医影在线
标题: CT16667:M62Y,患者偶有头晕,无其他不适。 [打印本页]
作者: xupengjie 时间: 2008-11-18 18:55
标题: CT16667:M62Y,患者偶有头晕,无其他不适。
患者近段时间偶有头晕,无其他不适。既往有糖尿病病史。








[本贴已被 jiajie 于 2008-11-18 11:06:56 修改过]
作者: boaiwlp 时间: 2008-11-18 19:05
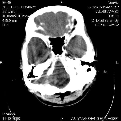
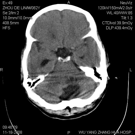
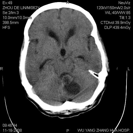
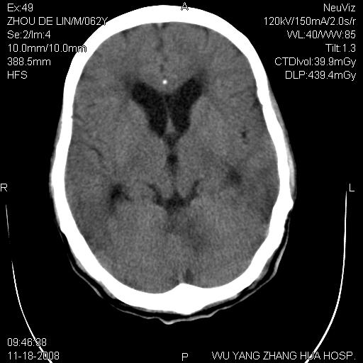
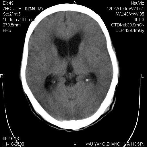
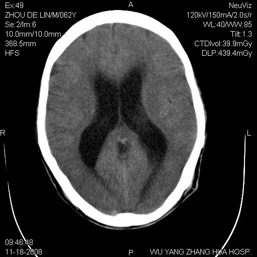
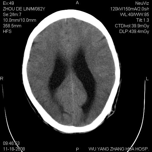
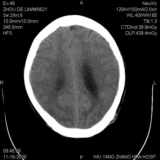
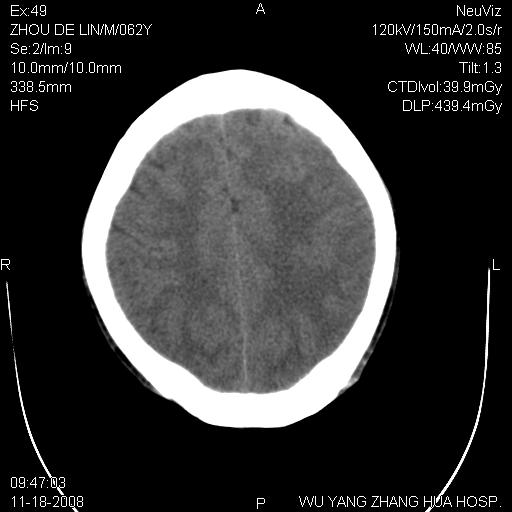
小脑中线区见一类圆形混杂密度影,四脑室受压变形,其后方见一边界清楚的囊性低密度影,幕上脑室扩张。小脑中线区肿瘤,儿童多见于髓母细胞瘤,成人多见于胶质瘤。
诊断:小脑胶质瘤可能性大。建议增强扫描
作者: 余辉 时间: 2008-11-18 19:34
标题: 回复:ct16667:m62y,患者偶有头晕,无其他不适。
以下是引用boaiwlp在2008-11-18 11:05:00的发言:[br]小脑中线区见一类圆形混杂密度影,四脑室受压变形,其后方见一边界清楚的囊性低密度影,幕上脑室扩张。小脑中线区肿瘤,儿童多见于髓母细胞瘤,成人多见于胶质瘤。[br]诊断:小脑胶质瘤可能性大。建议增强扫描
支持,病灶似位于四脑室内,不除外四脑室室管膜瘤,发生几率也较高
作者: 光线 时间: 2008-11-18 19:37
小脑胶质瘤?血管母细胞瘤?
作者: liping57 时间: 2008-11-18 19:42
建议增强扫描
作者: 晨雨 时间: 2008-11-18 19:55
有增强吗
作者: yuconnie 时间: 2008-11-18 19:58
标题: 回复:ct16667:m62y,患者偶有头晕,无其他不适。
[quote]以下是引用光线在2008-11-18 11:37:00的发言:[br]小脑胶质瘤?血管母细胞瘤?建议mr及强化检查
作者: xinliheng001 时间: 2008-11-18 22:24
小脑囊实性占位病变、脑室系统积水扩张、脑肿胀。
作者: 深泽交通 时间: 2008-11-18 22:27
标题: 回复:ct16667:m62y,患者偶有头晕,无其他不适。
以下是引用光线在2008-11-18 11:37:00的发言:[br]小脑胶质瘤?血管母细胞瘤?
作者: zhongguolong518 时间: 2008-11-18 22:34
标题: 回复:ct16667:m62y,患者偶有头晕,无其他不适。
以下是引用boaiwlp在2008-11-18 11:05:00的发言:[br]小脑中线区见一类圆形混杂密度影,四脑室受压变形,其后方见一边界清楚的囊性低密度影,幕上脑室扩张。小脑中线区肿瘤,儿童多见于髓母细胞瘤,成人多见于胶质瘤。[br]诊断:小脑胶质瘤可能性大。建议增强扫描
支持!!!
作者: 影象小辈 时间: 2008-11-18 22:37
以下是引用boaiwlp在2008-11-18 11:05:00的发言:
小脑中线区见一类圆形混杂密度影,四脑室受压变形,其后方见一边界清楚的囊性低密度影,幕上脑室扩张。小脑中线区肿瘤,儿童多见于髓母细胞瘤,成人多见于胶质瘤。
诊断:小脑胶质瘤可能性大。建议增强扫描
作者: 52yingxiang 时间: 2008-11-18 22:38
标题: 回复:ct16667:m62y,患者偶有头晕,无其他不适。
以下是引用boaiwlp在2008-11-18 11:05:00的发言:[br]小脑中线区见一类圆形混杂密度影,四脑室受压变形,其后方见一边界清楚的囊性低密度影,幕上脑室扩张。小脑中线区肿瘤,儿童多见于髓母细胞瘤,成人多见于胶质瘤。[br]诊断:小脑胶质瘤可能性大。建议增强扫描
作者: zjzjr 时间: 2008-11-18 22:45
小脑囊实性占位病变、脑室系统积水扩张,建议增强
作者: xupengjie 时间: 2008-11-18 22:46
患者4个月前在外地曾做ct<。与本片对比无明显变化(未治疗)。曾在外院做mr,病人未带来,嘱家属改天带来再上传给老师们看看。
作者: 谨言慎行 时间: 2008-11-18 22:52
标题: 回复:ct16667:m62y,患者偶有头晕,无其他不适。
以下是引用boaiwlp在2008-11-18 11:05:00的发言:[br]小脑中线区见一类圆形混杂密度影,四脑室受压变形,其后方见一边界清楚的囊性低密度影,幕上脑室扩张。小脑中线区肿瘤,儿童多见于髓母细胞瘤,成人多见于胶质瘤。[br]诊断:小脑胶质瘤可能性大。建议增强扫描
作者: sdzyy 时间: 2008-11-18 22:57
小脑囊实性占位病变、脑室系统积水扩张
作者: 一个人 时间: 2008-11-18 23:14
小脑胶质瘤可能性大。建议增强扫描
作者: 卜一 时间: 2008-11-18 23:32
小脑中线区见一类圆形混杂密度影,四脑室受压变形,其后方见一边界清楚的囊性低密度影,幕上脑室扩张。小脑中线区肿瘤,儿童多见于髓母细胞瘤,成人多见于胶质瘤。
诊断:小脑胶质瘤可能性大。建议增强扫描。支持!
作者: yuhongjun 时间: 2008-11-19 00:35
小脑中线区见一类圆形混杂密度影,四脑室受压变形,其后方见一边界清楚的囊性低密度影,幕上脑室扩张。小脑中线区肿瘤,儿童多见于髓母细胞瘤,成人多见于胶质瘤。
诊断:小脑胶质瘤可能性大。建议增强扫描。支持!
作者: 随光逐影 时间: 2008-11-19 01:03
1)小脑蚓部(偏左侧)占位性病变;不排除转移瘤可能。建议行进一步检查。2)脑积水。
作者: zsl6918 时间: 2008-11-19 01:14
小脑占位,建议mr定性.
作者: 杀毒软件 时间: 2008-11-19 01:55
支持大家
作者: 风中百合 时间: 2008-11-19 02:11
以下是引用boaiwlp在2008-11-18 11:05:00的发言:
小脑中线区见一类圆形混杂密度影,四脑室受压变形,其后方见一边界清楚的囊性低密度影,幕上脑室扩张。小脑中线区肿瘤,儿童多见于髓母细胞瘤,成人多见于胶质瘤。
诊断:小脑胶质瘤可能性大。建议增强扫描
作者: 刘湘 时间: 2008-11-19 02:19
小脑肿瘤性病变,以小脑胶质瘤可能性大
作者: 同 时间: 2008-11-19 02:43
1.小脑胶质瘤. 2 .血管母细胞瘤.
作者: xulianj 时间: 2008-11-19 03:47
小脑囊实性占位病变、脑室系统积水扩张,建议增强。
作者: 黑白光影 时间: 2008-11-19 04:19
脑积水。小脑蚓部占位性病变不排除转移瘤可能。
作者: 李兴 时间: 2008-11-19 05:39
胶质瘤、血管母细胞瘤、恶性脑膜瘤
| 欢迎光临 医影在线 (http://bbs.radida.com/bbs/) |
Powered by Discuz! X3.2 |