医影在线
标题: CT16642:男62岁,突发性上腹部疼痛来诊。请讨论! [打印本页]
作者: xulianj 时间: 2008-11-17 00:19
标题: CT16642:男62岁,突发性上腹部疼痛来诊。请讨论!
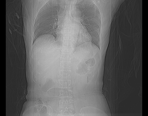
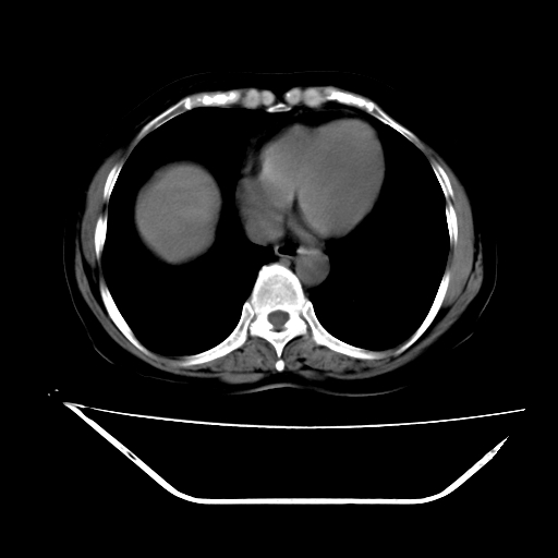
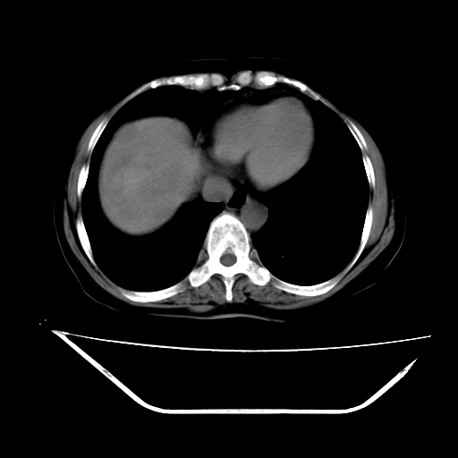
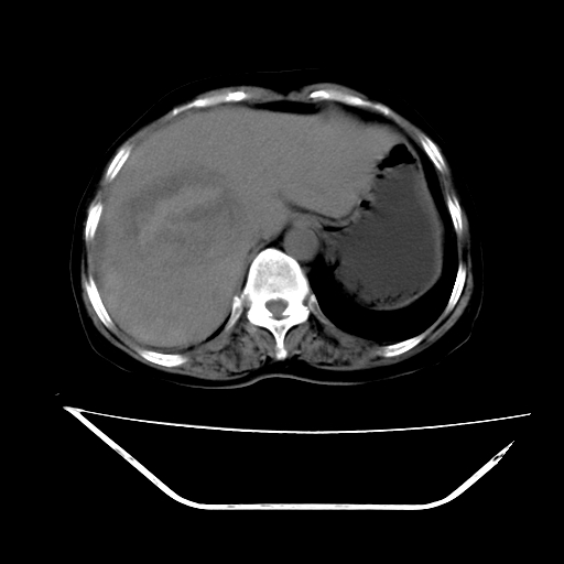
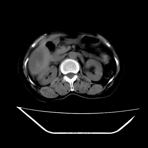
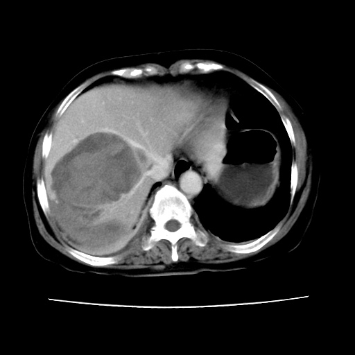
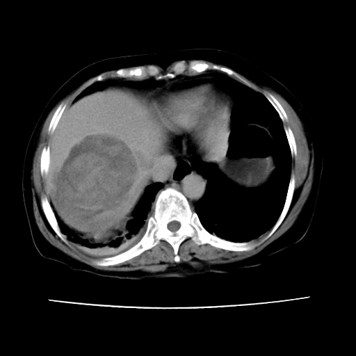
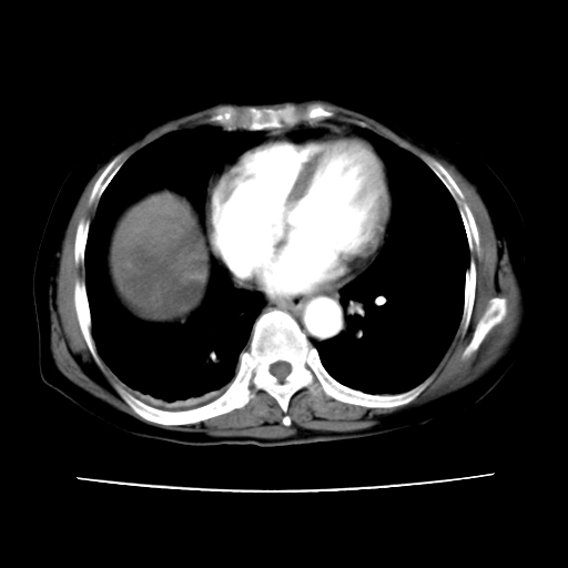
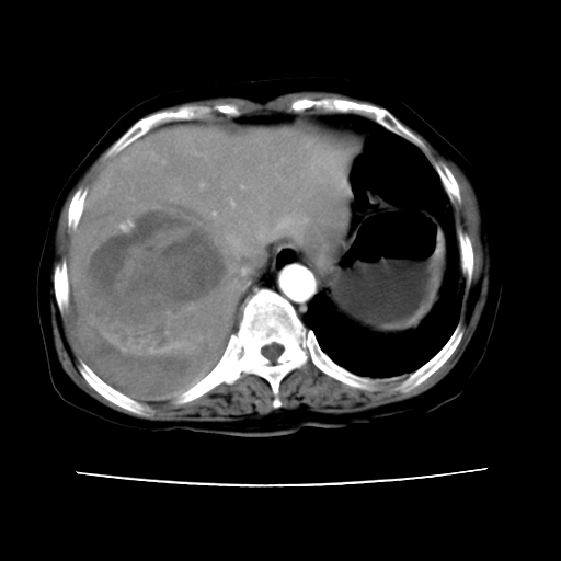
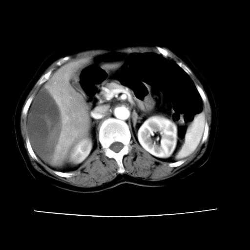
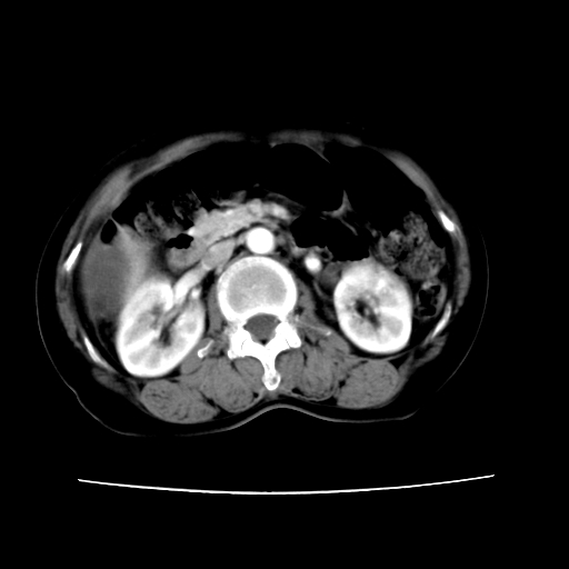
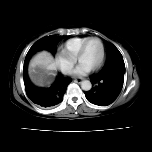
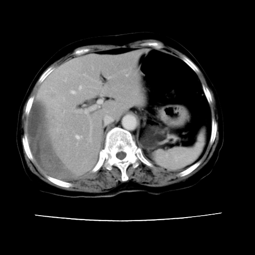
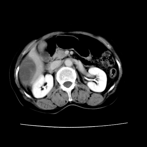
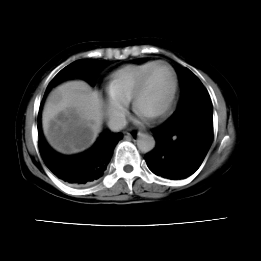
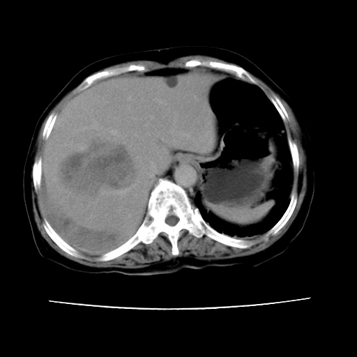
2008-6-10ct平扫



















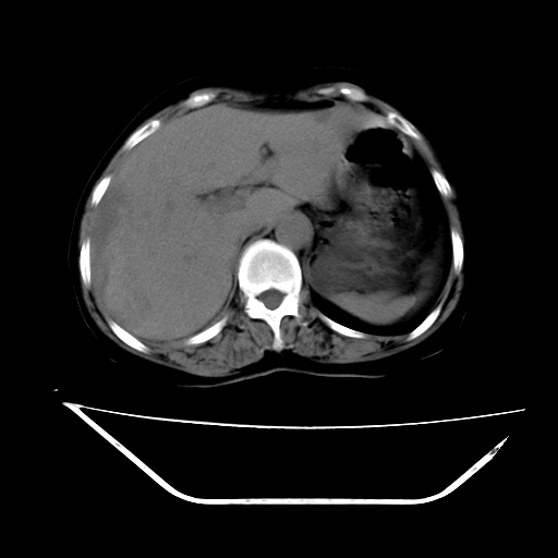
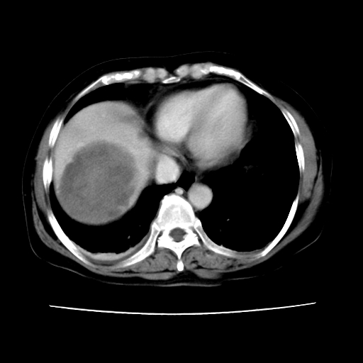
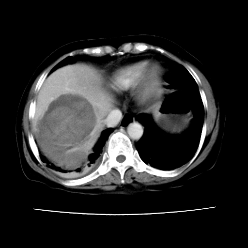
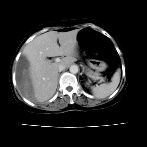
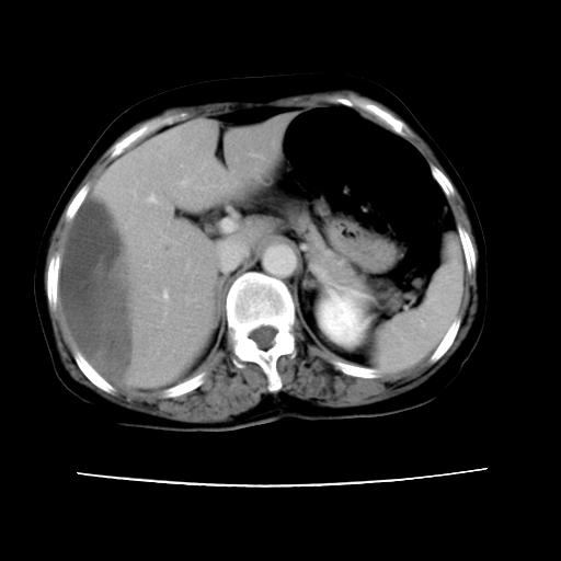
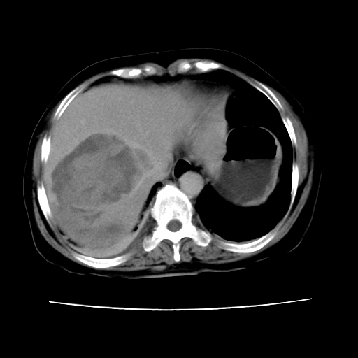
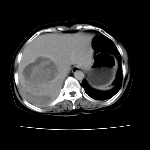
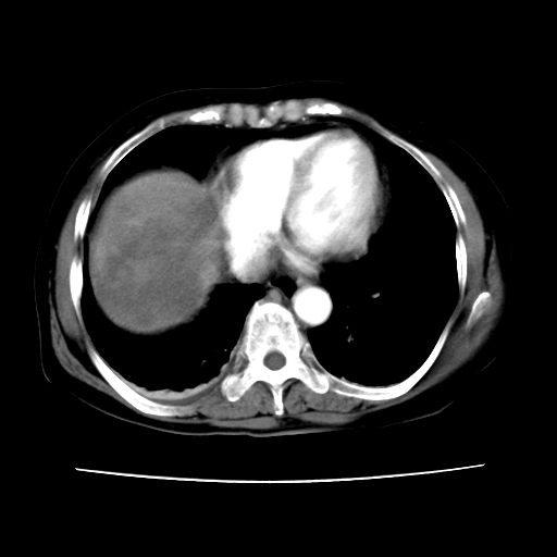
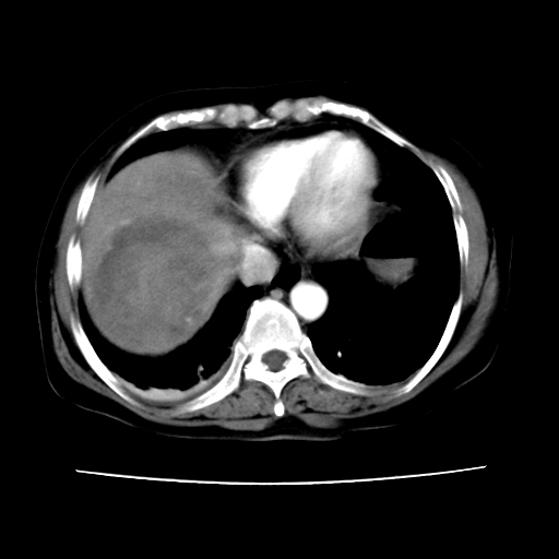
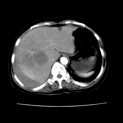
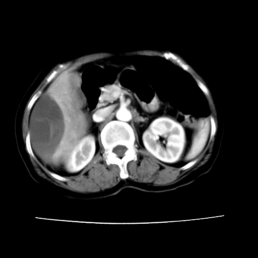
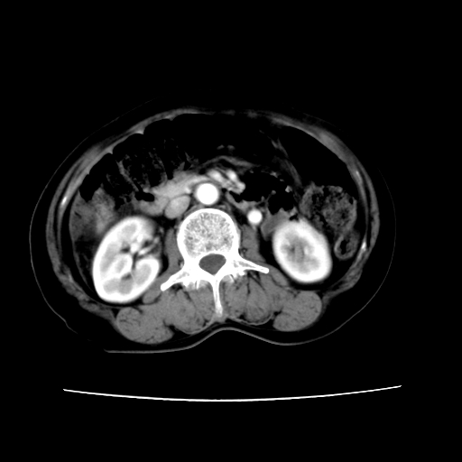
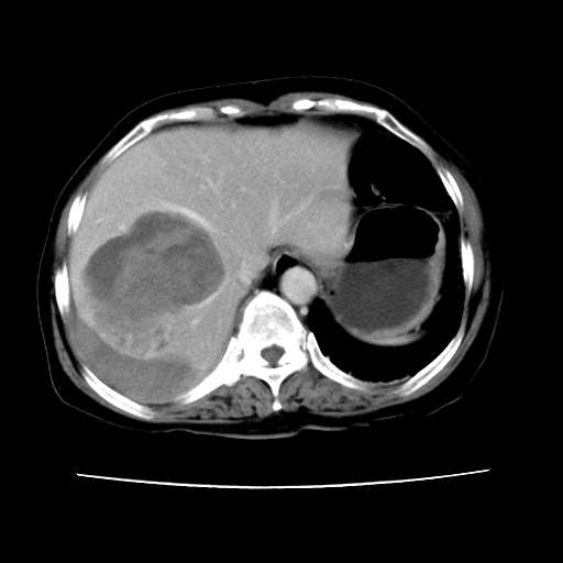
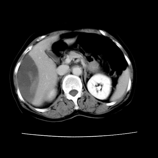
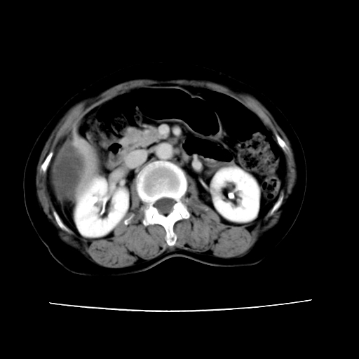
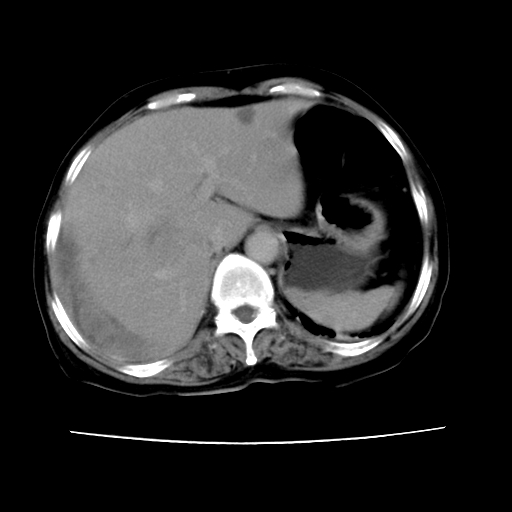
ct增强























































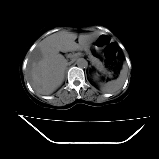
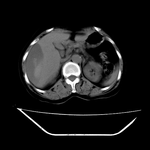
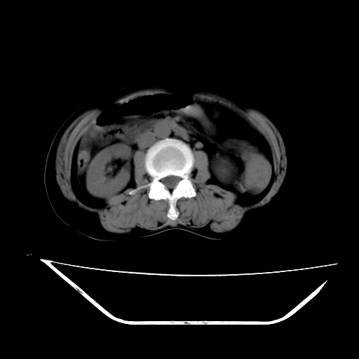
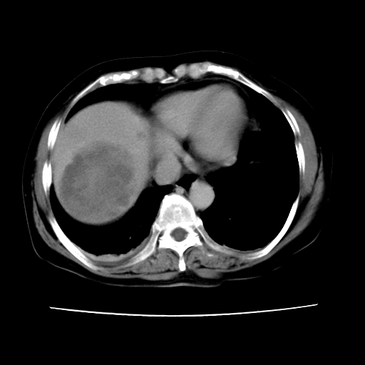
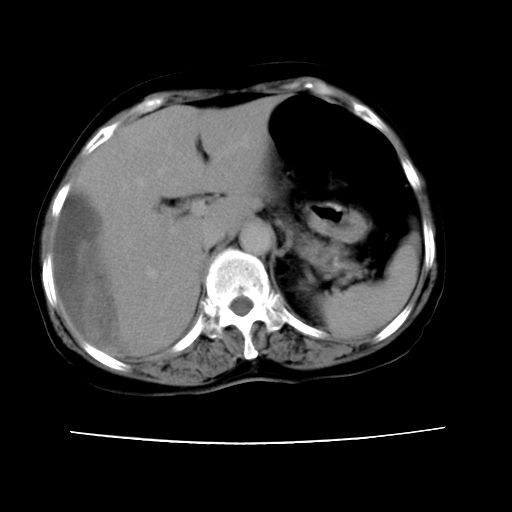
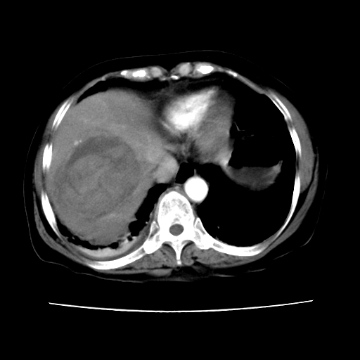
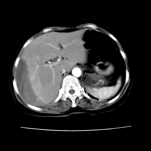
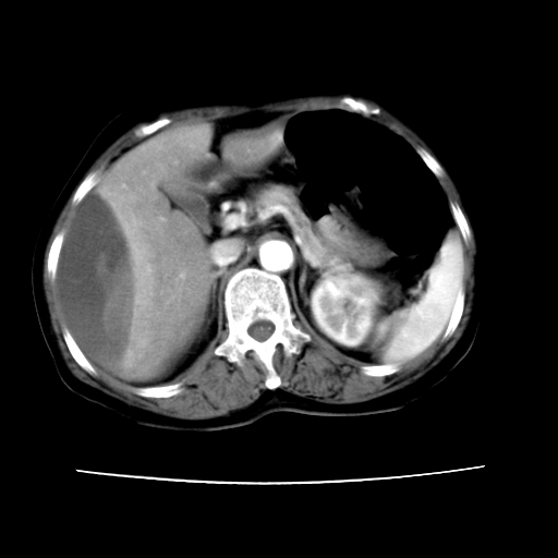
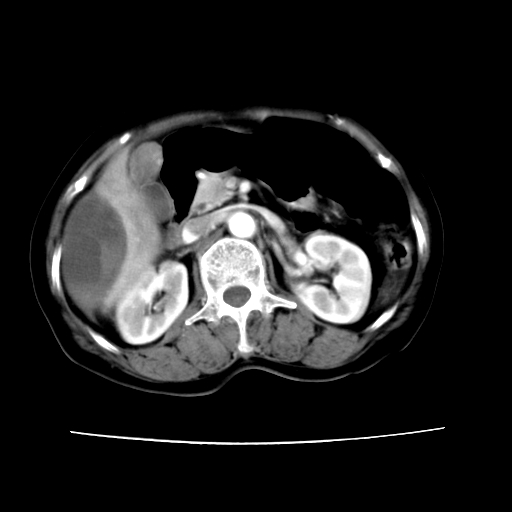
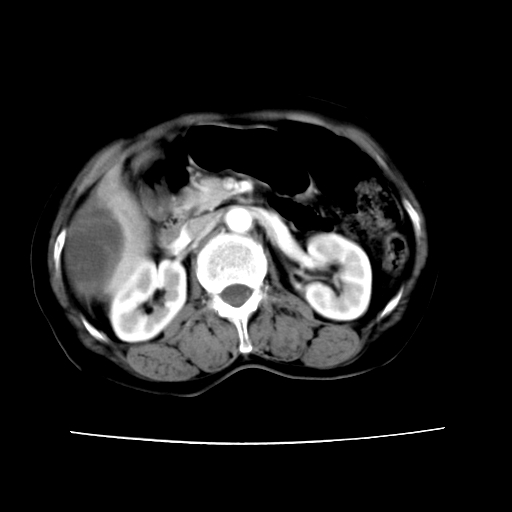
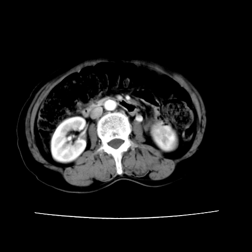
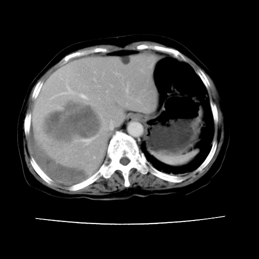
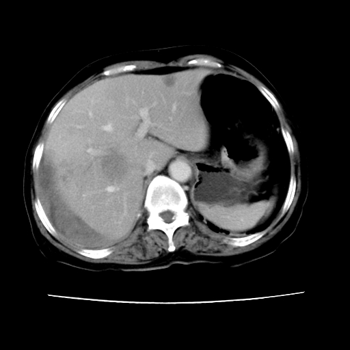
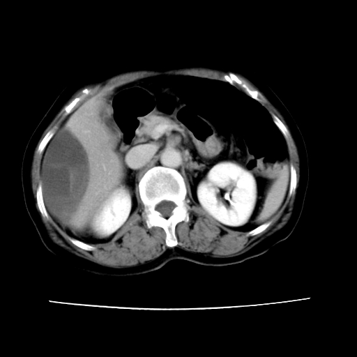
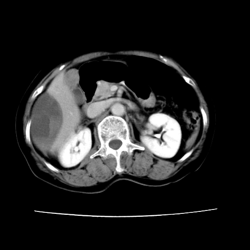
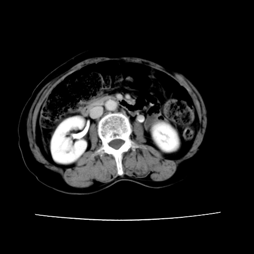
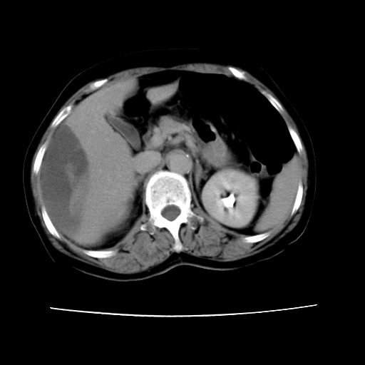
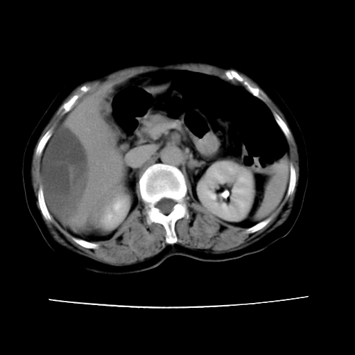
2008-11-10ct平扫(其间去中山医院诊治未行特殊治疗)
[img]/upload/forum/2008/1
作者: tas_2000_6 时间: 2008-11-17 01:24
6月片:肝血管瘤并破裂出血?肝左外叶囊肿
11约复查血肿吸收
作者: jiajie 时间: 2008-11-17 02:20
考虑肝腺瘤出血可能,肝血管瘤增强表现不是很典型,放在第二。

作者: 形影不离 时间: 2008-11-17 02:31
标题: 修改
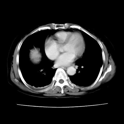
考虑为肝血管瘤破裂出血并肝包膜下血肿;右侧少量胸腔积液。
[本贴已被 形影不离 于 2008-11-16 18:33:18 修改过]
作者: zsl6918 时间: 2008-11-17 02:34
符合肝癌破裂出血并包膜下血肿。
作者: xiaoqvnmin 时间: 2008-11-17 02:36
6月份ct片显示肝内巨大混杂密度团块,伴包膜下积液(内含液液平面),增强多无明显强化。只能考虑肝占位病变,并肝内、血膜下血肿。肝ca并出血多见,而肝血管瘤并破裂出血少见。
2008-11-10ct平扫见并肝内、血膜下血肿基本吸收,肝内低密度灶缩小。此时再做增强ct应有显着意义。对患者/医者都好!
作者: xiaoqvnmin 时间: 2008-11-17 02:38
6月份ct片显示肝内巨大混杂密度团块,伴包膜下积液(内含液液平面),增强多无明显强化。只能考虑肝占位病变,并肝内、包膜下血肿。肝ca并出血多见,而肝血管瘤并破裂出血少见。
2008-11-10ct平扫见并肝内、血膜下血肿基本吸收,肝内低密度灶缩小。此时再做增强ct应有显着意义。对患者/医者都好!
作者: 宋定川 时间: 2008-11-17 02:55
学习
作者: 医影常客 时间: 2008-11-17 03:12
支持6楼,建议再做一次强化,应该比较明确
作者: duguo 时间: 2008-11-17 03:45
标题: 回复:ct16642:男62岁,突发性上腹部疼痛来诊。请讨论!
以下是引用tas_2000_6在2008-11-16 17:24:00的发言:[br]6月片:肝血管瘤并破裂出血?肝左外叶囊肿[br]11约复查血肿吸收
,建议增强检查.
[本贴已被 duguo 于 2008-11-16 19:46:02 修改过]
作者: zjzjr 时间: 2008-11-17 03:46
符合肝癌破裂出血并包膜下血肿。 可急诊介入治疗
作者: 黑白光影 时间: 2008-11-17 04:08
符合肝癌破裂出血并包膜下血肿。
作者: jone-baby 时间: 2008-11-17 04:13
同意楼上意见。
作者: 李兴 时间: 2008-11-17 04:33
肝血管瘤并破裂出血、肝脏多发囊肿
作者: xulianj 时间: 2008-11-17 04:45
当时我们也考虑肿瘤伴出血,建议上级医院治疗。在中山医院住院一个多月,作了很多检查。回来后复查时我们要求提供外出检查资料,但病人住院资料丢失;mri和dsa片还在;mri和我们诊断一样,但dsa不支持。据病人讲还作了穿刺活检,未找到癌细胞。
作者: 影像孺子牛 时间: 2008-11-17 05:41
从平扫+增强及治疗后复查片,病变明显缩小,不考虑肝癌出血可能,还是考虑为良性病变可能性大;单纯血肿并包膜下积液吧,病变强化没法解释,肝血管破裂出血吧,增强不符合典型血管瘤的表现,良性肿瘤破裂出血吧,复查片看来好像也不太支持(没做强化也不太好说)。本人还是考虑单纯肝内血肿并包膜下积液,强化是不是血管有外渗。
作者: tas_2000_6 时间: 2008-11-17 05:43
标题: 回复:ct16642:男62岁,突发性上腹部疼痛来诊。请讨论!
患者自6月至11月,如果是肝癌,没有经过特殊治疗,想必应该会有所进展吧,而不是ct所见,反而似有病灶减小的趋势。建议增强。
作者: chry3 时间: 2008-11-17 05:46
同意肝内肿块破裂致腹部疼痛,但不考虑肿瘤及血管瘤,增强不是血管瘤的特点,肿瘤半年时间内未经特殊治疗竟然快消失?考虑炎性改变或脓肿或寄生虫
作者: pujunzhi 时间: 2008-11-17 05:58
标题: 回复:ct16642:男62岁,突发性上腹部疼痛来诊。请讨论!
以下是引用xiaoqvnmin在2008-11-16 18:38:00的发言:[br]6月份ct片显示肝内巨大混杂密度团块,伴包膜下积液(内含液液平面),增强多无明显强化。只能考虑肝占位病变,并肝内、包膜下血肿。肝ca并出血多见,而肝血管瘤并破裂出血少见。[br] 2008-11-10ct平扫见并肝内、血膜下血肿基本吸收,肝内低密度灶缩小。此时再做增强ct应有显着意义。对患者/医者都好!
作者: huenhao 时间: 2008-11-17 06:01
建议增强检查.
作者: x-man 时间: 2008-11-17 06:38
考虑肝癌破裂出血并包膜下血肿,建议复查增强吧。
作者: 卜一 时间: 2008-11-17 14:34
癌破裂出血并包膜下血肿。
作者: 吴承学 时间: 2008-11-17 14:50
标题: 回复:ct16642:男62岁,突发性上腹部疼痛来诊。请讨论!
考虑为肝血管瘤破裂出血并肝包膜下血肿;右侧少量胸腔积液。
作者: yangaidong 时间: 2008-11-17 15:26
考虑为肝血管瘤破裂出血并肝包膜下血肿;右侧少量胸腔积液
作者: gaoshengjiang 时间: 2008-11-17 16:53
病变破裂出血应首先考虑,病变性质即可能是恶性也可能是良性,楼主说患者到上级医院检查未见癌细胞,以良性可能性大,首先考虑腺瘤破裂出血可能。
作者: 随光逐影 时间: 2008-11-17 21:51
1)考虑肝癌破裂出血并包膜下血肿;不排除肝腺瘤破裂出血可能。2)肝左叶外侧段囊肿。3)慢性胆囊炎。4)右侧少量胸腔积液。
作者: xulianj 时间: 2008-11-19 02:10
追问病史,患者有过度用力病史,当时立即感腹痛;所以还考虑肝破裂可能性大。
| 欢迎光临 医影在线 (http://bbs.radida.com/bbs/) |
Powered by Discuz! X3.2 |