医影在线
标题: CT16646:F34Y,腹部包块 [打印本页]
作者: songyuwen 时间: 2008-11-17 05:26
标题: CT16646:F34Y,腹部包块
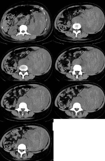
女,34岁,发觉腹部包块1周,查体:腹膨隆,左腹自肋下至髂嵴扪及10x8cm左右包块,触痛明显,固定

[本贴已被 jiajie 于 2008-11-16 21:32:41 修改过]



[本贴已被 songyuwen 于 2008-11-16 21:42:39 修改过]
作者: 形影不离 时间: 2008-11-17 05:30
请把图象传全,淋巴瘤可能。
作者: songyuwen 时间: 2008-11-17 05:34
我是新手,今天是第一次传,还不太会,请多指教哈
作者: 齐原 时间: 2008-11-17 06:40
肿块来源不好确定,多种可能,来源于肾脏(肾癌),腹膜后(淋巴瘤)。小肠(肉瘤)。一切可能皆有,强化后再说
作者: aomeilazuo 时间: 2008-11-17 06:58
腹膜后肿块
作者: 卜一 时间: 2008-11-17 14:19
肿块来源不好确定,多种可能,来源于肾脏(肾癌),腹膜后(淋巴瘤)。小肠(肉瘤)。一切可能皆有。建议手术切除!期待结果!
作者: zsl6918 时间: 2008-11-17 14:45
定位:腹膜后。来源:资料不完整,看不出来。定性:恶性。
作者: 吴承学 时间: 2008-11-17 15:01
标题: 回复:ct16646:f34y,腹部包块
定位:腹膜后。来源:资料不完整,看不出来。定性:恶性。
作者: yangaidong 时间: 2008-11-17 15:15
定位:腹膜后。来源:资料不完整,看不出来。定性:恶性。
作者: gaoshengjiang 时间: 2008-11-17 16:18
病变自脾下至盆腔,范围广泛,左肾显示不清,似向前内侧推移,考虑病变来源于腹膜后;病变边界不清恶性可能性大;建议增强进一步明确。
作者: zjzjr 时间: 2008-11-17 17:08
腹膜后肉瘤,不除外来源肠道恶性间质瘤
作者: songyuwen 时间: 2008-11-17 17:19
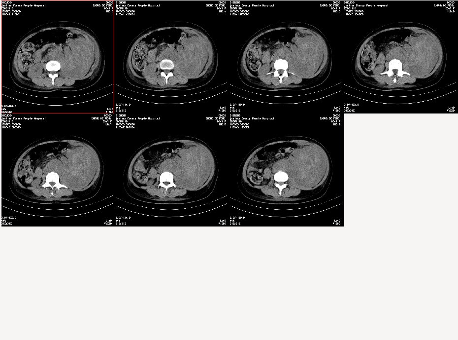
谢谢大家的讨论,我注册会员了很久,这是第一次传病历,不太会。这个病人还有一些图像,肾脏和下面的子宫附件都是完整的,没有累及。我们当时没药了,建议她到三级医院去增强和进一步检查,结果就这两天回来
作者: ljp215429 时间: 2008-11-17 18:07
平扫病灶密度不均匀,病灶内可见条样高密度影,边清。该病例未见增强。
根据平扫密度不均匀,其内条样高密度影,考虑来源于腹膜后;
根据病史一周,有触痛,我觉得血肿不能除外,可以继续询问是否有外伤史。
建议增强扫描。
作者: sdzyy 时间: 2008-11-17 19:43
支持:腹膜后肉瘤,不除外来源肠道恶性间质瘤
作者: 358450m 时间: 2008-11-17 20:31
标题: 回复:ct16646:f34y,腹部包块
以下是引用aomeilazuo在2008-11-16 22:58:00的发言:[br]腹膜后肿块
作者: 学医 时间: 2008-11-17 22:02
考虑恶性病变,做个ct强化或mr检查在分析
作者: 随光逐影 时间: 2008-11-17 22:59
考虑左侧腹膜后恶性肿瘤侵犯左侧腰大肌及腹主动脉周围。
作者: songyuwen 时间: 2008-11-18 01:25
到三级医院增强结果出来了,是腹主动脉瘤破裂出血,血肿形成。
作者: dsl555 时间: 2008-11-18 02:42
标题: 回复:ct16646:f34y,腹部包块
以下是引用gaoshengjiang在2008-11-17 8:18:00的发言:[br]病变自脾下至盆腔,范围广泛,左肾显示不清,似向前内侧推移,考虑病变来源于腹膜后;病变边界不清恶性可能性大;建议增强进一步明确。
作者: 黑白光影 时间: 2008-11-18 03:58
这种密度居然是血肿!
作者: 朱亮 时间: 2008-11-18 04:34
腹膜后血肿
作者: 齐原 时间: 2008-11-21 02:55
感谢提供好病例,考虑方向有误,不过现在肿瘤患者实在太多,不知该患者还有救吗
| 欢迎光临 医影在线 (http://bbs.radida.com/bbs/) |
Powered by Discuz! X3.2 |