医影在线

标题: CT16579:女 65岁间断性抽搐. [打印本页]

作者: 小同少一氏    时间: 2008-11-11 03:11
标题: CT16579:女 65岁间断性抽搐.















[本贴已被 jiajie 于 2008-11-10 20:51:39 修改过]

作者: 随光逐影    时间: 2008-11-11 03:28
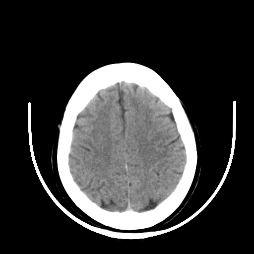
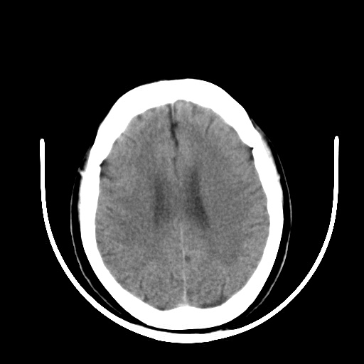
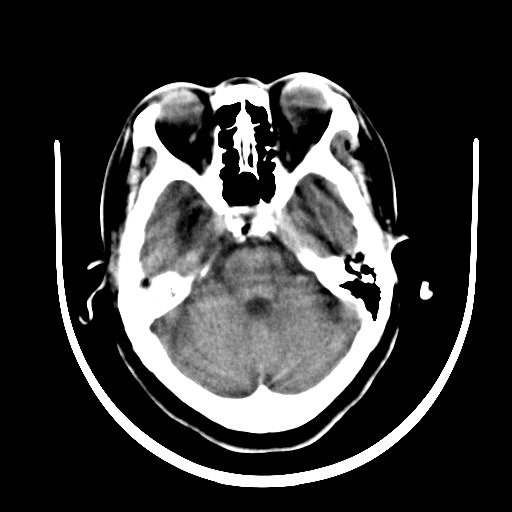
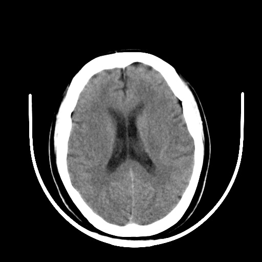
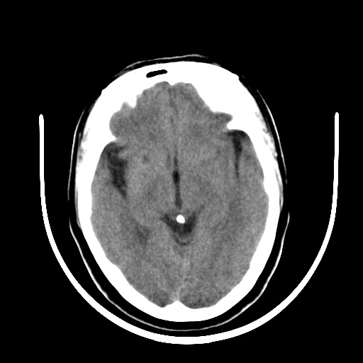
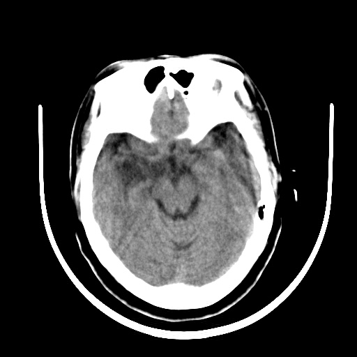
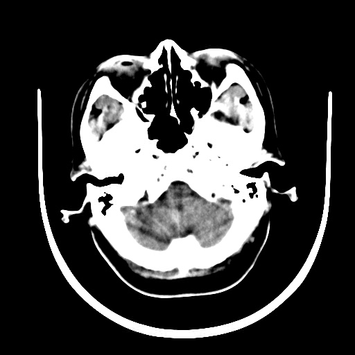
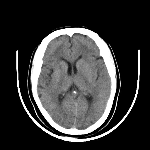
考虑右侧颞叶脑软化灶并脑穿通畸形;建议必要时行进一步检查。
作者: ydx_74    时间: 2008-11-11 03:49
右侧蛛网膜囊肿
作者: liuyue    时间: 2008-11-11 04:29
右颞叶脑软化灶。余未见明显异常。
作者: 谨言慎行    时间: 2008-11-11 04:37
考虑右颞叶脑软化灶
作者: zsl6918    时间: 2008-11-11 04:44
老年脑改变
作者: 卜一    时间: 2008-11-11 14:02
脑软化灶!
作者: 吴承学    时间: 2008-11-11 14:31
标题: 回复:ct16579:女 65岁间断性抽搐.
以下是引用卜一在2008-11-11 6:02:00的发言:[br]脑软化灶!  [br]   [br]

作者: qc80012345    时间: 2008-11-11 14:48
脑软化灶!
作者: zjzjr    时间: 2008-11-11 19:18
考虑右颞叶脑软化灶
作者: 泰医女孩    时间: 2008-11-21 02:58
右颞叶软化灶,右基底节区腔隙性脑梗塞;




欢迎光临 医影在线 (http://bbs.radida.com/bbs/) Powered by Discuz! X3.2