医影在线
标题: CT16648:男19岁,头外伤后一小时,骨床未见骨折征象。 [打印本页]
作者: 654 时间: 2008-11-17 16:10
标题: CT16648:男19岁,头外伤后一小时,骨床未见骨折征象。












[本贴已被 654 于 2008-11-17 8:11:54 修改过]
[本贴已被 jiajie 于 2008-11-17 12:53:46 修改过]
作者: zjzjr 时间: 2008-11-17 16:46
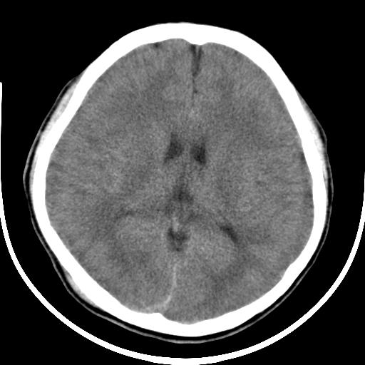
颅内积气,右侧枕顶部头皮损伤.建议上传骨窗(如未见骨折,可加照头颅正侧位片及颅底hrct).
作者: wansheng 时间: 2008-11-17 16:52
灰白质分界不清,侧脑室变小。考虑弥漫性脑水肿。
作者: huenhao 时间: 2008-11-17 17:18
颅内积气,建议薄层重建寻找颅骨骨折.
作者: 子十 时间: 2008-11-17 17:31
标题: 回复:男19岁,头外伤后一小时,骨床未见骨折征象。
以下是引用zjzjr在2008-11-17 8:46:00的发言:[br]颅内积气,右侧枕顶部头皮损伤.建议上传骨窗(如未见骨折,可加照头颅正侧位片及颅底hrct).
作者: liping57 时间: 2008-11-17 18:48
骨窗
作者: 平安是福 时间: 2008-11-17 18:57
颅内积气,建议上伟骨窗。
作者: wangzhengyuan 时间: 2008-11-17 18:58
颅内积气,应该就有骨折!。
作者: mzjctmr 时间: 2008-11-17 19:04
颅内积气肯定有骨折,这点不用怀疑。
作者: liuqiang 时间: 2008-11-17 19:16
第 9 楼
颅内积气肯定有骨折,这点不用怀疑。
作者: sdzyy 时间: 2008-11-17 19:35
颅内积气肯定有骨折,这点不用怀疑。
作者: 358450m 时间: 2008-11-17 20:33
标题: 回复:男19岁,头外伤后一小时,骨床未见骨折征象。
以下是引用huenhao在2008-11-17 9:18:00的发言:[br]颅内积气,建议薄层重建寻找颅骨骨折.
作者: 余辉 时间: 2008-11-17 21:31
正好一个环状伪影重叠在皮质上,还以为是双侧硬膜下血肿呢,看了半天。
支持气颅,有可能存大乳突或颅底骨折,进一步检查。
作者: 学医 时间: 2008-11-17 22:00
颅内积气,考虑骨折所致
作者: laolang 时间: 2008-11-17 22:42
颅内积气肯定有骨折,这点不用怀疑。
支持9楼的说法.
作者: drzhang8888 时间: 2008-11-17 22:56
颅内积气肯定有骨折,这点不用怀疑。有可能存大乳突或颅底骨折,但很多时候找不到骨折线
作者: 随光逐影 时间: 2008-11-17 23:17
支持2楼意见。
作者: LIAOQIANG 时间: 2008-11-17 23:34
颅内积气。
作者: 卜一 时间: 2008-11-17 23:49
颅内积气,建议薄层重建寻找颅骨骨折。支持!
作者: hnqyyjh 时间: 2008-11-18 02:17
应该是合并了颅底骨折了,ct横段面不一定看的到的
作者: 52yingxiang 时间: 2008-11-18 02:19
标题: 回复:ct16648:男19岁,头外伤后一小时,骨床未见骨折征象
以下是引用zjzjr在2008-11-17 8:46:00的发言:[br]颅内积气,右侧枕顶部头皮损伤.建议上传骨窗(如未见骨折,可加照头颅正侧位片及颅底hrct).
作者: dsl555 时间: 2008-11-18 02:19
标题: 回复:ct16648:男19岁,头外伤后一小时,骨床未见骨折征象
以下是引用zjzjr在2008-11-17 8:46:00的发言:[br]颅内积气,右侧枕顶部头皮损伤.建议上传骨窗(如未见骨折,可加照头颅正侧位片及颅底hrct).
作者: 黑白光影 时间: 2008-11-18 04:05
颅内积气,应该就有骨折。
作者: zsl6918 时间: 2008-11-18 06:09
右侧颞骨乳突部肯定有骨折,好好找找吧
作者: x-man 时间: 2008-11-18 06:58
颅内积气,少量蛛网膜下腔出血.
作者: shgy733 时间: 2008-11-18 07:14
建议颞骨及颅底薄层扫描
作者: xulianj 时间: 2008-11-19 02:45
颅内积气,应该就有骨折!。
作者: 风中百合 时间: 2008-11-20 02:09
颅内积气,建议上传骨窗
| 欢迎光临 医影在线 (http://bbs.radida.com/bbs/) |
Powered by Discuz! X3.2 |