医影在线

标题: PED1645:小孩寰椎问题 [打印本页]

作者: li7hua    时间: 2008-11-18 18:39
标题: PED1645:小孩寰椎问题
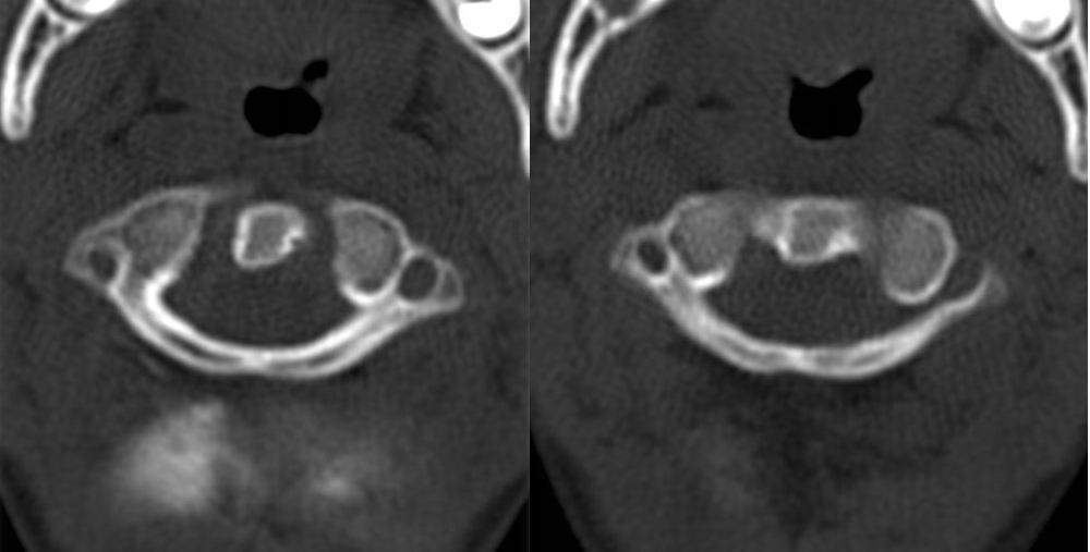
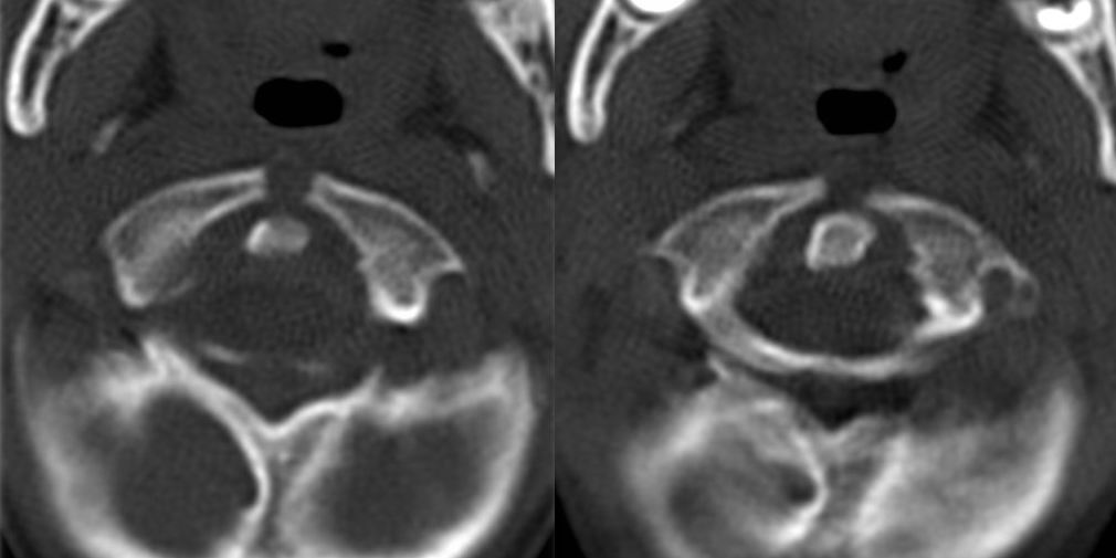
向各位请教:小孩子,6岁,寰椎两侧块前缘愈合了吗?不知道哪位老师能说说寰椎发育方面的问题.








[本贴已被 jiajie 于 2008-11-18 10:58:12 修改过]

作者: 小初学者    时间: 2008-11-18 19:19
标题: 回复:ped1645:小孩寰椎问题
属正常变异


作者: jiangjing    时间: 2008-11-19 00:25
环椎前弓裂
作者: 余辉    时间: 2008-11-19 00:45
寰枢椎可以当做是独立于颈椎的一个部分,一般与枕骨相应结构称为枕寰枢复合体。寰椎有三个骨化中心,分别为前弓,后弓两侧,分别相当于颈胸腰椎椎体的椎体,双侧椎板。
发育过程为前弓出现齿突和双侧块骨化中心(特别说时,齿突在发育过程中是属于寰椎的,你可以把他当做“椎体“),后弓出现两侧骨化中心,齿突骨化后脱离前弓骨化中必与枢椎的齿突融合(这就是为什么会出现游离齿突的原因),齿突脱离时其其方还有剩余的软骨,此时两侧块前部也在向前骨化,当骨化完全时就形成齿突前结节,当不完全时就形成前弓裂(相当于我们平常诊断的如腰骶椎隐裂一样),同样,后弓也可以形成这样的裂隙。后弓与侧块联合处为椎动脉沟,此处有时可形成寰椎后弓桥(也有叫后弓孔、弓沟的)
寰椎骨化一般可以到10—12岁,所以现在在下结论说隐裂或发育异常为时尚早。
如果前面的不好理解,我们可以将寰椎近似比喻为腰1椎,齿突是椎体(齿突前结节为椎体二次骨化中心),后弓为椎板
作者: 随光逐影    时间: 2008-11-19 01:14
支持 正常变异。
作者: li7hua    时间: 2008-11-19 01:16
标题: 回复:ped1645:小孩寰椎问题
多谢余师兄精彩的论述,受益匪浅啊!呵呵,我们是一个学校的,05年毕业的,科里有个师兄和你一班的哦
作者: 杀毒软件    时间: 2008-11-19 01:47
学习中
作者: 同    时间: 2008-11-19 03:05
长见识了.
作者: 余辉    时间: 2008-11-19 03:34
标题: 回复:ped1645:小孩寰椎问题
以下是引用li7hua在2008-11-18 17:16:00的发言:[br]多谢余师兄精彩的论述,受益匪浅啊!呵呵,我们是一个学校的,05年毕业的,科里有个师兄和你一班的哦

呵呵,真的吗,我也是05年毕业的啊,如果这样说应该是同学啊
作者: zsl6918    时间: 2008-11-19 04:46
应该是正常改变
作者: wangyong1977    时间: 2008-11-19 05:21
长见识了.
作者: 黑白光影    时间: 2008-11-19 05:37
正常变异。
作者: 王仕学    时间: 2008-11-20 01:28
支持 正常变异。
作者: yxrcpa    时间: 2008-11-21 08:33
受益费浅,只恨相识网站太晚。
作者: dengkai    时间: 2008-11-26 06:55
学习了
作者: 懋哥    时间: 2008-11-26 16:46
顶一下,余老乡是不是南县妇幼保健院的?




欢迎光临 医影在线 (http://bbs.radida.com/bbs/) Powered by Discuz! X3.2