医影在线
标题: PED1643:女,10岁。抽风两次。 [打印本页]
作者: fanshl 时间: 2008-11-15 19:45
标题: PED1643:女,10岁。抽风两次。


[本贴已被 jiajie 于 2008-11-15 12:19:57 修改过]
作者: xiaoniu 时间: 2008-11-15 20:01
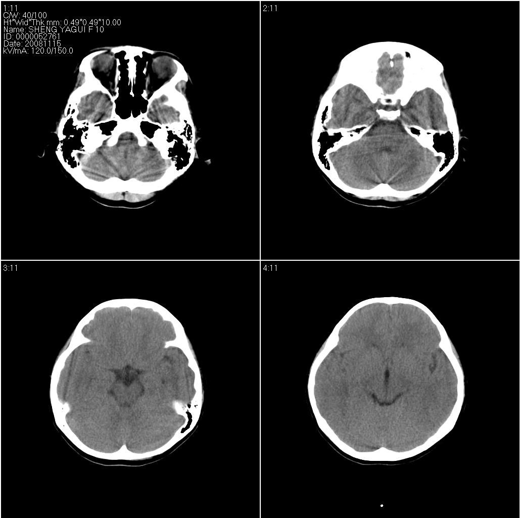
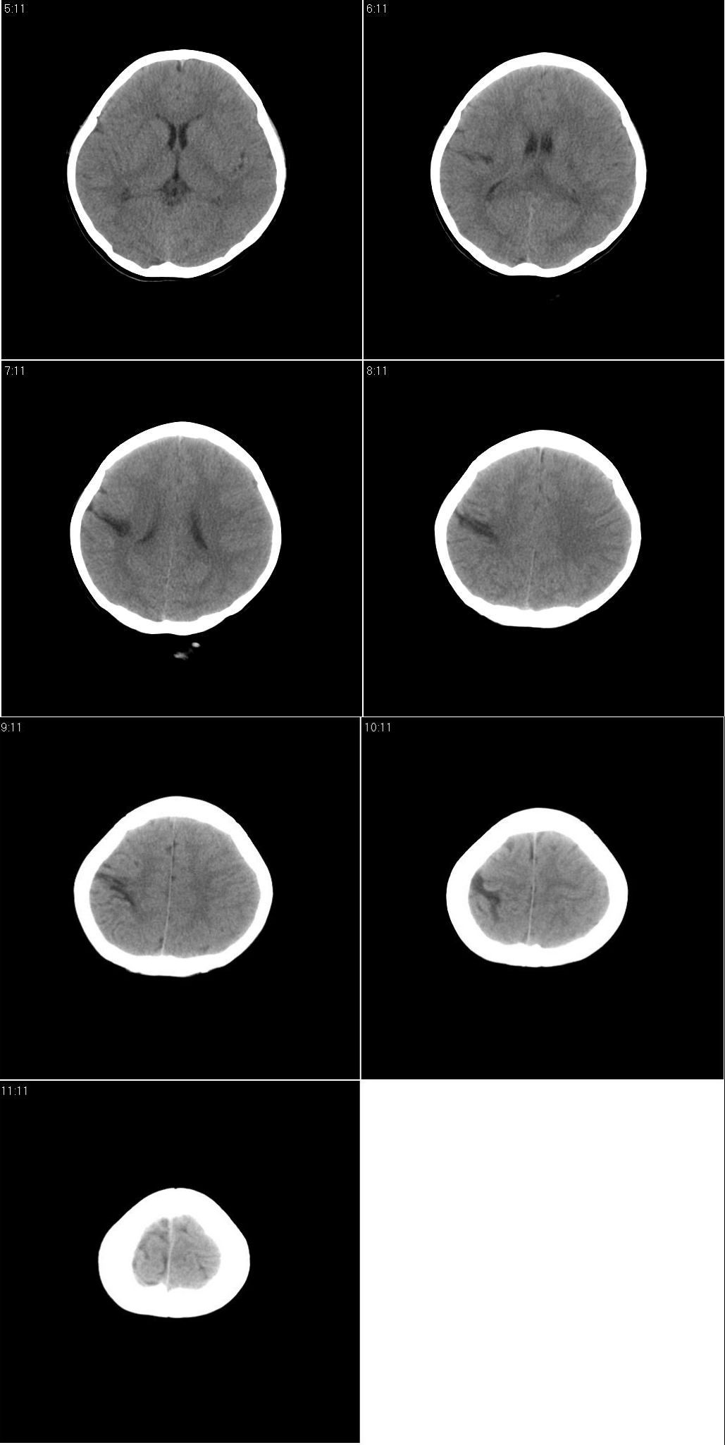
右侧大脑皮质裂隙,未与脑室相通,应该是脑裂畸形。
主要与脑穿通畸形相鉴别。两者相同点:都是跨越大脑半球的裂隙。不同点:脑裂畸形有皮层灰质沿裂隙内折到脑室壁。穿通畸形:裂隙两缘无皮层内折。脑裂畸形一定合并灰质异位。但灰质异位不一定合并脑裂畸形。
作者: zhurui1113 时间: 2008-11-15 20:05
右侧脑裂畸形,灰质异位
作者: syfszcw 时间: 2008-11-15 20:09
右侧脑裂畸形,灰质异位 脑穿通畸形囊肿常有负占位 。
作者: 随光逐影 时间: 2008-11-15 20:21
考虑右侧顶叶脑软化灶并脑穿通畸形。
作者: 黑白光影 时间: 2008-11-15 21:22
考虑右侧顶叶脑软化灶并脑穿通畸形。
作者: 同 时间: 2008-11-16 04:03
右侧脑裂畸形.
作者: 余辉 时间: 2008-11-16 04:26
病灶形态及与脑表面的关系,临近脑皮质形态及临近脑沟形态较支持脑裂畸形伴临近脑皮质发育不良,但辐射冠及半卵圆中心层面示病灶与白质间无明显灰质内称,这个不太符合脑裂畸形,因此脑裂畸形首先考虑不除外脑穿通畸形
作者: 影象小泰斗 时间: 2008-11-16 06:15
考虑脑裂畸形!
作者: 影像孺子牛 时间: 2008-11-16 06:55
标题: 回复:ped1643:女,10岁。抽风两次。
以下是引用余辉在2008-11-15 20:26:00的发言:[br]病灶形态及与脑表面的关系,临近脑皮质形态及临近脑沟形态较支持脑裂畸形伴临近脑皮质发育不良,但辐射冠及半卵圆中心层面示病灶与白质间无明显灰质内称,这个不太符合脑裂畸形,因此脑裂畸形首先考虑不除外脑穿通畸形
作者: jiangjing 时间: 2008-11-16 22:40
考虑脑裂畸形.软化灶或穿通畸形应该有相应的脑沟裂增宽,侧脑室扩大
作者: LIAOQIANG 时间: 2008-11-16 23:43
考虑右侧脑裂畸形。不除外脑穿通畸形。
作者: scdlc2008 时间: 2008-11-16 23:47
考虑脑裂畸形!
作者: wangjj555 时间: 2008-11-16 23:59
右侧脑裂畸形.
作者: guanaishengming 时间: 2008-11-17 20:21
病灶形态及与脑表面的关系,临近脑皮质形态及临近脑沟形态较支持脑裂畸形伴临近脑皮质发育不良,但辐射冠及半卵圆中心层面示病灶与白质间无明显灰质内称,这个不太符合脑裂畸形,因此脑裂畸形首先考虑不除外脑穿通畸形
作者: 杀毒软件 时间: 2008-11-18 01:59
考虑脑裂畸形
作者: dengkai 时间: 2008-11-18 17:20
考虑脑裂畸形!
作者: yangyudong333 时间: 2008-11-18 23:31
右侧脑裂畸形.{闭合型}
作者: 王仕学 时间: 2008-11-20 02:20
右侧脑裂畸形,灰质异位
作者: hyhxn 时间: 2008-11-20 06:46
病灶形态及与脑表面的关系,临近脑皮质形态及临近脑沟形态较支持脑裂畸形伴临近脑皮质发育不良,但辐射冠及半卵圆中心层面示病灶与白质间无明显灰质内称,这个不太符合脑裂畸形,因此脑裂畸形首先考虑不除外脑穿通畸形
作者: 石门之剑 时间: 2008-11-21 06:12
标题: 回复:ped1643:女,10岁。抽风两次。
以下是引用影象小泰斗在2008-11-15 22:15:00的发言:[br]考虑脑裂畸形!
| 欢迎光临 医影在线 (http://bbs.radida.com/bbs/) |
Powered by Discuz! X3.2 |