




















































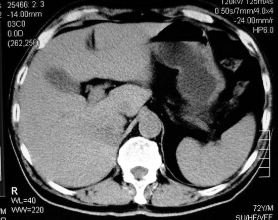
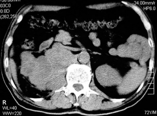
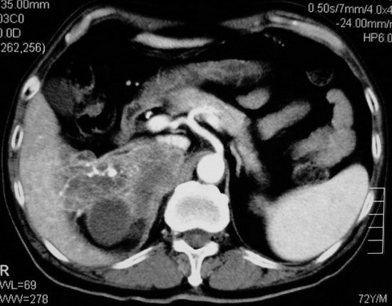
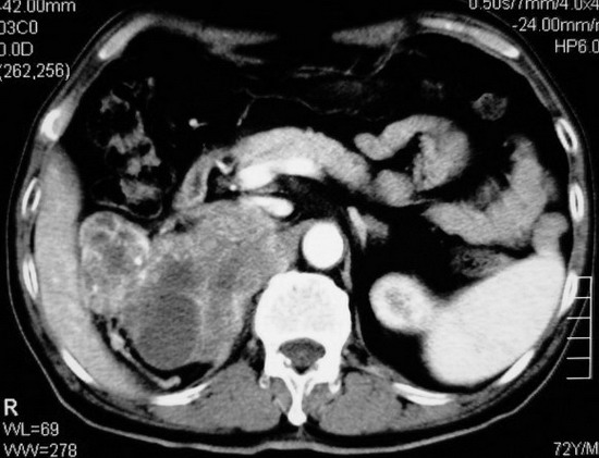
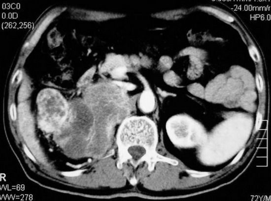
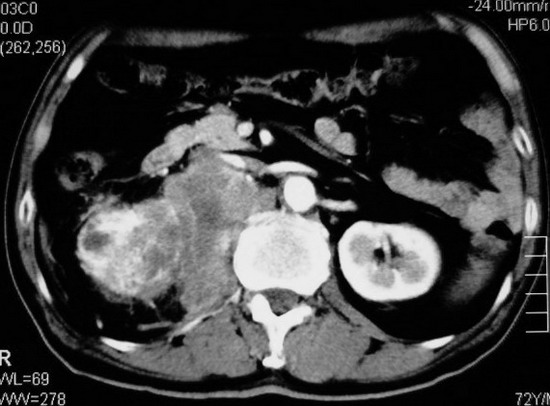
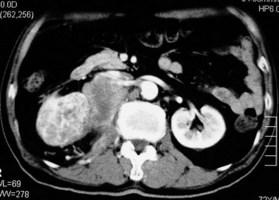
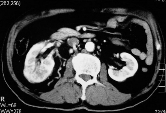
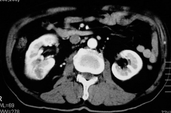
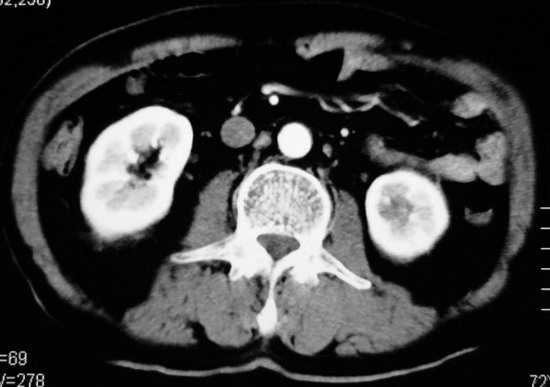
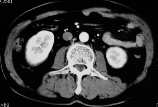
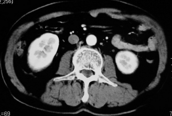
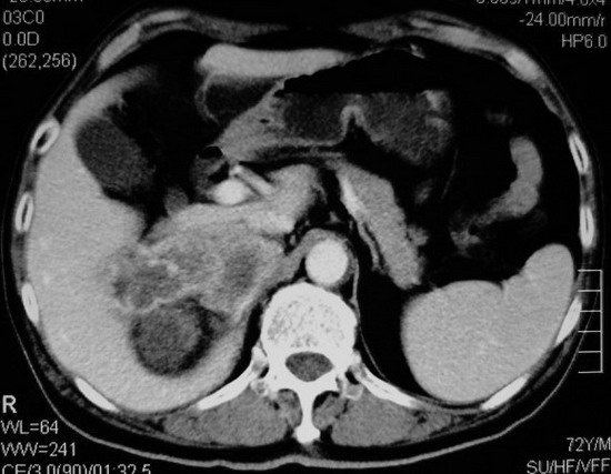
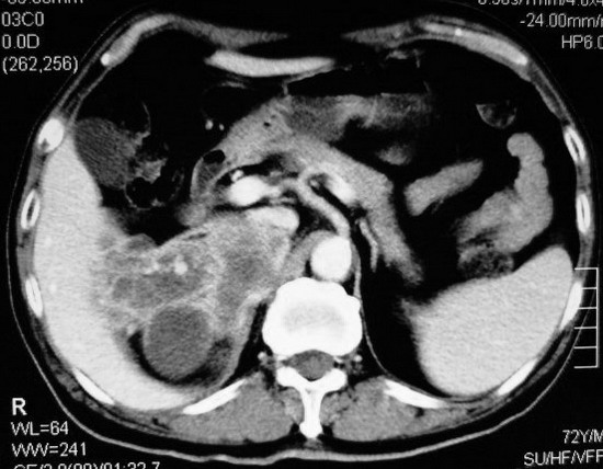
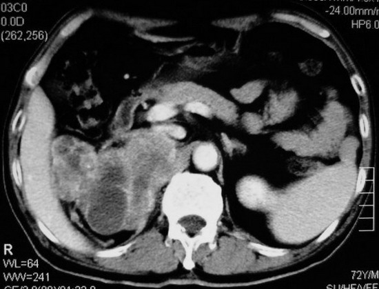
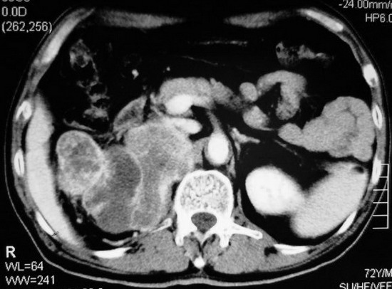
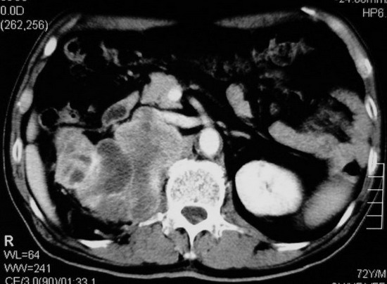
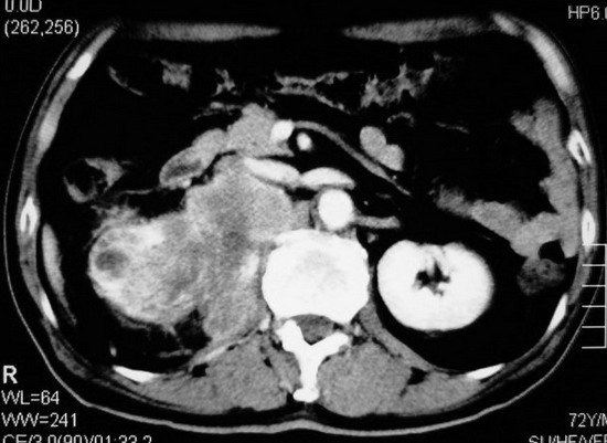
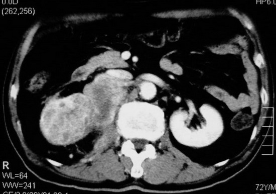
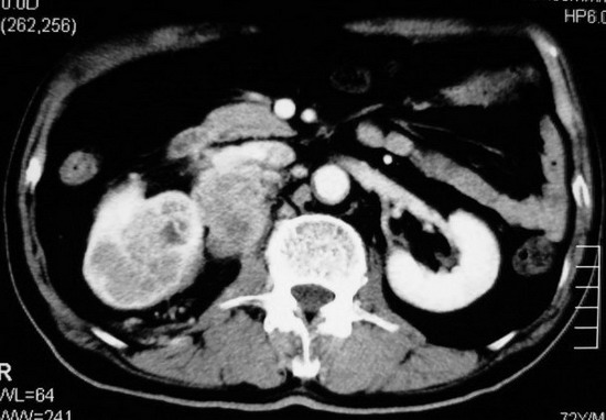
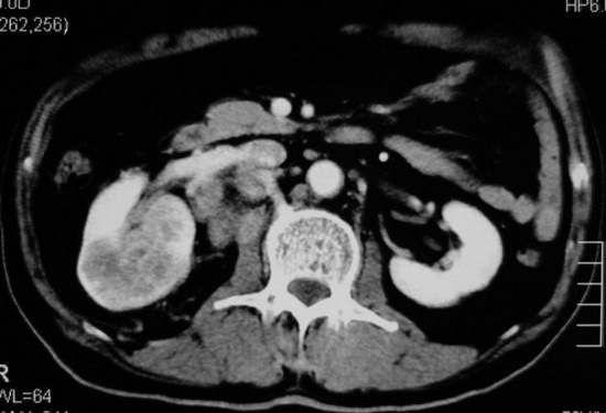
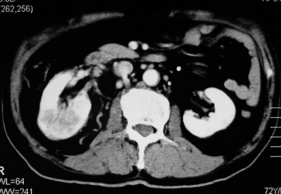
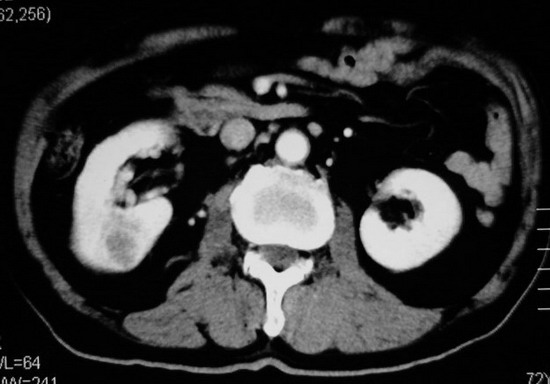
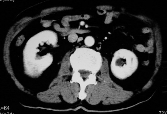
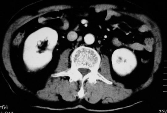
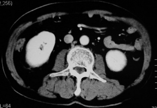
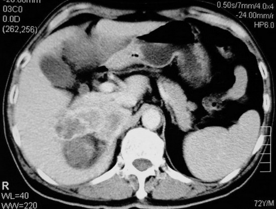
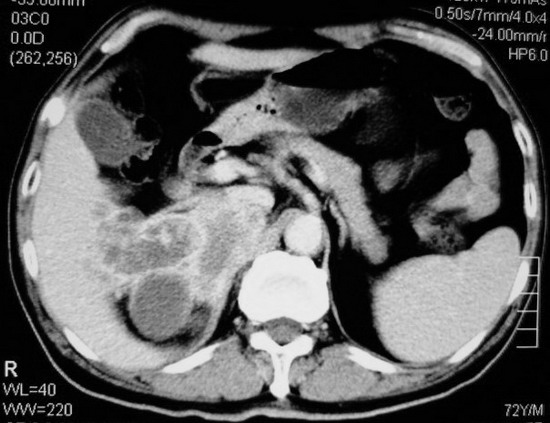
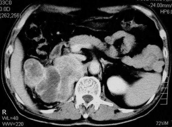
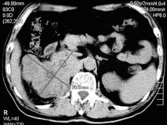
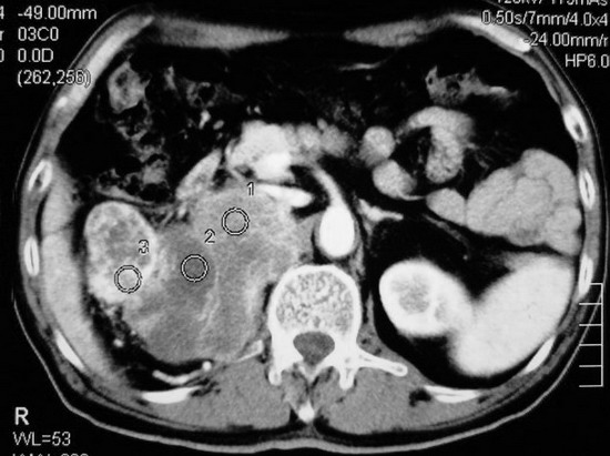
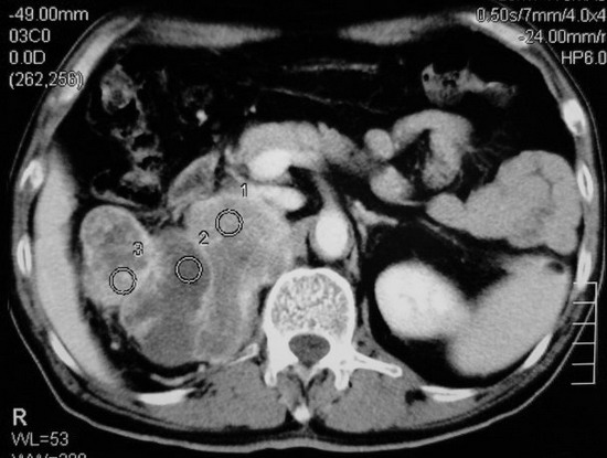
以下是引用杀毒软件在2008-11-17 19:15:00的发言:[br]考虑------右肾癌合并肾静脉---同侧肾上腺受侵可能性大
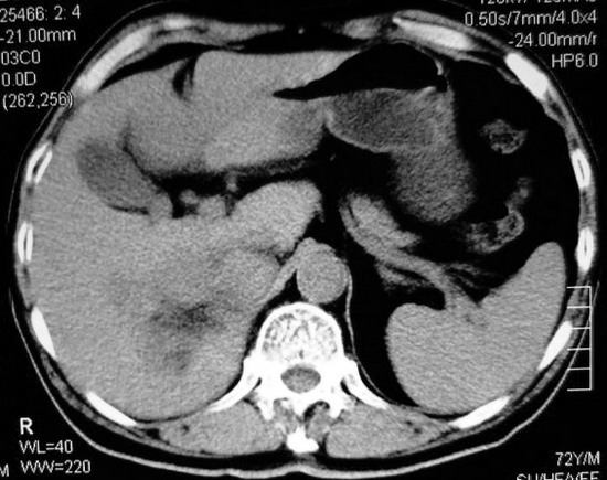
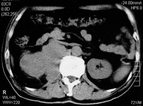
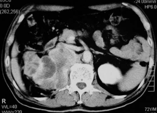
以下是引用杀毒软件在2008-11-17 19:15:00的发言:[br]考虑------右肾癌合并肾静脉---同侧肾上腺受侵可能性大
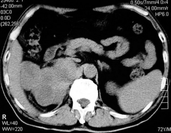
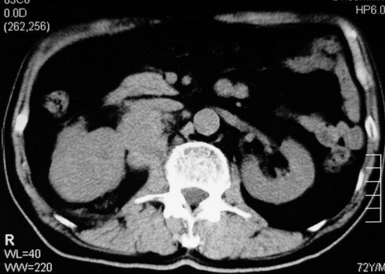
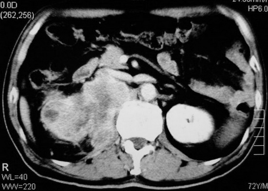
以下是引用杀毒软件在2008-11-17 19:15:00的发言:[br]考虑------右肾癌合并肾静脉---同侧肾上腺受侵可能性大
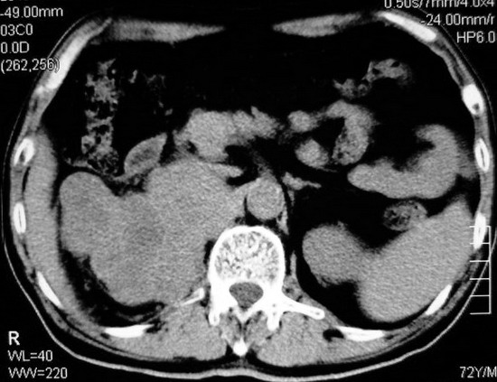
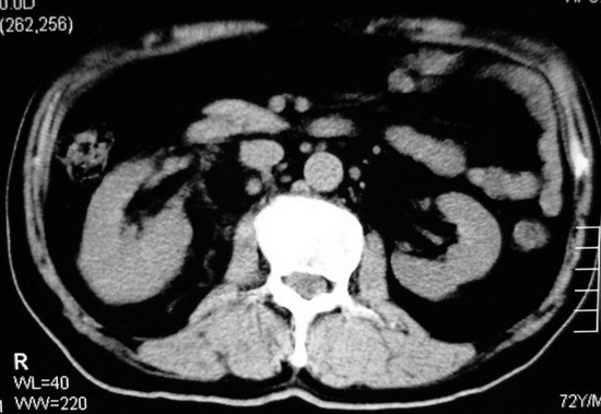
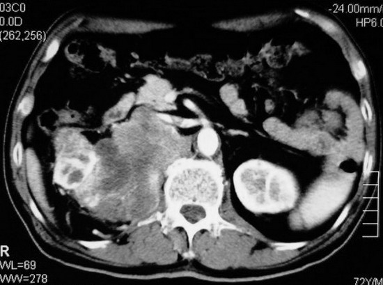
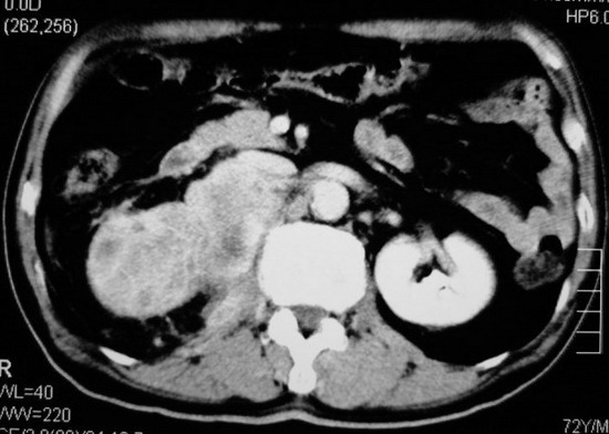
以下是引用zjzjr在2008-11-17 20:45:00的发言:[br]考虑------右肾癌合并肾静脉---同侧肾上腺受侵可能性大及腹膜后淋巴结转移.
| 欢迎光临 医影在线 (http://bbs.radida.com/bbs/) | Powered by Discuz! X3.2 |