医影在线

标题: CT16631:女,46岁,头痛数月。 [打印本页]

作者: shgy733    时间: 2008-11-16 03:16
标题: CT16631:女,46岁,头痛数月。
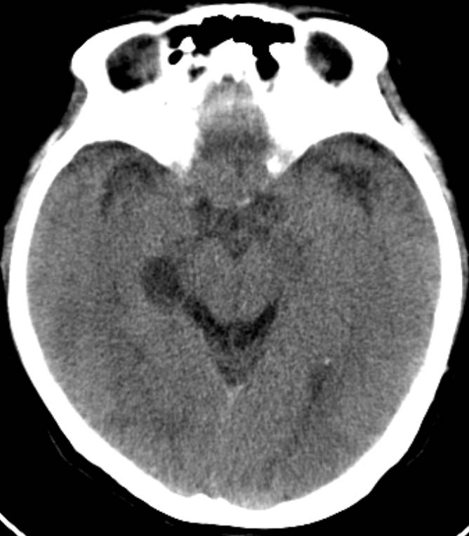
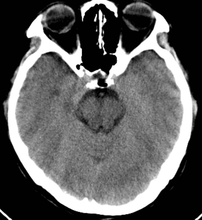
女,46岁,头痛数月。求助战友。。。。。。。。。。。。

其余颅脑层面未见异常。





[本贴已被 jiajie 于 2008-11-15 21:03:28 修改过]

作者: 余辉    时间: 2008-11-16 03:38
考虑脉络裂囊肿或蛛网膜囊肿可能,建议加薄扫
作者: 随光逐影    时间: 2008-11-16 03:44
支持 右侧脉络膜裂囊肿。
作者: 同    时间: 2008-11-16 04:01
支持右侧脉络膜囊肿.
作者: 影象小泰斗    时间: 2008-11-16 04:32
支持右侧脉络膜囊肿
作者: z456    时间: 2008-11-16 04:37
支持
作者: aomeilazuo    时间: 2008-11-16 04:49
珠网膜囊肿
作者: xulianj    时间: 2008-11-16 04:58
脉络裂囊肿!
作者: 光线    时间: 2008-11-16 05:42
支持右侧脉络膜囊肿  。
作者: 501959462    时间: 2008-11-16 06:03
支持蛛网膜囊肿
作者: zsl6918    时间: 2008-11-16 06:03
右侧脉络膜囊肿可能性大
作者: 影像孺子牛    时间: 2008-11-16 06:23
标题: 回复:ct16631:女,46岁,头痛数月。
以下是引用随光逐影在2008-11-15 19:44:00的发言:[br]支持 右侧脉络膜裂囊肿。

作者: liuyue    时间: 2008-11-16 07:08
支持右侧脉络膜囊肿  。
作者: 卜一    时间: 2008-11-16 16:38
支持:右侧脉络膜囊肿或蛛网膜囊肿!
作者: pujunzhi    时间: 2008-11-16 17:09
支持:右侧脉络膜裂囊肿。
作者: ljchenshiying    时间: 2008-11-16 17:25
右侧脉络膜裂囊肿。
作者: 深泽交通    时间: 2008-11-16 17:51
标题: 回复:ct16631:女,46岁,头痛数月。
以下是引用同在2008-11-15 20:01:00的发言:[br]支持右侧脉络膜囊肿.

作者: 沙漠骆驼    时间: 2008-11-16 18:38
考虑:右侧脉络膜裂囊肿。
作者: zjzjr    时间: 2008-11-16 20:14
支持 右侧脉络膜裂囊肿。
作者: 黑白光影    时间: 2008-11-17 02:46
考虑右侧脉络裂囊肿或蛛网膜囊肿可能。
作者: 影象小辈    时间: 2008-11-17 02:51
支持右侧脉络膜囊肿
作者: 光影★小胖    时间: 2008-11-17 02:52
支持 右侧脉络膜裂囊肿。
作者: 李兴    时间: 2008-11-17 04:19
蛛网膜囊肿
作者: shgy733    时间: 2008-11-18 20:28
mri结果为考虑:蛛网膜囊肿
作者: 一个人    时间: 2008-11-18 23:44
右侧脉络膜裂囊肿。
作者: 风中百合    时间: 2008-11-20 02:14
蛛网膜囊肿




欢迎光临 医影在线 (http://bbs.radida.com/bbs/) Powered by Discuz! X3.2