医影在线

标题: CT16663:F 77 昏迷不醒,各位老师看咯! [打印本页]

作者: 钝刀    时间: 2008-11-18 07:22
标题: CT16663:F 77 昏迷不醒,各位老师看咯!
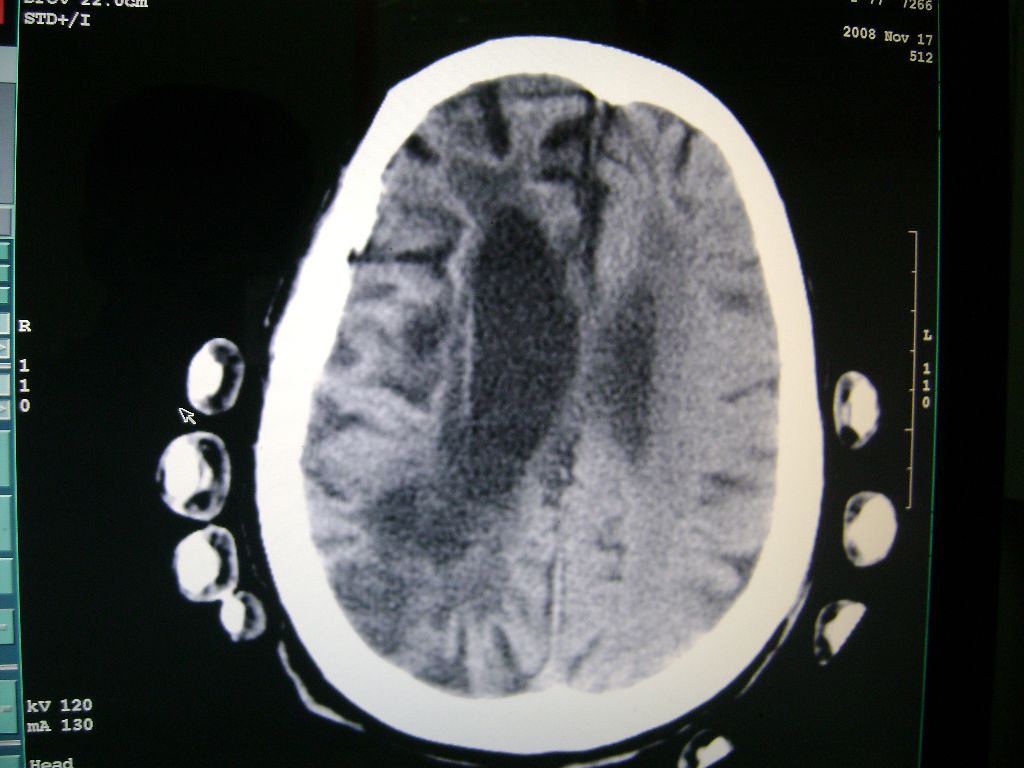
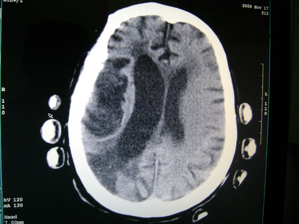
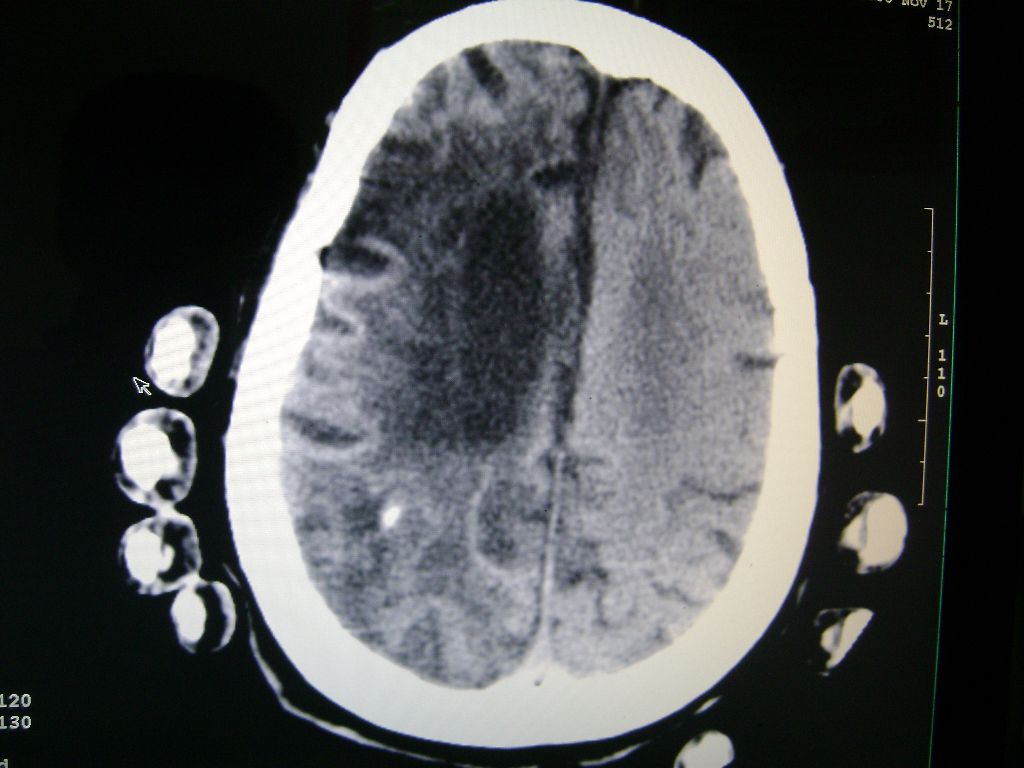
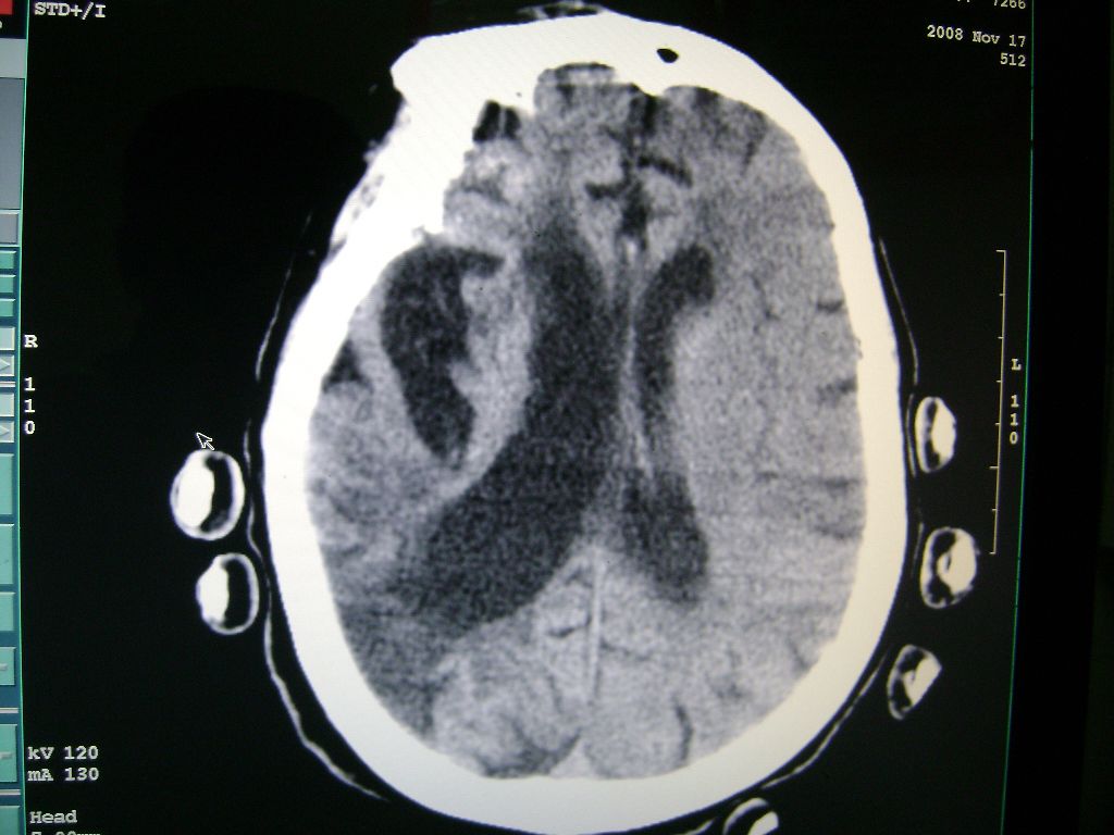
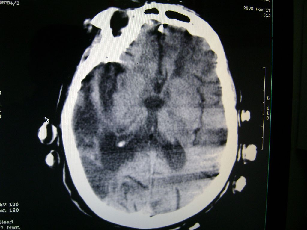
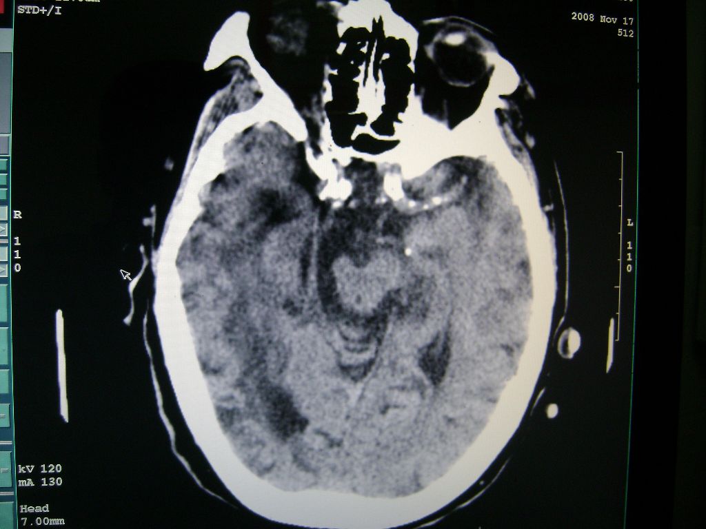
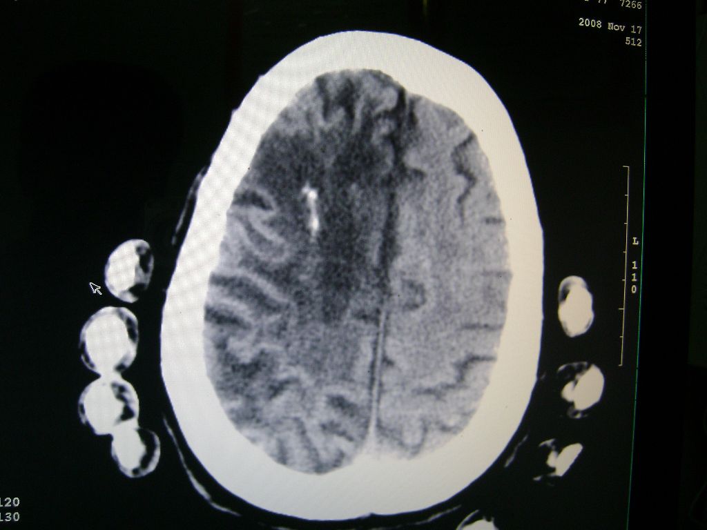
f 77 昏迷不醒













[本贴已被 jiajie 于 2008-11-18 9:50:19 修改过]

作者: 黄国华    时间: 2008-11-18 08:50
出血性脑梗塞
作者: dengkai    时间: 2008-11-18 09:15
出血性脑梗塞
作者: 卜一    时间: 2008-11-18 14:01
出血性脑梗塞!
作者: 吴承学    时间: 2008-11-18 14:40
标题: 回复:各位老师看咯!
出血性脑梗塞!
作者: zhuoluoshishui    时间: 2008-11-18 15:29
各位根据啥是出血性脑梗塞?????
作者: yuhongjun    时间: 2008-11-18 15:30
出血性脑梗塞
作者: zjzjr    时间: 2008-11-18 17:21
右侧额颞枕顶叶脑软化灶,脑萎缩,大脑中动脉壁钙化。
作者: 深泽交通    时间: 2008-11-18 17:36
右脑软化灶,考虑再次梗塞,高密度灶出血?钙化?。。。量ct值,改窗宽,位
作者: 影像孺子牛    时间: 2008-11-18 17:51
标题: 回复:ct16663:f 77 昏迷不醒,各位老师看咯!
以下是引用深泽交通医院在2008-11-18 9:36:00的发言:[br]右脑软化灶,考虑再次梗塞,高密度灶出血?钙化?。。。量ct值,改窗宽,位

作者: 影象小泰斗    时间: 2008-11-18 18:22
右脑软化灶,考虑再次梗塞,右顶叶高密度影不像是出血,密度很高,建议量ct值!
作者: 余辉    时间: 2008-11-18 19:50
右侧半球陈旧性卒中,不除外伴有新病灶,左额叶梗塞,双侧大脑中动脉钙斑
作者: drzhang8888    时间: 2008-11-18 20:02
右侧额颞枕顶叶脑软化灶,脑萎缩,大脑中动脉壁钙化。不支持出血(密度高,边界清且局限)顶枕区似有新发梗塞,建议核磁
作者: 随光逐影    时间: 2008-11-19 00:33
1)右侧额颞枕顶叶脑软化灶;其内高密度影,多为钙化灶。2)脑萎缩。3)大脑中动脉钙化。
作者: zsl6918    时间: 2008-11-19 01:43
标题: 回复:ct16663:f 77 昏迷不醒,各位老师看咯!
以下是引用zjzjr在2008-11-18 9:21:00的发言:[br]右侧额颞枕顶叶脑软化灶,脑萎缩,大脑中动脉壁钙化。

作者: 风中百合    时间: 2008-11-19 02:04
再次脑梗死,右侧额颞枕顶叶脑软化灶,高密度考虑钙化
作者: 吸引力    时间: 2008-11-19 02:28
右侧陈旧脑梗塞伴脑萎缩。脑内点状钙化。大脑中动脉壁钙化灶。无出血灶。
作者: xulianj    时间: 2008-11-19 03:42
右大脑半球软化灶
作者: 黑白光影    时间: 2008-11-19 03:57
1)右侧额颞枕顶叶脑软化灶并钙化灶可能。2)脑萎缩。3)大脑中动脉钙化。 -




欢迎光临 医影在线 (http://bbs.radida.com/bbs/) Powered by Discuz! X3.2