医影在线

标题: CT16645:F70Y,头晕,头昬呕吐1天入院,右下肢肌力肌张力减底 [打印本页]

作者: 透明    时间: 2008-11-17 04:03
标题: CT16645:F70Y,头晕,头昬呕吐1天入院,右下肢肌力肌张力减底
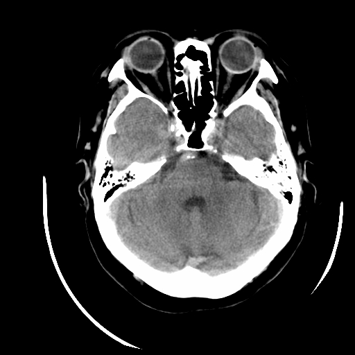
女70 头晕,头昬呕吐1天入院,右下肢肌力肌张力减底。高血压bp180/100
临床诊断:脑血管病1脑出血2脑梗塞














[本贴已被 jiajie 于 2008-11-16 20:20:13 修改过]

作者: 余辉    时间: 2008-11-17 04:26
左侧内囊腔梗,脑底动脉硬化,多发钙斑形成,脑干梗塞可疑,空泡蝶鞍可疑
作者: 李兴    时间: 2008-11-17 04:41
考虑左侧小脑梗塞。脑底动脉硬化
作者: pujunzhi    时间: 2008-11-17 05:14
标题: 回复:ct16645:f70y,头晕.
以下是引用余辉在2008-11-16 20:26:00的发言:[br]左侧内囊腔梗,脑底动脉硬化,多发钙斑形成,脑干梗塞可疑,空泡蝶鞍可疑

作者: 形影不离    时间: 2008-11-17 05:37
未见明确异常。
作者: x-man    时间: 2008-11-17 06:32
可疑脑干区腔梗,脑底多发动脉粥样硬化。
作者: 卜一    时间: 2008-11-17 14:28
多发腔梗!
作者: zsl6918    时间: 2008-11-17 14:42
大致正常
作者: yangaidong    时间: 2008-11-17 15:17
大致正常
作者: zjzjr    时间: 2008-11-17 17:12
脑底动脉硬化
作者: 平安是福    时间: 2008-11-17 17:17
未见明显异常。
作者: huenhao    时间: 2008-11-17 17:20
未见明确异常。
作者: sdzyy    时间: 2008-11-17 19:47
未见明确异常。
作者: 随光逐影    时间: 2008-11-17 22:21
1)右侧额叶深部腔隙性脑梗塞。2)椎基底动脉迂曲、钙化。

建议:必要时复查。
作者: 学医    时间: 2008-11-17 22:23
右放射冠陈旧梗塞
作者: dsl555    时间: 2008-11-18 02:45
大致正常
作者: 黑白光影    时间: 2008-11-18 03:54
椎基底动脉迂曲、钙化。右侧额叶腔隙性脑梗。
作者: 朱亮    时间: 2008-11-18 04:44
未见明显异常




欢迎光临 医影在线 (http://bbs.radida.com/bbs/) Powered by Discuz! X3.2