医影在线
标题: CT16664:女,24,急,大家看看 [打印本页]
作者: wz_221 时间: 2008-11-18 09:41
标题: CT16664:女,24,急,大家看看
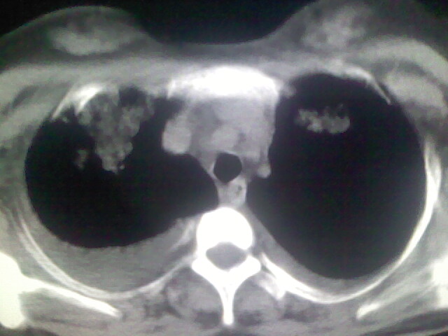
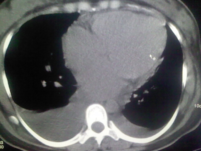
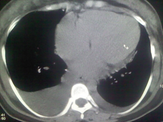
女,24,剖腹产后,突觉胸痛,干咳,不能平卧





















































[本贴已被 jiajie 于 2008-11-18 9:50:44 修改过]
作者: ldza 时间: 2008-11-18 09:59
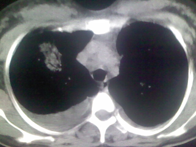
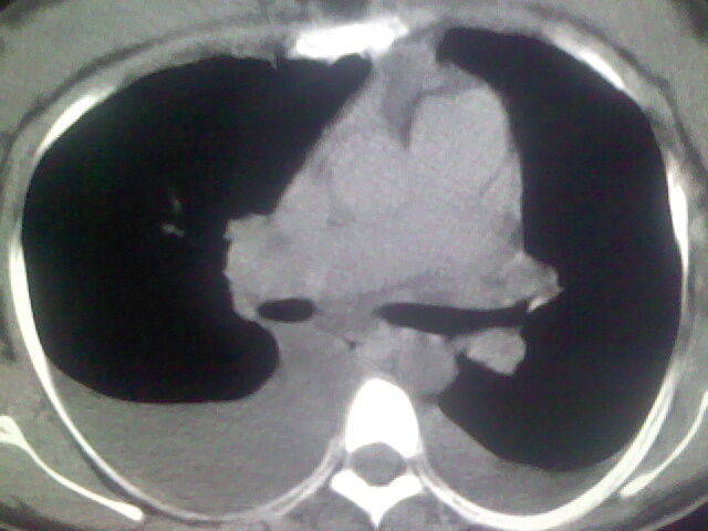
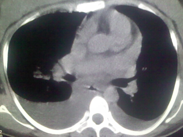
胸水 感染 心影增大 肺水肿?
作者: 卜一 时间: 2008-11-18 14:09
双肺“肺泡性肺水肿” “胸腔积液”!
作者: 吴承学 时间: 2008-11-18 14:43
标题: 回复:急,大家看看
双肺“肺泡性肺水肿” “胸腔积液”
作者: yuhongjun 时间: 2008-11-18 15:28
双肺“肺泡性肺水肿” “胸腔积液”!
作者: 一生何求 时间: 2008-11-18 15:39
做个增强的 ct吧 pte(肺血栓栓塞)不能除外啊 在结合心电图 看看v1-v4导连的t波及st段改变。
患者允许的情况下建议进行心脏超声检查
作者: 平安是福 时间: 2008-11-18 16:42
双侧胸腔积液,肺泡性肺水肿。后纵隔好像有占位。
作者: zjzjr 时间: 2008-11-18 17:24
考虑肺梗塞、肺水肿,双侧胸腔积液
作者: 深泽交通 时间: 2008-11-18 17:25
肝脾大,双侧胸腔积液,双肺水肿,肺动脉[包括远端小动脉],左右心房,左心室增宽,右心室主动脉无明显改变,符合左心功能不全征;;建议除外二尖瓣关闭不全,扩张性心肌病
作者: 影像孺子牛 时间: 2008-11-18 17:50
标题: 回复:急,大家看看
以下是引用zjzjr在2008-11-18 9:24:00的发言:[br]考虑肺梗塞、肺水肿,双侧胸腔积液
作者: 红樱枪 时间: 2008-11-18 18:03
考虑肺梗塞、肺水肿,双侧胸腔积液
作者: 影象小泰斗 时间: 2008-11-18 18:20
考虑肺梗塞、肺水肿,双侧胸腔积液!
作者: haha215315 时间: 2008-11-18 19:50
全心衰导致积液、肺水肿。不知手术前有无心脏病变?
作者: 余辉 时间: 2008-11-18 19:52
产后心衰
作者: drzhang8888 时间: 2008-11-18 20:12
急性心衰可能,肺梗塞??我没看到病变的具体位置,楼上的给讲讲啊
作者: DXM 时间: 2008-11-18 22:43
考虑肺梗塞 双侧胸腔积液 心影增大 建议进一步检查吧
作者: 一个人 时间: 2008-11-18 23:30
双肺“肺泡性肺水肿” “胸腔积液”!
作者: liping57 时间: 2008-11-18 23:45
肺水肿,双侧胸腔积液,双肺炎症。
作者: shuqiang1 时间: 2008-11-18 23:53
标题: 支持
临床资料及影象表现支持围产期扩张型心肌病改变,心衰。
[本贴已被 shuqiang1 于 2008-12-19 10:12:23 修改过]
作者: jiangjing 时间: 2008-11-19 00:06
肺水肿,双侧胸腔积液,心影增大.考虑妊娠心脏病
作者: chenqiong 时间: 2008-11-19 00:17
产后心衰、肺水肿
作者: 随光逐影 时间: 2008-11-19 00:22
考虑产后心肌病,心功能不全,肺水肿,双侧胸腔积液。
作者: sdzyy 时间: 2008-11-19 01:20
产后心衰、肺水肿、双侧胸腔积液
作者: xulianj 时间: 2008-11-19 03:29
心衰、肺水肿、双侧胸腔积液。
作者: 吸引力 时间: 2008-11-19 03:37
风心、心衰。两肺水肿、感染灶及胸水是心衰表现
作者: 黑白光影 时间: 2008-11-19 04:04
考虑产后心肌病,心功能不全,肺水肿,双侧胸腔积液。不排除羊水栓塞可能。
作者: wanrongchao 时间: 2008-11-19 04:34
肺水肿,胸腔积液。
作者: 丁香阁 时间: 2008-11-19 05:11
双肺水肿,双侧胸腔积液,肺梗死不能排除
作者: zhangling 时间: 2008-11-19 05:42
心衰、肺水肿、双侧胸腔积液
| 欢迎光临 医影在线 (http://bbs.radida.com/bbs/) |
Powered by Discuz! X3.2 |