医影在线
标题: CT16665:男,34岁。近来发现视力不好、眼花。 [打印本页]
作者: fanshl 时间: 2008-11-18 17:05
标题: CT16665:男,34岁。近来发现视力不好、眼花。




[本贴已被 jiajie 于 2008-11-18 9:51:16 修改过]
作者: 平安是福 时间: 2008-11-18 17:14
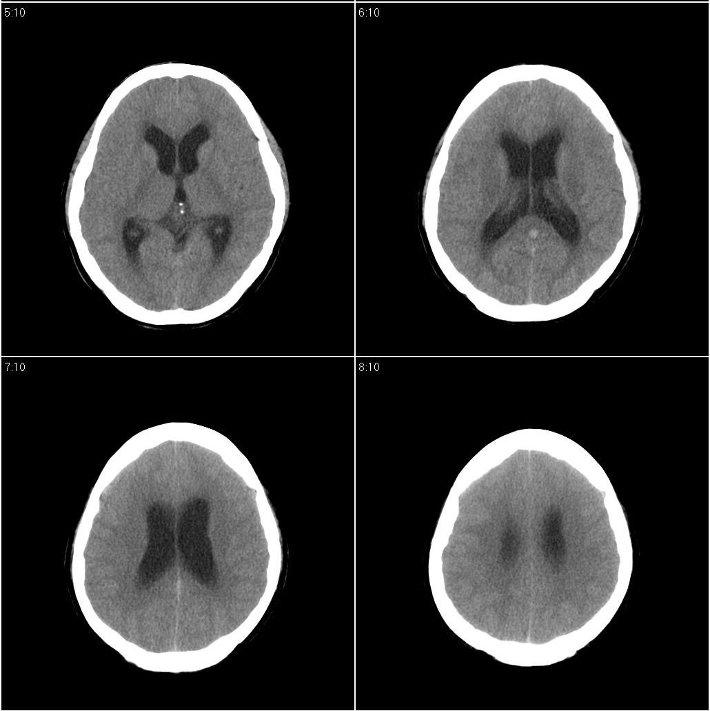
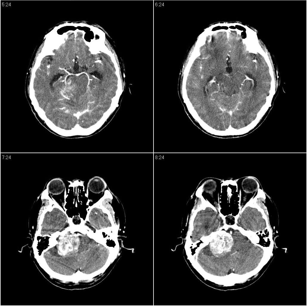
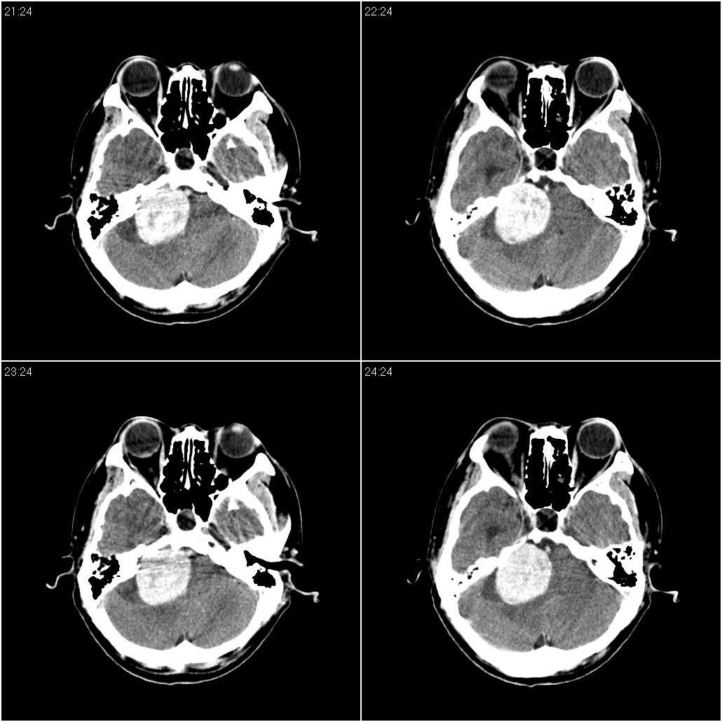
考虑小脑占位性病变,建议ct增强或mri检查。
作者: zjzjr 时间: 2008-11-18 17:26
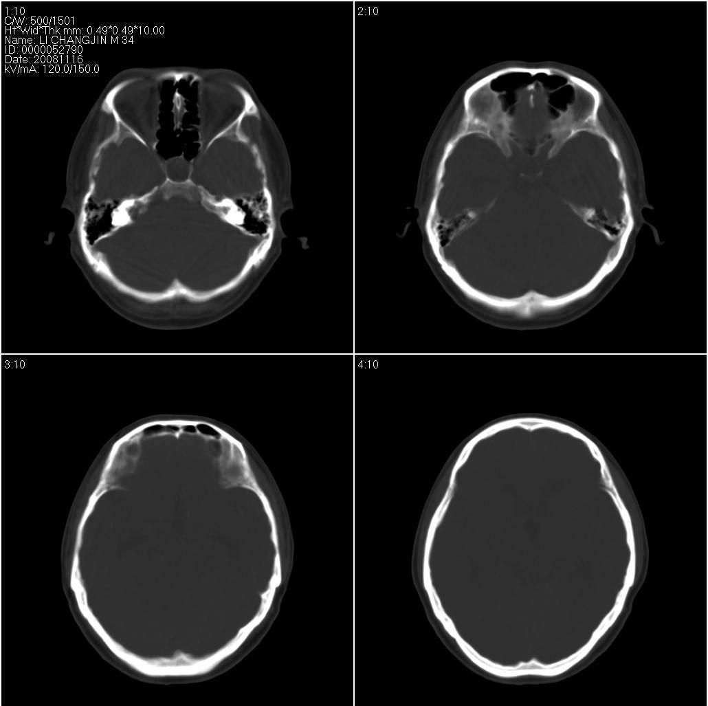
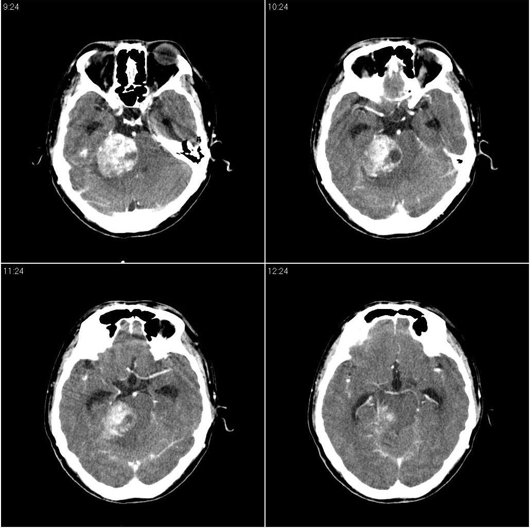
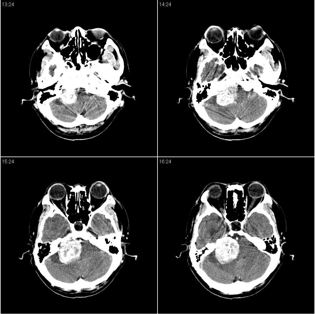
支持右侧小脑半球占位性病变伴梗阻性脑积水。建议增强,上传骨窗,除外听神经瘤
作者: fanshl 时间: 2008-11-18 17:37
标题: 回复:男,34岁。近来发现视力不好、眼花。
以下是引用zjzjr在2008-11-18 9:26:00的发言:[br]支持右侧小脑半球占位性病变伴梗阻性脑积水。建议增强,上传骨窗,除外听神经瘤
没有骨窗么?
作者: 深泽交通 时间: 2008-11-18 17:46
标题: 回复:男,34岁。近来发现视力不好、眼花。
以下是引用zjzjr在2008-11-18 9:26:00的发言:[br]支持右侧小脑半球占位性病变伴梗阻性脑积水。建议增强,上传骨窗,除外听神经瘤
作者: 影像孺子牛 时间: 2008-11-18 17:46
脑干密度减低,增大,与周围界限不清,四脑室受压显示不清;右侧桥小脑角区似可见稍高密度影;建议行mri检查。
作者: 影象小泰斗 时间: 2008-11-18 18:17
后颅窝占位性病变,建议mri检查!
作者: zjzjr 时间: 2008-11-18 18:31
看到骨窗了,右侧内听道扩大(再往下扫一层),支持听神经瘤
作者: 战辉 时间: 2008-11-18 18:43
右侧小脑区稍低不均密度占位病变,边界不甚清楚,四脑室受压。建议ct增强或mri进一步检查。
作者: 余辉 时间: 2008-11-18 19:28
楼主同jinwh是同事吗,或者jinwh是患者?前几天有传的
http://www.radida.com/radinet/read.php?tid=46545
现在有骨窗了,内听道口好像被开挖了一样,支持考虑听神经瘤先
作者: drzhang8888 时间: 2008-11-18 20:16
支持幕下占位,右侧内听道扩大,听神经瘤可能,建议核磁
作者: xinliheng001 时间: 2008-11-18 20:41
同意
作者: 影象小辈 时间: 2008-11-18 22:27
右侧桥小脑角区占位性病变,内听道扩大,骨质似见破坏,考虑为听神经瘤
作者: 52yingxiang 时间: 2008-11-18 22:45
右侧内听道扩大,支持听神经瘤
作者: 卜一 时间: 2008-11-18 23:26
考虑小脑占位性病变,建议ct增强或mri检查。
作者: 谨言慎行 时间: 2008-11-18 23:37
支持右侧听神经瘤
作者: jiangjing 时间: 2008-11-19 00:03
支持右侧小脑半球占位性病变伴梗阻性脑积水。建议增强
作者: pujunzhi 时间: 2008-11-19 00:15
支持听神经瘤,建议增强扫描。
作者: yuhongjun 时间: 2008-11-19 00:19
考虑小脑占位性病变,建议ct增强或mri检查。
作者: 随光逐影 时间: 2008-11-19 00:19
1)右侧听神经瘤。2)脑积水(梗阻性)。3)空蝶鞍。
作者: sdzyy 时间: 2008-11-19 00:44
看到骨窗了,右侧内听道扩大(再往下扫一层),支持听神经瘤
作者: zsl6918 时间: 2008-11-19 01:20
首先考虑听神经瘤.
作者: 杀毒软件 时间: 2008-11-19 01:52
支持考虑-----听神经瘤可能
作者: 风中百合 时间: 2008-11-19 01:57
考虑听神经瘤
作者: xulianj 时间: 2008-11-19 03:30
支持右侧小脑半球占位性病变伴梗阻性脑积水。建议增强,上传骨窗,以听神经瘤可能大。
作者: 黑白光影 时间: 2008-11-19 04:09
标题: 。
正如随光逐影大师在http://www.radida.com/radinet/read.php?tid=46545软窗所察,右内听道隐藏着占位。
支持:1)右侧听神经瘤。2)脑积水(梗阻性)。3)空蝶鞍。
[本贴已被 黑白光影 于 2008-11-18 20:10:32 修改过]
作者: fanshl 时间: 2008-11-20 12:12
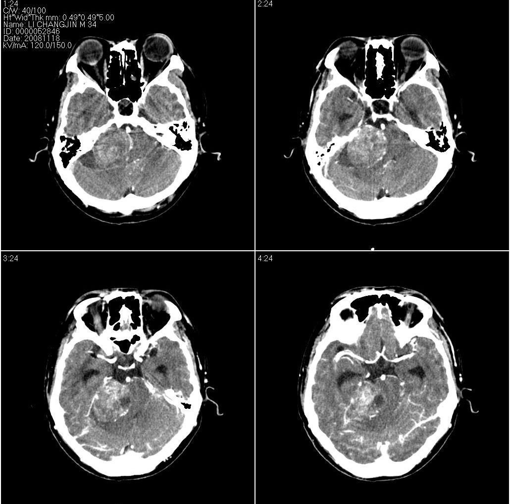
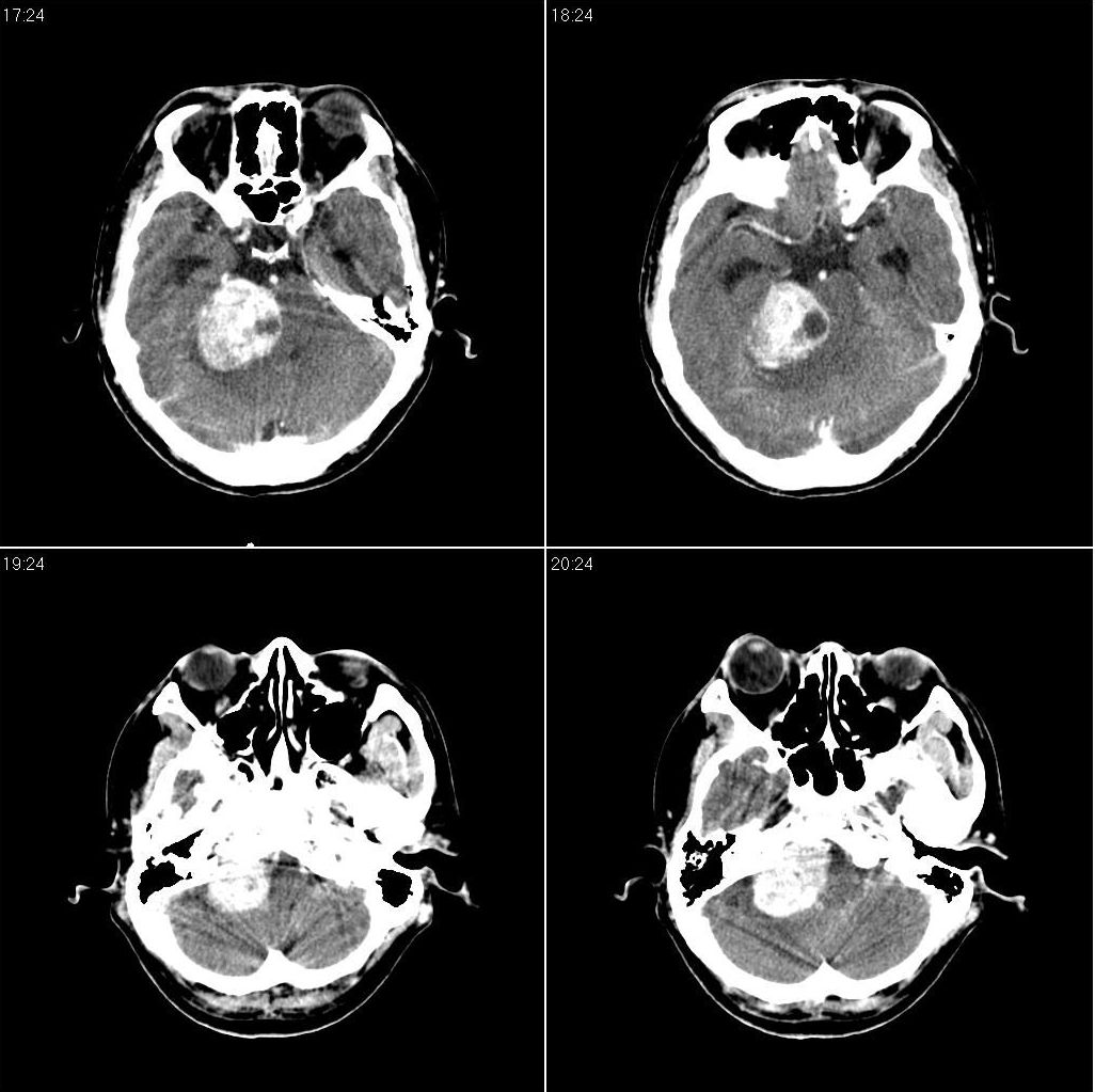
标题: 上传增强片,看看到底是什么肿瘤:






[本贴已被 fanshl 于 2008-11-20 4:13:58 修改过]
作者: 江广1996 时间: 2008-11-20 18:16
考虑小脑占位性病变,建议ct增强或mri检查
| 欢迎光临 医影在线 (http://bbs.radida.com/bbs/) |
Powered by Discuz! X3.2 |