











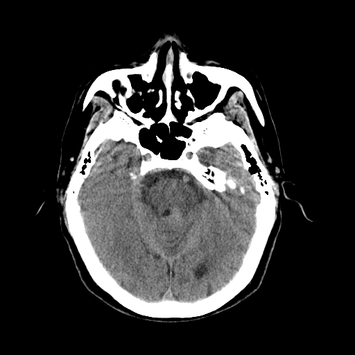
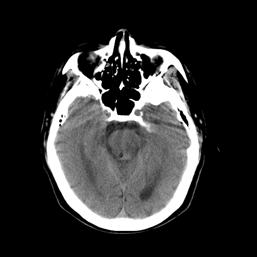
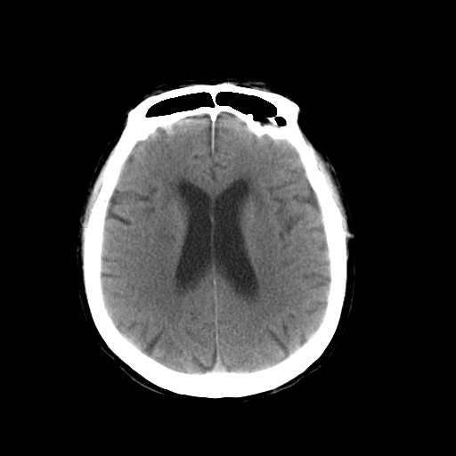
以下是引用dsl555在2008-11-11 18:52:00的发言:[br]四脑室后上方,四叠体池上方可见一小结节状稍高等密度影,比40天略大,建议mri或增强
以下是引用影像孺子牛在2008-11-11 23:11:00的发言:[br]还是做个mri吧,无必要复查ct。
以下是引用zjzjr在2008-11-12 8:28:00的发言:[br]四脑室后方略高密度影,周围环一低密度水肿带,四脑室受压变形,考虑小脑蚓部血肿吸收期或占位,建议增强
| 欢迎光临 医影在线 (http://bbs.radida.com/bbs/) | Powered by Discuz! X3.2 |