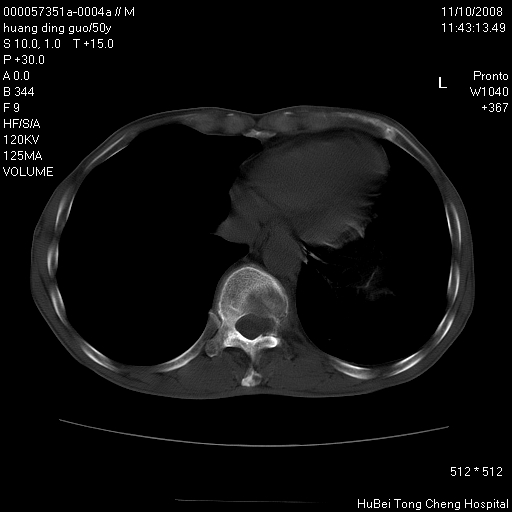
患者 男,50岁。左侧腰背部疼痛3月余,伴消瘦。平素健康,无传染病史。
双肾彩超提示:1)双肾小结石。2)右肾囊肿可能。
临床诊断:1)双肾小结石。2)胸部病变待排。
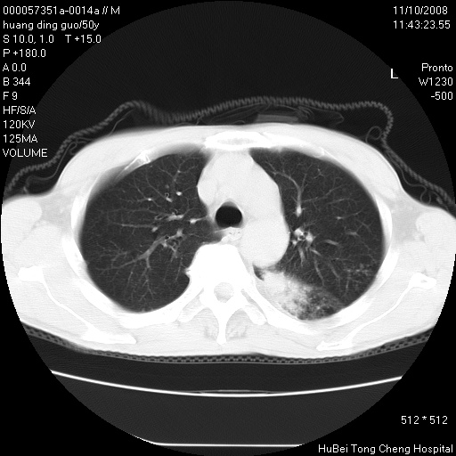
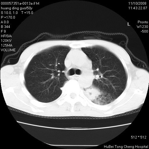
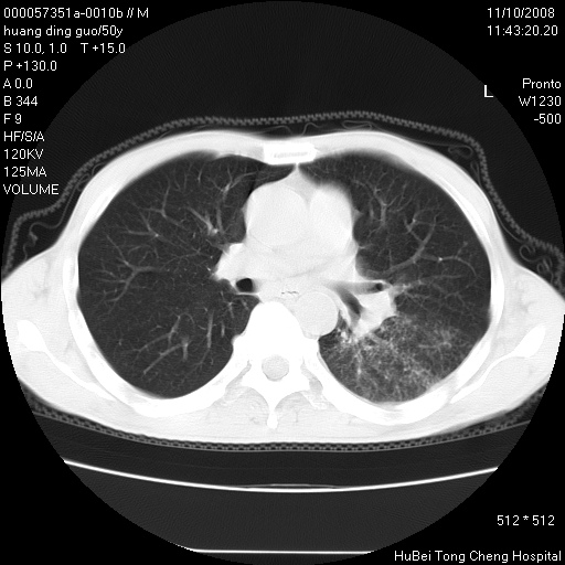
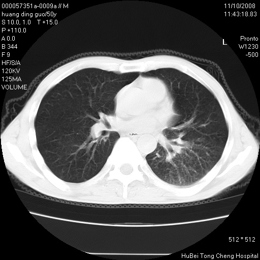
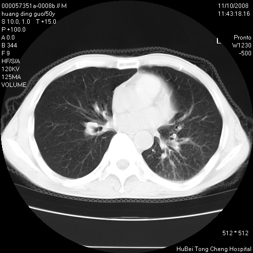
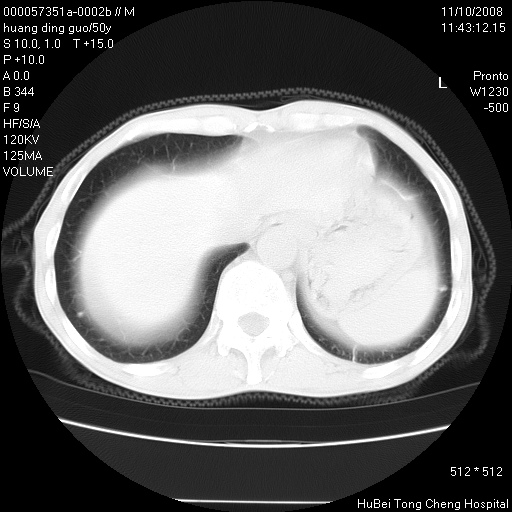
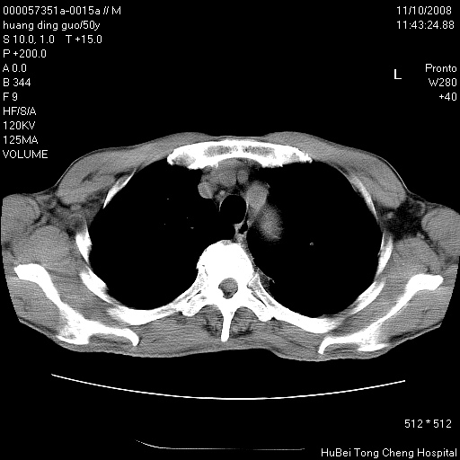
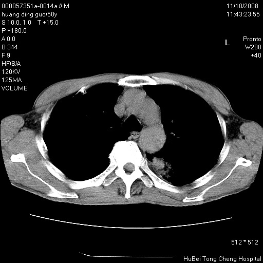
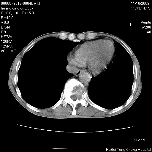
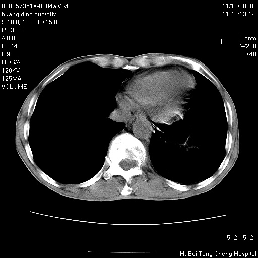
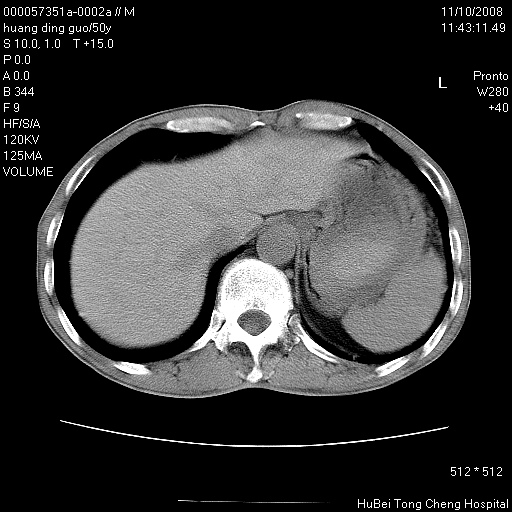
胸部ct轴位平扫(层厚10mm,螺距1.5,重建间隔10mm),图像如下:



























































[本贴已被 jiajie 于 2008-11-10 19:32:42 修改过]
作者: 358450m 时间: 2008-11-10 21:45
肺癌
作者: panyishengct 时间: 2008-11-10 21:48
左肺病灶考虑结核,右肺胸膜下多发小结节/胸椎骨质破坏,多考虑结核,不排外转移瘤,建议抗痨治疗后复查。
作者: 深泽交通 时间: 2008-11-10 22:13
标题: 回复:m,50y。左侧腰背部疼痛3月余,伴消瘦。
以下是引用panyishengct在2008-11-10 13:48:00的发言:[br]左肺病灶考虑结核,右肺胸膜下多发小结节/胸椎骨质破坏,多考虑结核,不排外转移瘤,建议抗痨治疗后复查。
作者: cfililiu 时间: 2008-11-10 22:19
先考虑结核
作者: zhanght-2000 时间: 2008-11-10 22:39
肺ca伴左肺门及骨转移
作者: zjzjr 时间: 2008-11-10 22:43
支持左肺周围型肺癌伴癌性淋巴管炎\\胸椎转移瘤,不除外肺泡癌
作者: LIAOQIANG 时间: 2008-11-10 22:59
左肺下叶背段有一厚壁空洞,外壁呈锯齿状伴毛刺改变。空洞相邻胸膜有牵拉改变。左肺下叶血管支气管束不规则增粗,小叶间隔增厚。胸椎骨质破坏。考虑左肺下叶周围型肺癌伴左肺下叶癌性淋巴管炎、胸椎转移。
作者: 卜一 时间: 2008-11-11 00:04
支持:左肺周围型肺癌伴癌性淋巴管炎\\胸椎转移瘤,不除外肺泡癌。(椎体破坏伴椎弓破坏)
作者: fshk1 时间: 2008-11-11 00:33
左肺周围型肺癌伴癌性淋巴管炎同时胸椎转移瘤。
作者: jiangjing 时间: 2008-11-11 01:33
左肺下叶背段有一厚壁空洞,外壁呈锯齿状伴毛刺改变。空洞相邻胸膜有牵拉改变。左肺下叶血管支气管束不规则增粗,小叶间隔增厚。胸椎骨质破坏。考虑左肺下叶周围型肺癌伴阻塞性肺炎、胸椎转移。其他待排
作者: zsl6918 时间: 2008-11-11 01:40
考虑:1,肺癌骨转移。2,左肺结核并胸椎结核不除外。建议穿刺明确
作者: jone-baby 时间: 2008-11-11 02:13
考虑肺癌伴胸椎转移。
作者: 医影常客 时间: 2008-11-11 02:46
支持肺癌并胸椎转移 建议穿刺排除tb
作者: xulianj 时间: 2008-11-11 04:37
左肺下叶背段有一厚壁空洞,外壁呈锯齿状伴毛刺改变。空洞相邻胸膜有牵拉改变。左肺下叶血管支气管束不规则增粗,小叶间隔增厚。胸椎骨质破坏。考虑左肺下叶周围型肺癌伴胸椎转移。
作者: sunxb1010 时间: 2008-11-11 07:36
左肺下叶背段有一厚壁空洞,内壁不规则,外壁呈锯齿状伴毛刺改变。空洞相邻胸膜有牵拉改变。周围呈絮状炎性改变,左肺下叶血管支气管束不规则增粗,小叶间隔增厚。胸椎骨质破坏。考虑左肺下叶周围型肺癌伴左肺下叶阻塞性肺炎、胸椎转移。
| 欢迎光临 医影在线 (http://bbs.radida.com/bbs/) |
Powered by Discuz! X3.2 |