医影在线

标题: X5037:M47Y,:心慌气喘 [打印本页]

作者: 黑白光影    时间: 2008-11-11 03:46
标题: X5037:M47Y,:心慌气喘
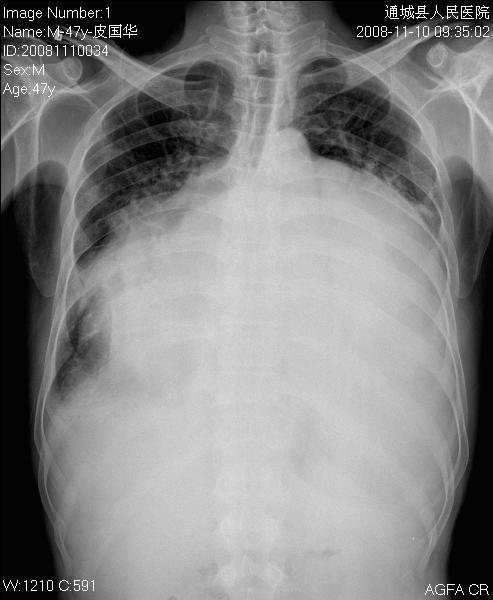
男性 47岁 自述风心病史十年 临床听诊-无 心超检查-无



[本贴已被 jiajie 于 2008-11-11 6:32:00 修改过]

作者: 谨言慎行    时间: 2008-11-11 04:18
平生第1次见如此大的心影。除了心影、隆突角大,右侧肋膈角钝外看不到其他征象。
作者: zsl6918    时间: 2008-11-11 13:48
好大一个心,心包内积液。
作者: jinguoji    时间: 2008-11-11 15:55
该病例还是符合风心病改变的。
作者: 随光逐影    时间: 2008-11-11 16:38
1)考虑风湿性心脏病,心包积液。2)双侧胸腔积液。建议行进一步检查。
作者: yangzhenghai    时间: 2008-11-11 16:55
标题: 回复:x5037:m47y,:心慌气喘
以下是引用随光逐影在2008-11-11 8:38:00的发言:[br]1)考虑风湿性心脏病,心包积液。2)双侧胸腔积液。建议行进一步检查。

作者: wangyong-1977    时间: 2008-11-11 18:34
有风心病史,诊断风心病没问题,单靠一张胸片不能定型
作者: wangyong-1977    时间: 2008-11-11 18:37
有风心病史,诊断风心病没问题,单靠一张胸片不能定型
作者: 358450m    时间: 2008-11-11 20:41
1)考虑风湿性心脏病,心包积液。2)双侧胸腔积液。建议行进一步检查。
作者: hkdy1029    时间: 2008-11-11 22:45
光一个正位片能说明什么呢,还是做心彩吧。
作者: peijunjie    时间: 2008-11-12 00:56
喜欢放射线工作的加qq群42339899
作者: shuqiang1    时间: 2008-11-12 00:59
曾进修时见一类似病例,当地医院以胸腔积液治疗抽到血性水,到上级医院彩超检查左房巨大,二尖瓣裂行瓣膜置换手术。
此病例考虑风心瓣膜病变及心包积液可能,还是彩超检查。
作者: drzhang8888    时间: 2008-11-12 02:10
有风心病史,诊断风心病没问题,单靠一张胸片不能定型,还是做心彩吧。
作者: 杨文渊    时间: 2008-11-12 02:29
这个接诊大夫难道就没有听诊吗?这也太不负责任了;
就单凭这张胸部正位片,我考虑风湿性心脏病,可能是一个双损合并有心包积液。
作者: zhanggenliang    时间: 2008-11-12 04:46
考虑风心病,心包积液。建议超声心动图
作者: 153916826hua    时间: 2008-11-25 06:58
考虑风湿性心脏病,心包积液。2)双侧胸腔积液。建议行进一步检查
作者: dyqct    时间: 2008-11-26 01:11
做彩超吧!听诊。
作者: 987654zwf    时间: 2008-11-26 04:56
风湿性心脏病(累及多个瓣膜),合并心衰?心包积液?建议彩超检查。
作者: 江广1996    时间: 2008-11-28 00:32
该病例还是符合风心病改变的.但目前应是联合瓣膜病变.
作者: 一剑飘红    时间: 2008-11-28 21:36
心影大到这程度了,单一张正位咱就看不懂了,心包积液不能除外吧
作者: shibing    时间: 2014-4-18 07:33
符合风心病改变的。




欢迎光临 医影在线 (http://bbs.radida.com/bbs/) Powered by Discuz! X3.2