医影在线

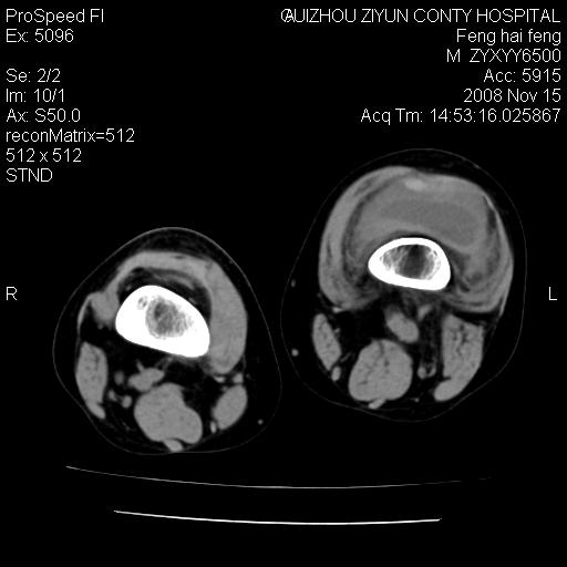
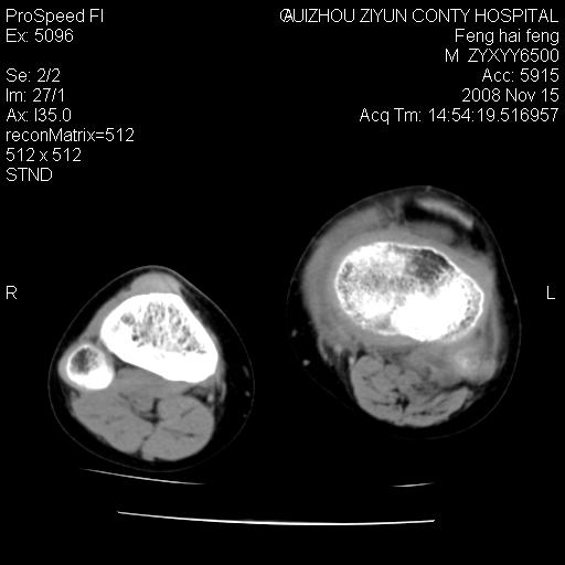
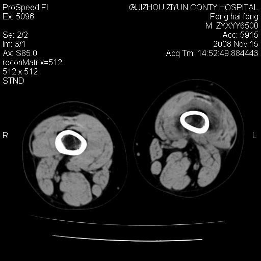
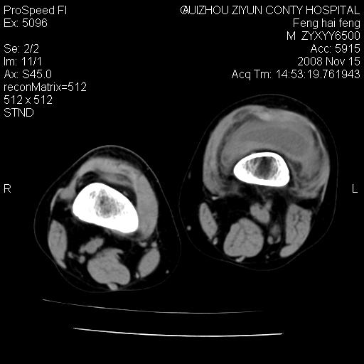
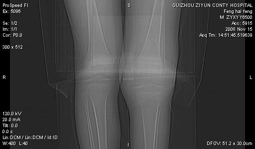
标题: CT16656:M 14Y 左膝关节肿胀一年余。其余病史不详。 [打印本页]

作者: 平安是福    时间: 2008-11-18 00:45
标题: CT16656:M 14Y 左膝关节肿胀一年余。其余病史不详。















































[本贴已被 jiajie 于 2008-11-18 9:39:27 修改过]

作者: 杀毒软件    时间: 2008-11-18 01:29
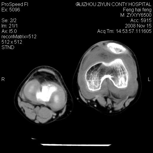
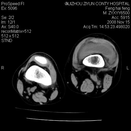
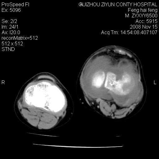
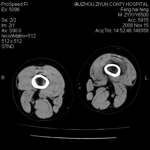
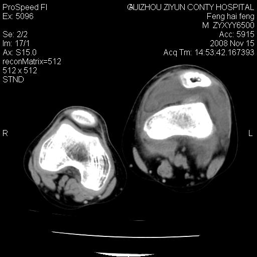
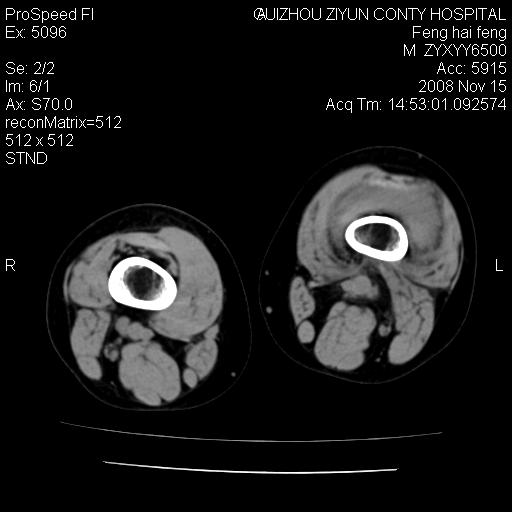
考虑-----左膝滑膜型关节结核可能性大-------实验室检查
作者: chenqiong    时间: 2008-11-18 01:32
关节滑膜结核?
作者: liujian19861203    时间: 2008-11-18 01:41
应该是关节结核
作者: QINGJING    时间: 2008-11-18 01:47
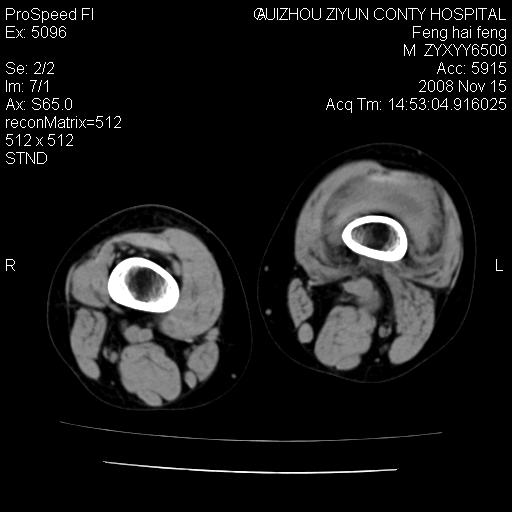
支持左膝滑膜肿胀期内积液考虑炎症改变,结核?
作者: 随光逐影    时间: 2008-11-18 01:59
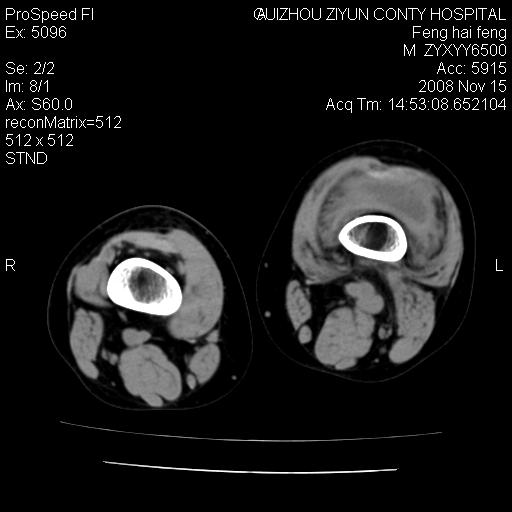
考虑左侧髌骨结核;左膝关节滑膜肿胀、增厚,关节囊积液。
作者: 卜一    时间: 2008-11-18 02:13
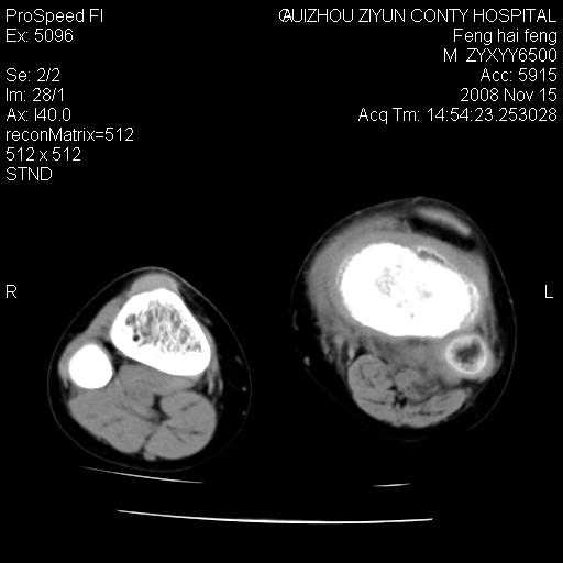
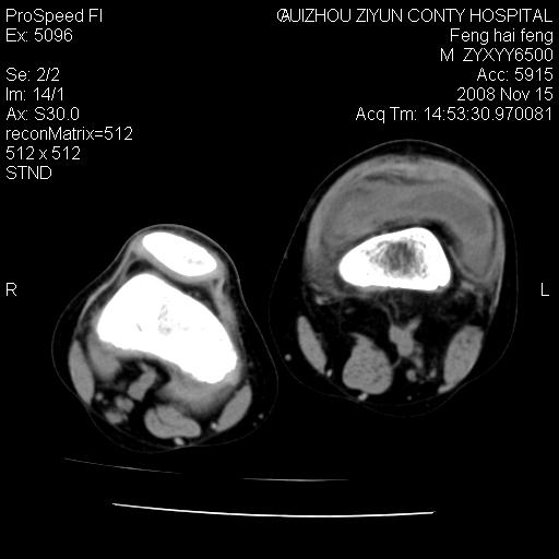
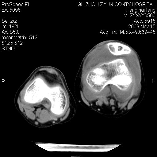
左膝滑膜型关节结核可能性大!支持!滑膜型关节结核主要ct表现:关节囊肿胀,积液,关节面见小破坏灶,并见点状死骨!
作者: 风中百合    时间: 2008-11-18 02:16
关节结核,关节囊积液。
作者: dsl555    时间: 2008-11-18 02:23
关节结核,关节囊积液。
作者: 王加美    时间: 2008-11-18 02:28
左膝滑膜型关节结核可能性大!支持!滑膜型关节结核主要ct表现:关节囊肿胀,积液,关节面见小破坏灶,并见点状死骨
作者: 358450m    时间: 2008-11-18 03:40
标题: 回复:m 14y 左膝关节肿胀一年余。其余病史不详。
以下是引用qingjing在2008-11-17 17:47:00的发言:[br]支持左膝滑膜肿胀期内积液考虑炎症改变,结核?

作者: 医影常客    时间: 2008-11-18 03:52
支持tb诊断
作者: 朱亮    时间: 2008-11-18 03:59
支持楼上所说
作者: zjzjr    时间: 2008-11-18 04:38
左膝滑膜型关节结核可能性大!支持
作者: 黑白光影    时间: 2008-11-18 04:42
好大的左腿!考虑左侧髌骨结核,左膝关节滑膜肿胀、增厚,关节囊积液。
作者: adams    时间: 2008-11-18 04:58
左侧髌骨结核;左膝关节滑膜肿胀、增厚,关节囊积液
作者: qc80012345    时间: 2008-11-18 05:19
支持;关节结核,关节囊积液
作者: 同    时间: 2008-11-18 05:23
关节结核可能性大.
作者: zsl6918    时间: 2008-11-18 05:26
标题: 回复:m 14y 左膝关节肿胀一年余。其余病史不详。
以下是引用随光逐影在2008-11-17 17:59:00的发言:[br]考虑左侧髌骨结核;左膝关节滑膜肿胀、增厚,关节囊积液。

作者: 流浪星    时间: 2008-11-18 05:46
关节结核,关节囊积液。
作者: guanaishengming    时间: 2008-11-18 06:17
应该是关节结核
作者: x-man    时间: 2008-11-18 06:55
左膝滑膜型关节结核可能性大!支持!滑膜型关节结核主要ct表现:关节囊肿胀,积液,关节面见小破坏灶,并见点状死骨
作者: dengkai    时间: 2008-11-18 09:13
支持左膝滑膜肿胀期内积液考虑炎症改变,结核?
作者: xulianj    时间: 2008-11-19 02:52
考虑左侧髌骨结核;左膝关节滑膜肿胀、增厚,关节囊积液。




欢迎光临 医影在线 (http://bbs.radida.com/bbs/) Powered by Discuz! X3.2