医影在线

标题: CT16602B:(补充)平扫和动脉期 [打印本页]

作者: nanjing    时间: 2008-11-16 20:57
标题: CT16602B:(补充)平扫和动脉期
ct16602:http://www.radida.com/bbs/forum.php?mod=viewthread&tid=46386
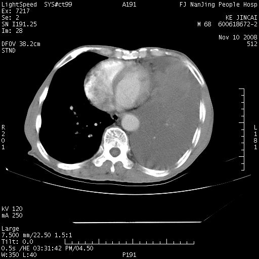
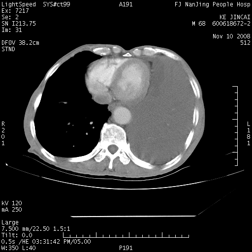
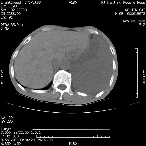
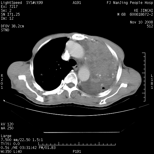
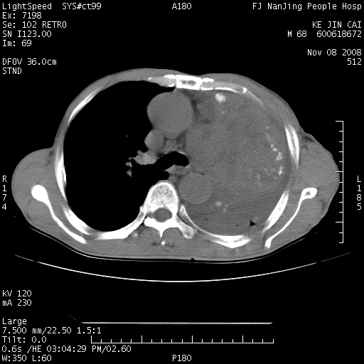
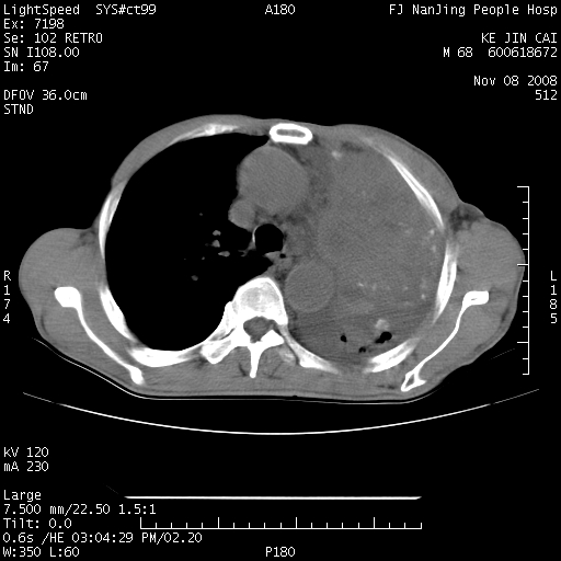
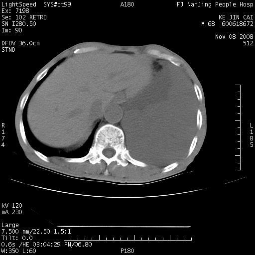
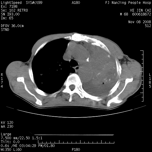
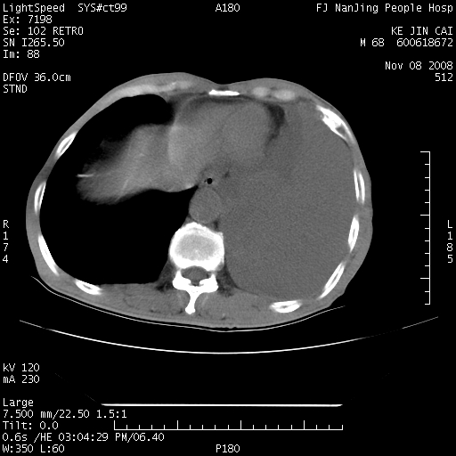
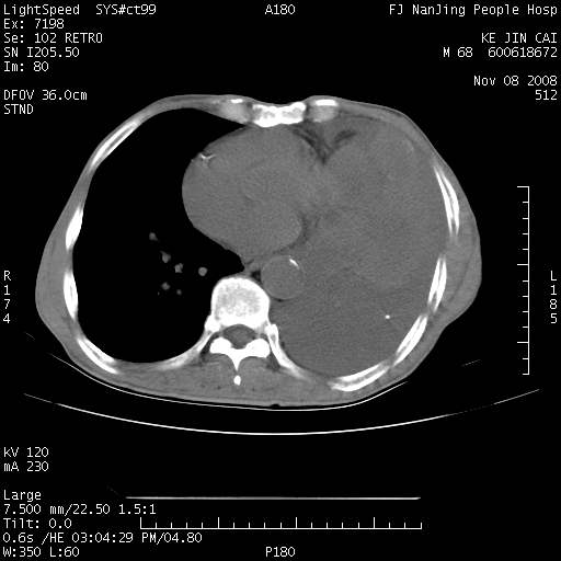
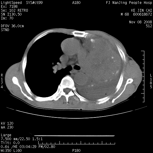
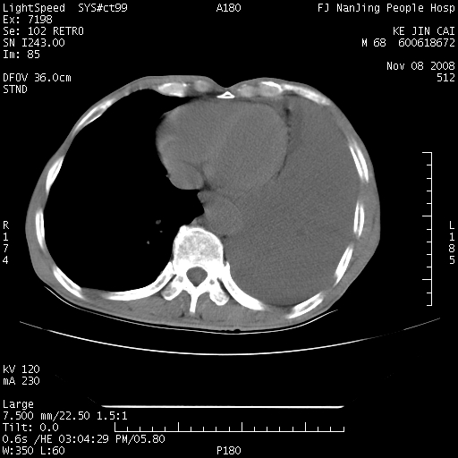
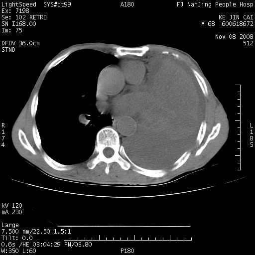
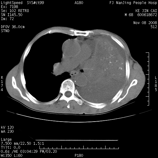
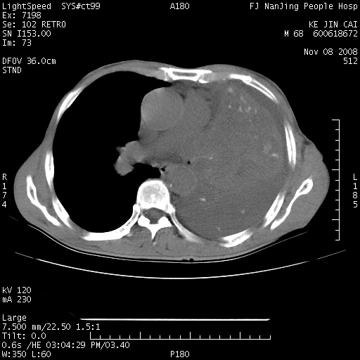
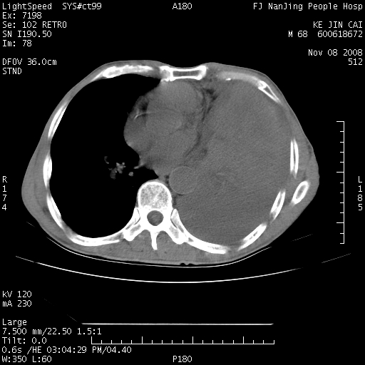
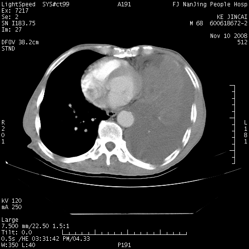
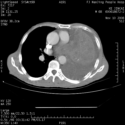
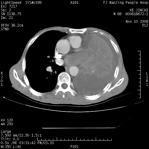
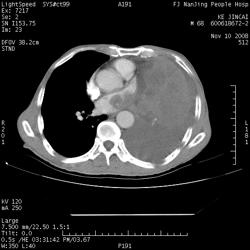
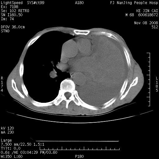
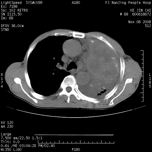
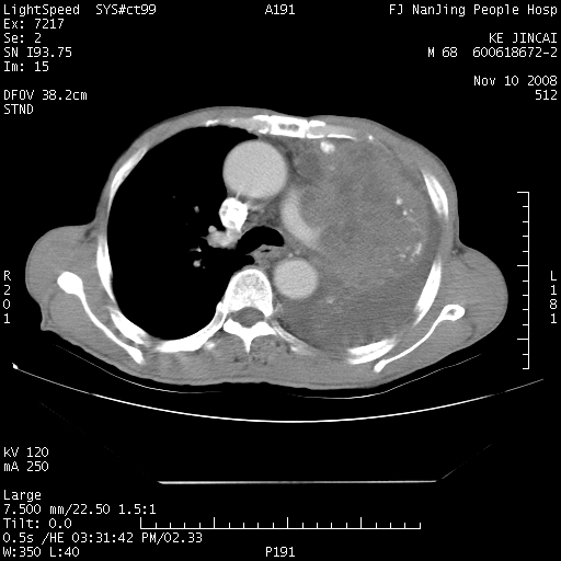
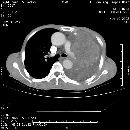
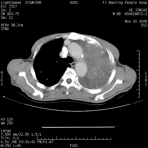
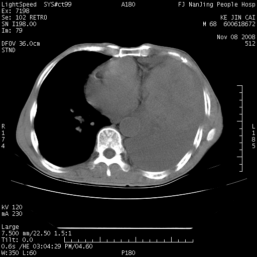
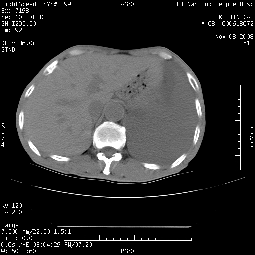
是个很有看头的病例,咋人气那么不旺?没多少人兴趣呢?这个病例几大怪:1   恶性肿瘤侵犯心肌左房怪,心肌一般不会被恶性肿瘤侵犯吧?2   左下肺均匀实变怪,内无含气,有别一般不张实变,含气肺泡完全为液体取代,而非一般不张实变的肺萎陷,冷不丁还以为是肿大的脾脏3   肿瘤本身怪,像tb肺不张4   这么有看头的病例没人气怪。呵呵。
追查病史,咳嗽,患者无发热,血象不高。据说2年前胸片检查怀疑肺ca曾行纤支镜检查,病理未见到癌细胞。无确切资料。



































































[img]/upload/f
作者: nanjing    时间: 2008-11-16 21:04
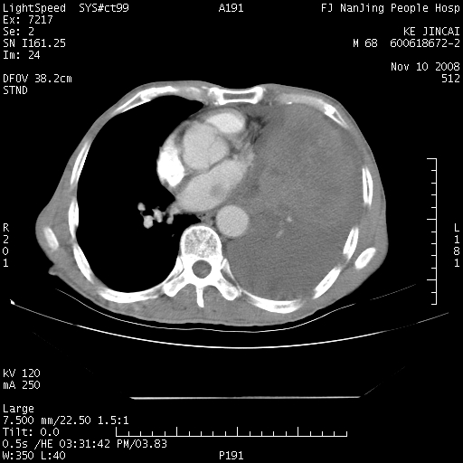
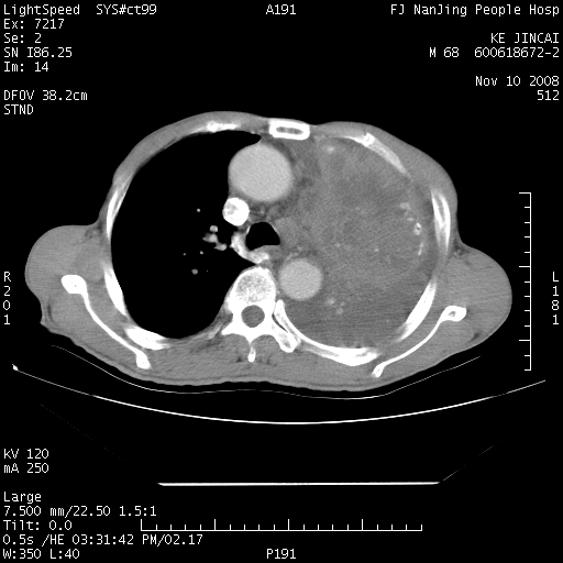
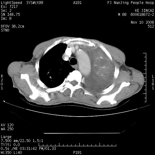
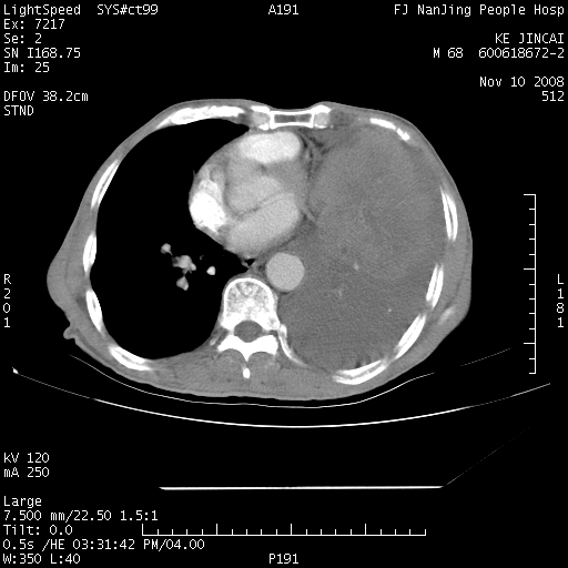
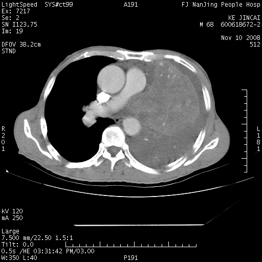
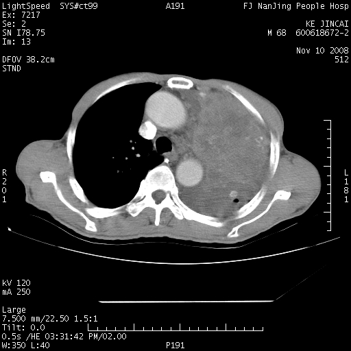
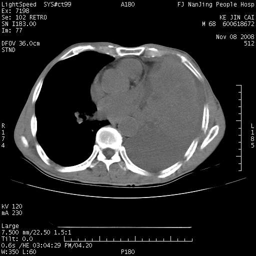
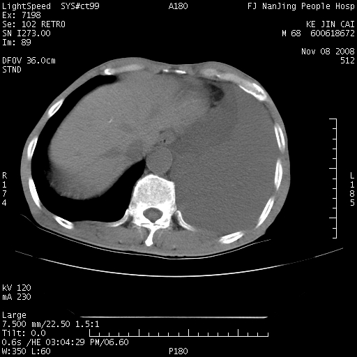
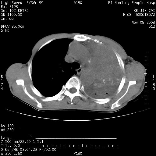
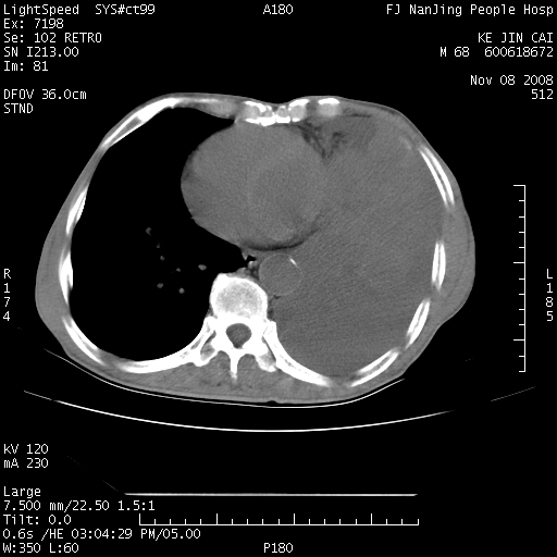
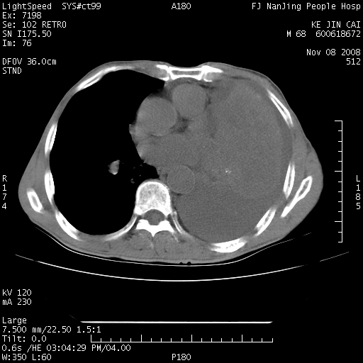
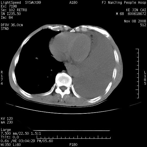
静脉期和肺窗在http://www.radida.com/radinet/read.php?tid=46386
作者: xulianj    时间: 2008-11-16 23:09
恶性肿瘤,以肺肉瘤可能大。定性诊断穿刺活检还是比较方便的。
作者: dsl555    时间: 2008-11-17 02:17
恶性肿瘤,定性还得病理
作者: zsl6918    时间: 2008-11-17 02:28
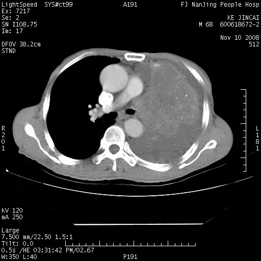
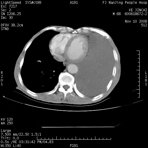
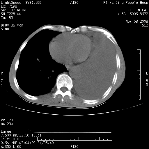
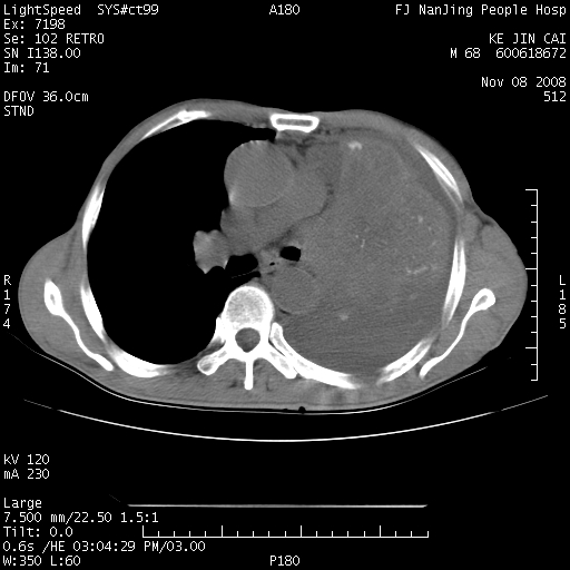
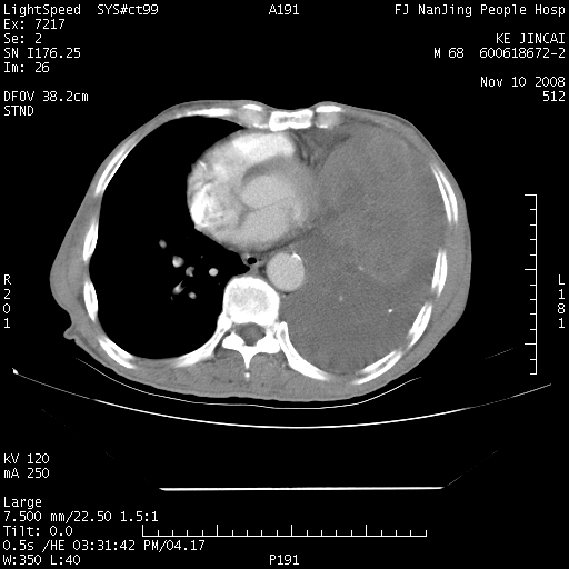
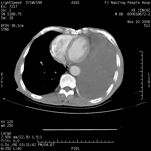
左肺恶性肿瘤侵犯肺动脉,左心房内瘤栓,胸膜转移。
作者: zjzjr    时间: 2008-11-17 03:06
左肺恶性肿瘤侵犯肺动脉,左心房内瘤栓,胸膜转移。
作者: 泪洒红尘    时间: 2008-11-17 03:24
学习学习
作者: 黑白光影    时间: 2008-11-17 03:30
左肺恶性肿瘤侵犯肺动脉,左心房内瘤栓,胸膜转移。
期待结果。
作者: x-man    时间: 2008-11-17 06:48
左肺恶性肿瘤侵犯肺动脉,左心房内瘤栓,胸膜转移,少见,学习了。
作者: 随光逐影    时间: 2008-11-17 21:11
支持 左肺恶性肿瘤侵犯肺动脉,左心房内瘤栓,胸膜转移。




欢迎光临 医影在线 (http://bbs.radida.com/bbs/) Powered by Discuz! X3.2