医影在线

标题: CT16655:女42岁,从7岁开始就出现癫痫,至今症状不缓解 [打印本页]

作者: 654    时间: 2008-11-18 00:18
标题: CT16655:女42岁,从7岁开始就出现癫痫,至今症状不缓解
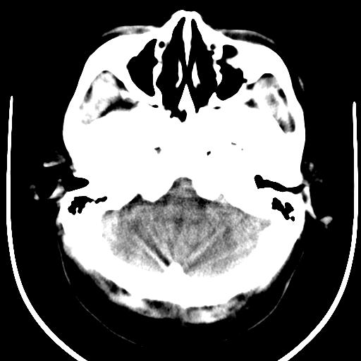
女42岁,从7岁开始就出现癫痫,至今症状不缓解,近几年做过好几次ct 检查,影像上改变不明显。。












[本贴已被 jiajie 于 2008-11-18 9:37:49 修改过]

作者: lrj    时间: 2008-11-18 00:25
胶质瘤,以少支胶质细胞瘤可能大
作者: zimiu    时间: 2008-11-18 01:11
癫痫的特征是大脑神经元反复发作的异常放电,导致的暂时性大脑功能失调。该图可见右侧颞叶一不规则软化区。不排除胶质细胞瘤的可能性。应进一步检查脑电以定位,做核磁或穿刺以确诊。
作者: 杀毒软件    时间: 2008-11-18 01:33
考虑------少支胶质细胞瘤可能    进一步检查有无血管畸形可能
作者: QINGJING    时间: 2008-11-18 01:56
支持少枝
作者: chenqiong    时间: 2008-11-18 01:57
考虑颅底骨软骨瘤
作者: 随光逐影    时间: 2008-11-18 02:03
考虑右侧颞叶胶质瘤(少枝?)。
作者: 卜一    时间: 2008-11-18 02:22
本病例病程较长,并侧裂池明显扩大,周围见低密度影及内见条片状钙化灶。多考虑:“蛛网膜囊肿或脑裂畸形”伴“血管畸形”!
作者: dsl555    时间: 2008-11-18 02:55
病史这么长!考虑颅底骨软骨瘤
作者: 医影常客    时间: 2008-11-18 03:24
病史长,病灶较大,占位效应不明显,脑内肿瘤可能性较小,还是考虑岩骨的或发育畸形吧,性质?骨软骨瘤?血管畸形?做个增强怎样?
作者: 358450m    时间: 2008-11-18 03:43
胶质瘤,以少支胶质细胞瘤可能大
作者: bmw011    时间: 2008-11-18 03:44
考虑颅底骨软骨瘤
作者: zjzjr    时间: 2008-11-18 03:45
考虑------少支胶质细胞瘤可能    进一步检查
作者: wangyong1977    时间: 2008-11-18 03:52
胶质瘤?脑裂畸形?
作者: 朱亮    时间: 2008-11-18 03:53
血管畸形 增强吧
作者: 黑白光影    时间: 2008-11-18 04:36
少支胶质细胞瘤可能。
作者: 欧阳双全    时间: 2008-11-18 04:38
血管畸形
作者: adams    时间: 2008-11-18 04:59
右侧颞叶胶质瘤
作者: mfs251480    时间: 2008-11-18 05:12
血管瘤。
作者: zsl6918    时间: 2008-11-18 05:17
考虑肿瘤性病变
作者: 同    时间: 2008-11-18 05:20
考虑胶质瘤可能性大.
作者: xz-ywb    时间: 2008-11-18 05:37
赞同楼上的观点,病史长,周围没有水肿,多考虑良性的占位,血管畸形?囊肿?做增强或mri。
作者: 流浪星    时间: 2008-11-18 05:51
病史长,周围没有水肿,多考虑良性的占位,血管畸形?囊肿?做增强或mri
作者: guanaishengming    时间: 2008-11-18 06:18
胶质瘤,以少支胶质细胞瘤可能大
作者: 晨星剑    时间: 2008-11-18 06:51
标题: [转帖][
以下是引用卜一在2008-11-17 18:22:00的发言:[br]本病例病程较长,并侧裂池明显扩大,周围见低密度影及内见条片状钙化灶。多考虑:“蛛网膜囊肿或脑裂畸形”伴“血管畸形”!

作者: x-man    时间: 2008-11-18 06:52
考虑少支胶质细胞瘤可能性大,建议mri.
作者: xulianj    时间: 2008-11-19 02:40
支持胶质瘤;以少支胶质细胞瘤可能大。
作者: 风中百合    时间: 2008-11-20 02:12
病史长,周围没有水肿,多考虑良性的占位,血管畸形?囊肿?做增强或mri




欢迎光临 医影在线 (http://bbs.radida.com/bbs/) Powered by Discuz! X3.2