医影在线
标题: CT16671:男性,60岁,急/////// [打印本页]
作者: 网事随风 时间: 2008-11-18 23:34
标题: CT16671:男性,60岁,急///////
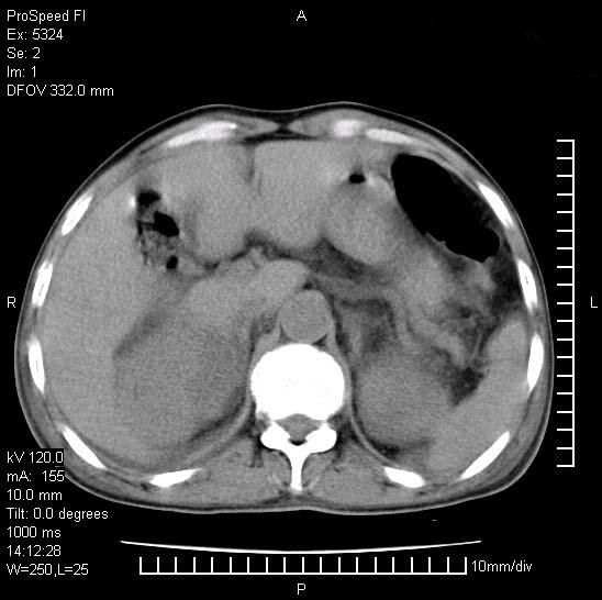
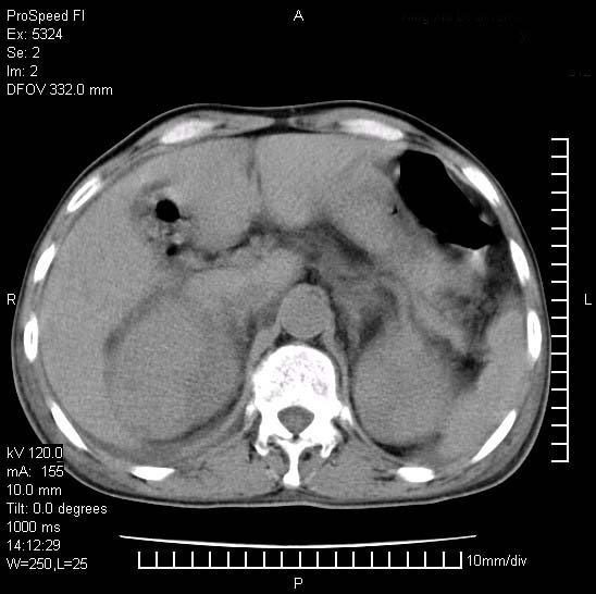
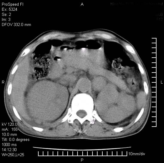
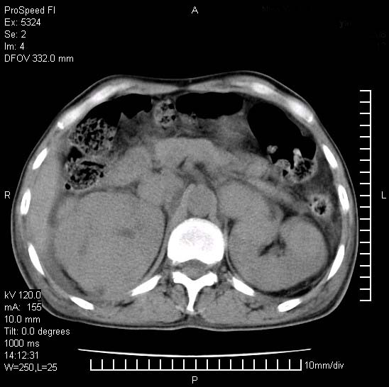
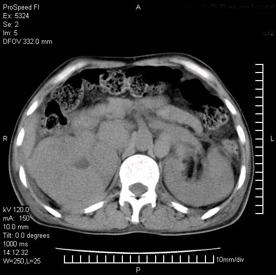
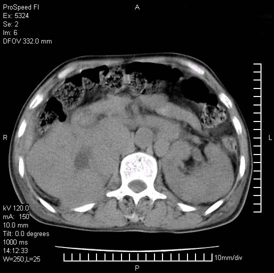
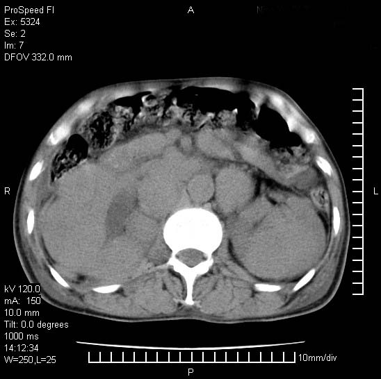
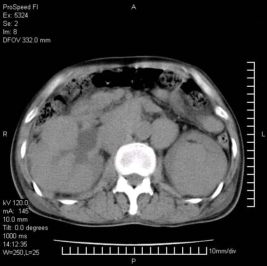
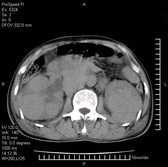
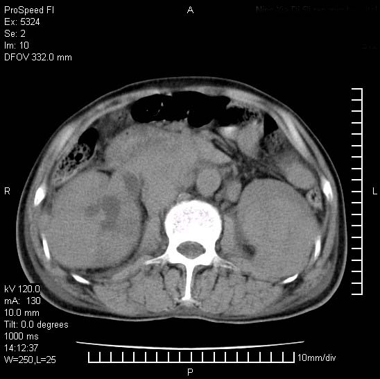
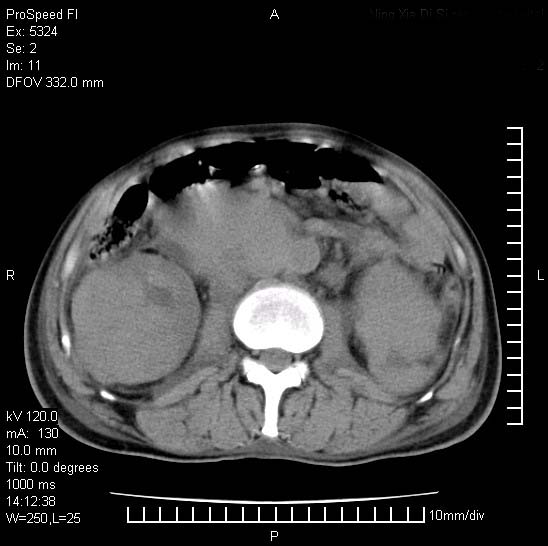
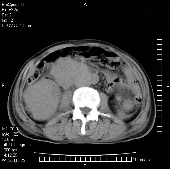
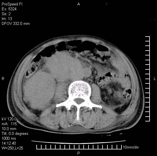
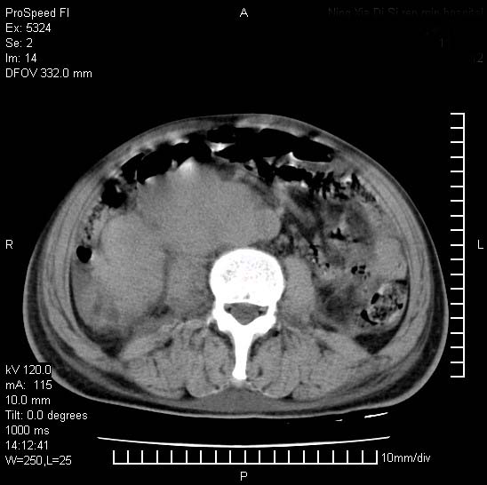
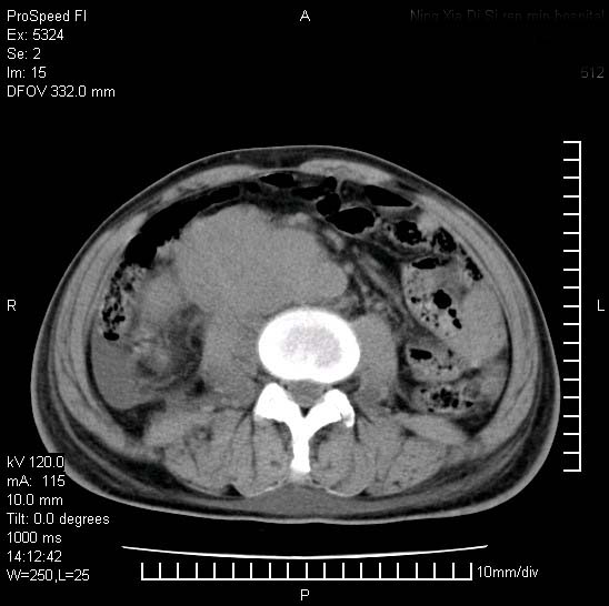
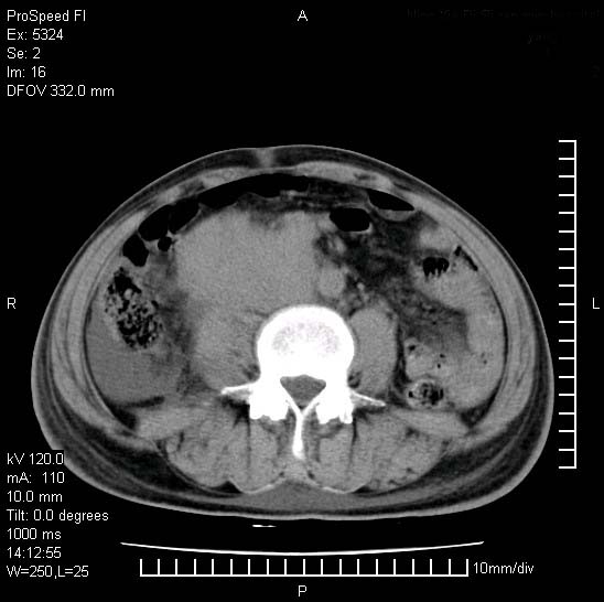
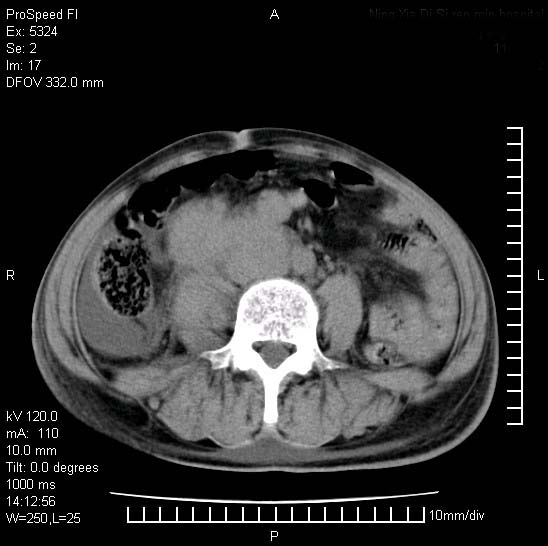
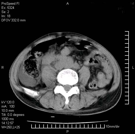
患者阴囊肿大14月,腰痛2个月,咳嗽,咳痰1周,患者现在肾功异常,做增强有些担心,我们用的是欧乃派克.



















[本贴已被 jiajie 于 2008-11-18 18:55:43 修改过]
作者: 卜一 时间: 2008-11-18 23:44
右侧肾癌伴腹膜后淋巴结转移!
作者: qiuaiyu973012 时间: 2008-11-18 23:53
右侧肾癌后腹膜转移,腹腔少量积液
作者: jiangjing 时间: 2008-11-18 23:55
腹膜后淋巴结肿大包饶腔静脉,双肾病变,建议增强
作者: shuqiang1 时间: 2008-11-18 23:59
支持右肾ca伴腹膜后淋巴转移。
作者: pujunzhi 时间: 2008-11-19 00:08
双肾均有软组织密度舯物,腹膜后淋巴结肿大包饶腔静脉------考虑为恶性占位病变,转移瘤可能。
作者: 网事随风 时间: 2008-11-19 00:11
左肾也有问题呀///
作者: sdzyy 时间: 2008-11-19 00:15
支持:双肾均见软组织密度肿块影,腹膜后淋巴结肿大包绕腔静脉------考虑为恶性占位病变,转移瘤可能。
作者: yuhongjun 时间: 2008-11-19 00:16
双肾均有软组织密度舯物,腹膜后淋巴结肿大包饶腔静脉------考虑为恶性占位病变,转移瘤可能。
作者: 随光逐影 时间: 2008-11-19 00:17
1)考虑双肾恶性肿瘤(肾癌?)。2)腹膜后淋巴结肿大,多为肿瘤转移所致。
作者: haha215315 时间: 2008-11-19 00:38
双肾、腹膜后转移瘤。
作者: 余辉 时间: 2008-11-19 00:54
腹腔积液,双肾均有稍高密度肿块,主动脉旁广泛淋巴结肿大,融合,无显著肿块坏死征像,多考虑淋巴瘤累及双肾,不排除肾癌伴转移(肾癌这么大应该较多坏死了),另阴囊肿大,不知是实质肿大还是阴囊积液,如是是积液,多为腹腔肿块压近睾丸静脉所致,如是是实性的,多为淋巴瘤
作者: zhaochen 时间: 2008-11-19 01:04
1、淋巴瘤,双肾转移瘤;2、双侧肾癌,伴有腹膜后淋巴结转移。
作者: zsl6918 时间: 2008-11-19 01:07
双肾周围及腹膜后改变符合恶性病变,现在关键是要明确阴囊肿大的原因,是否为肿瘤性病变.如阴囊为恶性肿瘤那一切用转移即可解释,如阴囊为水肿改变,那需重新分析检查明确.
作者: smjin 时间: 2008-11-19 01:33
标题: 回复:腹部; 男性,60岁,急///////
以下是引用余辉在2008-11-18 16:54:00的发言:[br]腹腔积液,双肾均有稍高密度肿块,主动脉旁广泛淋巴结肿大,融合,无显著肿块坏死征像,多考虑淋巴瘤累及双肾,不排除肾癌伴转移(肾癌这么大应该较多坏死了),另阴囊肿大,不知是实质肿大还是阴囊积液,如是是积液,多为腹腔肿块压近睾丸静脉所致,如是是实性的,多为淋巴瘤
作者: 吸引力 时间: 2008-11-19 01:48
双肾均有软组织肿块伴腹膜后淋巴结肿大融合,右侧结肠旁沟积液;考虑恶性肿瘤。转移瘤?淋巴瘤?
作者: 杀毒软件 时间: 2008-11-19 01:49
标题: 回复:腹部; 男性,60岁,急///////
以下是引用随光逐影在2008-11-18 16:17:00的发言:[br]1)考虑双肾恶性肿瘤(肾癌?)。2)腹膜后淋巴结肿大,多为肿瘤转移所致。
支持
作者: 刘湘 时间: 2008-11-19 02:08
双肾恶性肿瘤(肾癌?)。2)腹膜后淋巴结肿大,多为肿瘤转移所致。
作者: 同 时间: 2008-11-19 02:55
标题: 回复:腹部; 男性,60岁,急///////
以下是引用jiangjing在2008-11-18 15:55:00的发言:[br]腹膜后淋巴结肿大包饶腔静脉,双肾病变,建议增强
作者: chry3 时间: 2008-11-19 03:14
阴囊肿大是实质性的么,为什么不扫阴囊,此扫描做的是什么部位,肾脏没包括全,也可以考虑生殖系统肿瘤转移
作者: zjzjr 时间: 2008-11-19 03:25
双肾增大,腹膜后多发肿大淋巴结影.首先考虑淋巴瘤.
作者: 宋定川 时间: 2008-11-19 03:26
腹膜后淋巴结肿大包饶腔静脉,双肾病变,建议增强
作者: wangyong1977 时间: 2008-11-19 03:55
)考虑双肾恶性肿瘤(肾癌?)。2)腹膜后淋巴结肿大,多为肿瘤转移所致。
作者: xulianj 时间: 2008-11-19 04:19
双肾增大,腹膜后多发肿大淋巴结影.首先考虑淋巴瘤.
作者: 黑白光影 时间: 2008-11-19 04:46
双肾增大,结合腹膜后淋巴结肿大,考虑双肾恶性肿瘤并转移可能。
作者: zhangling 时间: 2008-11-19 05:56
支持右肾ca伴腹膜后淋巴转移。
作者: zhengfaming 时间: 2008-11-19 06:27
双肾癌并腹膜后淋巴结转移
作者: x-man 时间: 2008-11-19 07:49
考虑恶性淋巴瘤侵及双肾,腹膜后淋巴结肿大。
| 欢迎光临 医影在线 (http://bbs.radida.com/bbs/) |
Powered by Discuz! X3.2 |