医影在线
标题: CT16652:男,34岁,头痛数天。 [打印本页]
作者: jinwh 时间: 2008-11-17 20:10
标题: CT16652:男,34岁,头痛数天。
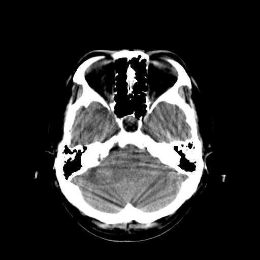
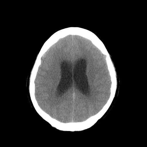
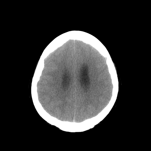
男,34岁,头痛数天。请大家看看是否有占位.










[本贴已被 jiajie 于 2008-11-17 12:59:29 修改过]
作者: 余辉 时间: 2008-11-17 20:51
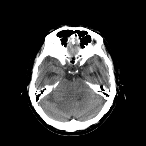
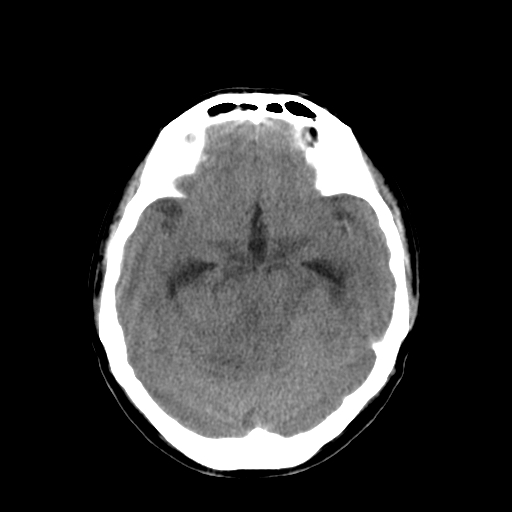
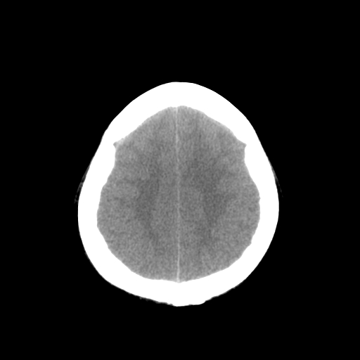
脑干、右侧桥臂及右侧小脑半球可见等低混杂密度影,环池部分闭塞,小脑上池及第四脑室受压移位、闭塞,考虑占位性病变可能性大,胶质瘤?室管膜瘤?不除外脑神经如听神经瘤及梗塞等,建议上传骨窗
作者: 刘湘 时间: 2008-11-17 20:56
支持肿瘤占位性病变,建议增强
作者: 蔺金元 时间: 2008-11-17 21:02
支持幕上(小脑)占位,
作者: 学医 时间: 2008-11-17 21:53
小脑占位,建议mr检查
作者: 随光逐影 时间: 2008-11-17 22:49
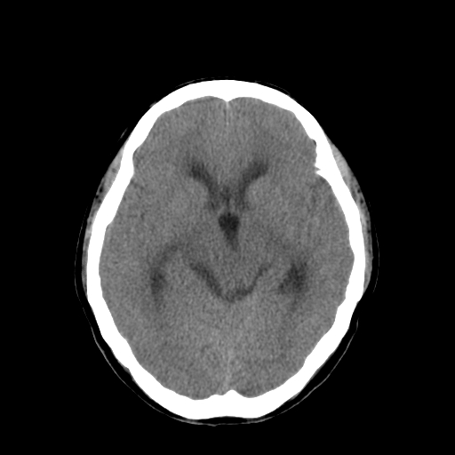
疑右侧听神经瘤并梗阻性脑积水,空蝶鞍。建议行ct增强扫描检查。
(请上传骨窗——右侧内听道感觉不正常)
作者: sdzyy 时间: 2008-11-17 22:55
右侧小脑半球占位压迫四脑室并幕上脑积水征像;建议增强或mr检查
作者: laolang 时间: 2008-11-17 23:14
右侧小脑半球病变压迫四脑室并幂上积水征象,考虑占位.
作者: LIAOQIANG 时间: 2008-11-17 23:25
脑干、右侧桥臂及右侧小脑半球可见等低混杂密度影。轻度脑积水。考虑右侧桥臂区域占位性病变。建议mri检查。
作者: 卜一 时间: 2008-11-17 23:30
右侧小脑半球占位压迫四脑室并幕上脑积水征像;建议增强或mr检查 。支持!
作者: xinliheng001 时间: 2008-11-18 00:20
梗阻性脑积水,间质性脑肿胀,幕下占位可能,必须进一步检查。
作者: tanjiuzhe313 时间: 2008-11-18 00:26
支持右侧小脑占位
作者: zjzjr 时间: 2008-11-18 00:29
右侧小脑半球占位压迫四脑室并幕上脑积水征像;建议增强或mr检查
作者: xiaoqvnmin 时间: 2008-11-18 00:35
右侧桥小脑区见等混杂密度占位影,病变境界不清,环池部分闭塞,四脑室受压左移,建议上传增强或mr检查片...
作者: 杀毒软件 时间: 2008-11-18 01:41
右侧小脑半球占位压迫四脑室并幕上脑积水征像;建议增强或mr检查 。支持
作者: QINGJING 时间: 2008-11-18 02:06
颅后窝占位,考虑胶质瘤可能性大。
作者: dsl555 时间: 2008-11-18 02:28
支持肿瘤占位性病变,建议增强
作者: 358450m 时间: 2008-11-18 03:16
标题: 回复:ct16652:男,34岁,头痛数天。
以下是引用余辉在2008-11-17 12:51:00的发言:[br]脑干、右侧桥臂及右侧小脑半球可见等低混杂密度影,环池部分闭塞,小脑上池及第四脑室受压移位、闭塞,考虑占位性病变可能性大,胶质瘤?室管膜瘤?不除外脑神经如听神经瘤及梗塞等,建议上传骨窗
作者: 朱亮 时间: 2008-11-18 04:17
右侧小脑半球占位压迫四脑室并幕上脑积水征像;建议增强或mr检查 。支持!
作者: 黑白光影 时间: 2008-11-18 04:29
右侧小脑半球占位压迫四脑室并幕上脑积水征像;建议增强或mr检查 。
作者: qc80012345 时间: 2008-11-18 05:54
右侧小脑半球占位压迫四脑室并幕上脑积水征像。增强/mri检查。
作者: zsl6918 时间: 2008-11-18 05:59
考虑占位,建议mr
作者: x-man 时间: 2008-11-18 07:41
考虑右侧桥臂\\小脑区域占位性病变。建议mri检查或增强。
作者: zhangnianqiu200 时间: 2008-11-18 08:11
幕下占位性病变。考虑小脑胶质瘤可能性大
作者: 平安是福 时间: 2008-11-18 16:37
支持小脑占位,建议增强或mri检查。
作者: xulianj 时间: 2008-11-19 02:57
支持占位性病变,建议增强。
作者: 风中百合 时间: 2008-11-20 02:06
右侧小脑半球占位压迫四脑室并幕上脑积水征像;建议增强或mr检查
| 欢迎光临 医影在线 (http://bbs.radida.com/bbs/) |
Powered by Discuz! X3.2 |