医影在线

标题: CT16654:女,14岁。腹痛3天。求助战友。 [打印本页]

作者: shgy733    时间: 2008-11-17 22:24
标题: CT16654:女,14岁。腹痛3天。求助战友。
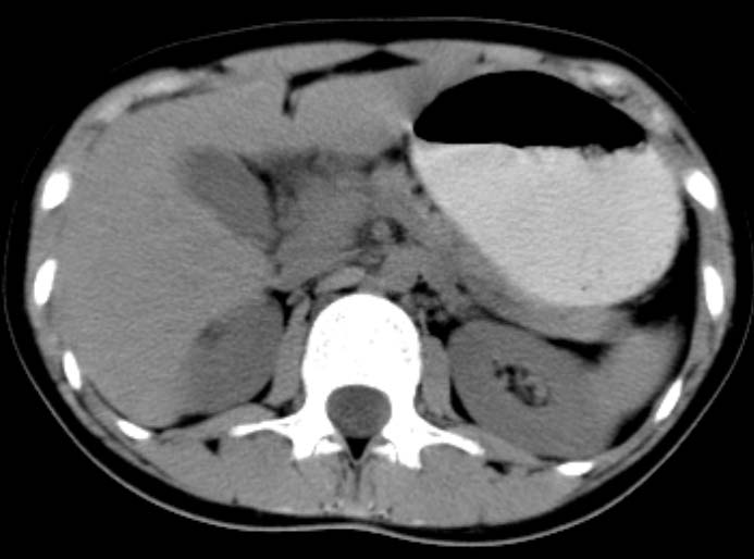
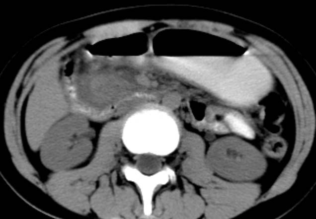
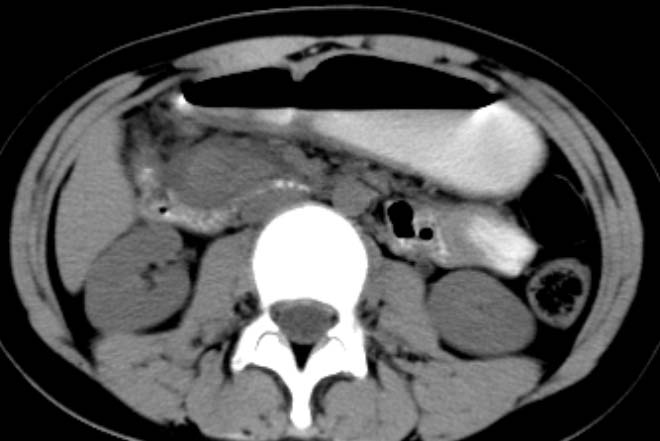
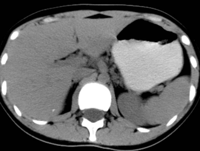
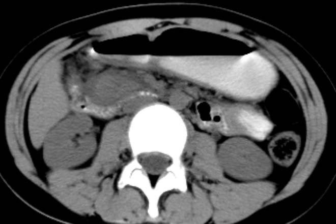
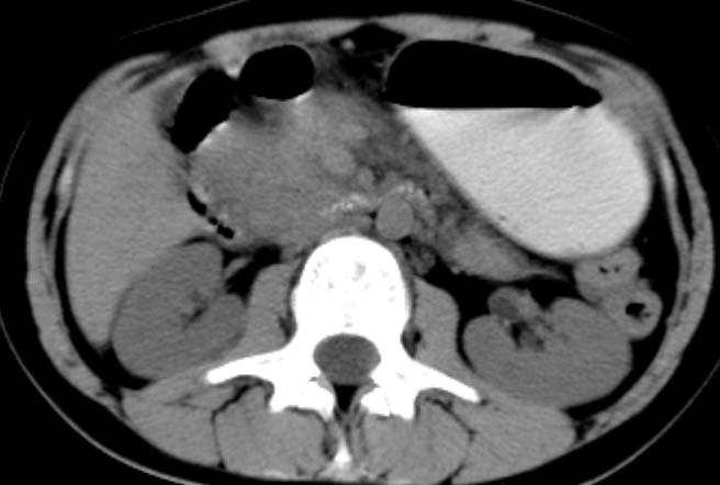
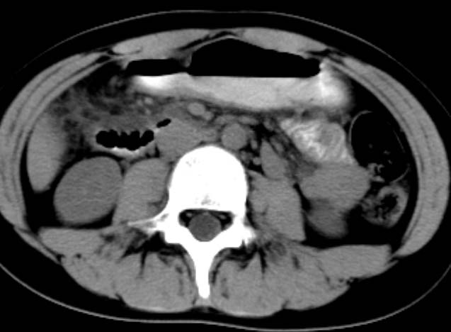
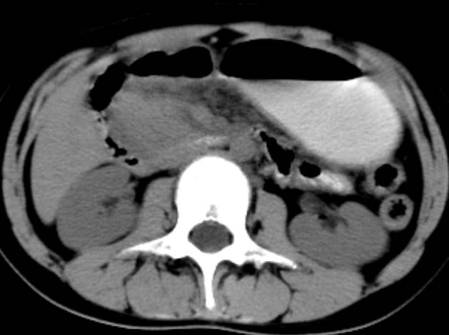
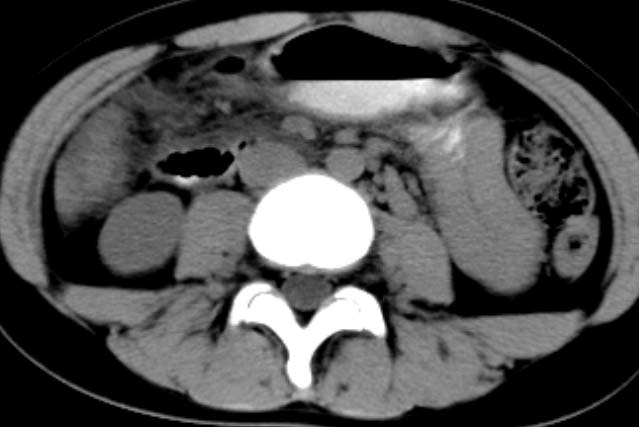
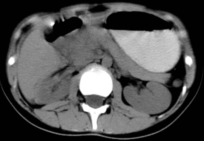
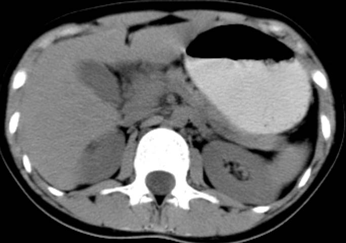
女,14岁。腹痛3天。腹部触诊未触及包块。碘剂阳性未增强。求助战友。。。。。。。。。。。















[本贴已被 jiajie 于 2008-11-18 9:35:55 修改过]

作者: 余辉    时间: 2008-11-17 22:35
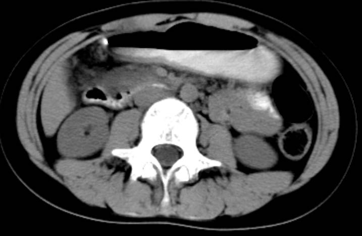
胰头部明显肿大,胰周间隙浸润,考虑胰腺炎可能性大
作者: sdzyy    时间: 2008-11-17 22:44
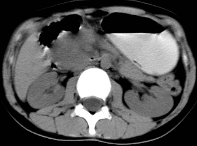
胰头部增大,周围模糊,有渗出,胰腺炎可能性大,建议结合化验检查;左侧输尿管上段略扩张.
作者: LIAOQIANG    时间: 2008-11-17 22:52
胰头部明显肿大,胰头周脂肪密度加大。十二指肠环扩大受压。胰管未见确切扩张。考虑胰腺炎可能性大。建议增强扫描。
作者: shgy733    时间: 2008-11-17 22:54
b超报告胰腺未见异常。
作者: 卜一    时间: 2008-11-17 22:58
胰头部增大,周围结构模糊,并明显见渗出。支持:急性胰腺炎!
作者: 随光逐影    时间: 2008-11-17 23:21
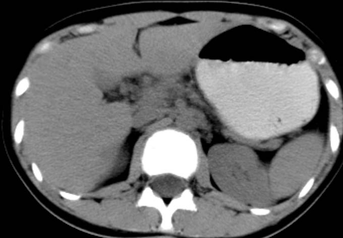
1)急性胰腺炎。2)肝右叶后上段肝内胆管结石。3)左侧输尿管上段扩张,原因待查。
作者: laolang    时间: 2008-11-17 23:34
胰头部增大,周边模糊,可见明显渗出,考虑急性胰腺炎.
作者: xinliheng001    时间: 2008-11-18 00:02
各位看得真细,佩服。
作者: xiaoqvnmin    时间: 2008-11-18 00:09
碘剂阳性未增强。你们碘过敏是用离子碘/还是非离子碘? 离子碘过敏阳性,并不说明非离子碘禁忌!
   非离子碘药典没要求一定要做过敏实验,又说做过过敏实验也还有可能过敏。
   我们用碘海醇多年,虽不做碘过敏实验,但碘过敏的可能必须告知患者及家属,取得其同意并签字(增强扫描用药同意书),不同意/不签字坚决不做增强扫描。如此设计是基于多种考虑。因此,该患者不做增强扫描,诊断信息太少,诊断有难度————猜吧! 考虑胰腺炎可能性大
作者: lrj    时间: 2008-11-18 00:31
胰头明显增大,周围结构不清,诊断胰腺炎的话,结合血或尿淀粉酶诊断比较明确了。
作者: zjzjr    时间: 2008-11-18 00:37
1)急性胰腺炎。2)肝右叶后上段肝内胆管结石。3)左侧输尿管上段扩张,原因待查。
作者: shgy733    时间: 2008-11-18 00:47
我们的碘过敏是用离子碘做的。我们也用碘海醇,两天前做了一例过敏实验阴性的,结果发生了中---重度反应,还好抢救及时。碘过敏的可能必须告知患者及家属,取得其同意并签字(增强扫描用药同意书),这些肯定是要做的,但是病人一但出现严重问题,医院还是要负责,所以只要过敏实验阳性的,我们都不增强。


   另外,该患者除了考虑胰腺炎,考不考虑肠源性的占位病变啊?????b超报告胰腺未见异常啊。
作者: 陈正林    时间: 2008-11-18 00:50
胰头部增大,周围模糊,有渗出,胰腺炎可能性大,建议结合化验检查.非离子造影剂贵了病人不易接受
作者: haha215315    时间: 2008-11-18 00:59
是不是胰腺炎结合几项化验指标确诊不是问题,我觉着下腹部及盆腔应观察一下。
作者: wangzhengyuan    时间: 2008-11-18 01:12
小江西你太可爱啦!克哪搞来这么个女人的图片啊 !
作者: 杀毒软件    时间: 2008-11-18 01:35
标题: 回复:女,14岁。腹痛3天。求助战友。
以下是引用随光逐影在2008-11-17 15:21:00的发言:[br]1)急性胰腺炎。2)肝右叶后上段肝内胆管结石。3)左侧输尿管上段扩张,原因待查。

支持
作者: QINGJING    时间: 2008-11-18 01:59
1)急性胰腺炎。2)肝右叶后上段肝内胆管结石。3)左侧输尿管上段扩张,原因待查。
作者: dsl555    时间: 2008-11-18 02:36
胰头部增大,周边模糊,可见明显渗出,考虑急性胰腺炎.
作者: dengkai    时间: 2008-11-18 03:07
胰头部增大,周围结构模糊,并明显见渗出。支持:急性胰腺炎!淀粉酶
作者: wangyong1977    时间: 2008-11-18 03:24
建议查血清淀粉酶
作者: 医影常客    时间: 2008-11-18 03:33
反正已经喝了碘剂,静脉碘剂阳性,再做一次。
胰头部明显增大,胰管未见明显扩张,周围肠系膜血管显示清楚,胰头周围明显见渗出,还是考虑胰腺炎
作者: 358450m    时间: 2008-11-18 03:37
标题: 回复:女,14岁。腹痛3天。求助战友。
以下是引用余辉在2008-11-17 14:35:00的发言:[br]胰头部明显肿大,胰周间隙浸润,考虑胰腺炎可能性大

作者: 朱亮    时间: 2008-11-18 04:07
胰头 增大,周围间隙模糊,考虑胰腺炎
作者: 黑白光影    时间: 2008-11-18 04:11
1)急性胰腺炎。2)肝右叶后上段肝内胆管结石。3)左侧输尿管上段扩张,原因待查。
作者: adams    时间: 2008-11-18 05:00
急性胰腺炎
作者: qc80012345    时间: 2008-11-18 05:08
胰头部明显肿大,胰周间隙浸润,胰管略增宽支持;胰腺炎诊断。
作者: 同    时间: 2008-11-18 05:16
考虑胰腺炎可能性大.
作者: huenhao    时间: 2008-11-18 05:16
急性胰腺炎。
作者: zsl6918    时间: 2008-11-18 05:23
胰头明显肿大呈肿物样,周围脂肪密度增高,结合病人年龄及临床表现,首先考虑炎性改变,建议结合实验室检查明确。必要是复查或mr检查
作者: 流浪星    时间: 2008-11-18 05:59
胰头部增大,周围模糊,有渗出,胰腺炎可能性大,建议结合化验检查;
作者: shgy733    时间: 2008-11-18 07:32
谢谢。。。。。。。。。。。。。
作者: x-man    时间: 2008-11-18 07:39
支持急性胰腺炎(胰头部).
作者: 540180845    时间: 2008-11-18 18:34
胰头部增大,周围结构模糊,并明显见渗出。支持:急性胰腺炎
作者: shgy733    时间: 2008-11-18 19:50
化验结果:血.尿淀粉酶正常。
作者: zsl6918    时间: 2008-11-19 01:58
既然实验室检查不支持炎症,那就强化或mr检查帮助明确吧.
作者: xulianj    时间: 2008-11-19 03:36
支持:急性胰腺炎!血.尿淀粉酶正常那么mri检查一下。
作者: 吸引力    时间: 2008-11-19 03:50
病灶应在胰头下区,不一定是胰头,结合周边低密度水肿,是否可能为十二指肠(xi)室炎症或其它炎症。
作者: 吸引力    时间: 2008-11-19 03:55
胰周无明显渗出,吉氏筋膜未见增厚。血尿试验室检查不支持。排除胰腺炎。




欢迎光临 医影在线 (http://bbs.radida.com/bbs/) Powered by Discuz! X3.2