医影在线
标题: CT16651:Ct平扫+增强脑瘤吗.请会诊 [打印本页]
作者: huhong1111111 时间: 2008-11-17 18:39
标题: CT16651:Ct平扫+增强脑瘤吗.请会诊
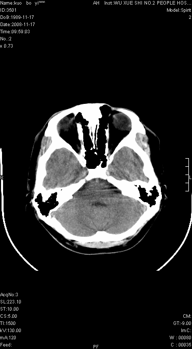
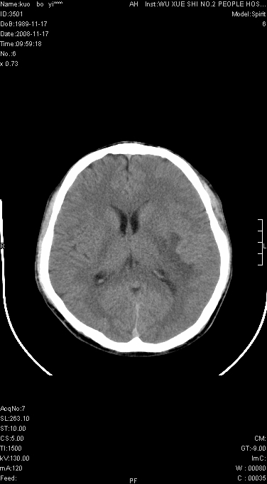
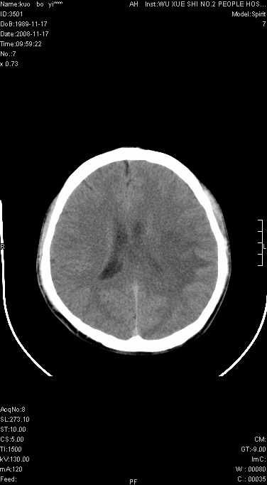
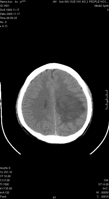
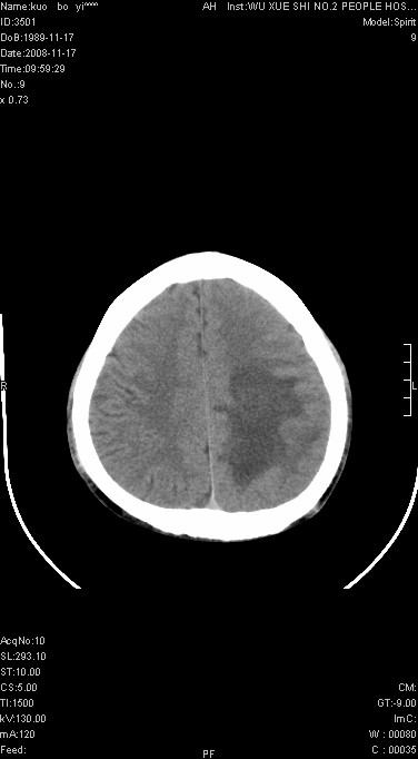
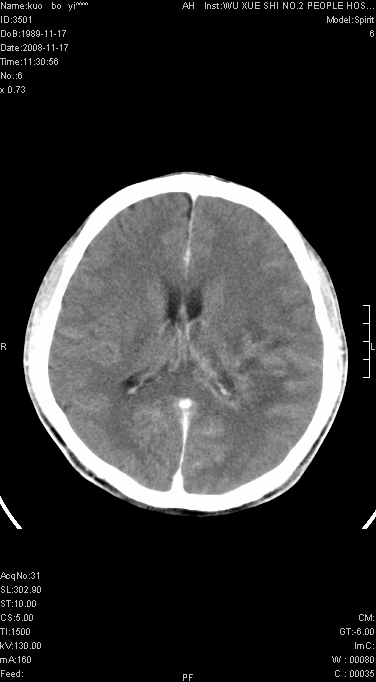
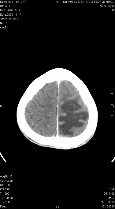
右侧肢体无力一周









[本贴已被 jiajie 于 2008-11-17 12:57:31 修改过]











[本贴已被 huhong1111111 于 2008-11-17 13:18:54 修改过]
[本贴已被 huhong1111111 于 2008-11-17 13:38:07 修改过]
作者: wangzhengyuan 时间: 2008-11-17 18:48
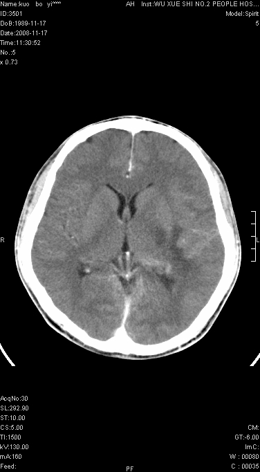
这么大片面积,中线居中,占位效应不明显,考虑脑梗塞。
作者: liping57 时间: 2008-11-17 18:50
建议增强扫描
作者: mzjctmr 时间: 2008-11-17 19:02
强化是必须的,平扫只能猜,梗塞,炎症,肿瘤都可以。
作者: liuqiang 时间: 2008-11-17 19:11
建议增强,根据病史多考虑;梗塞。
作者: sdzyy 时间: 2008-11-17 19:19
年龄较小,建议增强或mri
作者: zjzjr 时间: 2008-11-17 19:34
强化是必须的,平扫只能猜,梗塞,炎症,肿瘤都可以。
作者: 王加美 时间: 2008-11-17 19:37
病史
作者: 前行 时间: 2008-11-17 19:59
mr检查。
作者: 358450m 时间: 2008-11-17 20:38
标题: 回复:脑瘤吗.请会诊
以下是引用wangzhengyuan在2008-11-17 10:48:00的发言:[br]这么大片面积,中线居中,占位效应不明显,考虑脑梗塞。
作者: 余辉 时间: 2008-11-17 21:03
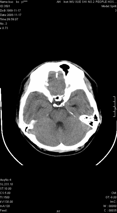
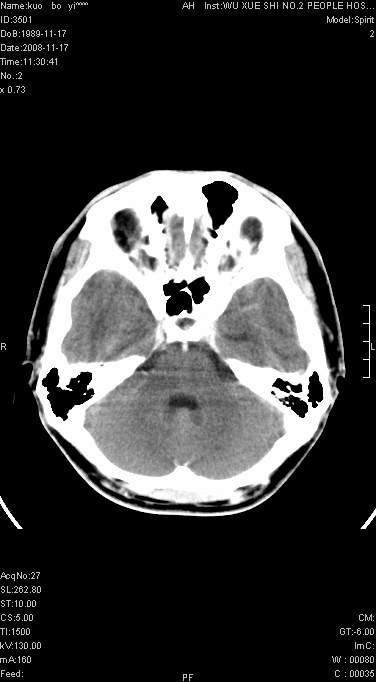
灶中央有厚环状高密度成分,顶叶皮质局部有显著的受压表现,多支持占位性病变,胶质瘤?淋巴瘤?转移?不知患者年龄多大,病史较短,不除外炎性
作者: 蔺金元 时间: 2008-11-17 21:10
梗塞可能大。
作者: huhong1111111 时间: 2008-11-17 21:26
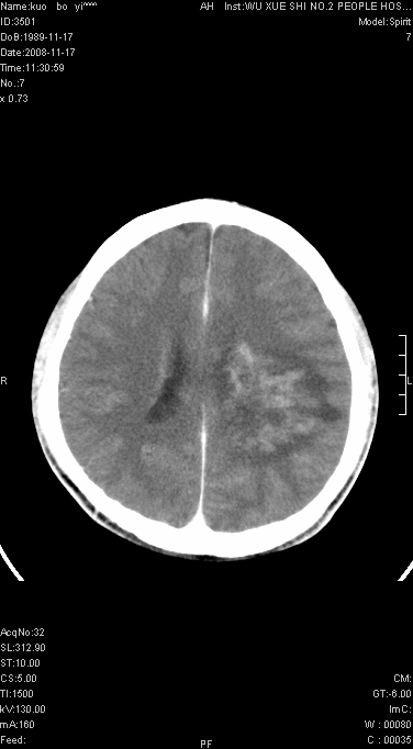
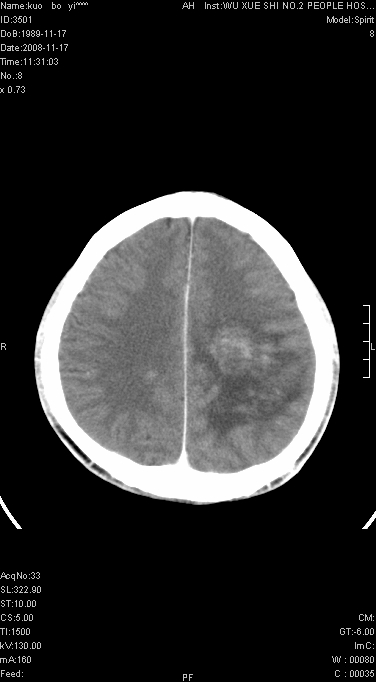
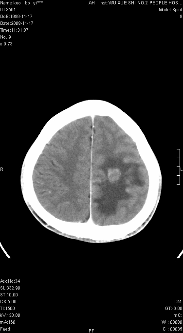
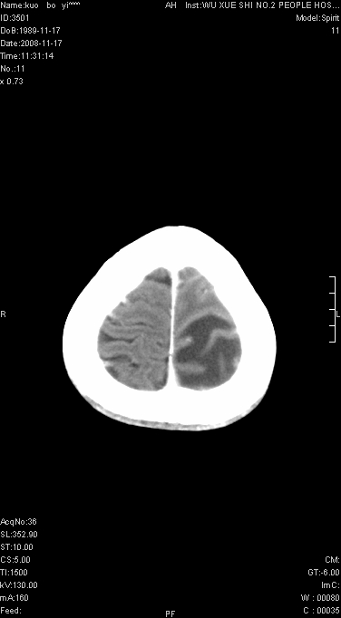
增强已传.年龄19岁.请会诊
作者: wangzhengyuan 时间: 2008-11-17 21:42
意见多,建议mri 平扫及增强检查。希望早有结果。
作者: 学医 时间: 2008-11-17 21:49
考虑脑瘤可能性大,做mr吧!
作者: 余辉 时间: 2008-11-17 22:04
增强后水肿中心高密度灶有明显强化,强化不均匀,呈雪花状或絮状,且强化明显,若为肿瘤,应该出现形态较规则的瘤体影,强也有例外如胶质瘤就可以形态不规则.但胶质瘤明显强化者多为恶性间变性,与病史及相关表现太不相符.因此本例多考虑为炎症引起.
本例与重庆中华放射学年会读片大赛上第12个病例(由山东医影研究所柳澄教授提供)有异曲同工之妙(影像表现几乎相同).那个病例我的第一选择是炎症,其次是血管畸形,最后选项择的占位.但得到的答案是ms,新发的ms灶可见明显强化,但这么大的病灶着实没有想到,可能本例就影像表现来说也不能排除ms可能
作者: 余辉 时间: 2008-11-17 22:07
患者年龄才19岁,病史很短,也较符合炎症等短程病变.
作者: 随光逐影 时间: 2008-11-17 23:06
考虑左侧顶叶脑炎可能;建议追踪复查。
作者: laolang 时间: 2008-11-17 23:07
年纪小,病灶大且有明显强化,考虑占位可能性大.
作者: sdzyy 时间: 2008-11-17 23:11
一切皆有可能,期待结果.
作者: 卜一 时间: 2008-11-17 23:44
左顶叶较大范围水肿区,内见明显强化的片状 棉絮状组织,但占位效应不明显。多考虑:脑炎!
作者: zjzjr 时间: 2008-11-18 00:28
支持脑炎\\脑脓肿(早期).
作者: lrj 时间: 2008-11-18 00:36
给我的整体感觉 以脑炎性病变可能大,结合实验室检查以除外结核性病变
作者: xinliheng001 时间: 2008-11-18 00:46
还是考虑原发脑胶质瘤,梗塞缺血水肿的低密度要同时累及皮、髓质并要符合动脉供血的区域分界特点,本例强化后见瘤体结节及向周围浸润生长的瘤血管都强化了,水肿广泛呈指状,占位效应使同侧脑皮质受压变薄、脑沟消失但因实质性的瘤体尚小所以中线无明显移位。不知各位同意这样分析吗?(转移瘤多为多处病灶)
作者: xiaoqvnmin 时间: 2008-11-18 01:06
首先考虑脑胶质瘤。有明显的左顶叶脑白质水肿,病变轻度占位效应,花环样强化,脑炎——影像不支持!
作者: 杀毒软件 时间: 2008-11-18 01:45
考虑-----左侧顶叶脑炎?
作者: 小翟 时间: 2008-11-18 02:02
炎性肉芽肿
作者: QINGJING 时间: 2008-11-18 02:02
i-ii级星型细胞瘤
作者: dsl555 时间: 2008-11-18 02:33
支持脑炎\\脑脓肿(早期).
作者: lrj 时间: 2008-11-18 02:54
小江西把你的图片撤掉吧 否则影响我看片子 呵呵
作者: 王加美 时间: 2008-11-18 03:00
期待结果
作者: wangyong1977 时间: 2008-11-18 03:02
胶质瘤,梗赛均有可能
作者: songyuwen 时间: 2008-11-18 03:42
病史中是否有发热,查过白细胞没有,病史可以采集多一点吗
作者: 黑白光影 时间: 2008-11-18 04:25
左顶叶大范围水肿,内见明显强化的片状 棉絮状组织,但占位效应不明显。考虑脑炎可能性大。
作者: dengkai 时间: 2008-11-18 05:26
以脑炎性病变可能大,结合实验室检查以除外结核性病变
作者: zsl6918 时间: 2008-11-18 05:30
病灶多发,考虑肿瘤性病变,淋巴瘤?白血病脑内侵润。
作者: dengkai 时间: 2008-11-18 05:49
考虑脑炎可能性大
作者: qc80012345 时间: 2008-11-18 05:51
不符合脑梗塞表现。
作者: x-man 时间: 2008-11-18 07:45
考虑以转移瘤可能性大.
作者: 红樱枪 时间: 2008-11-18 18:21
考虑占位病变
作者: xulianj 时间: 2008-11-19 03:01
转移瘤可能性大.
作者: shgy733 时间: 2008-11-19 07:24
年龄小,病程短,不支持脑肿瘤及转移瘤,首先考虑炎症及结核。
作者: aomeilazuo 时间: 2008-11-19 07:44
胶质瘤
作者: kanglz123 时间: 2008-11-30 03:05
标题: 回复:ct16651:ct平扫+增强脑瘤吗.请会诊
不像脑梗死,低密度区中心,有一密度增高边界清楚的,近脑组织密度的病灶.建议进一步强化及肺和肝等重要脏器检查.
作者: 一个人 时间: 2008-12-2 05:12
梗塞,炎症,肿瘤都可以
作者: huhong1111111 时间: 2009-1-22 06:37
在北京天坛医院治疗考虑寄生虫感.明显好转
作者: tiger-w 时间: 2009-1-22 07:00
年龄小,病程短,不支持脑肿瘤及转移瘤,首先考虑炎症及结核。 支持。。。。
作者: zhaozejun1 时间: 2009-1-23 07:09
考虑脑梗塞
作者: 百合 时间: 2009-1-24 03:59
19岁,水肿很明显,增强的图像很像炎性病变,还是要结合病史及mr检查的
| 欢迎光临 医影在线 (http://bbs.radida.com/bbs/) |
Powered by Discuz! X3.2 |