医影在线

标题: CT16680:F60Y,上腹包块,明天手术 [打印本页]

作者: chry3    时间: 2008-11-19 04:45
标题: CT16680:F60Y,上腹包块,明天手术
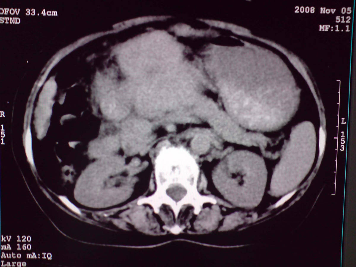
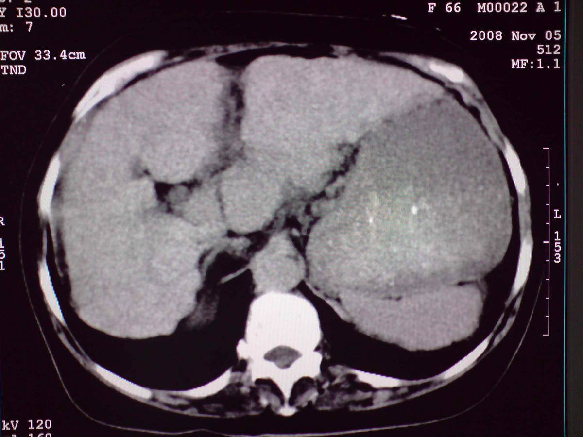
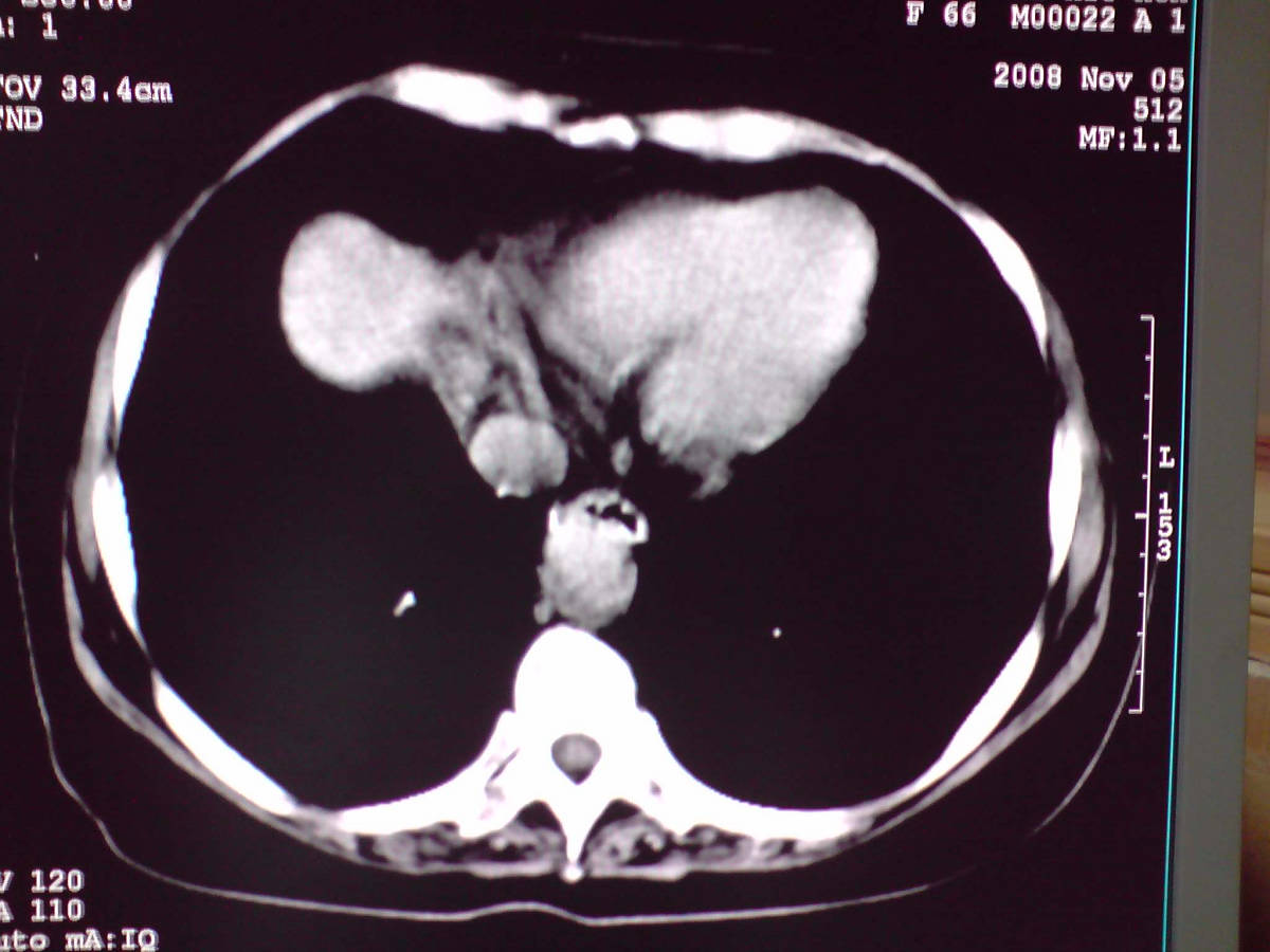
女性,60岁,上腹不适、自感胃部疼痛


























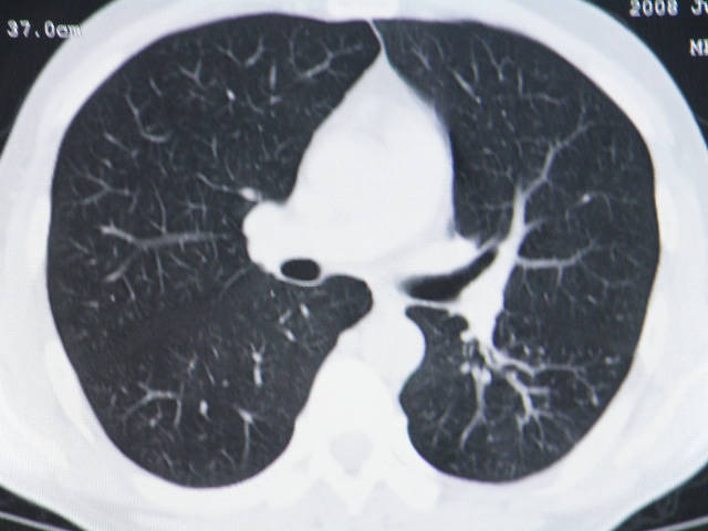
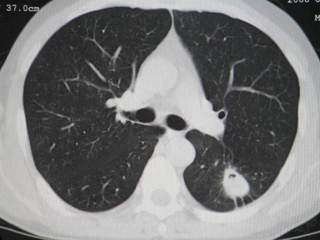
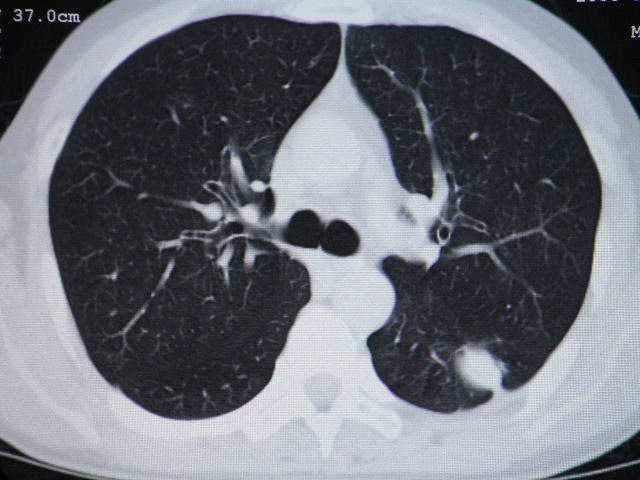
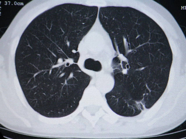
肺内结节在纵隔窗内测ct值为43hu


[本贴已被 jiajie 于 2008-11-18 21:16:47 修改过]

作者: xulianj    时间: 2008-11-19 04:55
标题: 上腹包块,明天手术
1:肝占位,考虑为肝癌可能大;2:肝硬化;3:胆囊炎胆结石;4:左下肺感染性病变,结核可能大。

[本贴已被 xulianj 于 2008-11-18 20:59:08 修改过]

作者: guanaishengming    时间: 2008-11-19 05:01
考虑为肝癌可能大
作者: 悟空    时间: 2008-11-19 05:05
来源于肝脏mt伴淋巴结肿大,肺内病灶无纵隔窗,mt首先考虑.
作者: 求知若渴    时间: 2008-11-19 05:09
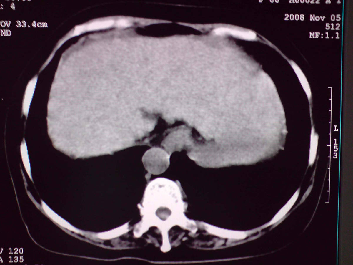
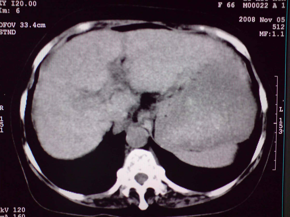
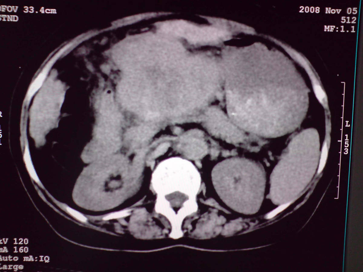
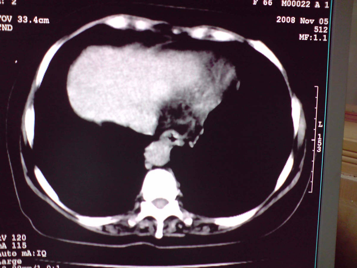
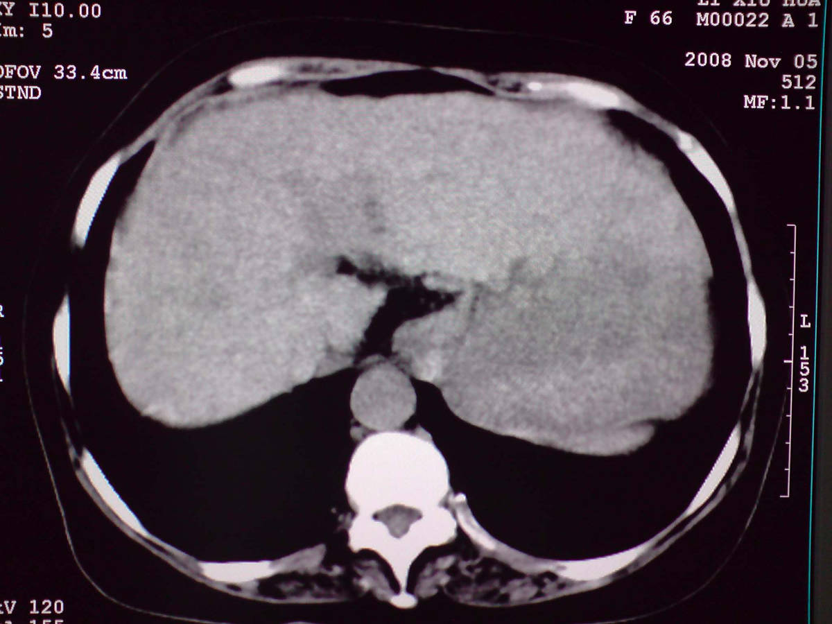
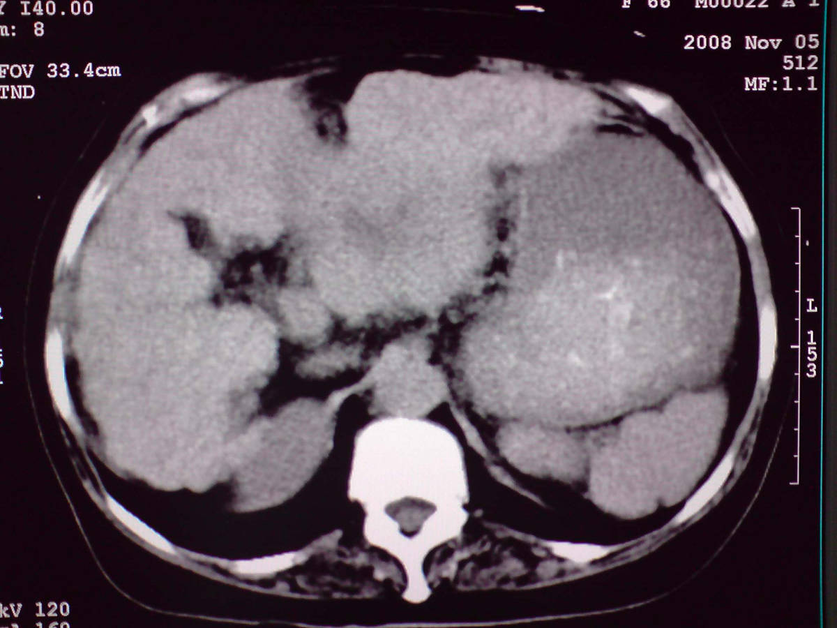
小网膜区见类圆形软组织密度肿块,密度不均,内见不规则低密度区,与肝左叶分界模糊,肝脏体积缩小,密度不均匀,边缘呈波浪状,尾状叶明显增大,脾脏下缘明显超出肝脏下缘。
意见:肝硬化并外生性肝癌,建议增强扫描。
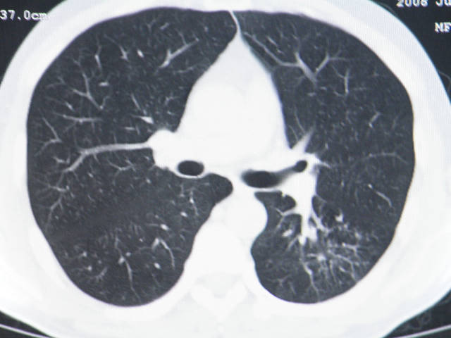
左肺下叶背段软组织结节,偏心空洞,周围见长纤维所条及卫星灶,首先考虑结核球,周围型肺癌待排。
作者: 杯水生活    时间: 2008-11-19 05:19
1,肝癌
2,左下肺病灶,考虑炎症(结核)可能大。
作者: 流浪星    时间: 2008-11-19 05:21
考虑为肝癌可能大
作者: zhangling    时间: 2008-11-19 05:25
肝脏比例失调,形态失常,外缘呈波浪状,腹腔内肿块内见低密度区并与肝脏界限欠清
左肺下叶偏心软组织肿块,边缘毛刺征,胸膜凹陷征
考虑外生性肝癌,左肺下叶占位,肝硬化
作者: zsl6918    时间: 2008-11-19 05:39
手术效果不会太好,腹腔病变考虑恶性间质瘤,肺内结节肺癌可能性大,(楼主未提供纵隔窗,结核不能除外)最好术前明确诊断.
作者: 光线    时间: 2008-11-19 05:57
1:肝占位,考虑为肝癌可能大;2:肝硬化;3:胆囊炎胆结石;4:左下肺感染性病变,结核可能大。

支持!
作者: 影像孺子牛    时间: 2008-11-19 06:24
有肝硬化背景,肝胃间隙见不规则形,且密度不均匀的占位性病变,与肝左叶分界不清,首先考虑外生性肝癌可能性大,不排外肝胃间隙恶性占位肝脏受侵可能性。左肺下叶结节影,其内见空泡征,边缘见毛刺,从一元化的角度首先考虑转移。
作者: 卜一    时间: 2008-11-19 06:25
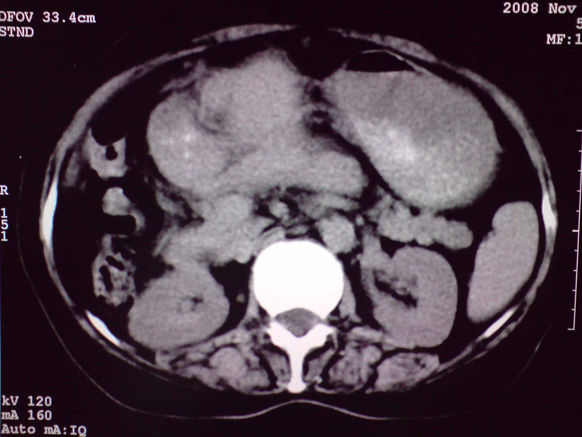
1 肝脏各叶比例失调,形态失常,外缘呈波浪状。右叶萎缩,左叶 尾叶增大。2 腹腔内软组织密度肿块,低于肝实质密度,内见低密度区,并与肝脏界限欠清。腹膜后见肿大淋巴结,并与腹腔肿块关系密切。3 左肺下叶肿块,见边缘毛刺征及胸膜凹陷征,并与近肺门侧见异常血管相连。
综合考虑:左下肺周围性肺癌伴腹腔 腹膜后淋巴结转移!另:肝硬化!
作者: aomeilazuo    时间: 2008-11-19 09:58
肝脏比例失调,形态失常,外缘呈波浪状,腹腔内  
小网膜区肿块内见低密度区并与肝脏界限欠清
左肺下叶偏心软组织肿块,边缘毛刺征,胸膜凹陷征,血管集束症
考虑恶性间质瘤,左肺下叶占位,肝硬化
作者: yuhongjun    时间: 2008-11-19 14:59
手术效果不会太好,腹腔病变考虑恶性间质瘤,肺内结节肺癌可能性大,(楼主未提供纵隔窗,结核不能除外)最好术前明确诊断.
作者: 358450m    时间: 2008-11-19 16:12
标题: 回复:ct16680:f60y,上腹包块,明天手术
以下是引用xulianj在2008-11-18 20:55:00的发言:[br]1:肝占位,考虑为肝癌可能大;2:肝硬化;3:胆囊炎胆结石;4:左下肺感染性病变,结核可能大。[br][br]
[本贴已被 xulianj 于 2008-11-18 20:59:08 修改过]

作者: 随光逐影    时间: 2008-11-19 16:24
1)考虑外生型肝癌。2)肝硬化。3)慢性胆囊炎,胆囊结石。4)左肺下叶感染性病变(结核球可能)。
作者: LIAOQIANG    时间: 2008-11-19 16:48
1肝胃韧带区域一肿块,肿块上缘与肝左叶相连。肝硬化。考虑肝外生型肝癌可能性大,不除外间质瘤。2左肺下叶背段一结节,有偏心性空洞,长毛刺,其周有多发小结节。考虑结核可能性大。
作者: 朱亮    时间: 2008-11-19 17:05
1、外生性肝癌

2、左肺周围性肺癌待排
作者: 刘湘    时间: 2008-11-19 17:27
,腹腔病变考虑恶性间质瘤,肺内结节肺癌可能性大,(楼主未提供纵隔窗,结核不能除外)最好术前明确诊断.
作者: gaoshengjiang    时间: 2008-11-19 17:32
一元论:肝硬化、外生性肝癌并左肺转移;但不除外左肺周围型肺癌可能。
作者: zjzjr    时间: 2008-11-19 18:21
1)考虑外生型肝癌。2)肝硬化。3)慢性胆囊炎,胆囊结石。4)左肺下叶感染性病变(结核球可能)。
作者: weijing    时间: 2008-11-19 18:57
手术效果不会太好,腹腔病变考虑恶性间质瘤,肺内结节肺癌可能性大,(楼主未提供纵隔窗,结核不能除外)最好术前明确诊断.  支持
作者: 黑白光影    时间: 2008-11-20 04:20
1)考虑肝硬化、外生型肝癌。2)慢性胆囊炎,胆囊结石。3)左肺下叶感染性病变。
作者: chry3    时间: 2008-11-28 03:55
感谢大家的讨论,今天拿到病理结果是肝细胞癌
作者: zsl6918    时间: 2008-11-28 06:05
那肺内病灶如何处理?
作者: yuhg    时间: 2008-11-28 06:12
肝脏考虑外生型肝癌、肺内考虑结核,应该增强扫描




欢迎光临 医影在线 (http://bbs.radida.com/bbs/) Powered by Discuz! X3.2