医影在线

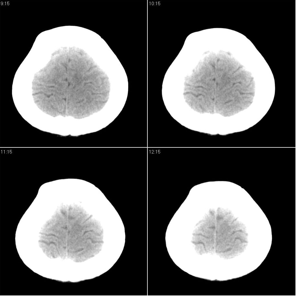
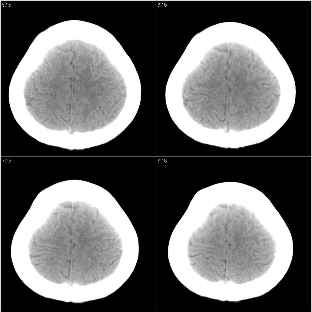
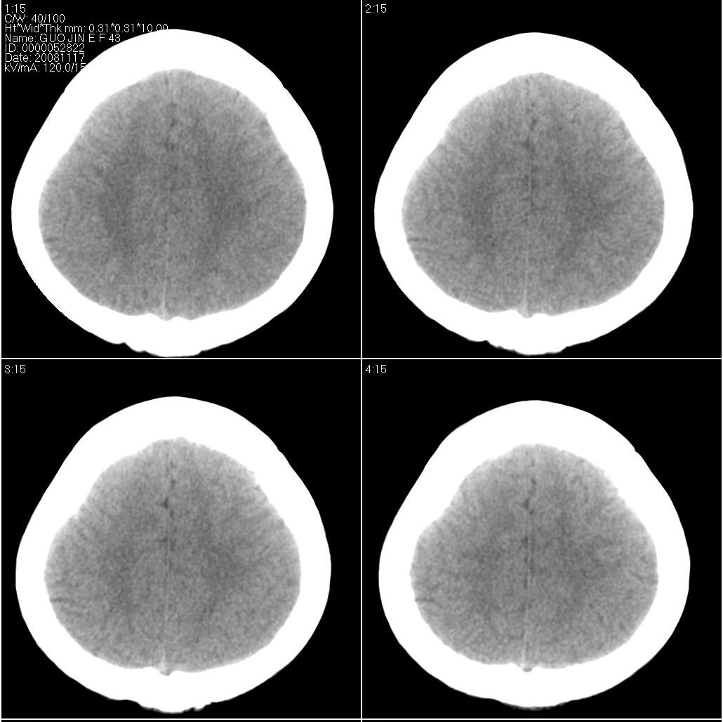
标题: CT16658:女性,49岁。发现右侧额部包块10余年。 [打印本页]

作者: fanshl    时间: 2008-11-18 02:51
标题: CT16658:女性,49岁。发现右侧额部包块10余年。








[本贴已被 jiajie 于 2008-11-18 9:42:47 修改过]

作者: 杀毒软件    时间: 2008-11-18 03:05
考虑------致密型骨瘤可能性大
作者: dengkai    时间: 2008-11-18 03:12
骨瘤可能性大
作者: zxd95    时间: 2008-11-18 03:18
骨瘤
作者: 朱亮    时间: 2008-11-18 03:50
考虑骨瘤
作者: 余辉    时间: 2008-11-18 04:08
暂支持考虑骨瘤.窗未调好
作者: lnhsdm    时间: 2008-11-18 04:12
支持致密骨瘤诊断
作者: qc80012345    时间: 2008-11-18 04:20
应该选择骨窗,骨瘤=良性的经常就到。
作者: 黑白光影    时间: 2008-11-18 04:38
标题: 回复:女性,49岁。发现右侧额部包块10余年。
以下是引用余辉在2008-11-17 20:08:00的发言:[br]暂支持考虑骨瘤.窗未调好

这话很诚恳,支持!
作者: zjzjr    时间: 2008-11-18 04:53
支持致密骨瘤诊断
作者: adams    时间: 2008-11-18 04:53
骨瘤
作者: huenhao    时间: 2008-11-18 05:07
骨瘤
作者: 同    时间: 2008-11-18 05:29
支持骨瘤.
作者: 流浪星    时间: 2008-11-18 05:33
支持致密骨瘤诊断
作者: zsl6918    时间: 2008-11-18 05:34
符合致密骨瘤改变
作者: yangwq    时间: 2008-11-18 05:59
骨瘤
作者: xz-ywb    时间: 2008-11-18 06:22
支持骨瘤。病史长,病灶与颅骨密度一致,周围软组织没有异常改变。
作者: x-man    时间: 2008-11-18 06:49
支持致密骨瘤诊断
作者: 卜一    时间: 2008-11-18 06:58
骨瘤?建议上传骨窗!
作者: 吴承学    时间: 2008-11-18 14:17
标题: 回复:女性,49岁。发现右侧额部包块10余年。
骨瘤
作者: drzhang8888    时间: 2008-11-18 17:58
右额部颅骨外板为主向外突出局限致密骨影,密度均匀,考虑额骨致密骨瘤
作者: 红樱枪    时间: 2008-11-18 18:13
致密骨瘤
作者: 深泽交通    时间: 2008-11-18 18:43
标题: 回复:ct16658:女性,49岁。发现右侧额部包块10余年。
以下是引用zjzjr在2008-11-17 20:53:00的发言:[br]支持致密骨瘤诊断

作者: 战辉    时间: 2008-11-18 18:46
考虑骨瘤。
作者: 随光逐影    时间: 2008-11-19 00:31
右侧额骨致密骨瘤。
作者: 风中百合    时间: 2008-11-19 02:19
考虑右侧额骨致密骨瘤。
作者: xulianj    时间: 2008-11-19 03:43
支持致密骨瘤




欢迎光临 医影在线 (http://bbs.radida.com/bbs/) Powered by Discuz! X3.2