医影在线

标题: CT16604:男32岁,左髋关节处疼痛月余 [打印本页]

作者: cai    时间: 2008-11-13 16:17
标题: CT16604:男32岁,左髋关节处疼痛月余












[本贴已被 jiajie 于 2008-11-13 9:27:47 修改过]

作者: wxq2008    时间: 2008-11-13 17:46
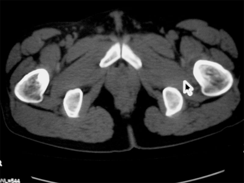
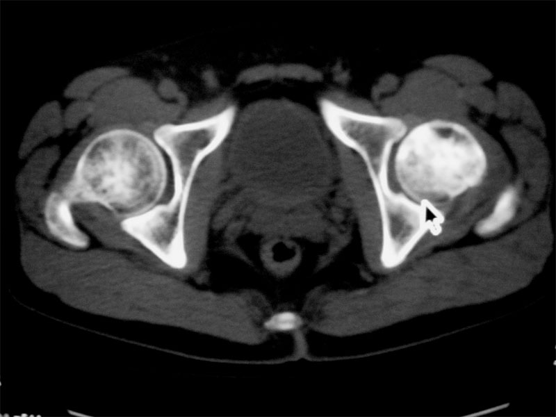
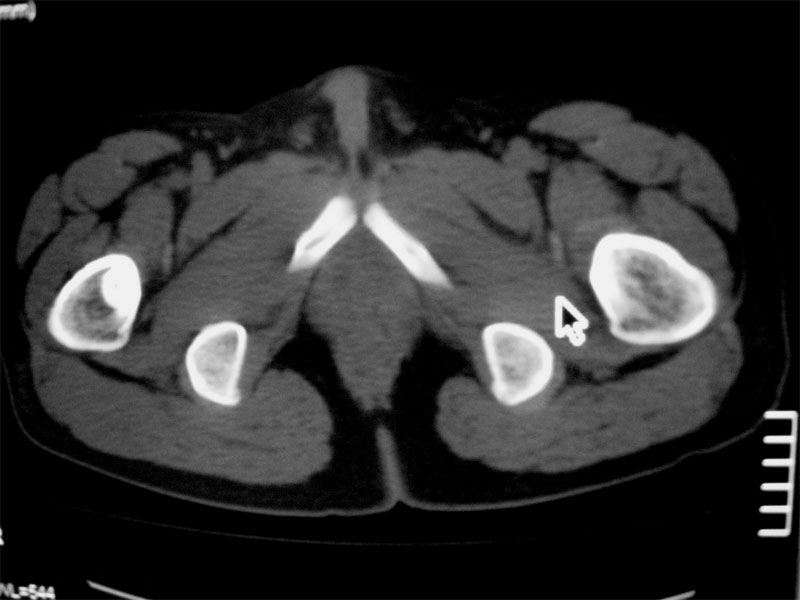
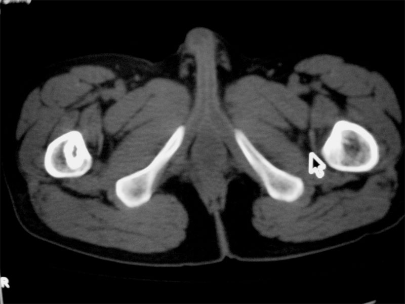
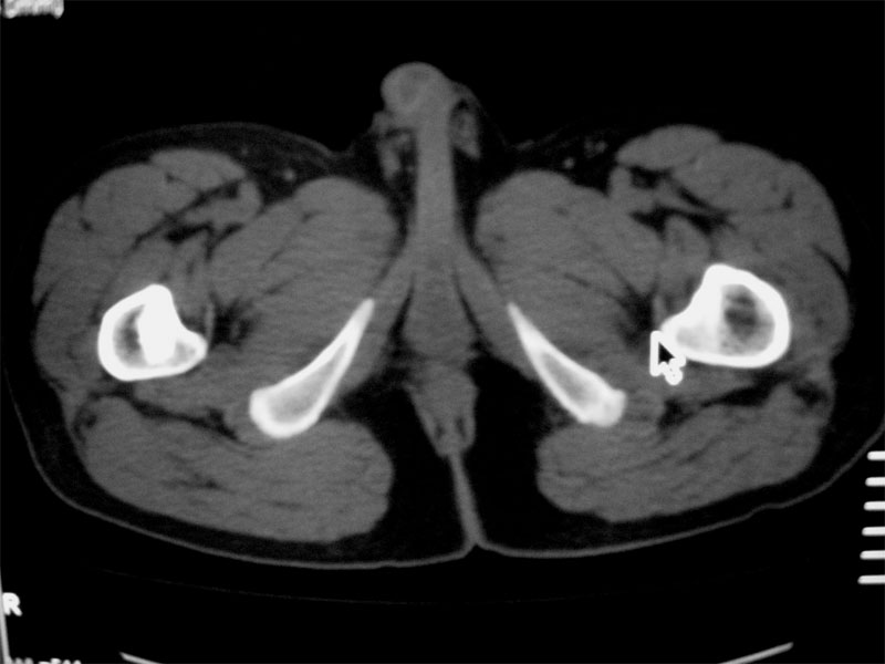
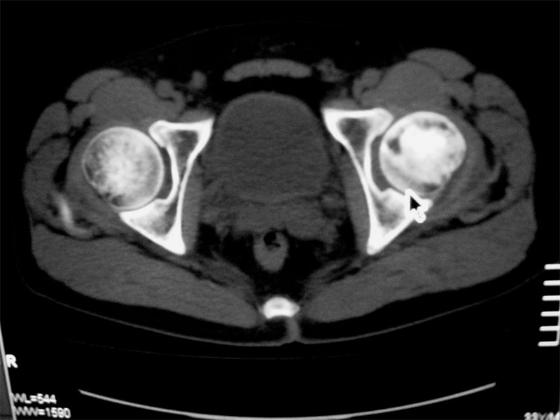
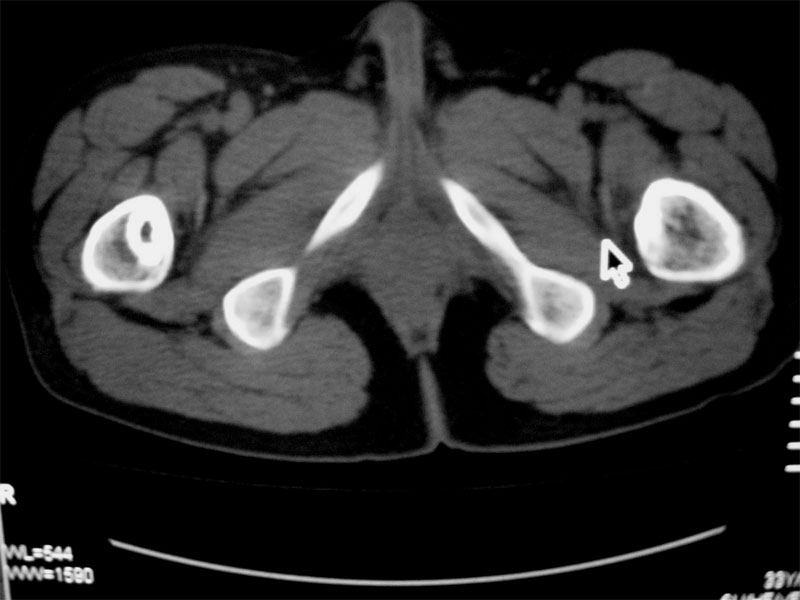
左股骨头缺血性坏死
作者: 朱亮    时间: 2008-11-13 17:56
双侧股骨头坏死
作者: cai    时间: 2008-11-13 19:21
标题: 回复:ct16604:男32岁,左髋关节处疼痛月余

作者: 随光逐影    时间: 2008-11-13 19:23
考虑左股骨头缺血性坏死;建议必要时行mri检查。
作者: 吴承学    时间: 2008-11-13 20:35
标题: 回复:ct16604:男32岁,左髋关节处疼痛月余
考虑左股骨头缺血性坏死;建议必要时行mri检查。右侧拍平片
作者: zjzjr    时间: 2008-11-13 20:52
左侧髋关节少量积液.上传骨窗
作者: 深泽交通    时间: 2008-11-13 21:57
标题: 回复:ct16604:男32岁,左髋关节处疼痛月余
以下是引用朱亮在2008-11-13 9:56:00的发言:[br]双侧股骨头坏死

作者: 影象小泰斗    时间: 2008-11-13 22:30
双侧股骨头坏死!!
作者: jiangjing    时间: 2008-11-14 00:36
左侧股骨头坏死,左侧髋关节少量积液
作者: sdzyy    时间: 2008-11-14 00:53
双侧股骨头坏死!!
作者: zsl6918    时间: 2008-11-14 01:20
建议提供骨窗资料
作者: LIAOQIANG    时间: 2008-11-14 01:23
考虑左侧股骨头坏死。
作者: dsl555    时间: 2008-11-14 01:26
考虑左股骨头缺血性坏死;建议必要时行mri检查。右侧拍平片
作者: xulianj    时间: 2008-11-14 04:20
考虑左股骨头缺血性坏死;右股骨上段良性骨肿瘤,考虑成软骨细胞瘤可能。建议上传骨窗。
作者: 光影相伴    时间: 2008-11-14 04:51
考虑左侧股骨头坏死。建议提供骨窗资料。
作者: 黑白光影    时间: 2008-11-14 05:22
考虑左侧股骨头坏死。建议提供骨窗资料。




欢迎光临 医影在线 (http://bbs.radida.com/bbs/) Powered by Discuz! X3.2